| 网站首页 | 眼科中心 | 协和眼科 | 会议中心 | 医学资源 | 精美图片 | 眼科宝贝 | 协和论坛 | 淘宝网店 | 会员中心 | 帮助中心 | 金币换眼科点 | 申请专业权限 | 
最新公告:     本站新域名:http://www.eyecn.net  [毛进  2006年5月29日]        
您现在的位置: 眼科医生网 >> 医学资源 >> 电子书籍 >> 扫描图书 >> 医学资源信息
下 载 专 题
热 门 下 载
更多内容
推 荐 下 载 更多
视网膜血管疾病PDF版
运行环境: Win9x/NT/2000/XP/2003 文件大小: 31100 K
软件等级: ★★★ 软件类别: 医学软件
开 发 商: 佚名 软件语言: 英文
相关链接: 医学资源演示地址  医学资源注册地址 软件属性:         
下载次数: 本日:   本周:  
       本月:   总计:
授权方式: 免费版
解压密码: 
软件添加: 审核:毛进 录入:毛进 添加时间: 2008-5-13 23:16:42
::下载地址::                            下载 点数不够??请点击查看如何充值本站点数
下载地址1  
::软件简介::

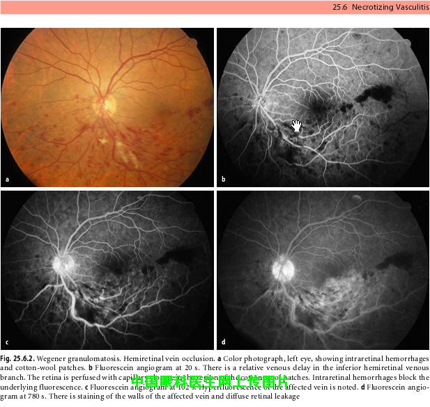
   视网膜血管性疾病的经典参考书,字体和图片均非常清晰,有很好的参考价值。参见下图

 


::相关软件::
中级眼科试题及答案 PDF格式
眼科主治医师模拟考题
眼科主治医师资格考试试题解析 2001年
::下载说明::
为了达到最快的下载速度,推荐安装讯雷下载网络版下载本站软件。
如果您发现该软件不能下载,请通知管理员或点击【此处报错】,谢谢!
未经本站明确许可,任何网站不得非法盗链及抄袭本站资源;如引用页面,请注明来自本站,谢谢您的支持!
  网友评论:(只显示最新10条。评论内容只代表网友观点,与本站立场无关!) 发表评论

| 设为首页 | 加入收藏 | 联系站长 | 友情链接 | 版权申明 |
眼科医生网 眼科医生网版权所有 @ 1998-2008
部分文章和资源来源于网络,如果侵犯了您的版权,请指出! 站长:毛进
信息产业部备案
*京ICP备05085871