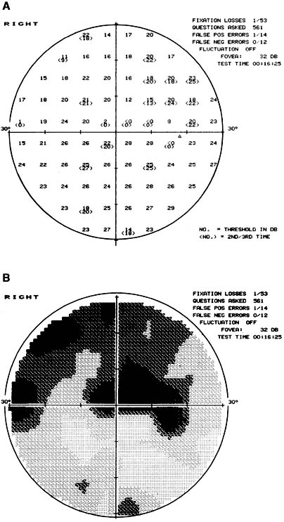
Chapter 2: Ophthalmologic Examination Author: Ophthalmologic Examination Of all the organs of the body, the eye is most accessible to direct examination. Visual function can be quantified by simple subjective testing. The external anatomy of the eye is visible to inspection with the unaided eye and with fairly simple instruments. Even the interior of the eye is visible through the clear cornea. The eye is the only part of the body where blood vessels and central nervous system tissue (retina and optic nerve) can be viewed directly. Important systemic effects of infectious, autoimmune, neoplastic, and vascular diseases may be visible from the internal eye examination. The purpose of sections I and II of this chapter is to provide an overview of the ocular history and basic complete eye examination as performed by an ophthalmologist. In section III, more specialized examination techniques will be presented. I. OCULAR HISTORY The chief complaint is characterized according to its duration, frequency, intermittency, and rapidity of onset. The location, the severity, and the circumstances surrounding onset are important as well as any associated symptoms. Current eye medications being used and all other current and past ocular disorders are recorded, and a review of other pertinent ocular symptoms is performed. The past medical history centers on the patient's general state of health and principal systemic illnesses if any. Vascular disorders commonly associated with ocular manifestations-such as diabetes and hypertension-should be asked about specifically. Just as a medical history should include ocular medications being used, the eye history should list the patient's systemic medications. This provides a general indication of health status and may include medications that affect ocular health, such as corticosteroids. Finally, any drug allergies should be recorded. The family history is pertinent for ocular disorders such as strabismus, amblyopia, glaucoma, cataracts, and retinal problems, such as retinal detachment or macular degeneration. Medical diseases such as diabetes may be relevant as well. COMMON OCULAR SYMPTOMS A basic understanding of ocular symptomatology is necessary for performing a proper ophthalmic examination. Ocular symptoms can be divided into three basic categories: abnormalities of vision, abnormalities of ocular appearance, and abnormalities of ocular sensation-pain and discomfort. Symptoms and complaints should always be fully characterized. Was the onset gradual, rapid, or asymptomatic? (For example, was blurred vision in one eye not discovered until the opposite eye was inadvertently covered?) Was the duration brief, or has the symptom continued until the present visit? If the symptom was intermittent, what was the frequency? Is the location focal or diffuse, and is involvement unilateral or bilateral? Finally, is the degree characterized by the patient as mild, moderate, or severe? One should also determine what therapeutic measures have been tried and to what extent they have helped. Has the patient identified circumstances that trigger or worsen the symptom? Have similar instances occurred before, and are there any other associated symptoms? The following is a brief overview of ocular complaints. Representative examples of some causes are given here and discussed more fully elsewhere in this book. ABNORMALITIES OF VISION Visual Loss Loss of visual acuity may be due to abnormalities anywhere along the optical and neurologic visual pathway. One must therefore consider refractive (focusing) error, lid ptosis, clouding or interference from the ocular media (eg, corneal edema, cataract, or hemorrhage in the vitreous or aqueous space), and malfunction of the retina (macula), optic nerve, or intracranial visual pathway. A distinction should be made between decreased central acuity and peripheral vision. The latter may be focal, such as a scotoma, or more expansive as with hemianopia. Abnormalities of the intracranial visual pathway usually disturb the visual field more than central visual acuity. Transient loss of central or peripheral vision is frequently due to circulatory changes anywhere along the neurologic visual pathway from the retina to the occipital cortex. Examples would be amaurosis fugax or migrainous scotoma. The degree of visual impairment may vary under different circumstances. For example, uncorrected nearsighted refractive error may seem worse in dark environments. This is because pupillary dilation allows more misfocused rays to reach the retina, increasing the blur. A central focal cataract may seem worse in sunlight. In this case, pupillary constriction prevents more rays from entering and passing around the lens opacity. Blurred vision from corneal edema may improve as the day progresses owing to corneal dehydration from surface evaporation. Visual Aberrations Glare or haloes may result from uncorrected refractive error, scratches on spectacle lenses, excessive pupillary dilation, and hazy ocular media, such as corneal edema or cataract. Visual distortion (apart from blurring) may be manifested as an irregular pattern of dimness, wavy or jagged lines, and image magnification or minification. Causes may include the aura of migraine, optical distortion from strong corrective lenses, or lesions involving the macula and optic nerve. Flashing or flickering lights may indicate retinal traction (if instantaneous) or migrainous scintillations that last for several seconds or minutes. Floating spots may represent normal vitreous strands due to vitreous "syneresis" or separation (see Chapter 9), or the pathologic presence of pigment, blood, or inflammatory cells. Oscillopsia is a shaking field of vision due to ocular instability. It must be determined whether double vision is monocular or binocular (ie, disappears if one eye is covered). Monocular diplopia is often a split shadow or ghost image. Causes include uncorrected refractive error, such as astigmatism, or focal media abnormalities such as cataracts or corneal irregularities (eg, scars, keratoconus). Binocular diplopia (see Chapters 12 and 14) can be vertical, horizontal, diagonal, or torsional. If the deviation occurs or increases in one gaze direction as opposed to others, it is called "incomitant." Neuromuscular dysfunction or mechanical restriction of globe rotation is suspected. "Comitant" deviation is one that remains constant regardless of the direction of gaze. It is usually due to childhood or long-standing strabismus. ABNORMALITIES OF APPEARANCE Complaints of "red eye" call for differentiation between redness of the lids and periocular area versus redness of the globe. The latter can be caused by subconjunctival hemorrhage or by vascular congestion of the conjunctiva, sclera, or episclera (connective tissue between the sclera and conjunctiva). Causes of such congestion may be either external surface inflammation, such as conjunctivitis and keratitis, or intraocular inflammation such as iritis and acute glaucoma. Color abnormalities other than redness may include jaundice and hyperpigmented spots on the iris or outer ocular surface. Other changes in appearance of the globe that may be noticeable to the patient include focal lesions of the ocular surface, such as a pterygium, and asymmetry of pupil size, called "anisocoria." The lids and periocular tissues may be the source of visible signs such as edema, redness, focal growths and lesions, and abnormal position or contour, such as ptosis. Finally, the patient may notice bulging or displacement of the globe, as with exophthalmos. PAIN & DISCOMFORT "Eye pain" may be periocular, ocular, retrobulbar (behind the globe), or poorly localized. Examples of periocular pain may be tenderness of the lid, tear sac, sinuses, or temporal artery. Retrobulbar pain can be due to orbital inflammation of any kind. Certain locations of inflammation, such as optic neuritis or orbital myositis, may produce pain on eye movement. Many nonspecific complaints such as "eyestrain," "pull-ing," "pressure," "fullness," and certain kinds of "headaches" are poorly localized. Causes may include fatigue from ocular accommodation or binocular fusion, or referred discomfort from nonocular muscle tension or fatigue. Ocular pain itself may seem to emanate from the surface or from deeper within the globe. Corneal epithelial damage typically produces a superficial sharp pain or foreign body sensation exacerbated by blinking. Topical anesthesia will immediately relieve this pain. Deeper internal aching pain occurs with acute glaucoma, iritis, endophthalmitis, and scleritis. The globe is often tender to palpation in these situations. Reflex spasm of the ciliary muscle and iris sphincter can occur with iritis or keratitis, producing brow ache and painful "photophobia" (light sensitivity). This discomfort is markedly improved by instillation of cycloplegic dilating drops (see Chapter 3). Eye Irritation Superficial ocular discomfort usually results from surface abnormalities. Itching, as a primary symptom, is often a sign of allergic sensitivity. Symptoms of dryness, burning, grittiness, and mild foreign body sensation can occur with dry eyes or other types of mild corneal irritation. Tearing may be of two general types. Sudden reflex tearing is usually due to irritation of the ocular surface. In contrast, chronic watering and "epiphora" (tears rolling down the cheek) may indicate abnormal lacrimal drainage (see Chapter 4). Ocular secretions are often diagnostically nonspecific. Severe amounts of discharge that cause the lids to be glued shut upon awakening usually indicate viral or bacterial conjunctivitis. More scant amounts of mucoid discharge can also be seen with allergic and noninfectious irritations. Dried matter and crusts on the lashes may occur acutely with conjunctivitis or chronically with blepharitis (lid margin inflammation). II. BASIC OPHTHALMOLOGIC EXAMINATION The purpose of the ophthalmologic physical examination is to evaluate both the function and the anatomy of the two eyes. Function includes vision and nonvisual functions, such as eye movements and alignment. Anatomically, ocular problems can be subdivided into three areas: those of the adnexa (lids and periocular tissue), the globe, and the orbit. VISION Just as assessment of vital signs is a part of every physical examination, any ocular examination must include assessment of vision, regardless of whether vision is mentioned as part of the chief complaint. Good vision results from a combination of an intact neurologic visual pathway, a structurally healthy eye, and proper focus of the eye. An analogy might be made to a video camera, requiring a functioning cable connection to the monitor, a mechanically intact camera body, and a proper focus setting. In general, measurement of visual acuity is subjective rather than objective, since it requires responses on the part of the patient. Refraction The unaided distant focal point of the eye varies among normal individuals depending on the shape of the globe and the cornea (Figure 2-1). An emmetropic eye is naturally in optimal focus for distance vision. An ametropic eye (ie, one with myopia, hyperopia, or astigmatism) needs corrective lenses to be in proper focus for distance. This optical requirement is called refractive error. Refraction is the procedure by which this natural optical error is characterized and quantified (Figure 2-2) (see Chapter 20). Refraction is often necessary to distinguish between blurred vision caused by refractive (ie, optical) error or by medical abnormalities of the visual system. Thus, in addition to being the basis for prescription of corrective glasses or contact lenses, refraction serves a diagnostic function. Testing Central Vision Vision can be divided into central vision and peripheral vision. Central visual acuity is measured with a display of different-sized targets shown at a standard distance from the eye. For example, the familiar "Snellen chart" is composed of a series of progressively smaller rows of random letters used to test distance vision. Each row is designated by a number corresponding to the distance, in feet or meters, from which a normal eye can read all the letters of the row. For example, the letters in the "40" row are large enough for the normal eye to see from 40 feet away. By convention, vision can be measured either at a distance at 20 feet (6 meters) or at near, 14 inches away. For diagnostic purposes, distance acuity is the standard for comparison and is always tested separately for each eye. Acuity is scored as a set of two numbers (eg, "20/40"). The first number represents the testing distance in feet between the chart and the patient, and the second number represents the smallest row of letters that the patient's eye can read from the testing distance. 20/20 vision is normal; 20/60 vision indicates that the patient's eye can only read from 20 feet letters large enough for a normal eye to read from 60 feet. Charts containing numerals can be used for patients not familiar with the English alphabet. The "illiterate E" chart is used to test small children or if there is a language barrier. "E" figures are randomly rotated in each of four different orientations throughout the chart. For each target, the patient is asked to point in the same direction as the three "bars" of the E (Figure 2-3). Most children can be tested in this manner beginning at about age 31/2. Uncorrected visual acuity is measured without glasses or contact lenses. Corrected acuity means that these aids were worn. Since poor uncorrected distance acuity may simply be due to refractive (ie, focusing) error, corrected visual acuity is a more relevant assessment of ocular health. Pinhole Test If the patient needs glasses or if they are unavailable, the corrected acuity can be estimated by testing vision through a "pinhole." Refractive blur (eg, myopia, hyperopia, astigmatism) is caused by multiple misfocused rays entering through the pupil and reaching the retina. This prevents formation of a sharply focused image. Viewing the Snellen chart through a placard of multiple tiny pinhole-sized openings prevents most of the misfocused rays from entering the eye. Only a few centrally aligned focused rays will reach the retina, resulting in a sharper image. In this manner, the patient may be able to read within one or two lines of what would be possible if proper corrective glasses were being used. Testing Poor Vision The patient unable to read the largest letter on the chart (eg, the "20/200" letter) should be moved closer to the chart until that letter can be read. The distance from the chart is then recorded as the first number. Visual acuity of "5/200" means that the patient can just make out the largest letter from a distance of 5 feet. An eye unable to read any letters is tested by the ability to count fingers. A notation on the chart that reads "CF at 2 ft" indicates that the eye was able to count fingers held 2 feet away but not farther away. If counting fingers is not possible, the eye may be able to detect a hand moving vertically or horizontally [hand motions (HM) vision]. The next lower level of vision would be the ability to perceive light [light perception (LP)]. An eye that cannot perceive light is considered totally blind [no light perception (NLP)]. Testing Peripheral Vision Because it is much grosser than central acuity, side vision is harder to test quantitatively. Specialized tests described in the next section are used when peripheral vision measurements are needed, such as for the diagnosis of early glaucoma. Gross screening of the peripheral field of vision can be quickly performed using confrontation testing. Since the visual fields of the two eyes overlap, each eye must be tested separately. The patient is seated facing the examiner several feet away and begins by covering the left eye while the right eye fixes on the examiner's left eye. The examiner then briefly shows several fingers of one hand (usually one, two, or four fingers) peripherally in one of the four quadrants. The patient must identify the number of fingers flashed while maintaining straight-ahead fixation. Since patient and examiner are staring eye to eye, any loss of fixation by the patient will be noticed. The upper and lower temporal and the upper and lower nasal quadrants are all tested in this fashion for each eye. If the examiner closes the right eye while the patient covers the left eye-and if the targets (fingers) are presented at a distance halfway between the patient and the examiner-their respective peripheral fields should be the same. This allows comparison of the patient's field with the examiner's own. Consistent errors indicate gross deficiencies in the quadrant tested, as seen with retinal detachments, optic nerve abnormalities, and ischemic or mass injuries to the intracranial visual pathway. Since dense visual field abnormalities are often asymptomatic, confrontation testing should be included in complete ophthalmologic examinations. A subtle form of right or left homonymous hemianopia may exist that can only be elicited by simultaneously presenting targets on both sides of the midline-not when targets are presented on one side at a time. To perform simultaneous confrontation testing, the examiner holds both hands out peripherally, one on each side. The patient must signify on which side (right, left, or both) the examiner is intermittently wiggling the fingers. Surprisingly, a patient with a mild left hemianopia may still be able to detect one hand wiggling fingers to the left side and may fail to see them (to the left) only when the examiner is simultaneously wiggling the fingers on both hands. This interesting finding indicates partial or relative inattention to the left side as both sides are being equally-and simultaneously-stimulated. More sophisticated means of visual field testing are discussed later in this chapter. PUPILS Basic Examination The pupils should appear symmetric, and each one should be examined for size, shape (circular or irregular), and reactivity to both light and accommodation. Pupillary abnormalities may be due to (1) neurologic disease, (2) acute intraocular inflammation causing either spasm or atony of the pupillary sphincter, (3) previous inflammation causing adhesions of the iris, (4) prior surgical alteration, (5) the effect of systemic or eye medications, and (6) benign variations of normal. To avoid accommodation, the patient is asked to stare in the distance as a penlight is directed toward each eye. Dim lighting conditions help to accentuate the pupillary response and may best demonstrate an abnormally small pupil. Likewise, an abnormally large pupil may be more apparent in brighter background illumination. The direct response to light refers to constriction of the illuminated pupil. The reaction may be graded as either brisk or sluggish. Normally, a consensual constriction will simultaneously occur in the opposite nonilluminated pupil. This is usually a slightly weaker response. The neuroanatomy of the pupillary pathway is discussed in Chapter 14. Swinging Penlight Test for Marcus Gunn Pupil As a light is swung back and forth in front of the two pupils, one can compare the direct and consensual reactions of each pupil. Since the direct reaction is usually stronger than the consensual, each pupil as the light falls directly on it should immediately constrict slightly more. Start by shining the light into the right eye, causing consensual constriction of the left pupil. As the light is then swung toward the left eye, the left pupil should constrict slightly more due to the direct light response. The right pupil should behave similarly as the light is swung back toward the right eye. If the afferent conduction of light in the left optic nerve is impaired as a consequence of disease, the left pupil will have a weak direct response but its consensual efferent response will remain unchanged. As the light is swung from the right to the left eye, the left pupil will then paradoxically widen (since its abnormal direct response is weaker than the consensual response initiated by the healthy right optic nerve). This phenomenon is called a Marcus Gunn pupil, or relative afferent pupillary defect, since the paradoxic dilation in response to direct illumination occurs in the eye with the abnormal afferent pathway (ie, optic nerve or retina). Because the Marcus Gunn pupil still reacts and is often of normal size, the swinging flashlight test may be the only means of demonstrating it. Marcus Gunn pupil is further discussed and illustrated in Chapter 14. OCULAR MOTILITY The objective of ocular motility testing is to evaluate the alignment of the eyes and their movements, both individually ("ductions") and in tandem ("versions"). A more complete discussion of motility testing and abnormalities is presented in Chapter 12. Testing Alignment Normal patients have binocular vision. Since each eye generates a visual image separate from and independent of that of the other eye, the brain must be able to fuse the two images in order to avoid "double vision." This is achieved by having each eye positioned so that both foveas are simultaneously fixating on the object of regard. A simple test of binocular alignment is performed by having the patient look toward a penlight held several feet away. A pinpoint light reflection, or "reflex," should appear on each cornea and should be centered over each pupil if the two eyes are straight in their alignment. If the eye positions are convergent, such that one eye points inward ("esotropia"), the light reflex will appear temporal to the pupil in that eye. If the eyes are divergent, such that one eye points outward ("exotropia"), the light reflex will be located more nasally in that eye. This test can be used with infants. The cover test (see Figure 12-3) is a more accurate method of verifying normal ocular alignment. The test requires good vision in both eyes. The patient is asked to gaze at a distant target with both eyes open. If both eyes are fixating together on the target, covering one eye should not affect the position or continued fixation of the other eye. To perform the test, the examiner suddenly covers one eye and carefully watches to see that the second eye does not move (indicating that it was fixating on the same target already). If the second eye was not identically aligned but was instead turned abnormally inward or outward, it could not have been simultaneously fixating on the target. Thus, it will have to quickly move to find the target once the previously fixating eye is covered. Fixation of each eye is tested in turn. An abnormal cover test is expected in patients with diplopia. However, diplopia is not always present in many patients with long-standing ocular malalignment. When the test is abnormal, prism lenses of different power can be used to neutralize the refixation movement of the misaligned eye. In this way, the amount of eye deviation can be quantified based on the amount of prism power needed. A more complete discussion of this test and its variations is presented in Chapter 12. Testing Extraocular Movements The patient is asked to follow a target with both eyes as it is moved in each of the four cardinal directions of gaze. The examiner notes the speed, smoothness, range, and symmetry of movements and observes for unsteadiness of fixation (eg, nystagmus). Impairment of eye movements can be due to neurologic problems (eg, cranial nerve palsy), primary extraocular muscular weakness (eg, myasthenia gravis), or mechanical constraints within the orbit limiting rotation of the globe (eg, orbital floor fracture with entrapment of the inferior rectus muscle). If the amount of deviation of ocular alignment is the same in all directions of gaze, is called "comitant." It is "incomitant" if the amount of deviation varies with the direction of gaze. EXTERNAL EXAMINATION Before studying the eye under magnification, a general external examination of the ocular adnexa (eyelids and periocular area) is performed. Skin lesions, growths, and inflammatory signs such as swelling, erythema, warmth, and tenderness are evaluated by gross inspection and palpation. The positions of the eyelids are checked for abnormalities such as ptosis or lid retraction. Asymmetry can be quantified by measuring the central width (in millimeters) of the "palpebral fissure"-the space between the upper and lower lid margins. Abnormal motor function of the lids, such as impairment of upper lid elevation or forceful lid closure, may be due to either neurologic or primary muscular abnormalities. Gross malposition of the globe, such as proptosis, may be seen with certain orbital diseases. Palpation of the bony orbital rim and periocular soft tissue should always be done in instances of suspected orbital trauma, infection, or neoplasm. The general facial examination may contribute other pertinent information as well. Depending on the circumstances, checking for enlarged preauricular lymph nodes, sinus tenderness, temporal artery prominence, or skin or mucous membrane abnormalities may be diagnostically relevant. SLITLAMP EXAMINATION Basic Slitlamp Biomicroscopy The slitlamp (Figure 2-4) is a table-mounted binocular microscope with a special adjustable illumination source attached. A linear slit beam of incandescent light is projected onto the globe, illuminating an optical cross section of the eye (Figure 2-5). The angle of illumination can be varied along with the width, length, and intensity of the light beam. The magnification can be adjusted as well (normally 10× to 16× power). Since the slitlamp is a binocular microscope, the view is "stereoscopic," or three-dimensional. The patient is seated while being examined, and the head is stabilized by an adjustable chin rest and forehead strap. Using the slitlamp alone, the anterior half of the globe-the "anterior segment"-can be visualized. Details of the lid margins and lashes, the palpebral and bulbar conjunctival surfaces, the tear film and cornea, the iris, and the aqueous can be studied. Through a dilated pupil, the crystalline lens and the anterior vitreous can be examined as well. Because the slit beam of light provides an optical cross section of the eye, the precise anteroposterior location of abnormalities can be determined within each of the clear ocular structures (eg, cornea, lens, vitreous body). The highest magnification setting is sufficient to show the abnormal presence of cells within the aqueous, such as red or white blood cells or pigment granules. Aqueous turbidity, called "flare," resulting from increased protein concentration can be detected in the presence of intraocular inflammation. Normal aqueous is optically clear, without cells or flare. Adjunctive Slitlamp Techniques The eye examination with the slitlamp is supplemented by the use of various techniques. Tonometry is discussed separately in a subsequent section. A. Lid Eversion: Lid eversion to examine the undersurface of the upper lid can be performed either at the slitlamp or without the aid of that instrument. It should always be done if the presence of a foreign body is suspected. A semirigid plate of cartilage called the tarsus gives each lid its contour and shape. In the upper lid, the superior edge of the tarsus lies centrally about 8-9 mm above the lashes. On the undersurface of the lid, it is covered by the tarsal palpebral conjunctiva. Following topical anesthesia, the patient is positioned at the slitlamp and instructed to look down. The examiner gently grasps the upper lashes with the thumb and index finger of one hand while using the other hand to position an applicator handle just above the superior edge of the tarsus (Figure 2-6). The lid is everted by applying slight downward pressure with the applicator as the lash margin is simultaneously lifted. The patient continues to look down, and the lashes are held pinned to the skin overlying the superior orbital rim, as the applicator is withdrawn. The tarsal conjunctiva is then examined under magnification. To undo eversion the lid margin is gently stroked downward as the patient looks up. B. Fluorescein Staining: Fluorescein is a specialized dye that stains the cornea and highlights any irregularities of its epithelial surface. Sterile paper strips containing fluorescein are wetted and touched against the inner surface of the lower lid, instilling the yellowish dye into the tear film. The illuminating light of the slitlamp is made blue with a filter, causing the dye to fluoresce. A uniform film of dye should cover the normal cornea. If the corneal surface is abnormal, excessive amounts of dye will absorb into or collect within the affected area. Abnormalities can range from tiny punctate dots, such as those resulting from excessive dryness or ultraviolet light damage, to large geographic defects in the epithelium such as those seen in corneal abrasions or infectious ulcers. C. Special Lenses: Special examining lenses can expand and further magnify the slitlamp examination of the eye's interior. A goniolens (Figure 2-7) provides visualization of the anterior chamber "angle" formed by the iridocorneal junction. Other lenses placed on or in front of the dilated eye allow slitlamp evaluation of the posterior half of the globe's interior-the "posterior segment." Since the slitlamp is a binocular microscope, these lenses provide a magnified three-dimensional view of the posterior vitreous, the fundus, and the disk. Examples are the Goldmann-style three-mirror lens (Figure 2-7), the Hruby lens, and the Volk-style 90-diopter biconvex lens. D. Special Attachments: Special attachments to the slitlamp allow it to be used with a number of techniques requiring microscopic visualization. Special camera bodies can be attached for photographic documentation and for special applications such as corneal endothelial cell studies. Special instruments for study of visual potential require attachment to the slitlamp. Finally, laser sources are attached to a slitlamp to allow microscopic visualization and control of eye treatment. TONOMETRY The globe can be thought of as an enclosed compartment through which there is a constant circulation of aqueous humor. This fluid maintains the shape and a relatively uniform pressure within the globe. Tonometry is the method of measuring the intraocular fluid pressure using calibrated instruments that indent or flatten the corneal apex. As the eye becomes firmer, a greater force is required to cause the same amount of indentation. Pressures between 10 and 24 mm Hg are considered within the normal range. Two common types of tonometry are the Schiotz and applanation methods. The Schiotz tonometer measures the amount of corneal indentation produced by a preset weight or force. The softer the eye, the more a given force will be able to indent the cornea. As the eye becomes firmer, less corneal indentation will result from the same amount of force. In contrast to the Schiotz tonometer, the applanation tonometer can vary and measure the amount of force applied. The ocular pressure is determined by the force required to flatten the cornea by a predetermined standard amount. At lower intraocular pressures, less tonometer force is needed to achieve the standard degree of corneal flattening than at higher intraocular pressures. Since both methods employ devices that touch the patient's cornea, they require topical anesthetic and disinfection of the instrument tip prior to use. (Tonometer disinfection techniques are discussed in Chapter 21.) While retracting the lids with any method of tonometry, care must be taken to avoid pressing on the globe and artificially increasing its pressure. Schiotz Tonometry The advantage of this method is that it is simple, requiring only a portable hand-held instrument-the Schiotz tonometer (Figure 2-8). It can be used in any clinic or emergency room setting, at the hospital bedside, or in the operating room. It is a practical device for the nonophthalmologist, who might use it to screen patients for glaucoma or to diagnose acute angle closure glaucoma in an emergency situation. The three separate components of the tonometer should be cleaned, assembled, and then disassembled with each use. The tonometer body consists of a cylindric hollow plunger barrel fixed to a measuring scale with an indicator needle. The attached handle, which can slide along the outside of the cylindric barrel, supports the weight of the tonometer when it is not resting on the eye. The plunger is a slender blunt-tipped rod that is inserted into the barrel shaft, where it can slide back and forth. One end will touch the cornea, while the other end will deflect the needle of the measuring scale. The 5.5 g weight screwed onto the upper end of the plunger (farthest from the patient) keeps it from falling out of the shaft. The patient is placed supine, and topical anesthetic is instilled into each eye. As the patient looks straight ahead, the lids are kept gently opened by lightly retracting the skin against the bony orbital rims. The tonometer is lowered with the other hand until the concave "end" of the barrel balances on the cornea (Figure 2-9). With a force determined by the attached weight, the blunt protruding plunger will press into and slightly indent the central cornea. The corneal resistance, which is proportionate to the intraocular pressure, will displace the plunger upward. As the plunger slides upward within the barrel, it will deflect the needle on the scale. The higher the intraocular pressure, the greater the corneal resistance to indentation, the more the plunger will be displaced upward, and the farther the needle will be deflected along the calibrated scale. A conversion chart is used to translate the reading from the scale into millimeters of mercury. If the eye is firm, additional weights (7.5 g and 10 g) can be added to the plunger to increase the force brought to bear on the cornea. Calibration is checked by placing the tonometer on a "cornea-shaped" metal block that should deflect the needle maximally so that it aligns with the "0" end of the scale. Applanation Tonometry The Goldmann applanation tonometer (Figure 2-10) is attached to the slitlamp and measures the amount of force required to flatten the corneal apex by a standard amount. The higher the intraocular pressure, the greater the force required. Since Goldmann applanation tonometer is a more accurate method than Schiotz tonometry, it is preferred by ophthalmologists. Following topical anesthesia and instillation of fluorescein, the patient is positioned at the slitlamp and the tonometer is swung into place. To visualize the fluorescein, the cobalt blue filter is used with the brightest illumination setting. After grossly aligning the tonometer in front of the cornea, the examiner looks through the slitlamp ocular just as the tip contacts the cornea. A manually controlled counterbalanced spring varies the force applied by the tonometer tip. Upon contact, the tonometer tip flattens the central cornea and produces a thin circular outline of fluorescein. A prism in the tip visually splits this circle into two semicircles that appear green while viewed through the slitlamp oculars. The tonometer force is adjusted manually until the two semicircles just overlap, as shown in Figure 2-11. This visual end point indicates that the cornea has been flattened by the set standard amount. The amount of force required to do this is translated by the scale into a pressure reading in millimeters of mercury. A portable electronic applanation tonometer, the Tono-Pen, has been developed. Although accurate, it requires daily recalibration. It is more expensive than the Schiotz tonometer and therefore is less often found in clinics and emergency departments. The Perkins tonometer is a portable mechanical applanation tonometer with a mechanism similar to the Goldmann tonometer. The pneumatotonometer is another applanation tonometer, particularly useful when the cornea has an irregular surface. Noncontact Tonometry The noncontact ("air-puff") tonometer is not as accurate as applanation tonometers. A small puff of air is blown against the cornea. The air rebounding from the corneal surface hits a pressure-sensing membrane in the instrument. This method does not require anesthetic drops, since no instrument touches the eye. Thus, it can be more easily used by technicians and is useful in screening programs. DIAGNOSTIC MEDICATIONS Topical Anesthetics Eye drops such as proparacaine, tetracaine, and benoxinate provide rapid onset, short-acting topical anesthesia of the cornea, and conjunctiva. They are used prior to ocular contact with diagnostic lenses and instruments such as the tonometer. Other diagnostic manipulations utilizing topical anesthetics will be discussed later. These include corneal and conjunctival scrapings, lacrimal canalicular and punctal probing, and scleral depression. Mydriatic (Dilating) Drops The pupil can be pharmacologically dilated by either stimulating the iris dilator muscle with a sympathomimetic agent (eg, 2.5% phenylephrine) or by inhibiting the sphincter muscle with an anticholinergic eye drop (eg, 0.5% or 1% tropicamide). Anticholinergic medications also inhibit accommodation, an effect called "cycloplegia." This may aid the process of refraction but causes further inconvenience for the patient. Therefore, drops with the shortest duration of action (usually several hours) are used for diagnostic applications. Combining drops from both pharmacologic classes produces the fastest onset (15-20 minutes) and widest dilation. Because dilation can cause a small rise in intraocular pressure, tonometry should always be performed before these drops are instilled. There is also a risk of precipitating an attack of acute angle-closure glaucoma if the patient has preexisting narrow anterior chamber angles (between the iris and cornea). Such an eye can be identified using the technique illustrated in Figure Figure 2-4. Finally, excessive instillation of these drops should be avoided because of the systemic absorption that can occur through the nasopharyngeal mucous membranes following lacrimal drainage. A more complete discussion of diagnostic drops is found in Chapter 3. DIRECT OPHTHALMOSCOPY Instrumentation The hand-held direct ophthalmoscope provides a magnified (15×) monocular image of the ocular media and fundus. Because of its portability and the detailed view of the disk and retinal vasculature it provides, direct ophthalmoscopy is a standard part of the general medical examination as well as the ophthalmologic examination. Darkening the room usually causes enough natural pupillary dilation to allow evaluation of the central fundus, including the disk, the macula, and the proximal retinal vasculature. Pharmacologically dilating the pupil greatly enhances the view and permits a more extensive examination of the peripheral retina. The fundus examination is also optimized by holding the ophthalmoscope as close to the patient's pupil as possible (approximately 1-2 inches), just as one can see more through a keyhole by getting as close to it as possible. This requires using the examiner's right eye and hand to examine the patient's right eye and the left eye and hand to examine the patient's left eye (Figure 2-12). If the examiner wears spectacles, they can either be left on or off. The intensity, color, and spot size of the illuminating light can be adjusted as well as the ophthalmoscope's point of focus. The latter is changed using a wheel of progressively higher power lenses that the examiner dials into place. These lenses are sequentially arranged and numbered according to their power in units called "diopters." The descending scale of black numbers designates the (+) converging lenses, whereas the ascending scale of red numbers designates the (-) divergent lenses. As one dials this focusing wheel counterclockwise from high plus (+) lenses down to zero and on through increasingly minus (-) lenses, the focus is shifted progressively farther away from the ophthalmoscope toward the patient. By starting with a higher (+) lens and dialing in this direction, the examiner will eventually bring the cornea and iris into focus, followed several steps later by the retina. The refractive error (ie, "prescriptions") of the patient's and the examiner's eyes will determine the lens power needed to bring the fundus into optimal focus. Fundus Examination The primary value of the direct ophthalmoscope is in examination of the fundus (Figure 2-13). The view may be impaired by cloudy ocular media, such as a cataract, or by insufficient pupillary dilation. As the patient fixates on a distant target with the opposite eye, the examiner first brings retinal details into sharp focus. Since the retinal vessels all arise from the disk, the latter is located by following any major vascular branch back to this common origin. At this point, the ophthalmoscope beam will be aimed slightly nasal to the patient's line of vision, or "visual axis." One should study the shape, size, and color of the disk, the distinctness of its margins, and the size of the pale central "physiologic cup." The ratio of cup size to disk size is of diagnostic importance in glaucoma (Figures 2-14 and 2-15). The macular area (Figure 2-13) is located approximately two "disk diameters" temporal to the edge of the disk. A small pinpoint white reflection or "reflex" marks the central fovea. This is surrounded by a more darkly pigmented and poorly circumscribed area called the macula. The retinal vascular branches approach from all sides but stop short of the fovea. Thus, its location can be confirmed by the focal absence of retinal vessels or by asking the patient to stare directly into the light. The major retinal vessels are then examined and followed as far distally as possible in each of the four quadrants (superior, inferior, temporal, and nasal). The veins are darker and wider than their paired arteries. The vessels are examined for color, tortuosity, and caliber as well as for associated abnormalities such as aneurysms, hemorrhages, or exudates. Sizes and distances within the fundus are often measured in "disk diameters (DD)." (The typical optic disk is generally 1.5-2 mm in diameter.) Thus, one might describe a "1 DD area of hemorrhage located 2.5 DD inferotemporal to the fovea." Dilating the pupil pharmacologically enables more of the periphery to be visualized. The patient is asked to look in the direction of the quadrant one wishes to examine. Thus, the temporal retina of the right eye is seen when the patient looks temporally to the right, while the superior retina is seen when the patient looks up. This principle works because as the globe rotates about a point in the center of the eye, the retina and the cornea move in opposite directions. As the patient looks up, the superior retina rotates downward into the examiner's line of vision. The spot size and color of the illuminating light can be varied. If the pupil is well dilated, the large spot size of light affords the widest area of illumination. With a smaller pupil, however, much of this light would be reflected back toward the examiner's eye by the patient's iris, interfering with the view. For this reason, the smaller spot size of light is selected for undilated pupils. The green "red-free" filter assists in the examination of the retinal vasculature and the subtle striations of the nerve fiber layer as they course toward the disk (see Figure 14-6). Anterior Segment Examination As discussed earlier, the direct ophthalmoscope can be focused more anteriorly so as to provide a magnified view of the conjunctiva, cornea, and iris. The slitlamp allows a far superior and more magnified examination of these areas, but it is not portable and may be unavailable. Red Reflex Examination If the illuminating light is aligned directly along the visual axis of a dilated pupil, the pupillary space will appear as a homogeneous bright reddish-orange color. This so-called red reflex is a reflection of the fundus color (actually the combined color of the choroidal vasculature and pigmentation) back through clear ocular media-the vitreous, lens, aqueous, and cornea. The red reflex is best observed by holding the ophthalmoscope at arm's length from the patient as he looks toward the illuminating light. By dialing the lens wheel, the bright red reflex will appear when the ophthalmoscope is focused on the plane of the pupil. Any opacity located along this central optical pathway will block all or part of this bright reflex and appear as a dark spot or shadow. If a small opacity is seen, have the patient look momentarily away and then back toward the light. If the opacity is still moving or floating, it is located within the vitreous (eg, small hemorrhage). If it is stationary, it is probably in the lens (eg, focal cataract) or on the cornea (eg, scar). Less red reflex is visible with a small pupil, limiting the usefulness of this test. INDIRECT OPHTHALMOSCOPY Instrumentation The binocular indirect ophthalmoscope (Figure 2-16) complements and supplements the direct ophthalmoscopic examination. Since it requires wide pupillary dilation and is difficult to learn, this technique is used primarily by ophthalmologists. The patient can be examined while seated, but the supine position is preferable. The indirect ophthalmoscope is worn on the examiner's head and allows binocular viewing through a set of lenses of fixed power. A bright adjustable light source attached to the headband is directed toward the patient's eye. As with direct ophthalmoscopy, the patient is told to look in the direction of the quadrant being examined. A convex lens is hand-held several inches from the patient's eye in precise orientation so as to simultaneously focus light onto the retina and an image of the retina in midair between the patient and the examiner. Using the preset head-mounted ophthalmoscope lenses, the examiner can then "focus on" and visualize this midair image of the retina. Comparison of Indirect & Direct Ophthalmoscopy Indirect ophthalmoscopy is so called because one is viewing an "image" of the retina formed by a hand-held "condensing lens." In contrast, direct ophthalmoscopy allows one to focus on the retina itself. Compared with the direct ophthalmoscope (15× magnification), indirect ophthalmoscopy provides a much wider field of view (Figure 2-17) with less overall magnification (approximately 3.5× using a standard 20-diopter hand-held condensing lens). Thus, it presents a wide panoramic fundus view from which specific areas can be selectively studied under higher magnification using either the direct ophthalmoscope or the slitlamp with special auxiliary lenses. Indirect ophthalmoscopy has three distinct advantages over direct ophthalmoscopy. One is the brighter light source that permits much better visualization through cloudy media. A second advantage is that by using both eyes, the examiner enjoys a stereoscopic view, allowing visualization of elevated masses or retinal detachment in three dimensions. Finally, indirect ophthalmoscopy can be used to examine the entire retina even out to its extreme periphery, the ora serrata. This is possible for two reasons. Optical distortions caused by looking through the peripheral lens and cornea interfere very little with the indirect ophthalmoscopic examination, compared with the direct ophthalmoscope. In addition, the adjunct technique of scleral depression can be used. Scleral depression (Figure 2-18) is performed as the peripheral retina is being examined with the indirect ophthalmoscope. A smooth, thin metal probe is used to gently indent the globe externally through the lids at a point just behind the corneoscleral junction (limbus). As this is done, the ora serrata and peripheral retina are pushed internally into the examiner's line of view. By depressing around the entire circumference, the peripheral retina can be viewed in its entirety. Because of all of these advantages, indirect ophthalmoscopy is used preoperatively and intraoperatively in the evaluation and surgical repair of retinal detachments. A minor disadvantage of indirect ophthalmoscopy is that it provides an inverted image of the fundus, which requires a mental adjustment on the examiner's part. Its brighter light source can also be more uncomfortable for the patient. EYE EXAMINATION BY THE NONOPHTHALMOLOGIST The preceding sequence of tests would comprise a complete routine or diagnostic ophthalmologic evaluation. A general medical examination would often include many of these same testing techniques. Assessment of pupils, extraocular movements, and confrontation visual fields is part of any complete neurologic assessment. Direct ophthalmoscopy should always be performed to assess the appearance of the disk and retinal vessels. Separately testing the visual acuity of each eye (particularly with children) may uncover either a refractive or a medical cause of decreased vision. Finally, screening tonometry measurements using the Schiotz tonometer may detect the asymptomatic elevated intraocular pressure of glaucoma, a prevalent condition among the elderly. The three most common preventable causes of permanent visual loss in developed nations are amblyopia, diabetic retinopathy, and glaucoma. All can remain asymptomatic while the opportunity for preventive measures is gradually lost. During this time, the pediatrician or general medical practitioner may be the only physician the patient visits. By testing children for visual acuity in each eye, examining and referring diabetics for regular dilated fundus ophthalmoscopy, and referring patients with suspicious discs or tonometry readings to the ophthalmologist, the nonophthalmologist may indeed be the one who truly "saves" that patient's eyesight. This represents both an important opportunity and responsibility for every primary care physician. III. SPECIALIZED OPHTHALMOLOGIC EXAMINATIONS This section will discuss ophthalmologic examination techniques with more specific indications that would not be performed on a routine basis. They will be grouped according to the function or anatomic area of primary interest. DIAGNOSIS OF VISUAL ABNORMALITIES 1. PERIMETRY Perimetry is used to examine the central and peripheral visual fields. This technique, which is performed separately for each eye, measures the combined function of the retina, the optic nerve, and the intracranial visual pathway. It is used clinically to detect or monitor field loss due to disease at any of these locations. Damage to specific parts of the neurologic visual pathway may produce characteristic patterns of change on serial field examinations. The visual field of the eye is measured and plotted in degrees of arc. Measurement of degrees of arc remains constant regardless of the distance from the eye the field is checked. The sensitivity of vision is greatest in the center of the field (corresponding to the fovea) and least in the periphery. Perimetry relies on subjective patient responses, and the results will depend on the patient's psychomotor as well as visual status. Perimetry must always be performed and interpreted with this in mind. The Principles of Testing Although perimetry is subjective, the methods discussed below have been standardized to maximize reproducibility and permit subsequent comparison. Perimetry requires (1) steady fixation and attention by the patient; (2) a set distance from the eye to the screen or testing device; (3) a uniform, standard amount of background illumination and contrast; (4) test targets of standard size and brightness; and (5) a universal protocol for administration of the test by examiners. As the patient's eye fixates on a central target, test objects are randomly presented at different locations throughout the field. If they are seen, the patient responds either verbally or with a hand-held signaling device. Varying the target's size or brightness permits quantification of visual sensitivity of different areas in the field. The smaller or dimmer the target seen, the better the sensitivity of that location. There are two basic methods of target presentation-static and kinetic-that can be used alone or in combination during an examination. In static perimetry, different locations throughout the field are tested one at a time. A difficult test object, such as a dim light, is first presented at a particular location. If it is not seen, the size or intensity of the light is incrementally increased until it is just large enough or bright enough to be detected. This is called the "threshold" sensitivity level of that location. This sequence is repeated at a series of other locations, so that the light sensitivity of multiple points in the field can be evaluated and combined to form a profile of the visual field. In kinetic perimetry, the sensitivity of the entire field to one single test object (of fixed size and brightness) is first tested. The object is slowly moved toward the center from a peripheral area until it is first spotted. By moving the same object inward from multiple different directions, a boundary called an "isopter" can be mapped out which is specific for that target. The isopter outlines the area within which the target can be seen and beyond which it cannot be seen. Thus, the larger the isopter, the better the visual field of that eye. The boundaries of the isopter are measured and plotted in degrees of arc. By repeating the test using objects of different size or brightness, multiple isopters can then be plotted for a given eye. The smaller or dimmer test objects will produce smaller isopters. Methods of Perimetry The tangent screen is the simplest apparatus for standardized perimetry. It utilizes different-sized pins on a black wand presented against a black screen and is used primarily to test the central 30 degrees of visual field. The advantages of this method are its simplicity and rapidity, the possibility of changing the subject's distance from the screen, and the option of using any assortment of fixation and test objects, including different colors. The more sophisticated Goldmann perimeter (Figure 2-19) is a hollow white spherical bowl positioned a set distance in front of the patient. A light of variable size and intensity can be presented by the examiner (seated behind the perimeter) in either static or kinetic fashion. This method can test the full limit of peripheral vision and was for years the primary method for plotting fields in glaucoma patients. Computerized automated perimeters (Figure 2-20) now constitute the most sophisticated and sensitive equipment available for visual field testing. Using a bowl similar to the Goldmann perimeter, these instruments display test lights of varying brightness and size but use a quantitative static threshold testing format that is more precise and comprehensive than other methods. Numerical scores (Figure 2-21) corresponding to the threshold sensitivity of each test location can be stored in the computer memory and compared statistically with results from previous examinations or from other normal patients. The higher the numerical score, the better the visual sensitivity of that location in the field. Another important advantage is that the test presentation is programmed and automated, eliminating any variability on the part of the examiner. 2. AMSLER GRID The Amsler grid is used to test the central 20 degrees of the visual field. The grid (Figure 2-22) is viewed by each eye separately at normal reading distance and with reading glasses on if the patient uses them. It is most commonly used to test macular function. While fixating on the central dot, the patient checks to see that the lines are all straight, without distortion, and that no spots or portions of the grid are missing. One eye is compared with the other. A scotoma or blank area-either central or paracentral-can indicate disease of the macula or optic nerve. Wavy distortion of the lines (metamorphopsia) can indicate macular edema or submacular fluid. The grid can be used by patients at home to test their own central vision. For example, patients with age-related macular degeneration (see Chapter 10) can use the grid to monitor for sudden metamorphopsia. This often is the earliest symptom of acute fluid accumulation beneath the macula arising from leaking subretinal neovascularization. Since these abnormal vessels may be treatable with the laser, early detection is important. 3. BRIGHTNESS ACUITY TESTING The visual abilities of patients with media opacities may vary depending on conditions of lighting. For example, when dim illumination makes the pupil larger, one may be able to "see around" a central focal cataract, whereas bright illumination causing pupillary constriction would have the contrary effect. Bright lights may also cause disabling glare in patients with corneal edema or diffuse clouding of the crystalline lens due to light scattering. Because the darkened examining room may not accurately elicit the patient's functional difficulties in real life, instruments have been developed to test the effect of varying levels of brightness or glare on visual acuity. Distance acuity with the Snellen chart is usually tested under standard levels of incrementally increasing illumination, and the information may be helpful in making therapeutic or surgical decisions. Asking cataract patients specific questions about how their vision is affected by various lighting conditions is even more important. 4. COLOR VISION TESTING Normal color vision requires healthy function of the macula and optic nerve. The most common abnormality is red-green "color blindness," which is present in approximately 8% of the male population. This is due to an X-linked congenital deficiency of one specific type of retinal photoreceptor. Depressed color vision may also be a sensitive indicator of certain kinds of acquired macular or optic nerve disease. For example, in optic neuritis or optic nerve compression (eg, by a mass), abnormal color vision is often an earlier indication of disease than visual acuity, which may still be 20/20. The most common testing technique utilizes a series of polychromatic plates, such as those of Ishihara or Hardy-Rand-Rittler (Figure 2-23). The plates are made up of dots of the primary colors printed on a background mosaic of similar dots in a confusing variety of secondary colors. The primary dots are arranged in simple patterns (numbers or geometric shapes) that cannot be recognized by patients with deficient color perception. 5. CONTRAST SENSITIVITY TESTING Contrast sensitivity is the ability of the eye to discern subtle degrees of contrast. Retinal and optic nerve disease and clouding of the ocular media (eg, cataracts) can impair this ability. Like color vision, contrast sensitivity may become depressed before Snellen visual acuity is affected in many situations. Contrast sensitivity is best tested by using standard preprinted charts with a series of test targets (Figure 2-24). Since illumination greatly affects contrast, it must be standardized and checked with a light meter. Each separate target consists of a series of dark parallel lines in one of three different orientations. They are displayed against a lighter, contrasting gray background. As the contrast between the lines and their background is progressively reduced from one target to the next, it becomes more difficult for the patient to judge the orientation of the lines. The patient can be scored according to the lowest level of contrast at which the pattern of lines can still be discerned. 6. ASSESSING POTENTIAL VISION When opacities of the cornea or lens coexist with disease of the macula or optic nerve, the visual potential of the eye is often in doubt. The benefit of corneal transplantation or cataract extraction will depend on the severity of coexisting retinal or optic nerve impairment. Several methods are available for assessing central visual potential under these circumstances. Even with a totally opaque cataract that completely prevents a view of the fundus, the patient should still be able to identify the direction of a light directed into the eye from different quadrants. When a red lens is held in front of the light, the patient should be able to differentiate between white and red light. The presence of a Marcus Gunn afferent pupillary defect indicates significant disease of the retina or optic nerve and thus a poor visual prognosis. A gross test of macular function involves the patient's ability to perceive so-called entoptic phenomena. For example, as the eyeball is massaged with a rapidly moving penlight through the closed lids, the patient should be able to visualize an image of the paramacular vascular branches if the macula is healthy. These may be described as looking like "the veins of a leaf." Because this test is highly subjective and subject to interpretation, it is only helpful if the patient is able to recognize the vascular pattern in at least one eye. Absence of the pattern in the opposite eye then suggests macular impairment. In addition to these gross methods, sophisticated quantitative instruments have been developed for more direct determination of visual potential in eyes with media opacities. These instruments project a narrow beam of light containing a pattern of images through any relatively clear portion of the media (eg, through a less dense region of a cataract) and onto the retina. The patient's vision is then graded according to the size of the smallest patterns that can be seen. Two different types of patterns are used. Laser interferometry employs laser light to generate interference fringes or gratings, which the patient sees as a series of parallel lines. Progressively narrowing the width and spacing of the lines causes an end point to be reached where the patient can no longer discern the orientation of the lines. The narrowest image width the patient can resolve is then correlated with a Snellen acuity measurement to determine the visual potential of that eye. The potential acuity meter projects a standard Snellen acuity chart onto the retina. The patient is then graded in the usual fashion, according to the smallest line of letters read. Although both instruments appear useful in measuring potential visual acuity, false-positive and false-negative results do occur, with a frequency dependent on the type of disease present. Thus, these methods are helpful but not completely reliable in determining the visual prognosis of eyes with cloudy media. 7. TESTS FOR FUNCTIONAL VISUAL LOSS The measurement of vision is subjective, requiring responses on the part of the patient. The validity of the test may therefore be limited by the alertness or cooperation of the patient. "Functional" visual loss is a subjective complaint of impaired vision without any demonstrated organic or objective basis. Examples include hysterical blindness and malingering. Recognition of functional visual loss or malingering depends on the use of testing variations in order to elicit inconsistent or contradictory responses. An example would be eliciting "tunnel" visual fields using the tangent screen. A patient claiming "poor vision" and tested at the standard distance of 1 meter may map out a narrow central zone of intact vision beyond which even large objects-such as a hand-allegedly cannot be seen. The borders ("isopter") of this apparently small area are then marked. The patient is then moved back to a position 2 meters from the tangent screen. From this position, the field should be twice as large as the area plotted from 1 meter away. If the patient outlines an area of the same size from both testing distances, this raises a strong suspicion of functional visual loss, but a number of conditions such as advanced glaucoma, severe retinitis pigmentosa, and cortical blindness would need to be excluded. A variety of other different tests can be chosen to assess the validity of different degrees of visual loss that may be in question. DIAGNOSIS OF OCULAR ABNORMALITIES 1. MICROBIOLOGY & CYTOLOGY Like any mucous membrane, the conjunctiva can be cultured with swabs for the identification of bacterial infection. Specimens for cytologic examination are obtained by lightly scraping the palpebral conjunctiva (ie, lining the inner aspect of the lid) with a small platinum spatula following topical anesthesia. For the cytologic evaluation of conjunctivitis, Giemsa's stain is used to identify the types of inflammatory cells present, while Gram's stain may demonstrate the presence (and type) of bacteria. These applications are discussed at length in Chapter 5. The cornea is normally sterile. The base of any suspected infectious corneal ulcer should be scraped with the platinum spatula for Gram staining and culture. This procedure is performed at the slitlamp. Because in many cases only trace quantities of bacteria are recoverable, the spatula should be used to plate the specimen directly onto the culture plate without the intervening use of transport media. Any amount of culture growth, no matter how scant, is considered significant, but many cases of infection may still be "culture-negative." Culture of intraocular fluids is the only reliable method of diagnosing or ruling out infectious endophthalmitis. Aqueous can be tapped by inserting a short 25-gauge needle on a tuberculin syringe through the limbus parallel to the iris. Care must be taken not to traumatize the lens. The diagnostic yield is better if vitreous is cultured. Vitreous specimens can be obtained by a needle tap through the pars plana or by doing a surgical vitrectomy. In the evaluation of noninfectious intraocular inflammation, cytology specimens are occasionally obtained using similar techniques. 2. TECHNIQUES FOR CORNEAL EXAMINATION Several additional techniques are available for more specialized evaluation of the cornea. The keratometer is a calibrated instrument that measures the radius of curvature of the cornea in two meridians 90 degrees apart. If the cornea is not perfectly spherical, the two radii will be different. This is called astigmatism and is quantified by measuring the difference between the two radii of curvature. Keratometer measurements are used in contact lens fitting and for intraocular lens power calculations prior to cataract surgery. Many corneal diseases result in distortion of the otherwise smooth surface of the cornea, which impairs its optical quality. The photokeratoscope is an instrument that assesses the uniformity and evenness of the surface by reflecting a pattern of concentric circles onto it. This pattern, which can be visualized and photographed through the instrument, should normally appear perfectly regular and uniform. Focal corneal irregularities will instead distort the circular patterns reflected from that particular area. Computerized corneal topography is the most advanced technique of mapping the anterior corneal surface. Whereas keratometry provides only a single corneal curvature measurement and photokeratoscopy provide only qualitative information, these computer systems combine and improve on the features of both. A real time video camera records the concentric keratoscopic rings reflected from the cornea. A personal computer digitizes these data from thousands of locations across the corneal surface and displays these measurements in a color-coded map (Figure 2-25). This enables one to quantify and analyze minute changes in shape and refractive power across the entire cornea induced by disease or surgery. The endothelium is an irreplaceable monolayer of cells lining the posterior corneal surface. These cells function as fluid pumps and are responsible for keeping the cornea thin and dehydrated, thereby maintaining its optical clarity. If these cells become impaired or depleted, corneal edema and thickening result, ultimately decreasing vision. Central corneal thickness can be accurately measured with a pachymeter, a device for quantifying and monitoring these changes. The endothelial cells themselves can be photographed with a special slitlamp camera, enabling one to study cell morphology and perform cell counts. 3. GONIOSCOPY The anterior chamber-the space between the iris and the cornea-is filled with liquid aqueous humor. The aqueous, which is produced behind the iris by the ciliary body, exits the eye through a tiny sieve-like drainage network called the trabecular meshwork. The meshwork is arranged as a thin circumferential band of tissue just anterior to the base of the iris and within the angle formed by the iridocorneal junction (Figure 11-3). This angle recess can vary in its anatomy, pigmentation, and width of opening-all of which may affect aqueous drainage and be of diagnostic relevance for glaucoma. Gonioscopy is the method of examination of the anterior chamber angle anatomy using binocular magnification and a special goniolens. The Goldmann and Posner/Zeiss types of goniolenses (Figure 2-7) have special mirrors angled so as to provide a line of view parallel with the iris surface and directed peripherally toward the angle recess. After topical anesthesia, the patient is seated at the slitlamp and the goniolens is placed on the eye (Figure 2-26). Magnified details of the anterior chamber angle are viewed stereoscopically. By rotating the mirror, the entire 360-degree circumference of the angle can be examined. The same lens can be used to direct laser treatment toward the angle as therapy for glaucoma. A third type of goniolens, the Koeppe lens, requires a special illuminator and a separate handheld binocular microscope. It is used with the patient lying supine and can thus be used either in the office or in the operating room (either diagnostically or for surgery). 4. GOLDMANN THREE-MIRROR LENS The Goldmann lens is a versatile adjunct to the slitlamp examination (Figure 2-7). Three separate mirrors, all with different angles of orientation, allow the examiner's line of sight to be directed peripherally at three different angles while using the standard slitlamp. The most anterior and acute angle of view is achieved with the goniolens, discussed above. Through a dilated pupil, the other two mirrored lenses angle the examiner's view toward the retinal mid periphery and far periphery, respectively. As with gonioscopy, each lens can be rotated 360 degrees circumferentially and can be used to aim laser treatment. A fourth central lens (no mirror) is used to examine the posterior vitreous and the centralmost area of the retina. The stereoscopic magnification of this method provides the greatest three-dimensional detail of the macula and disk. The patient's side of the lens has a concavity designed to fit directly over the topically anesthetized cornea. A clear, viscous solution of methylcellulose is placed in the concavity of the lens prior to insertion onto the patient's eye. This eliminates interference from optical interfaces, such as bubbles, and provides mild adhesion of the lens to the eye for stabilization. 5. FUNDUS PHOTOGRAPHY Special retinal cameras are used to document details of the fundus for study and future comparison. Standard film is used for 35 mm color slides which can be easily stored. As with any form of ophthalmoscopy, a dilated pupil and clear ocular media provide the most optimal view. All of the fundus photographs in this textbook were taken with such a camera. One of the most common applications is disk photography, used in the evaluation for glaucoma. Since the slow progression of glaucomatous optic nerve damage may be evident only by subtle alteration of the disk's appearance over time (see Chapter 11), precise documentation of its morphology is needed. By slightly shifting the camera angle on two consecutive shots, a "stereo" pair of slides can be produced which will provide a three-dimensional image when studied through a stereoscopic slide viewer. Stereo disk photography thus provides the most sensitive means of detecting increases in glaucomatous cupping. 6. FLUORESCEIN ANGIOGRAPHY The capabilities of fundus photographic imaging can be tremendously enhanced by fluorescein, a dye whose molecules emit green light when stimulated by blue light. When photographed, the dye highlights vascular and anatomic details of the fundus. Fluorescein angiography has become indispensable in the diagnosis and evaluation of many retinal conditions. Because it can so precisely delineate areas of abnormality, it is an essential guide for planning laser treatment of retinal vascular disease. Technique The patient is seated in front of the retinal camera following pupillary dilation. After a small amount of fluorescein is injected into a vein in the arm, it circulates throughout the body before eventually being excreted by the kidneys. As the dye passes through the retinal and choroidal circulation, it can be visualized and photographed because of its properties of fluorescence. Two special filters within the camera produce this effect. A blue "excitatory" filter bombards the fluorescein molecules with blue light from the camera flash, causing them to emit a green light. The "barrier" filter allows only this emitted green light to reach the photographic film, blocking out all other wavelengths of light. A black and white photograph results in which only the fluorescein image is seen. Because the fluorescein molecules do not diffuse out of normal retinal vessels, the latter are highlighted photographically by the dye, as seen in Figure 2-27. The diffuse, background "ground glass" appearance results from fluorescein filling of the separate underlying choroidal circulation. The choroidal and retinal circulations are anatomically separated by a thin, homogeneous monolayer of pigmented cells-the "retinal pigment epithelium." Denser pigmentation located in the macula obscures more of this background choroidal fluorescence (Figure 2-27) causing the darker central zone on the photograph. In contrast, focal atrophy of the pigment epithelium causes an abnormal increase in visibility of the background fluorescence (Figure 2-28). Applications A high-speed motorized film advance allows for rapid sequence photography of the dye's transit through the retinal and choroidal circulations over time. A fluorescein study or "angiogram" therefore consists of multiple black and white photos of the fundi taken at different times following dye injection (Figure 2-29). Early phase photos document the dye's initial rapid, sequential perfusion of the choroid, the retinal arteries, and the retinal veins. Later phase photos may, for example, demonstrate the gradual, delayed leakage of dye from abnormal vessels. This extravascular dye-stained edema fluid will persist long after the intravascular fluorescein has exited the eye. Figure 2-29 illustrates several of the retinal vascular abnormalities that are well demonstrated by fluorescein angiography. The dye delineates structural vascular alterations, such as aneurysms or neovascularization. Changes in blood flow such as ischemia and vascular occlusion are seen as an interruption of the normal perfusion pattern. Abnormal vascular permeability is seen as a leaking cloud of dye-stained edema fluid increasing over time. Hemorrhage does not stain with dye but rather appears as a dark, sharply demarcated void. This is due to blockage and obscuration of the underlying background fluorescence. 7. INDOCYANINE GREEN ANGIOGRAPHY The principal use for fluorescein angiography in age-related macular degeneration (Chapter 10) is in locating subretinal choroidal neovascularization for possible laser photocoagulation. The angiogram may show a well-demarcated neovascular membrane. Frequently, however, the area of choroidal neovascularization is poorly defined ("occult") because of surrounding or overlying blood, exudate, or serous fluid. Indocyanine green angiography is a separate technique that is superior for imaging the choroidal circulation. Fluorescein diffuses out of the choriocapillaris, creating a diffuse background fluorescence. As opposed to fluorescein, indocyanin green is a larger molecule that binds completely to plasma proteins, causing it to remain in the choroidal vessels. Thus, larger choroidal vessels can be imaged. Unique photochemical properties allow the dye to be transmitted better through melanin (eg, in the retinal pigment epithelium), blood, exudate, and serous fluid. This technique therefore serves as an important adjunct to fluorescein angiography for imaging occult choroidal neovascularization and other choroidal vascular abnormalities. Following dye injection, angiography is performed using special digital video cameras. The digital images can be further enhanced and analyzed by computer before being printed. 8. ELECTROPHYSIOLOGIC TESTING Physiologically, "vision" results from a series of electrical signals initiated in the retina and ending in the occipital cortex. Electroretinography, electro- oculography, and visual evoked response testing are methods of evaluating the integrity to the neural circuitry. Electroretinography (ERG) & Electro-oculography (EOG) Electroretinography measures the electrical response of the retina to flashes of light, the flash electroretinogram (ERG), or to a reversing checkerboard stimulus, the pattern ERG (pattern ERG (PERG)). The recording electrode is placed on the surface of the eye and a reference electrode on the skin of the face. The amplitude of the electrical signal is less than 1 mV, and amplification of the signal and computer averaging of the response to repeated trials are thus necessary to achieve reliable results. The flash ERG has two major components: the "a wave" and the "b wave." An early receptor potential (ERP) preceding the "a wave" and oscillatory potentials superimposd on the "b wave" may be recorded under certain circumstances. The early part of the flash ERG reflects photoreceptor function, whereas the later response particularly reflects the function of the Müller cells, which are glial cells within the retina. Varying the intensity, wavelength, and frequency of the light stimulus and recording under conditions of light or dark adaptation modulates the waveform of the flash ERG and allows examination of rod and cone photoreceptor function. The flash ERG is a diffuse response from the whole retina and is thus sensitive only to widespread, generalized diseases of the retina-eg, inherited retinal degenerations (retinitis pigmentosa), in which flash ERG abnormalities precede visual loss; congenital retinal dystrophies, in which flash ERG abnormalities may precede ophthalmoscopic abnormalities; and toxic retinopathies from drugs or chemicals (eg, iron intraocular foreign bodies). It is not sensitive to focal retinal disease even when the macula is affected, and is not sensitive to abnormalities of the retinal ganglion cell layer such as in optic nerve disease. The PERG also has two major components: a positive wave at about 50 ms (P50) and a negative wave at about 95 ms (N95) from the time of the pattern reversal. The P50 seems to reflect macular retinal function, whereas the N95 appears to reflect ganglion cell function. Thus, the PERG is useful in distinguishing retinal and optic nerve dysfunction and in diagnosing macular disease. Electro-oculography (EOG) measures the standing corneoretinal potential. Electrodes are placed at the medial and lateral canthi to record the changes in electrical potential while the patient performs horizontal eye movements. The amplitude of the corneoretinal potential is least in the dark and maximal in the light. The ratio of the maximum potential in the light to the minimum in the dark is known as the Arden index. Abnormalities of the EOG principally occur in diseases diffusely affecting the retinal pigment epithelium and the photoreceptors and often parallel abnormalities of the flash ERG. Certain diseases such as Best's vitelliform dystrophy produce a normal ERG but a characteristically abnormal EOG. EOG is also used to record eye movements. Visual Evoked Response (VER) Like electroretinography, the visual evoked response measures the electrical potential resulting from a visual stimulus. However, because it is measured by scalp electrodes placed over the occipital cortex, the entire visual pathway from retina to cortex must be intact in order to produce a normal electrical waveform reading. Like the ERG wave, the VER pattern is plotted on a scale displaying both amplitude and latency (Figure 2-30). Interruption of neuronal conduction by a lesion will result in reduced amplitude of the VER. Reduced speed of conduction, such as with demyelination, abnormally prolongs the latency of the VER. Unilateral prechiasmatic (retinal or optic nerve) disease can be diagnosed by stimulating each eye separately and comparing the responses. Postchiasmatic disease (eg, homonymous hemianopia) can be identified by comparing the electrode responses measured separately over each hemisphere. Proportionately, the majority of the occipital lobe area is devoted to the macula. This large cortical area representing the macula is also in close proximity to the scalp electrode, so that the clinically measured VER is primarily a response generated by the macula and optic nerve. An abnormal VER would thus indicate poor central visual acuity, making it a valuable objective test in situations where subjective testing is unreliable. Such patients might include infants, unresponsive individuals, and suspected malingerers. 9. DARK ADAPTATION In going from conditions of bright light to darkness, a certain period of time must pass before the retina regains its maximal sensitivity to low amounts of light. This phenomenon is called dark adaptation. It can be quantified by measuring the recovery of retinal sensitivity to low light levels over time following a standard period of bright light exposure. Dark adaptation is often abnormal in retinal diseases characterized by rod photoreceptor dysfunction and impaired night vision. DIAGNOSIS OF EXTRAOCULAR ABNORMALITIES 1. LACRIMAL SYSTEM EVALUATION Evaluation of Tear Production Tears and their components are produced by the lacrimal gland and accessory glands in the lid and conjunctiva (see Chapter 4). The Schirmer test is a simple method for assessing gross tear production. Schirmer strips are disposable dry strips of filter paper in standard 5 × 35 mm sizes. The tip of one end is folded at the preexisting notch so that it can drape over the lower lid margin just lateral to the cornea. Tears in the conjunctival sac will cause progressive wetting of the paper strip. The distance between the leading edge of wetness and the initial fold can be measured after 5 minutes, using a millimeter ruler. The ranges of normal measurements vary depending on whether or not topical anesthetic is used. Without anesthesia, irritation from the Schirmer strip itself will cause reflex tearing, thereby increasing the measurement. With anesthesia, less than 5 mm of wetting after 5 minutes is considered abnormal. Significant degrees of chronic dryness cause surface changes in the exposed areas of the cornea and conjunctiva. Fluorescein will stain punctate areas of epithelial loss on the cornea. Another dye, rose bengal, is able to stain devitalized cells of the conjunctiva and cornea before they actually degenerate and drop off. Evaluation of Lacrimal Drainage The anatomy of the lacrimal drainage system is discussed in Chapters 1 and 4. The pumping action of the lids draws tears nasally into the upper and lower canalicular channels through the medially located "punctal" openings in each lid margin. After collecting in the lacrimal sac, the tears then drain into the nasopharynx via the nasolacrimal duct. Symptoms of watering are frequently due to increased tear production as a reflex response to some type of ocular irritation. However, the patency and function of the lacrimal drainage system must be checked in the evaluation of otherwise unexplained tearing. The Jones I test evaluates whether the entire drainage system as a whole is functioning. Concentrated fluorescein dye is instilled into the conjunctival sac on the side of the suspected obstruction. After 5 minutes, a cotton Calgiswab is used to attempt to recover dye from beneath the inferior nasal turbinate. Alternatively, the patient blows his nose into a tissue which is checked for the presence of dye. Recovery of any dye indicates that the drainage system is functioning. The Jones II test is performed if no dye is recovered, indicating some abnormality of the system. Following topical anesthesia, a smooth-tipped metal probe is used to gently dilate one of the puncta (usually lower). A 3-mL syringe with sterile water or saline is prepared and attached to a special lacrimal irrigating cannula. This blunt-tipped cannula is used to gently intubate the lower canaliculus, and fluid is injected as the patient leans forward. With a patent drainage system, fluid should easily flow into the patient's nasopharynx without resistance. If fluorescein can now be recovered from the nose following irrigation, a partial obstruction might have been present. Recovery of clear fluid without fluorescein, however, may indicate inability of the lids to initially pump dye into the lacrimal sac with an otherwise patent drainage apparatus. If no fluid can be irrigated through to the nasopharynx using the syringe, total occlusion is present. Finally, some drainage problems may be due to stenosis of the punctal lid opening, in which case the preparatory dilation may be therapeutic. 2. METHODS OF ORBITAL EVALUATION Exophthalmometry A method is needed to measure the anteroposterior location of the globe with respect to the bony orbital rim. The lateral orbital rim is a discrete, easily palpable landmark and is used as the reference point. The exophthalmometer (Figure 2-31) is a hand-held instrument with two identical measuring devices (one for each eye), connected by a horizontal bar. The distance between the two devices can be varied by sliding one toward or away from the other, and each has a notch that fits over the edge of the corresponding lateral orbital rim. When properly aligned, an attached set of mirrors reflects a side image of each eye profiled alongside a measuring scale, calibrated in millimeters. The tip of the corneal image aligns with a scale reading representing its distance from the orbital rim. The patient is seated facing the examiner. The distance between the two measuring devices is adjusted so that each aligns with and abuts against its corresponding orbital rim. To allow reproducibility for repeat measurements in the future, the distance between the two devices is recorded from an additional scale on the horizontal bar. Using the first mirror scale, the patient's right eye position is measured as it fixates on the examiner's left eye. The patient's left eye is measured while fixating on the examiner's right eye. The distance from the cornea to the orbital rim typically ranges from 12 to 20 mm, and the two eye measurements are normally within 2 mm of each other. A greater distance is seen in exophthalmos, which can be unilateral or bilateral. This abnormal forward protrusion of the eye can be produced by any significant increase in orbital mass, because of the fixed size of the bony orbital cavity. Causes might include orbital hemorrhage, neoplasm, inflammation, or edema. Ultrasonography Ultrasonography utilizes the principle of sonar to study structures that may not be directly visible. It can be used to evaluate either the globe or the orbit. High-frequency sound waves are emitted from a special transmitter toward the target tissue. As the sound waves bounce back off the various tissue components, they are collected by a receiver that amplifies and displays them on an oscilloscope screen. A single probe that contains both the transmitter and receiver is placed against the eye and used to aim the beam of sound (Figure 2-32). Various structures in its path will reflect separate echoes (which arrive at different times) back toward the probe. Those derived from the most distal structures arrive last, having traveled the farthest. There are two methods of clinical ultrasonography: A scan and B scan. In A scan ultrasonography, the sound beam is aimed in a straight line. Each returning echo is displayed as a spike whose amplitude is dependent on the density of the reflecting tissue. The spikes are arranged in temporal sequence, with the latency of each signal's arrival correlating with that structure's distance from the probe (Figure 2-33). If the same probe is now swept across the eye, a continuous series of individual A scans is obtained. From spatial summation of these multiple linear scans, a two-dimensional image, or B scan, can be constructed. Both A and B scans can be used to image and differentiate orbital disease or intraocular anatomy concealed by opaque media. In addition to defining the size and location of intraocular and orbital masses, A and B scans can provide clues to the tissue characteristics of a lesion (eg, solid, cystic, vascular, calcified). For purposes of measurement, the A scan is the most accurate method. Sound echoes reflected from two separate locations will reach the probe at different times. This temporal separation can be used to calculate the distance between the points, based on the speed of sound in the tissue medium. The most commonly used ocular measurement is the axial length (cornea to retina). This is important in cataract surgery in order to calculate the power for an intraocular lens implant. A scans can also be used to quantify tumor size and monitor growth over time. The application of pulsed ultrasound and spectral Doppler techniques to orbital ultrasonography provides information on the orbital vasculature. It is certainly possible to determine the direction of flow in the ophthalmic artery and the ophthalmic veins, reversal of flow in these vessels occurring in internal carotid artery occlusion and carotid-cavernous fistula, respectively. As yet, the value of measuring flow velocities in various vessels, including the posterior ciliary arteries, without being able to measure blood vessel diameter is not fully established. 3. OPHTHALMIC RADIOLOGY Plain x-rays and CT scans (Figures 13-1 and 13-2) are useful in the evaluation of orbital and intracranial conditions. CT scan in particular has become the most widely used method for localizing and characterizing structural disease in the extraocular visual pathway. Common orbital abnormalities demonstrated by CT scan include neoplasms, inflammatory masses, fractures, and extraocular muscle enlargement associated with Graves' disease. The intraocular applications of radiology are primarily in the detection of foreign bodies following trauma and the demonstration of intraocular calcium in tumors such as retinoblastoma. CT scan is useful for foreign body localization because of its multidimensional reformatting capabilities and its ability to image the ocular walls. 4. MAGNETIC RESONANCE IMAGING The technique of magnetic resonance imaging (MRI) has many applications in orbital and intracranial diagnosis. Improvements such as surface receiver coils and thin section techniques have improved the anatomic resolution in the eye and orbit. Unlike CT, the MRI technique does not expose the patient to ionizing radiation. Multidimensional views (axial, coronal, and sagittal) are possible without having to reposition the patient. Since MRI might cause movement of metal, it should not be used if a metallic foreign body is suspected. Because it can better differentiate between tissues of different water content, MRI is superior to CT in its ability to image edema, areas of demyelination, and vascular lesions. Bone generates a weak MRI signal, allowing improved resolution of intraosseous disease and a clearer view of the intracranial posterior fossa. Examples of MRI scans are presented in Chapters 13 and 14. 5. OPHTHALMODYNAMOMETRY Ophthalmodynamometry gives an approximate measurement of the relative pressures in the central retinal arteries and is an indirect means of assessing carotid artery flow on either side. The test consists of exerting pressure on the sclera with a spring plunger while observing with an ophthalmoscope the vessels emerging from the optic disk. Ophthalmodynamometry is useful in the neurologic evaluation of patients who complain of "blacking out" (amaurosis fugax) in one eye, spells of weakness on one side of the body, or other symptoms of transient cerebral ischemia. A difference of more than 20% in the diastolic pressures between the two eyes suggests insufficiency of the carotid arterial system on the side with the lower reading. The test is often performed in conjunction with angiography and ultrasonography of the carotid arteries. REFERENCESList of Figures
10.1036/1535-8860.ch2 |