Chapter 51
Gram-Positive Aerobic Rods
VICENTE VITIELLO and ANDREW J.W. HUANG
Main Menu   Table Of Contents

Search

BACILLUS SPECIES
CORYNEBACTERIUM SPECIES
LISTERIA SPECIES
NOCARDIA SPECIES
REFERENCES

Aerobic gram-positive rods are infrequent ocular isolates. Bacillus and Corynebacterium are the most common genera associated with ocular infections (Table 1).

 

TABLE ONE. Gram-Positive Bacteria of Ocular Importance


BacillusCorynebacteriumOthers
B. anthracisC. aquaticumListeria monocytogenes
B. coagulansC. diphtheriaeNocardia asteroides
B. cereusC. jeikeiumPropionibacterium acnes
B. circulansC. matruchotiiErysipelothrix rhusiopathiae
B. licheniformisC. minutissimumKurthia zopfii
B. mycoidesC. pseudodiphteriticumEubacterium lentum
B. subtilis Bifidobacterium dentium
 C. pseudotuberculosis 
 C. striatumClostridium perfringens
 C. xerosis 

 

Back to Top
BACILLUS SPECIES
The genus Bacillus is a family of large, gram-positive, spore-forming, aerobic, and facultatively anaerobic rods containing 34 species. With the exception of B. anthracis, they are opportunistic pathogens, causing disease in the presence of a foreign body (e.g., prosthesis, catheter, or shunt), after surgery or trauma, or in intravenous drug abusers. B. cereus can either cause infection or be isolated as a contaminant. These bacteria are found commonly in air, soil, dust, hay, milk, water, and wood. Bacillus species are important sources of antibiotics (e.g., bacitracin and polymyxins).

VIRULENCE FACTORS AND IDENTIFICATION

B. anthracis is a large organism that is arranged as single or paired bacilli in clinical specimens and as long serpentine chains and clumps in cultures. In addition to its capsular antigen, B. anthracis has a polysaccharide cell-wall somatic antigen and a toxin associated with it. This toxin consists of three antigenically distinct, heat-labile components: protective antigen, lethal factor, and edema factor. Although none of the components are active alone, the combination of protective antigen with either of the other components has toxic properties. The two major factors responsible for B. anthracis virulence are the presence of the capsule and toxin production.1,2

B. anthracis can be readily detected by the microscopic examination and culture of corneal ulcers. Large gram-positive bacilli are seen in tissue. It will grow on nonselective laboratory media with the appearance of nonhemolytic, readily growing, adherent colonies. Definitive identification requires the use of selected chemical tests and demonstration that B. anthracis is nonmotile. B. cereus also grows rapidly and is readily detected in specimens collected from infected eyes. It can resemble B. anthracis but generally is motile and produces markedly hemolytic colonies.

OCULAR INFECTION

Bacillus organisms are a rare but serious cause of endophthalmitis and suppurative keratitis.3,4 Several species recovered from eye infections have been identified. Failure of contact lens disinfection is an important predisposing factor to corneal infection by these organisms.5–7 In one study, 3% of contact lens-associated corneal ulcers were caused by Bacillus organisms.8 Bacillus organisms have been found in the contact lens care systems of 3% to 7% of asymptomatic patients.9,10 These organisms form spores that are resistant to heat and many types of chemical disinfectants. Once a care system is contaminated, it may be difficult to eradicate the organism.

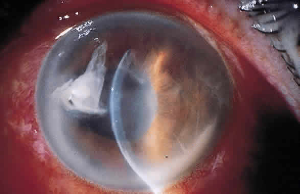
The clinical onset of B. anthracis keratitis can begin with multifocal epithelial opacities that lead to a focal stromal infiltrate. B. cereus keratitis also can be extremely severe and can rapidly progress to perforation. It may be characterized by a ring infiltrate in the stroma that is remote from the site of the injury (Fig. 1).11 A history of a corneal foreign body or other corneal trauma preceding the infection generally can be obtained (Fig. 2). B. cereus is one of the most destructive organisms affecting the inner eye that often follows trauma. The source of the organisms can be either soil contamination of the object penetrating the eye or direct inoculation of organisms colonizing the eye surface. B. cereus panophthalmitis almost always ends in complete loss of light perception within 48 hours of the injury with massive vitreoretinal destruction. The pathogenesis of B. cereus panophthalmitis is incompletely defined. At least three toxins have been implicated: necrotic toxin (a heat-labile enterotoxin), cereolysin (a potent hemolysin named after the species), and phospholipase C (a potent lecithinase). It is likely that the rapid destruction of the eye, which is characteristic of B. cereus infection, is the result of interactions of these toxins and unidentified factors.

Fig. 1. Necrotizing ring infiltrate caused by Bacillus cereus.

Fig. 2. Focal stromal infiltrate with anterior chamber inflammation in Bacillus cereus keratitis after corneal trauma.

SUSCEPTIBILITY

The choice of treatment should be confirmed by in vitro testing. In general, B. cereus is sensitive to clindamycin, vancomycin, and the aminoglycosides, whereas B. anthracis is sensitive to penicillin, tetracycline, and chloramphenicol.

Back to Top
CORYNEBACTERIUM SPECIES
Corynebacteria are a heterogenous group of organisms sometimes called “coryneforms” or “diphtheroids” (named after the most pathogenic member, C. diphtheriae). They are small, usually pleomorphic, irregularly shaped gram-positive rods that appear in short chains (U or Y configurations) or in clumps resembling Chinese letters.

The genus Corynebacterium is restricted to bacteria with cell walls containing mesodiaminopimelic acid, arabino-galactose polymers, and short-chain mycolic acids. They are aerobic, nonspore forming, nonacid-fast, nonmotile, and catalase-positive and can ferment carbohydrates to produce lactic acid. A spectrum of corynebacterial isolates from clinical specimens has been examined systemically.12

VIRULENCE FACTORS AND IDENTIFICATION

C. diphtheriae, the major pathogen in this group, produces a necrotizing toxin that enables it to penetrate an intact corneal epithelium. This protein is a 63-kd protein that consists of two fragments. One of them binds the cell surface, and the other enters the cell and catalyzes the irreversible inactivation of elongation factor-2 (EF-2), which is required for movement of nascent peptidic chains on ribosomes. It has been estimated that one exotoxin molecule can inactivate the entire content of EF-2 in a cell. The concentration of iron also is critical. Iron is an essential element for bacteria growth; however, high concentrations of iron suppress toxin production. EF-2 toxin also has been found in strains of C. ulcerans and C. pseudotuberculosis.

Corynebacterial species often stain irregularly because of the presence of metachromatic granules. Most of the species are slow growing. Colonies may not become visible on culture plates for up to 1 week or more.13–16 Although most species of corynebacteria grow well on ordinary media, some species (C. ovis and C. ulcerans) require Loeffler's or tellurite media for optimal growth.

Differentiation among corynebacterial species usually is difficult. Characteristics such as colony size, pigmentation, odor, and presence of hemolysis are helpful for identification. Key reactions include catalase production, fermentative or oxidative metabolism, motility, nitrate reduction, urea production, esculin hydrolysis, acid production, and the cyclic AMP reaction.17

OCULAR INFECTION

Corynebacterial species commonly are encountered in the normal flora of the skin and mucous membranes. They were formerly regarded as nonpathogenic contaminants of the human external eye, but there have been many eye infections reported to be caused by corynebacteria.18 Some species have been reported only as ocular pathogens (e.g., coryneform group A-4 and A-5 bacteria).19

Membranous or pseudomembranous conjunctivitis caused by C. diphtheriae is a classically described entity usually seen in children between 2 and 8 years of age.20 Corneal ulcers caused by corynebacteria usually have an indolent onset and a clinical course with an epithelial defect, an underlying stromal infiltrate, minimal or absent purulent discharge, and a variable amount of anterior chamber reaction and pain (Fig. 3). Old age, ocular surface disease, exposed corneal sutures, eyelid abnormalities, extended-wear contact lenses, diabetes mellitus, and viral keratitis21 are frequent risk factors.

Fig. 3. Small epithelial defect with underlying stromal infiltrate and peripheral corneal vascularization in an indolent Corynebacteria diphtheriae keratitis.

SUSCEPTIBILITY

Antibiotic sensitivities among corynebacteria vary greatly. Erythromycin, vancomycin, penicillins, tetracycline, and aminoglycosides often are effective. However, individual susceptibilities should be determined by the microbiology laboratory.

Back to Top
LISTERIA SPECIES
The genus Listeria consists of seven species. Human disease is mainly caused by L. monocytogenes and rarely by other animal pathogens such as L. ivanovvi. L. monocytogenes is a gram-positive, motile, nonspore-forming, nonacid-fast, facultatively anaerobic organism. Its name is derived from its ability to elicit a monocytic reaction in infected animal hosts.22

L. monocytogenes was first reported in 1926,23 and most early reports recognized its role as an animal pathogen. Ocular infection in humans was first noted in 1934, when purulent conjunctivitis developed in a laboratory assistant after accidental inoculation of the organism.24

Although L. monocytogenes has a widespread distribution in nature, human disease is uncommon and restricted to several well-defined populations: neonates, the elderly, pregnant women, and immunocompromised patients, particularly those with defective cell-mediated immunity. Any organ can be infected by the pathogen, but there is a marked tropism for the central nervous system. Meningitis is the most common disease associated with L. monocytogenes.25,26 Bacteremia, endocarditis, pneumonia, serositis, osteomyelitis, septic arthritis, and dermatitis also have been described. Although epidemic food-borne transmission and vertical transmission from mother to offspring are established routes of infection, most cases are sporadic with the source of the organism and the mode of transmission remaining unknown.

VIRULENCE FACTORS AND IDENTIFICATION

L. monocytogenes is an intracellular pathogen, capable of growth in macrophages, epithelial cells, and cultured fibroblasts. All virulent strains produce a beta-hemolysin, listeriolysin O. This hemolysin is required for release of the bacterium after phagocytosis and intracellular growth. Intracellular survival and spread of the organisms are critically important factors because no other virulence factors have been identified.

Listeria can grow on most conventional media. Small, round colonies appear on agar media after incubation for 1 to 2 days. Because of its morphology and hemolysis pattern, L. monocytogenes occasionally is mistaken for Corynebacterium or streptococci. Laboratory identification is based on the presence of a narrow band of beta-hemolysis on blood agar and on its unique tumbling motility when grown at 20°C to 25°C.27 Polymerase chain reaction can identify L. monocytogenes within hours.28

OCULAR INFECTION

Ocular involvement with L. monocytogenes is very rare. Conjunctivitis is the most common presentation. Keratitis29–32 and oculoglandular syndrome33,34 also have been reported.35

To date, 15 cases of L. monocytogenes endophthalmitis have been reported. All are presumed to be endogenous,36–49 although L. monocytogenes has the ability to penetrate intact corneal epithelium. Approximately 60% of these patients were apparently healthy individuals, and the mean age of these cases was 62 years. The clinical appearance of L. monocytogenes endophthalmitis is remarkably consistent. Large keratic precipitates, fibrinous anterior chamber reaction, elevated intraocular pressure, dark hypopyon, and pigment dispersion often are noted. Usually, the outcome is poor with a visual acuity of less than 20/200.

SUSCEPTIBILITY

The choice of treatment for L. monocytogenes infection is controversial. A combination of ampicillin and gentamicin usually is recommended. The aminoglycosides are bactericidal, and there is synergism with the penicillins. There are other antibiotics with activity in vitro against L. monocytogenes, such as tetracycline, erythromycin, trimethoprim/sulfamethoxazole, chloramphenicol, ciprofloxacin, ofloxacin, and rifampim. Fluoroquinolones, aminoglycosides, and trimethoprim/sulfamethoxazole are bactericidal, whereas the other agents are only bacteriostatic.50,51

Back to Top
NOCARDIA SPECIES
Nocardia is a member of the family Actinomycetaceae. It grows as fragile, branching filaments that tend to fragment into bacillary and coccoid forms.52 Nocardia species are aerobic and partially acid-fast. Because of their filamentous growth and mycelia-like colonies, Nocardia species have a striking resemblance to fungi.

Similarities exist between mycobacterial and nocardial species with respect to antigens of the cell wall and bacteriophage susceptibility.53 Nocardial organisms, however, are differentiated from mycobacteria because they are only partially acid-fast and form fragmenting mycelia with true branching. Furthermore, the lipid composition of the cell walls between the two groups differs.54

Nocardia species are soil organisms, often found in decaying organic matter such as wet hay or straw. Although distributed worldwide, nocardial ocular infections are rarely encountered. The commonly identified species are N. asteroides, N. brasiliensis, N. otitidis-caviarum, N. farcinica, and N. transvaliensis. N. asteroides, the most common species, was named after Nocard, a French bacteriologist and veterinary pathologist and for the starlike appearance of the colonies on the agar plate (Fig. 4).55

Fig. 4. Small, white colonies Nocardia on the agar plate.

VIRULENCE FACTORS AND IDENTIFICATION

N. asteroides is an intracellular organism that can persist and grow within macrophages. No exotoxins have been described. Nocardial organisms usually do not multiply quickly enough within host tissues to produce a fulminant infection. Iron seems to be an important factor for the intracellular growth of most organisms.

Nocardial organisms are gram-positive, branching pleomorphic rods with intermittent or beaded staining patterns, especially when invading tissues (Fig. 5). The organisms stain black with the methenamine-silver stain. They are partially acid-fast by the Ziehl-Nielsen technique with acid decolorization. In culture, Nocardia are not fastidious but do tend to grow slowly. Colonies will grow on most bacterial, fungal, or mycobacterial media that lack antibiotics. Blood and Sabouraud's agars are good substrates for pathogenic organisms that usually grow satisfactorily at temperatures between 35°C and 37°C. Growth of N. asteroides is facilitated by 10% carbon dioxide.

Fig. 5. Partially acid-fast, branching pleomorphic rods of Nocardia in a corneal biopsy specimen.

OCULAR INFECTION

The two most common modes of nocardial infection are inhalation of organisms with suppurative or cavitary pulmonary infection, often simulating tuberculosis, and contamination of skin wounds with soil, causing a localized mycetoma. Pulmonary or generalized nocardial infections have become increasingly prevalent in immunocompromised patients. Nocardia occasionally may cause infections in other tissue such as brain, kidney, and bone. Keratitis,56–68 conjunctivitis,69 dacryoadenitis,70 uveitis,71 endophthalmitis,72,73 and contaminated scleral buckles have been reported.

Nocardia species are a somewhat rare cause of primary conjunctivitis that may be either mucopurulent or granulomatous, sometimes associated with the development of subconjunctival scar tissue and an interstitial or superficial punctate keratitis. Corneal ulceration may occur from the direct extension of conjunctivitis (Fig. 6). Nocardial keratitis usually is preceded by minor trauma. Corneal infection occurs more frequently in young adult males and in rural areas. Such preponderances are likely related to the predisposing roles of minor corneal trauma and soil contact. Nocardial keratitis is characterized by a relatively slow and recalcitrant keratitis. Delay in identification of the causative organism sometimes causes the mistaken topical administration of corticosteroids as adjunctive therapy before a specific diagnosis. The characteristic morphology of nocardial keratitis is its resemblance to filamentous fungal ulcers. Nocardia species should be kept in mind as possible causative organisms in patients who do not respond to antifungal therapy. Minimal involvement of the epithelium with nonspecific punctate epitheliopathy often is encountered. The infiltrate usually is located in the midperiphery of the cornea, adjacent to sites of minor corneal trauma or abrasion, with superficial or midstromal involvement. The typical ulcer has a gray, sloughing base with overhanging necrotic edges (Fig. 7). The stromal involvement tends to be grossly granular or nodular in appearance. A “brush-fire” border of the infiltrates can be observed (Fig. 8). Multiple foci of infection or satellite lesions can sometimes be encountered.

Fig. 6. Nocardia keratitis from direct extension of chronic conjunctivitis.

Fig. 7. Multifocal Nocardia keratitis with granular appearance.

Fig. 8. A “brush-fire” border or wreathlike infiltrate of Nocardia keratitis.

Nocardial keratitis usually is refractory to conventional topical antibiotics, resulting in a protracted clinical course and progressive extension of keratitis. Corneal thinning and a moderate anterior chamber reaction or hypopyon can be observed. Eventual resolution leaves superficial stromal scarring and surface irregularities. Successful medical management is feasible. Corneal scarring often is minimal. Nocardial keratitis tends to heal with peripheral corneal vascularization or with vascularized scars. The visual prognosis usually is optimistic.

Most intraocular nocardial infections are caused by metastatic spread from pulmonary or infections,74–78 although some follow surgical trauma. Endogenous nocardiosis occurs principally in patients with systemic immunosuppression related to antineoplastic therapy or systemic corticosteroids.79,80

SUSCEPTIBILITY

Different nocardial strains vary in antibiotic sensitivity.81–85 Most isolates are sensitive to sulfonamides, doxycycline, and amikacin. Many are resistant to trimethoprim, penicillin, and other beta-lactam agents, vancomycin, and ciprofloxacin. Sulfonamides, both systemic and topical, remain a drug of choice for ocular nocardial infections. If the refractory or severe cases occur, topical amikacin can be considered with oral doxycycline.

Back to Top
REFERENCES

1. Leppla SH: Anthrax toxin edema factor: A bacterial adenylate cyclase that increases cyclic AMP concentrations in eucaryotic cells. Proc Natl Acad Sci USA 79:3162, 1982

2. Mikesell P, Ivins BE, Ristroph JD et al: Evidence of plasmid-mediated toxin production in Bacillus anthracis. Infect Immun 39:371, 1983

3. O'Day DM, Smith RS, Gregg CR et al: The problem of Bacillus species infection with special emphasis on the virulence of Bacillus cereus. Ophthalmology 88:833, 1981

4. Van Bijsterveld OP, Richards RD: Bacillus infection of the cornea. Arch Ophthalmol 74:91, 1965

5. Donzis PB, Mondino BJ, Weissman BA: Bacillus keratitis associated with contaminated contact lens care systems. Am J Ophthalmol 105:195–197, 1988

6. Tabbara KF, Tarabay N: Bacillus licheniformin corneal ulcer. Am J Ophthalmol 87:717–719, 1979

7. Van Setten GB, Tervo T, Tarkannen A: Akute keratitis und die Kontamination von Kontaktlinsenpflegesystemen mit Bacillus cereus. Klin Monatsbl Augenheilkd 195:28–31, 1989

8. Ormerod LD, Smith RE: Contact lens associated microbial keratitis. Arch Ophthalmol 104:79,1986

9. Donzis PB, Mondino BJ, Weissman BA et al: Microbial contamination of contact lens care systems. Am J Ophthalmol 104:325, 1987

10. McBride ME: Evaluation of microbial flora of the eye during wear of soft contact lenses. Appl Environ Microbiol 37: 233, 1979

11. Debroff BM, Donahue SP, Caputo BJ et al: Clinical characteristics of corneal foreign bodies and their associated culture results. Cornea 20:128–130, 1994

12. Hollis DG, Weaver RE: Gram Positive Organisms: A Guide to Identification. Centers for Disease Control, Atlanta, GA, 1981

13. Coyle MB, Hollis DG, Groman NB: Corynebacterium species and other coryneform organisms. In Lennette EH (ed): Manual of Microbiology, pp 193–204. Washington, DC: American Society for Microbiology, 1985

14. Lipsky BA, Goldberger AC, Tompkins LS et al: Infections caused by non-diphtheria Corynebacterium. Rev Infect Dis 4:1220, 1982

15. Fedukowicz HB, Stenson S: External Infections of the Eye, pp 2–34. 3rd ed. Norwalk: Appleton-Century-Crofts, 1985

16. Riley PS, Hollis DG, Utter GB et al: Characterization and identification of 95 diphtheroid (Group JK) cultures isolated from clinical specimens. J Clin Microbiol 9:418, 1979

17. Funke G, von Graevenitz A, Clarridge III JE et al:Clinical microbiology of coryneform bacteria. Clin Microbiol Rev 10:125–159, 1997

18. Heidemann DG, Dunn SP, Diskin JA et al: Corynebacterium striatus keratitis. Cornea 10:81–82, 1991

19. Funke G, Haase G, Schnitzler N et al: Endophthalmitis due to Microbacterium species: case report and review of microbacterium infections. Clin Infect Dis 24:713–716, 1997

20. Chandler JW, Milam F: Diphtheria corneal ulcers. Arch Ophthalmol 96:53–57, 1978

21. Rubinfeld RS, Cohen EJ, Arentsen JJ et al: Diphtheroids as ocular pathogens. Am J Ophthalmol 108:251–254, 1989

22. Schuchat A, Swaminathan B, Broome CV: Epidemiology of human listeriosis. Clin Microbiol Rev 4:169–183, 1991

23. Murray EG, Webb RA, Swann MB: A disease of rabbits characterized by a large mononuclear leukocytosis, caused by a hitherto undescribed bacillus, Bacterium monocytogenes (n.sp.).J Path Bacterial 29:407–439, 1926

24. Anton W: Kritisch-experimentellar Beitrag zur Biologie des Bacterium monocytogenes. Zentralbl Bakteriol Parasitol 131:89–103, 1934

25. Hoeprich PD: Infections caused by Listeria monocytogenes and Erysipelothrix rhusiopathiae. In Braunwald E, Isselbacher KJ, Petersdarf KG et al (eds): Harrison's Principles of Internal Medicine, Vol 1. New York: McGraw-Hill, 11:554–556, 1987

26. Skogberg K, Syrjanen J, Jahkola M et al: Clinical presentation and outcome of listeriosis in patients with or without immunosuppressive therapy. Clin Infect Dis 14:815–821, 1992

27. Sonnenwirth AC, McGee ZA, Davis BD: Other pathogenic microorganisms; L-phase variants. In Davis BD, Dulbecco R, Einsen HN, Ginsberg HN (eds): Microbiology, pp 797–805. 3rd ed. Philadelphia: Harper & Row, 1980

28. Lohmann CP, Habel VP, Heep M et al: Listeria monocytogenes-induced endogenous endophthalmitis in an otherwise healthy individual: rapid PCR-diagnosis as the basis for effective treatment. Eur J Ophthalmol 9:53–57, 1999

29. Eiferman RA, Flaherty KT, Rivard AK: Persistent corneal defect caused by Listeria monocytogenes. Am J Ophthalmol 109:97–98, 1990

30. Holbach LM, Bialasiewicz AA, Boltze HJ: Necrotizing ring ulcer of the cornea by exogenous Listeria monocytogenes serotype IV b infection. Am J Ophthalmol 106:105–106, 1988

31. Holland S, Alfonso E, Gelender H et al: Corneal ulcer due to Listeria monocytogenes. Cornea 6:144–146, 1987

32. Zaidman GW, Coudron P, Piros J: Listeria monocytogenes keratitis. Am J Ophthalmol 109:334–339, 1990

33. Pletneva NA, Stiksova VN: Oculoglandular form of listeriosis. Vestn Oftalmol 29:17, 1950

34. Shmeleva VV: Cases of oculoglandular listeriosis. Vestn Oftalmol 32:46, 1953

35. Armstrong D: Listeria monocytogenes. In Mandell GL, Douglas RG, Bennet JE (eds): Principles and Practice of Infectious Diseases, pp 1587–1593. New York: John Wiley & Sons, 1990

36. Abbott RL, Forster RK, Rebell G: Listeria monocytogenes endophthalmitis with a black hypopyon. Am J Ophthalmol 86:715–719, 1978

37. Algan M, Jonon B, George JL et al: Listeria monocytogenes endophthalmitis in a renal transplant patient receiving cyclosporin. Ophthalmologica 201:23–27, 1990

38. Bagnarello AG, Berlin AJ, Weinstein AJ et al: Listeria monocytogenes endophthalmitis. Arch Ophthalmol 95:1004–1005, 1977

39. Ballen P, Loffredo FR, Paiter B: Listeria endophthalmitis. Arch Ophthalmol 97:101–103, 1979

40. Beuchat L, Hirscel B, Tabatabay C et al: Listeriose intraoculaire. J Fr Ophtalmol 8:797–799, 1985

41. Brasseur G, Retout A, Didier T et al: Endophthalmie à Listeria: une etiologie exceptionelle. Bull Soc Ophtalmol Fr 89:1463–1466, 1989

42. Brian GR, Treplin MCW: Listeria monocytogenes endophthalmitis. Aust N Z J Ophthalmol 16:329–331, 1988

43. Duch ST, Quintana MC, Pujol OG: Listeria monocytogenes endophthalmitis. Acta Ophthalmol 69:108–110, 1991

44. Goodner FK, Okumoto M: Intraocular listeriosis. Am J Ophthalmol 64:682–686, 1967

45. Maloney JM, Nolte FS, Meredith TA: Listeria monocytogenes endophthalmitis, treatment with vitrectomy and trimethoprim/sulfamethoxazole. Emory J Med 4:201–204, 1990

46. Melamed Cattan J, Kwitko S, Barcaro S et al: Listeria monocytogenes endogenous endophthalmitis. Ophthalmology 98: S114, 1991

47. Nigrin J, Tyrrel DLJ, Jackson FL et al: Listeria monocytogenes endophthalmitis in an immunosuppressed host. Can Med Assoc J 116:1378–1382, 1977

48. Snead JW, Stern WH, Whitcher JP et al: Listeria monocytogenes endophthalmitis. Am J Ophthalmol 84:337–340, 1977

49. Eliott D, O'Brien TP, Green WR et al: Elevated intraocular pressure, pigment dispersion and dark hypopyon in endogenous endophthalmitis from Listeria monocytogenes. Surv Ophthalmol 37:117–124, 1992

50. Gellen BG, Broome CV: Listeriosis. JAMA 261:1313–1320, 1989

51. Hof H, Nichterlein T, Kretschmar M: Management of listeriosis. Clin Microbiol Rev 10:345–357, 1997

52. Brown JM, McNeil MM, Desmond EP: Nocardia, Rhodococcus, Gordona, Actinomadura, Streptomyces, and other actinomycetes of medical importance. In Murray PR, Baron EJ, Pfaller MA et al (eds): Manual of Clinical Microbiology, pp 370–398. 7th ed. Washington, DC: American Society for Microbiology, 1999

53. Tsukamura M: Relationship between Mycobacterium and Nocardia. Jap J Microbiol 14:187–195, 1970

54. Lechevalier MP, Horan AC, Lechevalier II: Lipid composition in the classification of Nocardiae and Mycobacteria. J Bacteriol 105:313–318, 1971

55. Bullock JD: Endogenous ocular nocardiosis: a clinical and experimental study. Trans Am Ophthalmol Soc 81:451–531, 1983

56. Benedict WL, Iverson HA: Chronic keratoconjunctivitis associated with Nocardia. Arch Ophthalmol 32:89–92, 1944

57. Climenhaga DB, Tokarewicz AC, Willis NR: Nocardia keratitis. Can J Ophthalmol 19:284–286,1984

58. Donnenfeld ED, Cohen EJ, Barza M et al: Treatment of Nocardia keratitis with topical trimethoprim-sulfamethoxazole. Am J Ophthalmol 99:601–602, 1985

59. Gingrich WD: Keratomycosis. JAMA 179:602–608, 1962

60. Hirst LW, Harrison KG, Merz WG et al: Nocardia asteroides keratitis. Br J Ophthalmol 63:449–454, 1979

61. Hirst LW, Merz WG, Green WR: Nocardia asteroides corneal ulcer. Am J Ophthalmol 94:123–124, 1982

62. Newmarck E, Polack FM, Ellison AC: Report of a case of Nocardia asteroides keratitis. Am J Ophthalmol 72:813–815, 1971

63. Penikett EJK, Rees DL: Nocardia asteroides infection. Am J Ophthalmol 53:1006–1008, 1962

64. Ralph RA, Lemp MA, Liss G: Nocardia asteroides keratitis: A case report. Br J Ophthalmol 60:104–106, 1976

65. Schardt WM, Unsworth AC, Hayes CV: Corneal ulcer due to Nocardia asteroides. Am J Ophthalmol 42:303–305, 1956

66. Sigtenhorst ML, Gingrich WD: Bacteriologic studies of keratitis. South Med J 50:346–350, 1975

67. Zimmerman LE: Mycotic keratitis. Lab Invest 11:1151–1160, 1962

68. Zimmerman LE: Keratomycosis. Surv Ophthalmol 8:1–25, 1963

69. McLean JM: Oculomycosis. Trans Am Acad Ophthalmol Otolaryngol 67:149–163, 1963

70. Archibald RG: Primary nocardiosis of the lacrimal gland. Lancet 2:847, 1918

71. McCarthy JL, Kennedy RJ, Hazard JB: Experimental ocular infection with Nocardia asteroides in the normal rabbit. Arch Ophthalmol 62:425–433, 1959

72. Rogers SJ, Johnson BL: Endogenous Nocardia endophthalmitis: report of a case in a patient treated for lymphocytic lymphoma. Ann Ophthalmol 9:1123–1131, 1977

73. Sher NA, Hill CW, Eifrig DE: Bilateral intraocular Nocardia asteroides infection. Arch Ophthalmol 95:1415–1418, 1977

74. Burpee JC, Starke WR: Bilateral metastatic intraocular nocardiosis. Arch Ophthalmol 86:666–669, 1971

75. Davidson S, Foerster HC: Intraocular nocardial abscess, endogenous. Trans Am Acad Ophthalmol Otolaryngol 71:847–850, 1967

76. Jampol IM, Strauch BS, Albert DM: Intraocular nocardiosis. Am J Ophthalmol 76:568–573, 1973

77. Meyer SL, Font RL, Shaver RP: Intraocular nocardiosis: report of three cases. Arch Ophthalmol 83:536–541, 1970

78. Sher NA, Hill CW, Eifrig DE: Bilateral intraocular Nocardia asteroides infection. Arch Ophthalmol 95:1415–1418, 1977

79. Lissner GS, O'Grady R, Chromokos E: Endogenous intraocular Nocardia asteroides in Hodgkin's disease. Am J Ophthalmol 86:388–394, 1978

80. Panijayanond P, Olsson CA, Spivack ML et al: Intraocular nocardiosis in a renal transplant patient. Arch Surg 104:845–847, 1972

81. Boiron P, Provost F: In vitro susceptibility testing of Nocardia spp. and its taxonomic implication.J Antimicrob Chemother 22:623–629, 1988

82. Dewsnup DH, Wright DN: In vitro susceptibility of Nocardia asteroides to 25 antimicrobial agents. Antimicrob Agents Chemother 25:165–167, 1984

83. Kitzias MD, Gutmann L, Acan JF: In vitro susceptibility of Nocardia asteroides to 21 β-lactam antibiotics, in combination with three β-lactamase inhibitors and its relationship to the β-lactamase content. J Antimicrob Chemother 15:23–30, 1985

84. Lerner PI, Baum GL: Antimicrobial susceptibility of Nocardia species. Antimicrob Agents Chemother 4:85–93, 1973

85. Wallace RJ, Septimus EJ, Musher DM et al: Disk diffusion susceptibility testing of Nocardia species. J Infect Dis 135:568–576, 1977

Back to Top