Chapter 41
Cataracts and Systemic Disease
ANNA K. JUNK and DONALD A. MORRIS
Main Menu   Table Of Contents

Search

OCULOCEREBRORENAL SYNDROME OF LOWE (OCRL)
NEUROFIBROMATOSIS 2 (NF2)
X-LINKED CATARACT (NANCE-HORAN'S (NH) SYNDROME)
LEBER'S CONGENITAL AMAUROSIS (LCA)
WILSON'S DISEASE
HEREDITARY HYPERFERRITINEMIA-CATARACT SYNDROME (HHCS)
PHENYLKETONURIA (PKU)
MYOTONIC DYSTROPHY (DM)
LYSOSOMAL STORAGE DISORDERS
MUCOPOLYSACCHARIDOSIS (MPS) IV (MORQUIO'S SYNDROME)
SYNDROMES ASSOCIATED WITH ALTERED LENS GEOMETRY
CATARACT ASSOCIATED WITH MUTATIONS IN CHOLESTEROL METABOLISM ENZYMES
DISORDERS ASSOCIATED WITH IMPAIRED DNA REPAIR MECHANISMS
DISORDERS WITH DERMATOLOGIC MANIFESTATIONS
CATARACT ASSOCIATED WITH FACIAL DYSMORPHISM
CATARACTS ASSOCIATED WITH SKELETAL DISORDERS
CATARACTS ASSOCIATED WITH CHROMOSOMAL DISORDERS
SYNDROMES INCLUDING PIGMENTARY DEGENERATION OF THE RETINA AND CATARACT
CATARACTS ASSOCIATED WITH PEROXISOMAL DISORDERS
ECTOPIA LENTIS (EL)
CATARACT ASSOCIATED WITH METABOLIC DISEASES
CATARACTS ASSOCIATED WITH EXOGENOUSLY DERIVED CAUSES
CATARACT ASSOCIATED WITH SYSTEMIC INFECTION
REFERENCES

Cataracts are frequently found in association with other types of ocular pathology and may or may not be associated with systemic disease. Lens pathology may evolve secondary to a genetic defect and reveal carrier status, as in Lowe's syndrome. A distinct appearance of the lens may allow a diagnosis of concurrent systemic disease. Exogenous agents, pharmaceuticals, toxins, radiation, infections, and metabolic disorders can cause cataracts and systemic disease. For this review we conducted literature searches using PubMed.
Back to Top
OCULOCEREBRORENAL SYNDROME OF LOWE (OCRL)
In 1952 Lowe and co-authors1 were the first to recognize congenital cataracts, infantile glaucoma, developmental and mental retardation, and aminoaciduria as a clinical entity. OCRL has been mapped to Xq24–q26 on the X-chromosome.2 Mutations in the OCRL1 gene result in the Lowe's syndrome phenotype. The gene encodes for a 105 kD protease, phosphatidylinositol (4,5) bisphosphate (PtdIns [4,5]P2) 5-phosphatase (PIP2 5-phosphatase). PIP2 5-phosphatase, which is located in the Golgi apparatus, is defective in one to 10 males per million in the United States. Different mutations in OCRL1 may lead to less severe phenotypes with respect to mental retardation and renal dysfunction. OCRL can be confirmed by DNA diagnosis and skin fibroblast analysis for PIP2 5-phosphatase.3

The dense bilateral lens opacities may present as a biconvex-shaped cataract or as posterior, polar, nuclear, or total cataract. The discoid lens shape may result from loss of lens material due to a posterior lens capsule defect4 or defective lens fiber formation and subsequent degeneration.5 The cataracts are present at birth, and glaucoma may be present congenitally or develop within the first 3 years of life. Other ocular findings may include corneal opacity, mitotic pupil, enophthalmos, and hypotonia.6 The cognitive impairment presents with a discrete behavioral phenotype that includes temper tantrums, irritability, complex repetitive behaviors, and unusual mannerisms. Severe renal Fanconi's syndrome may lead to progressive renal impairment. Most boys will develop a distinctive facies and habitus, and attain a height of less than 5 feet because of developmental retardation. Female carriers manifest characteristic but usually asymptomatic lenticular opacities that will correctly identify carrier status with 100% sensitivity in postpubertal females. These opacities are typically small, irregularly shaped, off-white or gray in color, nonrefractile in appearance, and distributed around the lens equator, more anteriorly than posteriorly (Figs. 1 and 2). Most importantly, and distinctively, these opacities are clustered in radial bands or wedges in the peripheral cortex of the lens and are visible by retroillumination. Typically, the opacities are moderately dense for one or two clock-hours, are then less numerous or even absent for another clock-hour or two, and so on. These opacities must be differentiated from the polychromatic, iridescent “crystals” found in Steinert's myotonic dystrophy (DM), gray-white random opacities in carriers of X-linked adrenoleukodystrophy, sutural opacities in Nance-Horan's (NH) syndrome, snowflake granules beneath the anterior and posterior capsule in diabetes mellitus, highly uniform white dots of hypoparathyroidism, and equatorial opacities in cataracta coronaria or ceruleana. Some females also manifest a dense white, central, posterior cortical cataract in the precapsular area. Although the posterior central cataract is apparently congenital, the equatorial and anterior cortical punctate opacities are uncommon in prepubertal female Lowe's syndrome carriers.7 Carrier status may also be confirmed by DNA diagnosis.

Fig. 1. OCRL. Female carrier with typical small, irregularly shaped, off-white or gray, nonrefractile opacities in the anterior lens cortex, slit-lamp view. (Courtesy of Dr. R.A. Lewis, Baylor College, Houston, Texas.)

Fig. 2. OCRL. Retroillumination of small, irregularly shaped, nonrefractile anterior cortical opacities in the lens of a female carrier of OCRL. (Courtesy of Dr. R.A. Lewis, Baylor College, Houston, Texas.)

Back to Top
NEUROFIBROMATOSIS 2 (NF2)
Neurofibromatosis 2 (NF2) is an autosomal-dominant (AD) disorder caused by mutations that inactivate the NF2 tumor suppressor gene. Multiple central and peripheral nervous system tumors and ocular abnormalities are common in NF2, and bilateral vestibular schwannomas (acusticus neurinoma) are pathognomonic for the disease. Constitutional nonsense or frameshift NF2 mutations are associated with severe NF2 (i.e., earlier onset of symptoms and more tumors), splice site mutations with variable disease severity, and missense mutations with mild disease. Cataracts are the most common nontumor and ocular manifestation in NF2, and are prevalent in about 60% to 80% of NF2 patients. In animal models, lens fiber cells that are more differentiated express less NF2 protein than the epithelial regions of the lens, which suggests that the NF2 protein may play a role in lens epithelial cell migration or elongation. In one study,8 the overall prevalence of cataracts in NF2 was 33%, but was significantly lower in patients with somatic mosaics and in individuals with new, as yet unknown mutations, and onset of symptoms above the age of 20 years than in patients with classic NF2, nonsense, or frameshift mutations. Of the NF2 patients with cataracts in that study, 29% were diagnosed with cataracts at an age below 10 years, and 47% were diagnosed under the age of 20 years. In 70% of the patients cataract diagnosis preceded nonocular signs or symptoms of NF2. Cataracts typically present as posterior subcapsular plaque-like opacities (Figs. 3 and 4). Other ocular manifestations include retinal hamartomas, optic nerve sheath tumors, fibrotic maculopathies, and perineural calcification of the optic nerve.9

Fig. 3. NF2. Paracentral plaque-like retrolental opacity in slit-lamp view. (Courtesy of Dr. F.D. Ellis, Zionsville, Indiana.)

Fig. 4. NF2. Paracentral plaque-like retrolental opacity of NF2 in retroillumination view. (Courtesy of Dr. F.D. Ellis, Zionsville, Indiana.)

Back to Top
X-LINKED CATARACT (NANCE-HORAN'S (NH) SYNDROME)
Three types of X-linked cataracts have been reported: congenital total, which presents with posterior sutural opacities in heterozygotes; congenital, with microcornea or slight microphthalmia; and the congenital cataract-dental syndrome or NH syndrome.10 Current linkage analysis is suggestive of allelic heterogeneity in all three types of X-linked cataract. The NH syndrome locus is located within or close to the Xp22.1–Xp22.2 region.11,12 Sutural cataracts have been found in female carriers of NH syndrome, and affected males present with total congenital cataract, microcornea, dental abnormalities, and dysmorphic features. One-third of affected individuals have mental retardation.13 The gene for X-linked isolated congenital cataract has been mapped to Xp22, and thus lies within the NH locus. Two-thirds of affected patients in one series had complex congenital heart disease.14
Back to Top
LEBER'S CONGENITAL AMAUROSIS (LCA)
LCA, which occurs in three of 100,000 newborns worldwide, presents with severe vision loss at or near birth. Associated ocular features may include eye poking (also known as the oculodigital sign of Franceschetti), ptosis, strabismus, high hyperopia, high myopia, cataracts,15 keratoconus/keratoglobus, microphthalmos, macular coloboma, pigmentary retinopathy and maculopathy, disc edema, and retinal vascular attenuation. Of great interest are the occasional patients with LCA who have a completely normal retinal appearance. A severely reduced or nondetectable electroretinogram (ERG) obtained early in the disease process is an absolute diagnostic prerequisite. Autosomal-recessive (AR) inheritance is commonly found. LCS is variably associated with mental retardation. Six genes, which participate in a wide variety of retinal pathways, have been shown to be mutated in LCA: retinoid metabolism (RPE65), phototransduction (GUCY2D), photoreceptor outer segment development (CRX), disk morphogenesis (RPGRIP1), zonula adherens formation (CRB1), and cell-cycle progression (AIPL1).16 Longitudinal studies of visual performance show that most LCA patients remain stable, some deteriorate, and rare patients exhibit improvements. Histopathological analyses reveal that most patients undergo extensive degenerative retinal changes. Some have an entirely normal retinal architecture, whereas others have primitive, poorly developed retinas. Gene therapy for RPE65-deficient dogs was shown to partially restore sight, and provides the first real hope of treating this devastating blinding condition.17
Back to Top
WILSON'S DISEASE
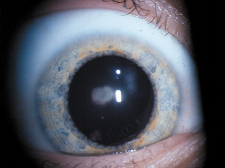
Wilson's disease is an AR disorder of copper metabolism that manifests in the first or second decade of life with a prevalence of 1:30,000. The abnormal gene (ATP7B) is located on chromosome 13q and encodes a copper-transporting ATPase with two functions: transport of copper into the plasma protein ceruloplasmin, and elimination of copper through the bile.18 The hepatocyte's Golgi apparatus fails to incorporate copper into ceruloplasmin, leading to toxic copper concentrations in the central nervous system, liver, kidney, and eye. Forty percent of patients may present initially with ocular findings. If ocular signs are present, Kayser-Fleischer's corneal ring is most common, and is found in up to 95% of patients with Wilson's disease and eye manifestations. Kayser-Fleischer's ring is a golden-brown line (1–3 mm wide) located in the deep corneal periphery adjacent to the limbus. Its color has been described as orange-brown, brown-green, golden-yellow, blue, ruby-red, or a mixture of these colors. Visible copper sulfur deposits in the inner third of Descemet's membrane typically begin superiorly and then proceed inferiorly until they complete Kayser-Fleischer's ring, leaving an oval of central clear cornea inside.

Sunflower cataract is named after the patel-shaped alignment of tiny anterior subcapsular copper deposits. It is a rare manifestation of Wilson's disease (Fig. 5) and is present in 20% to 30% of patients with ocular manifestations. The copper-red to blue-green deposits form a disk-shaped central opacity in the anterior lens capsule, which is usually denser in the pupillary opening, with spoke-like radiations toward the periphery. Posterior lens capsule deposits appear in a fern-like pattern.19 The lens opacities may reverse on a low copper diet and treatment with systemic D-penicillamine.20

Fig. 5. Sunflower cataract. Copper-red to blue-green deposits in the area of the pupil form a disk-shaped central opacity with patel-shaped spoke-like radiations toward the periphery in a patient with Wilson's disease.

Extrapyramidal-motor disturbances of Wilson's disease include akinetic rigidity and choreatic, athetotic, and dystonic hyperkinesias. Facial hypomimic, dystonic, and myoclonic symptoms lead to an “indifferent expression.” In late stages the patient may be paralyzed, while sensory functions remain preserved. Cerebellar symptoms include nystagmus, blepharospasm, dysarthria, resting, and intentional flapping tremor. Sixty percent of patients develop psychiatric symptoms. They appear irritable and aggressive, and display diminished intellectual performance, mood changes, depression, and paranoid-hallucinatory syndromes. Hepatosplenomegaly, acute or chronic hepatitis, and cirrhosis complicated by icterus, splenomegaly, esophageal varices, and ascites may develop. Hemolytic anemia, renal osteopathy, and secondary osteomalacia are late manifestations, as is a dark-brown to green discoloration of the skin. Other systemic diseases associated with hypercupremia may lead to similar eye findings.

Back to Top
HEREDITARY HYPERFERRITINEMIA-CATARACT SYNDROME (HHCS)
HHCS is an AD-inherited cataract associated with elevated serum ferritin levels but otherwise normal iron levels and hematologic parameters. It was first described in 1995.21,22 Linkage studies have mapped HHCS to chromosome 19q13, the light chain of ferritin (FTL),23 and the major intrinsic protein of lens fiber membrane (MP19).24 The minimum prevalence of HHCS is estimated at 1:200,000.25 To date, 11 different point mutations and four small deletions in a highly conserved sequence of the iron-responsive element (IRE) in the FTL gene have been identified in HHCS families. These mutations lead to the characteristic high expression levels (10-fold above normal serum levels) of poorly regulated L-ferritin.26 Overexpression and accumulation of L-ferritin in lens fibers results in a highly distinctive, progressive cataract that varies in age of onset and severity.27 Though congenital and infantile cataracts have been reported, HHCS is most commonly initially diagnosed in childhood and adolescence when patients present with symptoms of glare and severe photophobia that exceeds visual loss. The opacities consist of multiple peripheral, white, dust-like (pulverulent) dots and larger anterior cortical axial flecks, small crystalline aggregates, and translucent vacuoles that are best visualized by retroillumination. In early stages (i.e., in neonates and infants) the axial anterior cortex and far periphery are involved first. With progression the midperiphery of the lens will develop small punctate opacities while axial cortical aggregates tend to coalesce into radially oriented spokes. A few opacities may appear in the nucleus and posterior cortex of the lens. Regular polyhedral, crystalline, diffractive deposits composed of L-ferritin crystals are seen under light microscopy.28 No pathologic consequences of ferritin accumulation in other tissues have been reported to date, and no systemic treatment is required.
Back to Top
PHENYLKETONURIA (PKU)
The association of PKU with cataract is controversial.29 PKU is an AR disorder caused by mutations in the gene encoding for phenylalanine hydroxylase, prevalent in 1:4,000 to 1:40,000 newborns. Prenatal and postnatal diagnosis is available and early dietary restriction of phenylalanine in infants and children will avoid severe complications like mental retardation. A study of 46 untreated patients with PKU did not provide evidence of a positive correlation with cataracts. Another series detected cataracts in six of 11 middle-aged patients with untreated PKU suggesting that the lens opacities may be due to self inflicted trauma or treatment with high dose of thioridazine hydrochloride. Additional findings included phthisis and choroidal hypopigmentation.30 Bilateral lamellar cataracts were reported in one case of PKU.31
Back to Top
MYOTONIC DYSTROPHY (DM)
The most common type of muscular dystrophy in adults, DM, is an AD disorder based on noncoding microsatellite expansion. As in other disorders caused by microsatellite expansion, there is evidence of anticipation (i.e., with each generation the disease severity increases and age of onset decreases) and a tendency toward maternal transmission of a severe congenital form of the disease. An unstable repeat sequence of triplet nucleotides (CTG) on chromosome 19q13.3 has been identified as the cause in the majority of families (DM1). It results in CTG expansion at the 3' untranslated portion of the Dystrophia myotonica-protein kinase gene (DMPK). DM2 has been mapped to chromosome 3q21, where it causes an untranslated CCTG expansion (mean = ∼5,000 repeats) located in intron 1 of the zinc finger protein 9 (ZNF9) gene.32 Both mutations will result in the typical phenotype of DM in adults, which is characterized by hyperexcitability of skeletal muscle (myotonia) and muscle degeneration, a conduction defect in cardiac muscle cells, endocrine disorders, and a typical iridescent cataract. The accumulation of these repeat motif expansion RNAs appears to express a preferential affinity to some RNA-binding proteins at the expansion, and thus causes a global disruption in RNA splicing and cell metabolism. A third mutation for DM has been postulated but has not yet been identified.33

In general, patients with DM2 show less anticipation and a milder phenotype, and lack a congenital form. Affected individuals (DM1 and DM2) present with myotony and a characteristic pattern of weakness involving the facial, neck flexor, finger flexor, and hip girdle muscles. Severe arrhythmias or progressive cardiomyopathy may be fatal. Hypotestosteronism and oligospermia in males, and insulin insensitivity are frequent endocrinologic features. A specific set of serological changes is present, which includes low γ-globulin, elevated creatine kinase, and elevated follicle stimulating hormone (FSH) in males. In young adults, dust- and flake-like iridescent and highly refractile multicolored “needles” crisscross the anterior and posterior cortexes of the lens (the so-called “christmas-tree cataract”). The colors vary according to the angle of the incident light, and only a dim outline of the cataract is seen under retroillumination (Figs. 6 and 7). Under the scanning electron microscope the needles are smooth, rectangular, plate-like elements that are bordered by membranes and amorphous material, and run crisscross through the lens. The needles have a high sulfur content and pronounced S-S, CS-SC, and C-S vibrations under energy-dispersive x-ray and Raman microanalysis.34 They increase and accumulate with age, and may eventually result in a mature cataract. Rarely, macular and tapeto-retinal pigment epithelial degeneration, and optic atrophy are associated with DM.

Fig. 6. Christmas-tree cataract. Multiple small, irregularly sized opacities in the superior and posterior superficial cortex in a 43-year-old male patient with DM (Scheimpflug image).

Fig. 7. Christmas-tree cataract. Dust- and flake-like iridescent and highly refractile multicolored “needles” crisscross the anterior lens cortex in a patient with DM.

Familial mitochondrial myopathy should be differentiated from DM. Patients present with variable facial weakness, ranging from mild forms to severe progressive ophthalmoplegia associated with facial, pharyngeal, and limb muscle involvement and premature bilateral cataract that requires removal in infancy, adolescence, or early adulthood. Biopsies of skeletal muscles indicate myopathy, and histochemistry and electron microscopy reveal abnormal mitochondria in type I fibers. The syndrome is associated with the HLA haplotype (A2–B21).35

Back to Top
LYSOSOMAL STORAGE DISORDERS
Most lysosomal storage diseases are associated with deficiencies of glycosidases that are involved in the catabolism of the sugar chains of glycolipids, oligosaccharides, and glycoproteins. They include single-enzyme deficiencies, the most frequent being Gaucher's disease (caused by deficient acid β-glucosidase), Fabry's disease (enzyme defect: α-galactosidase A), Tay-Sachs' disease (β-hexosaminidase A deficiency), and functional deficiencies of multiple enzymes (reviewed in Ref. 36). Less common lysosomal disorders include mucopolysaccharidosis (MPS) I (Hurler/Scheie's disease, enzyme defect: α-iduronidase), MPS type IVA (Morquio type A; enzyme defect: N-acetylgalactosamine-6-sulfate-sulfatase), GM1-gangliosidosis/MPS IVB (Morquio type B; enzyme defect: β-galactosidase), mucolipidosis II/III (enzyme defect: phosphotransferase), MPS VI (Maroteaux-Lamy's syndrome, enzyme defect: arylsulfatase B), and α-mannosidosis. Extensive clinical heterogeneity is seen in lysosomal storage disorders with regard to the age of onset and severity of symptoms, the organs involved, and central nervous system effects. Clinically related AR disorders include mucolipidosis, sialidosis, and galactosialidosis (the latter two are both due to deficiency of lysosomal sialidase).37 While corneal opacities are observed frequently in MPS, cataracts have been reported in Hurler's syndrome, Morquio's syndrome (types A and B), Fabry's disease, and α-mannosidosis. The lysosomal storage disorders associated with cataracts are detailed below.

MUCOPOLYSACCHARIDOSIS (MPS) I (HURLER'S SYNDROME)

MPS type I (MPS I) is an AR disorder caused by a deficiency in lysosomal hydrolase, α-L-iduronidase (IDUA). It results in a failure to degrade the glycosaminoglycans dermatan sulfate and heparan sulfate. MPS I presents within a spectrum of clinical phenotypes, in which Hurler's and Scheie's syndromes represent the two extremes. The gene encoding IDUA is located on the short arm of chromosome 4, and over 50 mutations have been identified in affected patients. Mutation analysis may aid in the prognosis, but in most cases the distinction between various subtypes is made on clinical grounds. Patients who are diagnosed at a young age (<18 months) will usually turn out to have a Hurler phenotype, whereas children and adults with Scheie's syndrome (which involves a milder clinical course and normal life expectancy) are often diagnosed at a later age (>5 years). Intracellular degradation of heparan sulfate and dermatan sulfate are impaired and result in excessive urinary excretion and excess storage. Fibroblasts of MPS I patients with different clinical phenotypes differ in their kinetic parameters of α-iduronidase and glycosaminoglycan accumulation.38 The clinical features of Hurler's syndrome (the rapidly progressive, severe form of MPS I) include dwarfism, coarse facies, synophrys, saddle nose, hypertrichosis, mental retardation, and deafness, which are associated with death in the first decade. Diffuse corneal clouding, which is denser in the limbal periphery than in the corneal center, is the most common ocular finding, but a retinitis pigmentosa (RP)-like picture has also been reported and may be associated with posterior subcapsular cataract. Bone marrow transplantation (BMT) has become a treatment of choice for some patients with Hurler's syndrome, and has the potential to alter the natural history of the disease.39 The response to this therapy in different organs is variable. The brain can be protected as long as BMT is performed before the onset of irreversible pathology (18 months to 2 years of age). Hepatosplenomegaly resolves readily, and airway and cardiac muscle functions improve. Cartilage and bone do not respond well to BMT and therefore patients may require corrective surgery. Cardiac valves will deteriorate with time, corneal clouding never clears completely, and posterior subcapsular cataracts will progress as a consequence of BMT.40 Enzyme replacement therapy (ERT) for MPS I has been tested in phase I/II and III clinical trials, and was demonstrated to be effective in patients with attenuated forms of the disease (intermediate/Scheie phenotype).41 The lack of apparent central nervous system penetration by enzymes currently limits its use in patients with the Hurler phenotype.

Back to Top
MUCOPOLYSACCHARIDOSIS (MPS) IV (MORQUIO'S SYNDROME)
Morquio's syndrome is a rare AR MPS with a prevalence of 1:76,000. It is characterized by a reduced activity of N-acetylgalactosamine-6-sulfate-sulfatase (type A), or β-galactosidase (type B). The deficiency of β-galactosidase is also responsible for GM1-gangliosisdosis, the severe form of which will lead to fetal hydrops. Fibroblast cultures of a skin biopsy can be used to differentiate between Morquio types A and B since they show reduced activity of N-acetyl-galactosamine-6-sulfate-sulfatase or β-galactosidase, respectively.42 Clinically, both enzyme defects lead to a lysosomal storage disease with accumulation of keratan sulfate and chondroitin-6-sulfate in connective tissue, the skeletal system, and the teeth. The central nervous system is not involved. Consequently, abnormalities of the skeletal system (dwarfism), aortic valve disease, and dental abnormalities occur. Ophthalmologically, uniformly distributed diffuse corneal opacification is recognized in early childhood. Only in adulthood do the corneal changes become clinically significant. Alterations of the trabecular meshwork may occur and lead to glaucoma.43 Lens opacities have been reported.44 Rarely, Morquio's syndrome may be associated with optic atrophy and tapeto-retinal degeneration.45

FABRY'S DISEASE

Fabry's disease (angiokeratoma corporis diffusum) results from any one of multiple mutations in the X-linked α-galactosidase A gene, with a prevalence of 1:40,000 and an average age at diagnosis of 25 to 30 years. The mutations are kindred-specific, often spontaneous, and result in varying degrees of functional enzyme deficiency, leading to glycosphingolipid deposits, especially in vascular and reticuloendothelial tissue. Symptoms of anhydrosis, acroparesthesias, rash, and renal disease are suggestive of Fabry's disease. A recent series of 67 patients46 reported acroparesthesia, which was described as burning or painful “pins and needles” in 100% of males (homozygotes), or numbness and increased sensitivity in 53% of females (heterozygotes), as the most constant clinical feature. The total or partial inability to sweat, which often culminates in “overheating” and precipitation of acroparesthesia, is present in 93% of male patients versus 11% of female patients. Gastrointestinal symptoms (most commonly chronic diarrhea) is present in 90% of affected male patients compared to 11% of females. Cardiovascular symptoms are common and include ischemic heart disease, intermittent claudication, paroxysmal palpitations, atrial fibrillation, and episodic dyspnea. Renal involvement (most commonly present as proteinuria) may require renal transplantation. Ninety-three percent of males and 13% of females develop a characteristic angiokeratomatous rash on the lower trunk and upper thighs. Males often exhibit a waxy, pallid-sallow complexion, thick eyelids, and a subtle coarsening of facial features. In one study,46 triangular anterior subcapsular cataract was present in 48% of males and 14% of females. Posterior subcapsular cataract was detected in 9% of homozygous patients, but in none of the heterozygous individuals. Conjunctival vascular tortuosity and ampulliform vessel dilatations were the most common ocular sign of Fabry's disease, being present in 100% of males and 83% of females, followed by cornea verticillata in 96% and 76% of males and females, respectively, and retinal vascular tortuosity in 88% and 21% of males and females, respectively.

Another series of 32 homozygous male patients with Fabry's disease (mean age = 37 years) reported a best-corrected visual acuity of 20/20 in 75% of the patients.47 In this series cornea verticillata was diagnosed in 44% of the eyes, and a corneal haze was found in 84%. Corneal haze was considered to be a sign of disease progression. Twelve patients had bilateral posterior “Fabry's” cataracts (feathery opacities that radiate subcapsularly from the posterior pole along the posterior suture lines). In five patients, bilateral anterior subcapsular opacities were present as well. Thirty-seven percent of the patients had an enlarged blind spot in the perimetry, which presumably was related to subclinical optic neuropathy.

SIALIDOSIS TYPE 1 (MUCOLIPIDOSIS I)

Lysosomal sialidase (EC 3.2.1.18) has a dual physiological function: it participates in intralysosomal catabolism of sialylated glycoconjugates, and is involved in the cellular immune response. Mutations in the sialidase gene NEU1 (located on chromosome 6p21.3) result in a AR disorder, sialidosis, which is characterized by the progressive lysosomal storage of sialylated glycopeptides and oligosaccharides. Sialidosis type I is a milder, late-onset, normosomatic form of the disorder. Type I patients develop visual defects, myoclonus syndrome, cherry-red macular spots, ataxia, hyperreflexia, and seizures. The severe early-onset form, sialidosis type II, is also associated with dysostosis multiplex, a Hurler-like phenotype, mental retardation, and hepatosplenomegaly.37 Patients typically present in the second decade of life with dysarthria, limb ataxia, and intention myoclonus. Usually an eye examination reveals cherry-red spots at the macula. Two cases with additional perinuclear (deep cortical) cataracts or punctate subcapsular cataracts have been reported.48

MANNOSIDOSIS

α-Mannosidosis is an AR lysosomal storage disease caused by a deficiency of lysosomal α-D-mannosidase. Lysosomal α-D-mannosidase is involved in the catabolism of glycoproteins through the sequential degradation of mannose and complex oligosaccharides.49 Clinically, patients present with hepatosplenomegaly, mental retardation, and mild dysostosis, and must be differentiated from patients with Hurler-Scheie's syndrome. Rarely, patients may present with scattered punctate opacities in the entire lens50 or posterior spoke-like cataracts.51 A conjunctival biopsy may confirm the diagnosis if fibroblasts and endothelial cells contain membrane-bound vacuoles and vesicles comprised of homogeneous osmiophilic globules.

Back to Top
SYNDROMES ASSOCIATED WITH ALTERED LENS GEOMETRY

ALPORT'S SYNDROME (AS)

AS is a genetically heterogenous disorder arising from mutations in the genes that code for basement membrane type IV collagen. Clinically, the syndrome is characterized by progressive nephropathy, sensorineural hearing loss, and ocular abnormalities, including anterior lenticonus and posterior subcapsular cataracts. AS is associated with X-linked (Xq22, 80% to 85% of cases), AR (approximately 15% of cases), and rarely AD (chromosome 2q) inheritance. Autosomal forms have been attributed to defects in the COL4A3 or COL4A4 gene. The X-linked mutations have been mapped to defects in the α-5-chain of type IV collagen (COL4A5) gene, which compromise both COL4A3 and COL4A4.52 A subtype of X-linked Alport's syndrome (XLAS), in which diffuse leiomyomatosis is an associated feature, reflects deletion mutations involving the adjacent COL4A5 and COL4A6 genes. All reported mutations lead to abnormalities in the basement membranes of the glomerulus, cochlea, retina, lens capsule, and cornea, which eventually constitute the typical phenotype.

Anterior lenticonus (Figs. 8 and 9) is considered an integral part of AS. The anterior capsule thins and allows the lens to bulge into the anterior chamber, using the pupil as a mold.53 Electron microscopy of the renal glomeruli and anterior lens capsule can confirm capsular thinning and dehiscences.54,55 Anterior lenticonus is typically diagnosed in the second and third decades of life, when it causes clinically significant decreased vision,56 but it may be present in adolescence and result in spontaneous rupture of the anterior lens capsule.57 Posterior subcapsular cataract occurs quite frequently; however, many patients receive glucocorticosteroids for their renal condition, which may play an etiologic role in these cataracts. Additional ocular features described in XLAS include other corneal dystrophies, microcornea, corneal arcus, iris atrophy, posterior lenticonus, spontaneous lens rupture, spherophakia, a poor macular reflex, fluorescein angiogram hyperfluorescence, electrooculogram and ERG abnormalities, and retinal pigmentation abnormalities.58

Fig. 8. AS. The thinned lens capsule and anterior cortex protrude centrally into the anterior chamber and an additional small, central, posterior, subcapsular opacity in a 38-year-old male with AS (Scheimpflug image).

Fig. 9. AS. Oil-droplet appearance of anterior lenticonus in retroillumination. (Courtesy of Dr. N. Meadow, Manhattan Eye and Ear Hospital, New York, New York.)

FECHTNER'S SYNDROME

Fechtner's syndrome is an AD macrothrombocytopenia that results from a mutation on chromosome 22 in the MYH9 gene. It encodes for the nonmuscle myosin heavy chain IIA (NMMHC-A),59 which is expressed in the platelets, kidney, leukocytes, and cochlea. Fechtner's syndrome, which is also reported as a variant of AS, shares with the latter the triad of nephritis, sensorineural hearing loss, and eye abnormalities, and presents the additional features of macrothrombocytopenia and polymorphonuclear inclusions (called Döhle-like bodies). May-Hegglin's anomaly, Sebastian's syndrome, and Epstein's syndrome are macrothrombocytopenias caused by distinct mutations of MYH9; however, unlike Fechtner's syndrome, they are not associated with cataract. They are also distinguished from Fechtner's syndrome by different combinations of clinical and laboratory signs, although considerable overlap exists. A recent report60 suggested that May-Hegglin's anomaly, Sebastian's syndrome, Epstein's syndrome, and Fechtner's syndrome are not distinct entities, but rather form a single disorder with a continuous clinical spectrum that varies from mild macrothrombocytopenia with leukocyte inclusions to a severe form complicated by hearing loss, cataracts, and renal failure. The term “MHY9-related disease” was proposed in that study.

POSTERIOR LENTICONUS

Posterior lenticonus (or lentiglobus) is a unilateral or bilateral condition caused by asymmetrical thinning and posterior bowing of the posterior lens capsule centrally or peripherally. This has variable effects on the adjacent lens cortex: opacification sometimes occurs, or it may manifest as a high degree of astigmatism that can be irregular but without cataract. More severe cases are associated with a progressive opacity of the lens lamellae in the abnormal area, sometimes with a dense discoid opacity of the posterior pole. Although sporadic cases may occur, many are inherited as an X-linked or AD trait. It is therefore important to perform a slit-lamp examination of a patient's relatives. Posterior lenticonus has been associated with microcornea, hyperglycinuria, Duane's syndrome, and anterior lentiplanus.13,61

Back to Top
CATARACT ASSOCIATED WITH MUTATIONS IN CHOLESTEROL METABOLISM ENZYMES
Inherited defects in enzymes of cholesterol metabolism are associated with cataracts. This association results from the lens' ongoing requirement for on-site synthesis of cholesterol. Impaired synthesis can lead to alteration of the lens membrane structure. The lens cell membrane contains the highest cholesterol content of any known membrane. Smith-Lemli-Opitz's syndrome (SLOS), cerebrotendinous xanthomatosis (CTX), mevalonic aciduria, and Conradi-Hunermann-Happle's (CHH) syndrome all involve mutations in cholesterol metabolism enzymes, and affected patients can develop cataracts.62

SMITH-LEMLI-OPITZ'S SYNDROME (SLOS)

SLOS (or RSH, after the initials of the last names of three patients) is an AR disorder of cholesterol biosynthesis. It involves a broad spectrum of phenotypic abnormalities caused by mutations of the 7-dehydrocholesterol reductase gene (DHCR7) on chromosome 11, and is diagnosed in 1:15,000–20,000 live-born infants.63 A prenatal diagnosis can be made by detection of elevated 7-dehydrocholesterol or of SLOS-causing mutations in the DHCR7 gene.64 The clinical phenotype of SLOS includes a lethal form called “idiopathic” hydrops. Neurological findings include microcephaly with cerebral dysgenesis and demyelinization, agenesis of the corpus callosum, and cerebellar vermis dysgenesis. Cleft palate, different forms of congenital heart defects, pyloric stenosis and/or Hirschsprung dysganglionosis, adrenal (cortical) insufficiency, cholestatic liver disease, limb malformations, and genital ambiguity in genetic males are also found. Congenital cataracts are present in 20% of affected patients. Other ophthalmologic signs observed in SLOS include blepharoptosis, epicanthal folds, strabismus, downslanting small palpebral fissures, mild exophthalmos, retinal pigment epithelial defects, pale disks, nystagmus, microcornea, aniridia, postlenticular membrane, Duane's retraction syndrome, absence of lacrimal puncta, opsoclonus-like movements, corneal enlargement, abnormal iris insertion, bilateral optic pits, sclerocornea, and optic nerve demyelination.65

CEREBROTENDINOUS XANTHOMATOSIS (CTX, ESSENTIAL HYPERCHOLESTEROLEMIC XANTHOMATOSIS)

CTX is an AR neurometabolic disease caused by a deficiency of the mitochondrial sterol 27-hydroxylase. The metabolic defect causes reduced bile acid synthesis and increased plasma and tissue cholestanol levels, which left untreated will lead to the classic phenotype of juvenile cataracts, neurological dysfunction, and tendon xanthomas. It is crucial to diagnose CTX before neurological deterioration occurs to prevent brain damage that can lead to severe mental and neurological pathologies, and death.66 Children with unexplained bilateral cataracts and chronic diarrhea should be worked up to rule out CTX. Treatment with chenodeoxycholic acid will normalize laboratory parameters, stop the diarrhea, and prevent progression of the disease. After a year of treatment the motor development delay disappears, the intelligence quotient improves, and EEG abnormalities disappear.67 In the natural course of the disease, cataracts become evident between the first and third decades, and are characterized by small irregular corticonuclear opacities, anterior polar cataracts, and dense posterior subcapsular cataracts.68 Histologically they contain numerous membranous structures with lipid-filled vacuoles. Bilateral optic atrophy and premature retinal senescence (drusen and retinal pigment epithelial defects) have been reported. The vitreous may contain suspended yellowish flakes resembling cholesterol crystals.69 Palpebral xanthelasmas, corneal lipoid arcus, and proptosis have been reported. Other systemic manifestations include mental retardation, pyramidal and cerebellar signs, brain atrophy, atherosclerosis and myocardial infarction, pulmonary insufficiency, and osteoporosis.

CONRADI-HUNERMANN-HAPPLE'S (CHH) SYNDROME (X-CHROMOSOMAL DOMINANT CHONDRODYSPLASIA PUNCTATA TYPE II)

CHH syndrome (X-chromosomal dominant chondrodysplasia punctata type II) is an X-linked dominant disorder that is characterized by ichthyosis, chondrodysplasia punctata, cataracts, and short stature. The disease occurs almost exclusively in females. It is presumed to be lethal in males; however, only a few affected males have been reported. CHH shows increased disease expression in successive generations (i.e., anticipation). Cholesterol biosynthesis is deficient due to a 3-β-hydroxysteroid-δ8,δ7-isomerase deficiency based on mutations in the emopamil binding protein (EBP) gene.70,71

MEVALONIC ACIDURIA

Mevalonic aciduria is caused by a genetic deficiency of mevalonate kinase, and is characterized by very high mevalonic acid plasma levels, developmental malformations, and cataracts. Chronic exposure of the lens to mevalonic acid can induce cataracts due to a toxic effect on the lens cell membranes, resulting in an apparent progressive increase in membrane permeability.72

Back to Top
DISORDERS ASSOCIATED WITH IMPAIRED DNA REPAIR MECHANISMS
Deoxyribonucleic acid (DNA) repair is a fundamental process in maintaining the integrity of genomic DNA that is continuously challenged by intrinsic or environmentally induced alterations. Consequently, failure of DNA repair may affect normal growth and development, aging, programmed cell death (apoptosis), and uncontrolled cell proliferation (cancer). The structure and integrity of DNA may be altered spontaneously because of intrinsic instability of chemical bonds in DNA, or endogenously during cell metabolism. External factors such as ionizing radiation, ultraviolet (UV) light, or chemicals predispose affected individuals to skin and eye pathologies. The following AR-inherited disorders can be distinguished clinically and in DNA repair assays: xeroderma pigmentosum (XP), Cockayne's syndrome, trichothiodystrophy (TTD), Bloom's syndrome, Rothmund-Thomson's syndrome, and Werner's syndrome.73 Of these, TTD and Cockayne's, Rothmund-Thomson's, and Werner's syndromes are associated with cataract formation, and are discussed in detail below.

COCKAYNE'S SYNDROME

Cockayne's syndrome is a progressive neurological disorder that is characterized in infancy by growth failure (“cachectic dwarfism”), retinal degeneration, and increased sensitivity to sunlight. Depending on which gene is affected, two clinical phenotypes can be distinguished: type I (the “classic” type), with postnatal onset, and type II (the “severe” type), in which symptoms are present at birth and may lead to death by the age of 6 or 7 years. The skin manifestations include increased photosensitivity with peeling and scarring, and loss of subcutaneous fat. Mental retardation, microcephaly, severe neurological progressive impairment, sensorineural deafness, ataxia, spasticity, and intracranial calcifications are common neurological manifestations. Growth failure, major cachectic dwarfism, sexual immaturity, and dysmorphic features such as enophthalmos, beaklike nose, and narrow mouth and chin characterize the phenotype of Cockayne's syndrome. As first described by Cockayne,74 one of the syndrome's hallmarks is the pigmentary retinal degeneration found in 60% to 100% of patients. A “salt and pepper” type fundus, bone spicules, and optic atrophy have been reported. ERG shows reduced scotopic and photopic responses that appear to correlate with fundus changes and the age of the patient. Cataracts, which are present in 15% to 36% of patients, may be cortical, posterior subcapsular, or nuclear. Cataracts noted at birth or within the first 3 years of life indicate a poor prognosis, as do iris hypoplasia and microphthalmos. Enophthalmos due to lack of orbital fat is common, as are miotic pupils with a poor response to mydriatics. Strabismus, nystagmus, and decreased or absent lacrimation are also associated with the syndrome.75

Laboratory tests for (prenatal) diagnosis are available and allow for the differentiation of inherited DNA repair disorders. Results of the classic DNA repair test and post-UV radiation unscheduled DNA synthesis (UDS), a measure of the nucleotid excision repair (NER) pathway, are not abnormal in Cockayne's syndrome. However, the results of the transcription blockage test, which examines recovery of RNA synthesis (RRS) 24 hours after UV exposure, will be abnormal.76 Treatment is symptomatic.

TRICHOTHIODYSTROPHY (TTD)

Ichthyosis (scaling of the skin), brittle hair and nails (sulfur-deficient proteins), and growth and mental retardation are manifestations of TTD. The clinical features of TTD are variable, although abnormalities are generally noted from birth. Photosensitivity is present in 50% of cases. As in Cockayne's syndrome, skin cancer is not associated with TTD. Polarizing light microscopy shows a “tiger tail” pattern caused by a partial or complete absence of the cuticular layer, as seen under scanning electron microscopy. Similarly to patients with Cockayne's syndrome, TTD patients may display a bird-like face, receding chin, beaked nose, protruding ears, and mild to severe growth retardation. Mental retardation, spasticity, tremor, ataxia, and neurodysmyelination are the neurological manifestations of TTD. Immunodeficiency and decreased fertility may be associated. Cataract is the main ophthalmic feature reported (mostly as small punctate opacities present throughout the lens, and rarely as zonular cataracts).77 Decreased lacrimation, pigmentary degeneration of the retina, nystagmus, and optic disk atrophy (associated with encephalopathy) are rarely associated. Brittle eyelashes may induce keratitis due to abnormal orientation of the lashes. DNA testing on fibroblast cultures shows various results depending on the pathway involved, and may not be diagnostic in 50% of cases. Prenatal diagnosis by fetal hair biopsy has been reported. Three genes have been identified as causing TTD: the yet-uncloned TTD-A78; TTD-B, a rare mutation in the XP-B gene; and TTD-D, caused by mutations on XP-D gene.79 The location of a mutation in the XP-B or XP-D gene appears to determine the clinical phenotype.80 Recently two patients with clinical symptoms of both XP and TTD were reported.81

ROTHMUND-THOMSON'S SYNDROME

Rothmund-Thomson's syndrome is characterized by early poikiloderma, growth deficiency, and increased predisposition to cancer, (most commonly osteosarcoma). Skin manifestations begin as large, ill-defined areas of erythema that occur shortly after birth. The erythema leads to atrophy of the skin, with telangiectasias and hyper- and hypopigmentation aggravated by exposure to light. Most patients show growth retardation, dystrophy of the nails and teeth, hypogonadism, and alopecia. Early graying, hair loss, and absence or sparseness of eyelashes and eyebrows are common. Bilateral cataracts have been reported to be a common feature (73% in one large series82). The lens opacities are subcapsular, and display rapid onset within 2 to 3 months, most commonly at the age of 2 to 4 years. In a recent series involving 41 affected individuals, however, only two patients with cataracts were identified.83 Occasionally bilateral glaucoma, retinal coloboma, and chorioretinal atrophy have been described.84 Rothmund-Thomson's syndrome is caused by mutations in the DNA helicase gene RECQL4.85 Therapy is limited to early detection of osteosarcoma with baseline radiographs after the age of 5 years, and avoidance of sun exposure.

WERNER'S SYNDROME

Premature aging, endocrine disturbances (e.g., diabetes and hypogonadism), and osteoporosis (progeria of the adult) are hallmarks of Werner's syndrome. The syndrome typically manifests after puberty. Arteriosclerosis and osteoporosis are common, and myocardial infarction or cancer may lead to early death in the fourth to sixth decades. The skin becomes shiny and taut, with atrophy of the underlying subcutaneous tissue. The hair often grays before the patient reaches 20 years of age. Loss of orbital fat leads to deep-set eyes, and the nose becomes beak-shaped. Bilateral cataracts appear at a median age of 30 years.86 Subcapsular, cortical, nuclear, zonular, and punctate lens opacities have been reported. Bullous keratopathy is a common postoperative complication and may necessitate penetrating keratoplasty.87 Werner's syndrome is caused by mutations in the RECQL2 gene encoding for a DNA helicase.88

Back to Top
DISORDERS WITH DERMATOLOGIC MANIFESTATIONS

ANHIDROTIC ECTODERMAL DYSPLASIA (CHRIST-SIEMENS-TOURAINE'S SYNDROME)

Also known as Christ-Siemens-Touraine's syndrome, this rare disease presents as a congenital absence of the sweat, sebaceous, and mucous glands, with sparse hair, poorly developed teeth, and growth retardation. Ocular symptoms vary from congenital anophthalmos,89 keratopathy, and adult onset cataract due to anti-lens antibodies90 to atrophic rhinitis without ocular involvement. Hypohidrotic/anhidrotic ectodermal dysplasia (HED/EDA) has been ascribed to at least three genes involved in NF-κ-B activation: ectodysplasin (EDA1), EDA-receptor (EDAR), and EDAR-associated death domain (EDARADD). During hair follicle morphogenesis, EDAR is activated by ectodysplasin and uses EDARADD as an adapter to build a signal transducing complex that leads to NF-κ-B activation.91

Two further mutations in the NF-κ-B family are known to cause anhidrotic ectodermal dysplasia with immune deficiency: X-linked recessive anhidrotic ectodermal dysplasia with immunodeficiency (XL-EDA-ID) is caused by hypomorphic mutations in the gene encoding NEMO/IKK-gamma, the regulatory subunit of the I-κ-B-kinase (IKK) complex. AD EDA-ID (AD-EDA-ID) is caused by a hypermorphic mutation in the gene encoding the inhibitory protein IκBα92.

INCONTINENTIA PIGMENTI (IP, BLOCH-SULZBERGER'S SYNDROME)

IP (Bloch-Sulzberger's syndrome) was the first genetic disorder to be ascribed to NF-κB dysfunction. IP is an X-linked dominant genodermatosis antenatally lethal in males. Females present with abnormal skin pigmentation (100%), dental (90%), skeletal (40%), central nervous (40%) and ocular (35%) abnormalities. Other dermatological signs include alopecia and nail dystrophy. Ocular abnormalities consist of proliferative vitreoretinopathy, retinal detachment, strabismus, congenital cataract, microphthalmia, optic nerve atrophy, and iris hypoplasia. A complex rearrangement of the NEMO (NF-κB essential modulator) gene accounts for 85% of IP patients, and results in undetectable NEMO protein and absent NF-κB activation.91

ATOPIC DERMATITIS

Atopic dermatitis typically presents in young male children as withered, thickened, and scaly skin. Eight percent to 20% of patients may develop shield-shaped anterior subcapsular cataracts that may rapidly develop within weeks during periods of exacerbated facial skin involvement.93 Posterior subcapsular cataract in atopic patients is a complication of topical or systemic corticosteroid therapy. Atopic patients are at risk for retinal detachment, presumably due to eye rubbing. Other ocular manifestations include typical signs and symptoms of allergic disease, such as prominent folds of the lower lids (Hertoge's sign) and keratoconjunctivitis.

Back to Top
CATARACT ASSOCIATED WITH FACIAL DYSMORPHISM

CONGENITAL CATARACT FACIAL DYSMORPHISM NEUROPATHY (CCFDN) SYNDROME

CCFDN syndrome is a recently delineated AR condition. It was first described in gypsies in Bulgaria and subsequently was detected in Romania, Hungary, and the United States. The CCFDN gene has been mapped to the telomeric region of chromosome 18q. The cardinal features include congenital cataract and microcornea, dysmorphic facial features, and hypomyelinating/demyelinating peripheral neuropathy leading to a progressive neurological deficit. Other manifestations include developmental delay, mild intellectual deficit, short stature, skeletal deformities, and hypogonadism. Additional common ophthalmologic findings are micropupil, strabismus, and nystagmus.94

MARINESCO-SJÖGREN'S SYNDROME (MSS)

The differential diagnosis of CCFDN syndrome includes MSS, an AR disorder that was recently mapped to chromosome 5q31.95 In this disorder, cataracts are reported at a later age and with variable progression.96,97 Cerebellar involvement and chronic myopathy are mandatory for the diagnosis of MSS. Other features that distinguish CCFDN from MSS are the absence of peripheral neuropathy, facial dysmorphism, and microcornea.

OCULOMANDIBULODYSCEPHALY (HALLERMANN-STREIFF-FRANCOIS' SYNDROME)

Hallermann98 and Streiff99 first described patients that were characterized by a “bird face,” congenital cataract, mandibular hypoplasia, and dental abnormalities. The new syndrome was later defined as Hallermann-Streiff's syndrome (HSS), underlining the differences with regard to Franceschetti's mandibulofacial dysostosis. In HSS patients the nose appears thin, sharp, and hooked; the prominence of the chin is absent in the lateral view; and marked microstomia with aplasia of multiple teeth is present. Patients present with short stature, skin atrophy, and hypotrichosis. Ocular symptoms include severe microphthalmos and congenital partial or total cataracts. If left alone the cataract will eventually undergo spontaneous absorption in the second to third year of life, without considerable inflammation.100 Additional ocular involvement may include glaucoma, blue sclera, nystagmus, strabismus, optic nerve colobomas or dysplasia, and chorioretinal atrophy.

HSS shares several clinical characteristics with oculodentodigital dysplasia (ODDD). However, while ODDD is known to be a dominantly inherited disorder resulting from mutations in the connexin 43 gene GJA1, the inheritance pattern of HSS is still being debated.101

CRANIOSYNOSTOSIS SYNDROME (CROUZON'S SYNDROME)

In the AD craniosynostosis syndromes of Crouzon, Pfeiffer, Jackson-Weiss, and Apert, mutations have been found in the gene that codes for fibroblast growth factor receptor 2 (FGFR2). Less frequently, mutations are observed in FGFR1 and FGFR3 in some cases of Crouzon's and Pfeiffer's syndromes. The mutations identified in FGFR2 are located in exons 5 and 7 of the gene that codes for immunoglobulin (Ig)-like chain III and the region that links Ig II and Ig III of FGFR2. Identical mutations are found in the clinically distinct syndromes of Crouzon, Pfeiffer, and Jackson-Weiss. Furthermore, the same gene defect can result in a highly variable phenotype even within one family. Thus the clinically distinct craniosynostotic syndromes are the extremes of a spectrum of craniofacial abnormalities, rather than nosologic entities. A mutation in the homeotic gene MSX2 was the first genetic defect identified in an AD primary craniosynostosis (i.e., in craniosynostosis type 2 (Boston type)). In Saethre-Chotzen's syndrome, the gene coding for transcription factor TWIST is mutated.102

Crouzon's syndrome (dysostosis craniofacialis) manifests as a malformation of the prosencephalic head organizer, which leads to a dyschondroplasia that mainly affects the base of the skull. The dysplasia of the midface results in a characteristic facies that is commonly associated with proptosis, divergent strabismus, and hypertelorism with dystopia canthi lateralis, as well as optic atrophy in about 80% of patients (obligate eye findings). Additionally, patients may present with facultative signs such as nystagmus, megalocornea, iris coloboma, corectopia, ectopia lentis (EL), and cataract (Fig. 10). There is no apparent causal relationship between these symptoms and the dysostosis craniofacialis.103

Fig. 10. Crouzon's syndrome. Anterior cortical lens opacity in the left eye of a 23-year-old female with Crouzon's syndrome.

Acro-cranial-facial dysostosis syndrome (ADS) is a rare AR craniosynostosis syndrome that presents with associated distal limb alterations and microcornea, optic nerve alterations, and cataracts in children. A linkage analysis revealed that this rare entity, which has great clinical intrafamilial variability, is not caused by any of the five candidate genes that cause AD craniosynostoses.104

Back to Top
CATARACTS ASSOCIATED WITH SKELETAL DISORDERS

OSTEOGENESIS IMPERFECTA (OI)

OI (historical synonyms include osteopsathyrosis, Vrolik's disease, fragilitas ossium, mollities ossium, Lobstein's disease, and Van der Hoeve's syndrome) is classically divided into four types: OI with optic atrophy, retinopathy, and severe psychomotor retardation, and OI with microcephaly and cataracts. However, it has been suggested that there may be at least 12 forms of OI. Some forms of OI are associated with mutations in the COL1A1 and COL1A2 genes. Other forms are not linked to these mutations, and were recently categorized as syndromes resembling OI (SROI).105 OI with microcephaly and cataracts, the only form of OI associated with cataracts, falls under the SROI classification. It can present with zonular or cortical cataracts.

PIERRE ROBIN'S SYNDROME

The main characteristics of Pierre Robin's syndrome are micrognathia, cleft palate, glossoptosis (resulting from hypoplasia of the mandible), and respiratory insufficiency. Although both dominant and recessive patterns have been described, most cases are sporadic.106 Cataracts (which may be progressive and autolytic107), congenital glaucoma and iridogoniodysgenesis, vitreoretinal degeneration, retinal detachment, microphthalmia, and strabismus have all been associated with this syndrome. Pierre Robin's syndrome must be differentiated from Marshall-Stickler's syndrome.108

MARSHALL-STICKLER'S SYNDROME

Marshall-Stickler's syndrome is a progressive AD connective tissue disorder with numerous ocular and systemic manifestations. Ocular abnormalities include high myopia, retinal detachment, glaucoma, goniodysgenesis, premature cataracts, optically empty vitreous cavities, and retinal pigmentary changes. Occasionally lens subluxation and simultaneous nasal lens coloboma are observed.109 Systemic signs include premature osteoarthritis and sensorineural hearing loss, as well as numerous skeletal and facial malformations (“flat” mid-face), such as maxillofacial hypoplasia and cleft palate. A retrolental membrane and optically empty vitreous are associated with the COL2A1 gene.110

RUBINSTEIN-TAYBI'S SYNDROME

Mental retardation, facial abnormalities, broad thumbs and big toes, arched palate, beaked nose, and vertebral, sternal, and pelvic abnormalities characterize this syndrome. Rubinstein-Taybi's syndrome can be diagnosed in the neonatal period by typical thumbs, halluces, and facial abnormalities. The prevalence in the general population is unknown; however, the disorder is not rare and is present in about 1:600 patients in mental retardation clinics. The hereditary pattern is not clear, and recurrence is deemed very unlikely. Eighteen different chromosomal anomalies have been identified in some patients with this syndrome.111 The most frequently reported eye anomalies are nasolacrimal duct obstruction, epicanthus, ptosis, strabismus, corneal abnormalities, congenital glaucoma, congenital cataract, colobomata, and progressive retinal cone or rod-cone dysfunction.112

SYNDROMES ASSOCIATED WITH MICROCEPHALY AND CATARACT

The characteristics of Micro syndrome are mental retardation, microcephaly, congenital cataract, microcornea, microphthalmia, agenesis/hypoplasia of the corpus callosum, and hypogenitalism. The differential diagnosis includes a syndrome involving cataract, arthrogryposis, microcephaly, and kyphoscoliosis (CAMAK); a syndrome with cataract, microcephaly, failure to thrive, and kyphoscoliosis (CAMFAK); Martsolf's syndrome; Neu-Laxova's syndrome (NLS); lenz microphthalmia syndrome; SLOS113; and cerebro-oculo-facial-skeletal syndrome (COFS) or Pena-Shokeir-II syndrome. The ocular symptoms of the latter include bilateral posterior polar cataract, microphthalmos, nystagmus, and marked nonglaucomatous optic nerve atrophy. The systemic abnormalities of Pena-Shokeir-II syndrome are microcephaly, micrognathia, flexion contractures of the elbows and knees, hypotonic musculature, and failure to thrive, with pronounced statomotor retardation.114 The main characteristics of Martsolf's syndrome are mental retardation, short stature, cataracts, hypogonadism, and craniofacial anomalies, including microcephaly, maxillary retrusion, pouting mouth, misaligned teeth, and mildly dysplastic pinnae. The metacarpal and phalangeal bones are short. The occurrence of Martsolf's syndrome in siblings of opposite sex suggests AR inheritance.115 NLS is characterized by intrauterine growth retardation (IUGR), choroid plexus cysts, receding forehead and microcephaly, bilateral congenital cataract, scalp edema, massive swelling of the hands and feet, retrognathia, curved penis, and flexion deformities of the limbs. Dandy-Walker's anomaly may be associated, and prenatal ultrasound at 32 weeks' gestation can disclose the diagnosis.116

HEREDITARY MUCOEPITHELIAL DYSPLASIA (HMD)

HMD is a multiepithelial disorder with AD inheritance. Variable combinations of childhood alopecia, follicular hyperkeratosis, keratoconjunctivitis, juvenile cataracts, gingival hyperemia, restrictive lung disease, and esophageal stenosis or webs characterize HMD. Corneal and pulmonary lesions may be progressive and lead to blindness, recurrent pneumonia, and/or premature death. Histopathologically, the lesions are characterized by dyskeratosis. Electron microscopy reveals a paucity of gap junctions and desmosomes.117

Back to Top
CATARACTS ASSOCIATED WITH CHROMOSOMAL DISORDERS

DOWN SYNDROME (TRISOMY 21)

Down syndrome is the most common cause of mental retardation, with an incidence of about 1.5:1,000 live births. The general features of Down syndrome are well known. This condition is often associated with advanced maternal age. The chromosome abnormality is usually a Trisomy 21, but it may also include a translocation or a mosaicism. General manifestations include cardiac defects, abnormal palm crease, and short stature. Ocular findings include upward slanting of the palpebral fissure with the outer canthus 2 mm or higher than the inner canthus (82%), epicanthal folds (61%), astigmatism (60%), iris abnormalities (52%), strabismus (38%), nasolacrimal duct obstruction (30%), blepharitis (30%), retinal abnormalities (28%), hyperopia (26%), amblyopia (26%), nystagmus (18%), cataract (13%), and myopia (13%).118 Keratoconus and accommodation deficit can become manifest in children and young adults. Cataracts may be present at birth (posterior polar cataract) or develop during childhood in the form of arcuate opacities astride the equator of the fetal nucleus, which, when wide, may constitute a zonular cataract (Fig. 11), suture cataracts, or cataracts similar to cerulean cataracts.105

Fig. 11. Down's syndrome. Zonular cataract with cortical riders and dense polar opacity in a patient with Down's syndrome. (Courtesy of Dr. N. Meadow, Manhattan Eye and Ear Hospital, New York, New York.)

TURNER'S SYNDROME

Turner's syndrome is a disorder in females that is characterized by the absence of all or part of a normal second sex chromosome. It leads to a constellation of physical findings that often include congenital lymphedema, short stature, and gonadal dysgenesis. Turner's syndrome occurs in one in 2,500 to one in 3,000 live-born girls. Approximately half have monosomy X (45,X), and 5% to 10% have a duplication (isochromosome) of the long arm of one X (46,Xi[Xq]). Most other patients with this syndrome have mosaicism for 45,X, with one or more additional cell lineages. Affected fetuses often abort spontaneously. Sonographic prenatal diagnosis may reveal congenital “puffy” subcutaneous edema. Pterygium colli, growth retardation, gonadal dysgenesis, progressive sensorineural hearing loss, learning disabilities, developmental delay, congenital heart disease, hypothyroidism, gastroesophageal reflux, and failure to thrive are major systemic features of Turner's syndrome. Ocular manifestations include strabismus, nystagmus, blue sclera, antimongoloid lid slanting, ptosis, and cataract. Red-green colorblindness is found with the same frequency as in normal males.119

PATAU'S SYNDROME (TRISOMY 13)

Patau's syndrome (Trisomy 13) is always associated with severe ocular malformations. Ninety-five percent of infants die before 1 year of age. The main systemic effects are central nervous system abnormalities (mental retardation, microcephaly, and arhinencephaly), and facial (cleft lip and palate), genitourinary, cardiac, gastrointestinal, and skeletal (polydactyly) defects. Ocular manifestations include microphthalmos, aplasia of the anterior segment with primary aphakia, colobomas, intraocular cartilage, severe microphthalmia, coloboma of the ciliary body, cataracts, detached retina, and retinal dysplasia.120 If a lens is present, it is always cataractous, often partially absorbed or calcified, and may be dislocated.

SMITH-MAGENIS' SYNDROME (SMS)

SMS is a distinct and clinically recognizable multiple congenital anomaly (MCA) and mental retardation syndrome caused by an interstitial deletion of chromosome 17 p11.2. The phenotype of SMS has been well described and includes a characteristic pattern of physical features; a hoarse, deep voice; speech delay with or without associated hearing loss; signs of peripheral neuropathy; variable levels of mental retardation; and neurobehavioral problems.121 Prior reports have described ophthalmic anomalies with SMS, including telecanthus, ptosis, strabismus, myopia, iris anomalies, cataracts, optic nerve hypoplasia, and retinal detachment. Iris anomalies (68%), microcornea (50%), myopia (42%), and strabismus (32%) were observed in a recent series of 28 patients, none of whom had cataracts.122

EDWARDS' SYNDROME (TRISOMY 18)

In Edwards' syndrome (Trisomy 18), multiple systemic abnormalities are present. It frequently results in abortion or neonatal death. Individuals with three copies of chromosome 18 and with unbalanced translocations, such as duplications of the long arm from 18q21.1-qter, display the clinical phenotype characteristic of Edwards' syndrome. Systemic manifestations include hypotonia, apneic episodes, facial abnormalities, hernias, brain defects, renal malformation, and cardiac septal defects. Anterior polar cataracts are associated with this condition,123 and primary aphakia and severe microphthalmos have been reported.124 Other ocular abnormalities include ptosis, short palpebral fissures, corneal opacities, iris colobomas, optic nerve hypoplasia, juxtapapillary coloboma, retinal dysplasia, and Bergmeister's papilla.

CAT EYE SYNDROME (CES, TRISOMY 22)

Trisomy 22 or partial Trisomy 22 due to interstitial duplication will lead to a rare malformation characterized by ocular coloboma (hence the name of the syndrome), preauricular pits or tags, anal anomalies, and congenital heart and kidney malformations.125 The facial dysmorphism includes low-set posteriorly rotated ears, bilateral preauricular pits, hypertelorism, downward slanting palpebral fissures, bilateral ptosis, and bilateral iris coloboma. A short, beaked nose with a flattened nasal bridge, depressed nasal tip, thin lips, highly arched palate, and micro/retrognathia are typical. Patients present with cardiac septum defects, kidney abnormalities, hernias, and anal atresia. The eyes are often microphthalmic, with anterior and posterior choroidal colobomata, and the lens may be subluxated inferiorly. Associated findings include strabismus, abduction deficit, hyperopia, bilateral ptosis, and secondary chin-up position.126 The der(22) syndrome, and velo-cardio-facial syndrome/DiGeorge's syndrome (VCFS/DGS) are genetically related to CES. These syndromes result from tetrasomy, trisomy, and monosomy, respectively, of part of 22q11. They share a 1.5-Mb region of overlap, which contains 24 known genes. The identification of all genes involved in this part of chromosome 22 will likely contribute to our understanding of the distinct clinical phenotypes.127

ANIRIDIA AND CATARACT

Aniridia occurs with an incidence of 1:64,000–1:96,000. It is a phenotypically heterogenous condition inherited as an AD disorder, with almost complete penetrance but variable expression (two-thirds of cases). It also occurs sporadically. Aniridia has been associated with mutations on chromosome 11p13, the location of the PAX6 gene.128,129 In addition to the absence of the iris, which is usually diagnosed at birth, macula and optic nerve hypoplasia are commonly associated. Congenital cataracts (typically anterior polar opacities) may also be present. Patients with aniridia and congenital cataracts tend to have mutations in the C-terminal proline-serine-threonine (PST)-rich domain of the PAX6 protein.130 Vision progressively worsens and often leads to blindness because of corneal opacities, cataracts, and glaucoma. One-third of patients with sporadic aniridia develop Wilms' tumor (WT) in association with genitourinary anomalies and mental retardation (WAGR syndrome) as a consequence of heterozygous submicroscopic deletions of chromosome 11p13.131

WOLF-HIRSCHHORN'S SYNDROME

Wolf-Hirschhorn's syndrome is caused by partial deletion of the short arm of chromosome 4 (4p-). Common features include developmental delay, microcephaly, seizures, craniofacial anomalies, mental retardation, and cardiac defects. Ophthalmic findings in Wolf-Hirschhorn's syndrome are variable and likely related to the size of the deletion. A recent chart review of 10 patients (4 months to 11 years old) reported exodeviation (9/10), nasolacrimal obstruction (6/10), shallow orbits (3/10), epicanthal folds (3/10), foveal hypoplasia (3/10), upper lid coloboma (2/10), optic disk anomalies (2/10), downslanting palpebral fissures (2/10), microcornea (2/10), hypertelorism (1/10), nystagmus (1/10), and chorioretinal coloboma (1/10).132 More severe forms may present as Peters' anomaly, cataract, and microphthalmos. Systemic anomalies include incomplete nasal cleft, cerebellar malformations, congenital heart defects, renal malformations, inguinal hernia, and malformations of the thumbs and toes. A broad, beaked nose; broadened nasal root; epicanthus; defect of the medial half of the eyebrows; and right-sided facial hypoplasia result in facial dysmorphism.133

CRI DU CHAT (CDC) SYNDROME

CDC syndrome results from a deletion of chromatin from the short arm of chromosome 5 (5p), and is estimated to occur in one of 37,000 life births. A de novo deletion is present in 85% of cases, and 10% to 15% of cases are familial, with the overwhelming majority (> 90%) due to parental translocations. Patients present with the characteristic cat-like cry at birth, and may express a speech delay and severe intellectual impairment. However, if the 5p deletion spares the critical region, patients with CDC may not have a learning disability.134 Visually significant congenital cataracts that require surgical treatment in infancy have also been reported.135–137

Back to Top
SYNDROMES INCLUDING PIGMENTARY DEGENERATION OF THE RETINA AND CATARACT
The distinct types of RP (AD RP, AR RP, X-chromosomal RP, simplex-RP, sector RP, atrophia gyrata, Refsum's syndrome, Usher's syndrome (USH), and chorioideremia) are all associated with an increased incidence of posterior subcapsular cataract. The issue of whether the cataract in RP is part of a genetic defect or is secondary to the retinal pathology remains controversial. Patients with cataracts show significantly worse visual fields, indicating more pronounced retinal disease.138

REFSUM'S SYNDROME

Refsum's syndrome (heredopathia atactica polyneuritiformis), which was first described in 1945, is a rare AR disease that affects phytanic acid metabolism.139 Deficiency of a peroxisomal enzyme phytanoyl-Co-A-α-hydroxylase leads to an accumulation of phytanic acid, a C20 fatty acid. Clinically, Refsum's disease leads to RP, posterior subcapsular cataracts, chronic polyneuropathy, cerebellar ataxia, cardiac arrhythmias, and elevated cerebrospinal fluid protein concentration. A diet low in phytanic acid will reduce plasma levels and improve the neurological manifestations. In a review of 23 patients, the onset of RP preceded the diagnosis of Refsum's syndrome by an average of 11 years (range = 1 to 28 years).140 At the time of diagnosis, retinal damage is severe and serial examinations have failed to show a change in the course of visual deterioration with treatment. Early diagnosis is important to prevent the development of neurological disease and thus reduce the visual handicap of Refsum's syndrome, the loss of muscle strength, and sensory deficits.141

USHER'S SYNDROME (USH)

USH is an AR disorder characterized by congenital bilateral sensorineural hearing loss and progressive loss of vision due to RP. The prevalence of USH is estimated to be 3 to 4.4 cases per 100,000 people. The age of onset, rate of progression, and severity of symptoms distinguish three clinical types: Type 1 USH (USH1) is characterized by congenital, severe-to-profound deafness, and absent vestibular function. Type 2 (USH2) shows a congenital and moderate-to-severe hearing loss and normal vestibular response. A third type (USH3) has been proposed that is clinically similar to USH2 but includes progressive hearing loss. The genetic heterogeneity of USH is quite extensive. Currently, seven different loci that are responsible for the defect are known: 14q, 11q, 11p, 10q, and 21q for USH1, 1q for USH2, and 3q for USH3. Moreover, some USH1 and USH2 families fail to show linkage to these candidate regions, which indicates that there are other, as yet unknown loci that cause USH. To date, only two gene products that are involved in USH pathology are known, although together they are responsible for about 80% of all USH cases. These are myosin VIIA, an unconventional myosin that is involved in the USH1b phenotype, and a protein that is similar to laminina and is responsible for the USH2a phenotype.142

LAURENCE-MOON-BARDET-BIEDL'S SYNDROME (LMBBS) (BARDET-BIEDL'S SYNDROME (BBS))

Laurence-Moon-Bardet-Biedl's syndrome (LMBBS) is an AR condition characterized by rod-cone dystrophy, postaxial polydactyly, central obesity, mental retardation, hypogonadism, and renal dysfunction. LMBBS expression varies both within and between families, and diagnosis is often difficult. A study of 109 LMBBS patients and their families determined that the average age at diagnosis was 9 years.143 The relatively late diagnosis for such a debilitating disease was attributed to the slow development of the clinical features of LMBBS. Postaxial polydactyly was present in 69% of the patients at birth, but obesity did not develop until the age of 2 to 3 years, and retinal degeneration did not become apparent until a mean age of 8.5 years. Additional clinical symptoms include neurological, speech, and language deficits, behavioral traits, facial dysmorphism, complicated cataract, and dental anomalies. Unaffected relatives may have an increased prevalence of renal malformations and renal cell carcinoma, a possible consequence of heterozygosity for LMBBS genes.143

HALLGREN'S SYNDROME

Hallgren's syndrome is a rare syndrome that is associated with RP, sensorineural hearing loss, and ataxia. Complicated cataracts may occur. Two families (a Swedish family, whose pedigree was examined in the original description of this syndrome,144 and a Latin-American family) have been reported.145

Back to Top
CATARACTS ASSOCIATED WITH PEROXISOMAL DISORDERS
Several childhood multisystem disorders with prominent ophthalmological manifestations have been ascribed to a malfunction of the peroxisome, a subcellular organelle. The peroxisomal disorders have been divided into three groups: 1) those that result from defective biogenesis of the peroxisome (Zellweger's syndrome, neonatal adrenoleukodystrophy, and infantile Refsum's disease); 2) those that result from multiple enzyme deficiencies (rhizomelic chondrodysplasia punctata); and 3) those that result from a single enzyme deficiency (X-linked adrenoleukodystrophy, primary hyperoxaluria type 1). Neonatal adrenoleukodystrophy and infantile Refsum's disease appear to be genetically distinct but clinically, biochemically, and pathologically similar to Zellweger's syndrome, although milder. Rhizomelic chondrodysplasia punctata, a peroxisomal disorder that results from at least two peroxisomal enzyme deficiencies, presents at birth with skeletal abnormalities, and patients rarely survive past 1 year of age.146

ZELLWEGER'S SYNDROME

Zellweger's syndrome, the most lethal of the three peroxisomal biogenesis disorders, causes infantile hypotonia, failure to thrive, seizures, and death within the first year of life. Ophthalmic manifestations include corneal opacification, cataract, glaucoma, pigmentary retinopathy (absent ERG), and optic atrophy. Lens opacities typically have a dense cortex that produces a cortical–nuclear interface. Ultrastructurally these opacities are inclusion bodies restricted to the cortical lens fibers. The lens epithelium shows age-dependent abnormal mitochondrial proliferation. Lens opacities may be mild at birth. Carriers and heterozygotes may show curvilinear condensations in the cortical lens region, which may be useful for making a diagnosis of Zellweger's syndrome before pathologic substantiation is obtained.147

X-LINKED ADRENOLEUKODYSTROPHY

X-linked (childhood) adrenoleukodystrophy, which results from a deficiency of a single peroxisomal enzyme, presents in the latter part of the first decade with behavioral, cognitive, and visual deterioration. Vision loss results from demyelination of the entire visual pathway, but the outer retina is spared. Anterior subcapsular cataract and cystoid macula edema have been reported.146,148

Back to Top
ECTOPIA LENTIS (EL)

HOMOCYSTINURIA

Homocystinuria is an AR disorder of methionine metabolism due to cystathionine B-synthetase deficiency. An incidence of 1:344,000 worldwide makes it the second most common inborn error of amino acid metabolism after PKU. Severe hyperhomocystinemia in untreated patients leads to mental retardation, EL, growth retardation, and osteoporosis; however, vascular events remain the major cause of morbidity and mortality. The recognized modalities of treatment include pyridoxine in combination with folic acid and vitamin B12; a methionine-restricted, cystine-supplemented diet; and betaine. The natural history of vascular events is such that half of the patients will have an event before the age of 30 years, and it is predicted that there will be one event per 25 years at the time of maximal risk.149 In 90% of patients, the lens is dislocated or subluxed, inferiorly or inferonasally (Fig. 12). This occurs early in life, but usually not before the first year. The subluxation is directed downwardly more frequently than it is in Marfan's or Marchesani's syndromes. The lens may lodge in the pupil and cause pupillary-block glaucoma, become trapped in the anterior chamber, or find its way into the vitreous. Patients who do not receive the appropriate diet will develop lens opacities.150

Fig. 12. Homocystinuria. Anteriorly dislocated lens in a patient with homocystinuria.

MARFAN'S SYNDROME (MFS)

The hereditary pattern of MFS is AD with variable expressivity. It is characterized by skeletal (increased length of extremities, arachnodactyly, loose joints, scoliosis, pectus excavatum, and high palate), cardiovascular (aortic dilatation, dissecting aneurysm, and floppy mitral valve), and ocular anomalies (EL, increased corneal diameter and axial length, flattened iris surface with transillumination at its base, miotic pupil, angle abnormalities, high myopia, and retinal detachment). The life of an MFS patient is frequently shortened, most commonly by aortic dilatation and dissecting aneurysm. Mutations of the fibrillin-1 (FBN1) gene on chromosome 15 have been described in patients with classic MFS, neonatal MFS, the “MASS” phenotype, AD ascending aortic aneurysms, AD EL, Marfanoid skeletal features, familial arachnodactyly, Shprintzen-Goldberg's syndrome, and severe progressive kyphoscoliosis.151 Zonular fibrillin microfibrils are disrupted and fragmented in the lens capsule of patients with MFS. The zonules are stretched (not broken) in areas of subluxation. EL is found in 50% to 80% of patients with MFS (Fig. 13). The subluxation is nearly always bilateral, rarely progressive, and usually located upward and temporally. The lens may be tilted. Glaucoma may be due to angle abnormalities or may be lens induced. Megalocornea and nystagmus have also been reported.

Fig. 13. MFS. Superiorly and temporally dislocated lens. The stretched zonules are visible inferonasally. (Courtesy of Dr. N. Meadow, Manhattan Eye and Ear Hospital, New York, New York.)

WEILL-MARCHESANI'S SYNDROME (WMS)

WMS is a rare condition characterized by short stature, brachydactyly, joint stiffness, and characteristic eye abnormalities, including microspherophakia, ectopia of the lens, severe myopia, and glaucoma. Both AR and AD modes of inheritance have been described for WMS. A locus for AR WMS was recently mapped to chromosome 19p13.3-p13.2, and a mutation within the fibrillin-1 gene (15q21.1) was found in one AD WMS family. AR and AD cases show no significant difference in prevalence of myopia, glaucoma, cataract, short stature, brachydactyly, thick skin, muscular build, and mental retardation. Microspherophakia (94% in AR, 74% in AD), EL (64% in AR, 84% in AD), joint limitations (49% in AR, 77% in AD, Fischer 0.010), and cardiac anomalies (39% in AR, 13% in AD) differ between the two inheritance patterns.153 Microphakia and spherophakia may be present prior to subluxation or dislocation, and pupillary-block glaucoma may occur. The zonules appear abnormally elongated, allowing the lens to change position.

EHLERS-DANLOS' SYNDROME (EDS)

EDS is a clinically and genetically heterogenous connective tissue disorder that affects as many as one in 5,000 individuals. EDS is characterized in its most common form by hyperextensibility of the skin, hypermobility of joints (often resulting in dislocations), and tissue fragility exemplified by easy bruising, atrophic scars following superficial injury, and premature rupture of membranes during pregnancy, and EL. The recognition of frequent ultrastructural abnormalities of collagen fibrils in EDS patients led to the concept that EDS is a disorder of fibrillar collagen metabolism. Following the identification of specific mutations in the genes encoding collagen types I, III, and V, as well as several collagen-processing enzymes, the EDS classification scheme was collapsed into six distinct clinical types with emphasis placed on the molecular basis of each form.154 The vasular type of EDS, an AD-inherited disorder, results from mutations in the COL3A1 gene. It is a major concern because it is often associated with spontaneous hemorrhage from arteries containing decreased type III collagen, or spontaneous intestinal rupture.155 Classic EDS, defined by skin hyperextensibility and joint hypermobility,also results from mutations in collagen V; 30% to 50% of classic cases are caused by COL5A1 mutations, and a substantially smaller number are caused by COL5A2 mutations.154 The AR kyphoscolitotic type of EDS presents with generalized joint laxity and severe muscle hypotonia at birth and must be differentiated from the brittle cornea syndrome (BCS). BCS is an AR disorder associated with generalized connective-tissue disease characterized by corneal rupture following minor trauma, keratoconus or keratoglobus, blue sclera, hyperelasticity of the skin without excessive fragility, and hypermobility of the joints. BCS displays normal activity of lysyl hydroxylase, which is characteristically deficient in the kyphoscoliotic type of EDS.156 In the AD hypermobility type of EDS, joint hypermobility is the dominant clinical manifestation. The AD arthrochalasia type of EDS results in congenital hip dislocation due to mutations leading to deficient processing of the amino-terminal end of proa1 (I) or pro2(I) chains of collagen type I. The rare AR dermatosparaxis type EDS manifests with severe skin fragility, substantial bruising, and normal wound healing. A urine test is available to diagnose the kyphoscoliosis type EDS. Skin biopsy can assist the diagnosis of the vascular, arthrochalasia, and dermatosparaxis types of EDS.

Back to Top
CATARACT ASSOCIATED WITH METABOLIC DISEASES
In epidemiological population-based studies in the United States and other countries, many investigators have defined cataract as any sign of nuclear or (sub)cortical cataract, or both, in at least one eye with a visual acuity of 20/40 or less. Since a visual acuity of 20/40 is the minimum requirement to obtain or maintain a driving license in many states and countries, a visual acuity below 20/40 is often associated with a decreased quality of life that can be restored by cataract extraction. The Rotterdam Eye Study,157 a population-based prospective cohort study of 6,339 subjects 55 years and older, who were followed for over 10 years, revealed that cataract and age-related maculopathy (ARM) are predictors of shorter survival because they are associated with risk factors that correlate with increased mortality. However, cataract and ARM were not linked with increased mortality when the results were adjusted for age, gender, smoking status, body mass index (BMI), cholesterol level, atherosclerosis, hypertension, history of cardiovascular disease, and diabetes mellitus.

The pathophysiological mechanisms of cataract formation include deficient glutathione levels that contribute to a faulty antioxidant defense system within the lens of the eye. Nutrients that can increase glutathione levels and activity include lipoic acid, vitamins E and C, and selenium.158 Cataract patients also tend to be deficient in vitamin A and the carotenes lutein and zeaxanthin. The B vitamin riboflavin appears to play an essential role as a precursor to flavin adenine dinucleotide (FAD), a cofactor for glutathione reductase activity. Diabetic cataracts are associated with an aldose reductase- and sorbitol dehydrogenase-dependent increase of polyol levels.159 A prolonged increase in intracellular calcium activates proteases, such as calpain, and induces irreversible breakdown and loss of transparency of important structural proteins.160 Agents that interfere with cell cycle and mitosis induce maldifferentiation of germinative lens epithelial cells, retention of nuclear material, and posterior subcapsular cataract.161,162 Cataract secondary to many hereditary and acquired ocular and systemic conditions will often result in posterior subcapsular cataract. Although research has shed light on the biochemical mechanisms involved in the development of cataracts associated with metabolic disease, and genetic studies have unveiled mutations linked to hereditary syndromes, it appears that we currently have insufficient information to suggest a preventive therapy.

DIABETES MELLITUS

Persons with diabetes mellitus have been found to have an increased risk of developing cataracts in comparison with nondiabetic persons. A myopic shift may indicate the onset of diabetes, but hyperopia and astigmatism may also occur. The infrequent “diabetic” cataract occurs in young individuals (teenagers) with insulin-dependent diabetes mellitus. Rapidly progressive cataracts may be the presenting symptom in patients with juvenile diabetes.163 Though these cataracts (named “snowflake” cataracts for their fine, flaky, and dot-like opacities subcapsularly) can be reversible in their early stage (Fig. 14), they commonly evolve rapidly to white anterior and posterior cortical opacities and a mature cataract.

Fig. 14. Snowflake cataract. Slit-lamp view of fine, flaky, and dot-like anterior subcapsular opacities in a patient with juvenile diabetes mellitus. (Courtesy of Dr. N. Meadow, Manhattan Eye and Ear Hospital, New York, New York.)

Several studies that examined a population-based sample of diabetic persons elucidated the characteristics that may be related to the increased risk of cataract.164–166 The prevalence of surgical aphakia and cataract increased with increasing age in both younger- and older-onset diabetic persons. Females were affected more often than males. Cataract risk in younger-onset diabetes mellitus patients correlated with longer duration of diabetes, older age at examination, increased severity of retinopathy, diuretic usage, and higher glycosylated hemoglobin levels in a multivariate analysis. In older-onset persons, the patient's age at examination, increased severity of retinopathy, diuretic usage, lower intraocular pressure, smoking, and lower diastolic blood pressure were significantly associated with greater prevalence of cataract.164,165 Cataracts that consist of mixed opacities, and any nuclear opacities are associated with increased 4-year mortality rates, with diabetes acting as an effect modifier.166

HYPOGLYCEMIA OF CHILDHOOD

Cataracts have been reported in childhood hypoglycemia associated with urinary ketone bodies (ketotic hypoglycemia). Prolonged fasting results in hypoglycemia and ketoacidosis, which in turn may precipitate a transient, sometimes progressive cataract. Cataracts usually precede a hypoglycemic episode, but may also occur at the same time as the episode. They are bilateral, of the lamellar type, and may be progressive.167,168 Forty patients with a confirmed diagnosis of ketotic hypoglycemia were followed between 1978 and 1980.169 Fifteen of the children (37.5%) in that study developed cataracts, which were bilateral, zonular (lamellar), and nuclear, and 11 eyes required surgery for complete cataracts. Other symptoms included strabismus, nystagmus, seizures, EEG abnormalities, and developmental delay. Hypoglycemia of childhood may be associated with Donohue's170 and Wolfram's171 syndromes.

GALACTOSEMIA

Galactose metabolism is universally carried out in three enzymatic steps that are catalyzed sequentially. Galactose can be converted into energy by entering the glycolytic pathway, since glucose-1-phospate is one of the galactokinase (GALK) products. Galactose may also be incorporated into glycoproteins and glycolipids following the second enzymatic transformation by galactose-1-phosphate uridyl transferase (GALT) as UDP-galactose, the only substrate donor of all galactosylation reactions. The third catalyzation by UDP-galactose 4'-epimerase (GALE) interconverts the nucleotide sugars UDP-glucose and UDP-galactose. Deficiency in any of the three enzymes results in galactosemia associated with cataract. Newborns can be screened routinely, and the mainstay of treatment is a galactose-free diet.

Classic galactosemia is the most common form (1:40,000), and is caused by AR GALT deficiency. To date, more than 150 different base change mutations in the GALT gene on chromosome 9p13, which is responsible for the disorder, have been described.172 Neonates may present with failure to thrive, hepatosplenomegaly and liver failure, muscle hypotonia, and Escherichia coli sepsis. Late manifestations include impaired neurocognitive function and female hypogonadism. Cataracts occur in approximately 75% of patients with classic galactosemia. They are bilateral, begin within a few days or weeks after birth, and progress rapidly. The nucleus or deep cortex usually becomes increasingly birefringent, giving rise to an “oil droplet” appearance. Cortical vacuoles are noted shortly thereafter, and the lens becomes increasingly hydrated and occasionally intumescent.

Despite being given a galactose-free diet during the first days of life, most patients will exhibit disturbed mental (intelligence declines with age) and motor (ataxia, intention tremor, microcephaly, and speech abnormalities) development, and hypergonadotropic hypogonadism. Inhibition of GALK as a new approach to the treatment and prevention of systemic late manifestations in classic galactosemia is currently under investigation.173

GALK deficiency is a rare AR disease (1:100,000 to 1:1,000,000) that has been mapped to chromosome 17q24. Homozygous infants will accumulate galactose once they are fed milk, which is converted to galaticol and causes cataracts within weeks. Heterozygous individuals may develop presenile cataracts before the age of 50 years. A galactose-free (milk-free) diet will prevent cataract formation, which is the only consistent abnormality.174

The rare GALE deficiency, located on chromosome 1p36, can present in a mild form that is expressed only in blood cells (the peripheral form) or a severe form (the general form). Complete absence of GALE was detected in 1:23,000 neonates in Japan and associated with severe mental retardation, sensorineural deafness, failure to thrive, hepatomegaly, galactosuria, and amioaciduria.175 Both forms are associated with cataracts, which may reverse if a galactose-free diet is instituted in the first 3 months of life. Strabismus may be the presenting sign of heterozygous infants with decreased GALE activity and zonular cataracts in the form of deep cortical, 0.2 to 0.5-mm, disk-shaped, white-gray opacities.176

GLUCOSE-6-PHOSPHATE DEHYDROGENASE DEFICIENCY AND CONGENITAL HEMOLYTIC JAUNDICE

Glucose 6-phosphate dehydrogenase (G6PD) plays a key role in the generation of NADPH, which is essential for maintaining glutathione in the reduced state, and in the production of ribose 5-phosphate for the synthesis of nucleotides. The gene for G6PD is located on the X chromosome. Deficiency of G6PD is the most common metabolic disorder, and is associated with chronic and drug- or infection-induced hemolytic anemia. It is estimated that 400 million people in the world are affected. The mutations responsible for about 73 variants have been determined.177 G6PD deficiency also plays an important biochemical role in the metabolism of the lens, and patients may present with congenital hemolytic jaundice, or hemolytic jaundice after they ingest certain foods (favism). The cataract prevalence is variable, ranging from clear lenses to bilateral congenital or presenile cataracts. G6PD deficiency may often be systemically asymptomatic.178

Dominantly inherited congenital cataracts were also observed in a four-generation family in northern Nigeria, associated with recessively inherited sickle cell anemia.179

HYPOCALCEMIA

Cataracts may occur with any condition that leads to a depletion of calcium, such as primary, secondary, idiopathic, autoimmune, post-thyroidectomy or pseudo-hypoparathyroidism, and vitamin D deficiency. Delayed diagnosis and treatment of these conditions may lead to manifest or latent tetany, pseudotumor cerebri, seizures, headaches, and papilledema.180 Cataracts are present in approximately half of patients with these conditions.

Hypocalcemia associated with end-stage renal disease and hemodialysis has been associated with cataractous changes. Punctate and flake-like lesions and iridescent crystals appear in the anterior cortex, or, less frequently, a zonular type of cataract may appear. These opacities may remain unchanged or mature rapidly.181,182

HYPOPHOSPHATASIA

Hypophosphatasia is an inborn error of metabolism caused by a deficiency of liver-, bone-, or kidney-type alkaline phosphatase due to mutations in the tissue-nonspecific alkaline phosphatase (ALPL) gene. Most of the 65 distinct mutations described to date are missense mutations. The wide spectrum of mutations corresponds to a great variability in clinical expression ranging from stillbirth without mineralized bone to pathologic fractures that develop only late in adulthood.183 Depending on the age at presentation, five clinical forms are currently distinguished: perinatal (lethal), infantile, childhood, adult, and odontohypophosphatasia. Severe forms of the disease (perinatal and infantile) are of AD inheritance. Both AD and AR traits have been described in the clinically milder childhood and adult hypophosphatasia. Anecdotal reports of associated ocular signs include blue sclera, band keratopathy, conjunctival calcification, cataract, optic atrophy, retinal pigment dystrophy similar to rod/cone dystrophy, and complications of craniostenosis.184

DEHYDRATIONAL CRISES

Repeated severe dehydrational crises from life-threatening diarrheal disease or heatstroke carries a 38% risk of blinding cataract.185 An analysis of a matched-pair case-control study conducted in central India suggested a marked, consistent, and dose-dependent relationship between exposure to dehydrational crises (as ascertained by a history of remembered episodes of severe life-threatening diarrheal disease or heatstroke) and the risk of central lens opacities. The risk was increased twofold in patients with a low level of exposure to diarrheal disease, and was as much as 12-fold greater in the higher-exposure group. The risk was most marked in the youngest age group. A case control study of 463 patients with severe dehydrational crises due to severe diarrhea found that the relative risk to develop age-related cataract was 3.10 (2.28–4.20).186

HYPOTHYROIDISM

When thyroid hormone replacement therapy is withheld for more than a decade, individuals with longstanding hypothyroidism may develop loss of lashes and eyebrows, puffy eyelids, ocular irritation, corneal changes, and cataract. Mahto187 described six patients (52–72 years old) whose systemic signs of hypothyroidism included severe sensitivity to cold, physical weakness, fatigue, muscle pain, effluvium, and dry skin. The lens opacities varied from superficial, cortical, small bluish dots, and flake-like opacities to posterior subcapsular (“cupuli”-form) cataract with nuclear sclerosis.

HYPOXIA

Cataracts have been reported in conditions related to obstruction of the arterial side of the circulation, which leads to prolonged hypoxia. These conditions include Raynaud's, Buerger's, and Takayasu's diseases.188 A study of 65 patients with Takayasu's disease (17–78 years old, mean age = 50.2 years) reported that 15 eyes had clinically significant cataracts.189 Morphologically, 31 eyes presented with cortical spokes and nuclear sclerosis. Three also had a posterior subcapsular component, possibly attributable to prior corticosteroid treatment. Age-related changes could not be ruled out.

Back to Top
CATARACTS ASSOCIATED WITH EXOGENOUSLY DERIVED CAUSES

ALCOHOL

The possible correlation between alcohol and cataract is a controversial subject. The Beaver Dam Eye Study, which followed 4,927 individuals over 12 years, did not reveal any correlation between cataract and alcohol consumption.190 A review of the literature indicates that fetal alcohol syndrome and chronic alcohol consumption increase cataract incidence, while moderate alcohol intake has a protective effect.191

SMOKING

Smoking (10 cigarettes or more per day) is associated with a relative risk increase of 1.7 for nuclear cataract.190

ANOREXIA NERVOSA

A case report of a woman with anorexia nervosa and bilateral posterior subcapsular cataracts has been published.192 However, the possible association between anorexia nervosa and cataracts is a controversial issue. In one study, ocular examinations of 13 patients with anorexia nervosa and 13 controls showed no evidence of lens opacities or xerophthalmia.193

OBESITY

Obesity (defined as a BMI ≥ 30 kg/m2) is associated with a 36% greater risk of developing some type of cataract. In one study that adjusted for diabetes, smoking, age, and luthein/zeaxanthin intake, a relative risk of 1.68 for posterior subcapsular cataract was determined.194

CORTICOSTEROIDS

Topical,195 intravitreal,196 peribulbar, systemic, oral,197 or inhaled196,198 corticosteroids are associated with a dose-dependent risk of posterior subcapsular opacities. Individual susceptibility may play a role, and opacities may occur as early as 4 months after the start of topical or systemic treatment.

PHENOTHIAZINES

Chlorpromazine and other phenothiazines, which are commonly indicated to treat schizophrenia, are associated with typical dose-related ocular side effects. These include bilateral stellate cataracts with dense, dust-like, brown-yellow granular deposits along the suture lines beneath the anterior capsule of the lens, and fine, discrete, brown refractile bodies in the corneal endothelium.199

ANTICHOLINESTERASES

Miotics of the anticholinesterase type (i.e., Pilocarpine and Echothiophate) can produce opacities that begin as small subcapsular lens vacuoles and progress to anterior and posterior subcapsular opacities.200 As more alternative intraocular pressure-lowering medications become available, this typical side effect will be observed less frequently.

ANTIMITOTIC AGENTS

Many chemotherapeutic drugs have been associated with an increased risk of cataract. Their inhibition of mitosis interferes with lens epithelial cell proliferation, and after a latent period dose-dependent posterior subcapsular cataracts develop. For Busulfan, an alkylating agent, this relationship has been well established in animal studies and case reports.201,202

ISOTRETINOIN

Irreversible bilateral anterior subcapsular cataracts are associated with systemic isotretinoin treatment for cystic acne.203,204 Blepharoconjunctivitis, subjective complaints of dry eyes, blurred vision, contact lens intolerance, and photodermatitis are reversible ocular side effects. More serious ocular adverse reactions include papilledema, pseudotumor cerebri, and white or gray subepithelial corneal opacities, all of which are reversible if the drug is discontinued.205

ALLOPURINOL

A cumulative dose of allopurinol of more than 400 g, or a duration of use longer than 3 years is associated with an increased risk of cataract, with odds ratios of 1.82 and 1.53, respectively. No increase in risk has been observed for lower cumulative doses or shorter exposure periods.206

HIGHLY ACTIVE ANTIRETROVIRAL THERAPY (HAART)

Since the introduction of highly active antiretroviral therapy (HAART), patients with AIDS have benefited from profound and sustained elevations in CD4 counts and depression of HIV viral loads. Concurrent with the improved immune response secondary to HAART and immune recovery, researchers in ocular disease have also described a new syndrome, called immune recovery uveitis (IRU). HAART-related immune recovery is associated with increased frequencies of epiretinal membrane (30%), cystoid macular edema (24%), cataract (52%), and retinal detachment (14%), with resultant vision loss in AIDS patients with healed CMV retinitis.207

IONIZING RADIATION

Since Roentgen first discovered ionizing radiation, the related dose-dependent risk for posterior subcapsular cataract (Figs. 15 and 16) has been well established in animal and epidemiological studies. Initial studies, which were limited by small sample sizes and short follow-up periods, assumed a threshold dose of 2 Gray to cause radiation cataract.208 As study populations and follow-up periods increased, threshold estimates decreased.209,210 A recent ocular study of 12,000 clean-up workers at Chernobyl concluded that if a threshold exists at all for radiation-induced cataracts, it is likely below 0.2 Gray. This suggests that radiation cataract, just like radiation-induced cancer, is a stochastic effect.211 Myelosuppression is a well documented severe adverse effect of ionizing radiation, which currently is an established preconditioning treatment in the form of total body irradiation prior to bone marrow transplantation. Radiation can cause local immediate damage to the skin (e.g., alopecia and skin burns), and is also feared as a potent carcinogen.

Fig. 15. Radiation cataract. Left eye of a 28-year-old male, image taken 5 years after total body irradiation (three consecutive doses of 4 Gy) and no systemic corticosteroids (Scheimpflug image).

Fig. 16. Radiation cataract. Left eye of the same patient as in Figure 15 (now 29 years old), 6 years after total body irradiation and no systemic steroids (Scheimpflug image).

ELECTRICAL INJURY

High-voltage (above 1,000 V) electrical injuries in which current passes through the body may result in variable morbidity and mortality. Our current understanding of electrical injury assumes that above a certain level, voltage does not have any influence on the severity of the wound or on the incidence of cataracts, limb amputation, and neurological complications. The pathway of the current and its point of entry are not associated with renal failure, cardiac arrhythmia, or cataracts. An entrance wound near and above the neck will increase the likelihood of electrical cataract. The point of entry of the current is associated with neurological injury, such as paralysis and permanent regional anesthesia. The presence of associated burns is not related to any other complication. Patients with a shorter duration of contact have a lower rate of amputations, even when they have associated limb fractures.212 Acutely, patients may present with anisocoria, iritis, and monocular or binocular cataracts. Macular cysts and cataracts may occur after a latency period of several months to years. The lens opacities present as white feathery or flake-like anterior subcapsular opacities that assume a stellate shape. Posterior subcapsular opacities have also been observed (Fig. 17), which may progress to mature cataracts within 1 to 3 years.213

Fig. 17. Electrical cataract. White feathery and flake-like anterior subcapsular opacities assuming a stellate shape in a 58-year-old male. (Courtesy of Prof. F.H. Stefani, Munich, Germany.)

Back to Top
CATARACT ASSOCIATED WITH SYSTEMIC INFECTION

PERINATAL INFECTION AND TORCH

Congenital cataracts are a major cause of blindness in children. While the incidence and etiology vary within countries according to socioeconomic status, it is estimated that 190,000 children are born blind due to congenital cataracts; in other words, 20.7% of blind children are blind because of cataracts.214 Perinatal infections account for 2% to 3% of all congenital anomalies. TORCH, which includes toxoplasmosis, other (syphilis, varicella-zoster, parvovirus B19), rubella, cytomegalovirus (CMV), and herpes infections, is the term given to some of the most common infections associated with congenital anomalies. Most TORCH infections cause mild maternal morbidity but have serious fetal consequences, and treatment of maternal infection frequently has no impact on fetal outcome.215 These infections are associated with a high incidence of stillbirth, and live-born neonates are commonly premature and very sick due to systemic infection and sepsis. Embryopathy has been described as a nongenetic condition that affects the embryo in the first trimester. An infection in the embryo can be expected to produce deformities of the entire eye if it occurs between conception and 4 weeks of gestation. Lens opacities are expected prior to closure of the lens vesicle at 7 weeks of gestation. The short susceptible period for cataract formation is consistent with the protective effect of the lens capsule. Congenital cataract may also be secondary to the severe uveitis of congenital toxoplasmosis.216 The posterior cortex, the anterior subcapsular region, or the entire lens may be involved. The cataract may be primary, with or without microphthalmos, and can be unilateral or bilateral.

VIRAL

The rubella virus217) has been shown to cause congenital cataracts; however, there have also been reports of congenital cataract associated with maternal viral infections, such as influenza, hepatitis B,218 measles, mumps,219 HZV (chicken pox),220 herpes sp. (HSV-1221), CMV, Spiroplasma sp.,222 and polio. In a U.S. review of patients with congenital rubella syndrome, 85% of the patients were diagnosed with cataracts, 63% of which were bilateral. Microphthalmia, the next most frequent defect, was present in 82% of the infants and was bilateral in 65%. Glaucoma was recorded in 29% and presented either as a transient occurrence with early cloudy cornea in microphthalmic eyes, as the infantile type with progressive buphthalmos, or as a later-onset, aphakic glaucoma many months or years following cataract aspiration. Rubella retinopathy was present in the majority of patients; however, an accurate estimate of its incidence or laterality could not be made because of the frequency of cataracts and nystagmus, and difficulties in performing an adequate fundus examination.223 Rubella cataracts (Fig. 18), which are usually bilateral and present in approximately 50% of cases, involve the nucleus, which is opaque. After birth, the cataract may become total, or the lens material may reabsorb, leaving a flat, shriveled, whitish plaque. A congenital varicella syndrome has been suggested in patients with congenital cataract associated with cicatricial skin lesions, hypotrophic limbs, low birth weight, seizures, and cortical atrophy. Ocular findings include chorioretinitis, microphthalmia, and cataract. Anisocoria, nystagmus, and Horner's syndrome have also been reported. Although in one study the varicella titers were positive,224 the virus has not yet been cultured from the lens.

Fig. 18. Congenital rubella. Bilateral congenital cataract in a neonate with congenital rubella. (Courtesy of Dr. N. Meadow, Manhattan Eye and Ear Hospital, New York, New York.)

FUNGAL

While endogenous intraocular Candida albicans infection typically presents as chorioretinitis with varying degrees of vitreous inflammation, premature infants with concurrent or recent candidemia may rarely present with intralenticular fungal abscess. Initially present as small lenticular opacities, the foci may progress after resolution of systemic infection to total lens opacity complicated by secondary uveitis and glaucoma.225

BACTERIAL

Congenital lues is the only condition in which cataract can be attributed to a bacterial infection. Syphilis is usually transmitted by sexual contact or from mother to infant, although endemic syphilis is transmitted by nonsexual contact in communities with poor hygiene conditions. Even though it provokes a strong humoral and cell-mediated immune response, Treponema pallidum can survive in a human host for several decades. After an incubation period of about 21 days, an ulcer (the primary chancre) appears at the site of inoculation. This resolves spontaneously and 6 to 8 weeks later is followed by the secondary stage, at which time the organism has disseminated via the blood stream and any organ can be affected. Tertiary syphilis, which can affect the skin, bones, or central nervous and cardiovascular systems, can occur many years later. In pregnant women, syphilis can lead to stillbirth or congenital infection of the neonate, resulting in neonatal death or late manifestations. Most commonly, congenital syphilis presents with bilateral interstitial stromal keratopathy. Systemic manifestations include dental, dermatological, and neurological symptoms. Cataracts may be posterior subcapsular, secondary to iridocyclitis or topical corticosteroid treatment of interstitial stromal keratitis. Bilateral incomplete or total white cataracts, and bilateral brown, saucer-shaped cataracts have also been observed.226

Back to Top
REFERENCES

1. Lowe CU, Terry M, MacLachlan EA: Organic aciduria, decreased renal ammonia production, hydrophthalmos, and mental retardation: a clinical entity. Am J Dis Child 83:164–184, 1952

2. Reilly DS, Lewis RA, Nussbaum RL: Genetic and physical mapping of Xq24–q26 markers flanking the Lowe oculocerebrorenal syndrome. Genomics 8:62–70, 1990

3. Gropman A, Levin S, Yao L, et al: Unusual renal features of Lowe syndrome in a mildly affected boy. Am J Med Genet 95:461–466, 2000

4. Endres W, Schaub J, Stefani F, et al: Cataract in a fetus at risk for oculo-cerebro-renal syndrome (Lowe). Klin Wochenschr 55:141–144, 1977

5. Tripathi RC, Cibis GW, Tripathi BJ: Pathogenesis of cataracts in patients with Lowe's syndrome. Ophthalmology 93:1046–1051, 1986

6. Kruger S, Wilson MJ, Hutchinson A, et al: Cataracts and glaucoma in patients with oculocerebrorenal syndrome. Arch Ophthalmol 121:1234–1237, 2003

7. Lin T, Lewis RA, Nussbaum RL: Molecular confirmation of carriers for Lowe syndrome. Ophthalmology 106:119–122, 1999

8. Baser ME, Kuramoto L, Joe H, et al: Genotype-phenotype correlations for cataracts in neurofibromatosis 2. J Med Genet 40:758–760, 2003

9. Ragge NK, Baser ME, Klein J, et al: Ocular abnormalities in neurofibromatosis 2. Am J Ophthalmol 120:634–641, 1995

10. Zhu D, Alcorn DM, Antonarakis S, et al: Assignment of the Nance-Horan syndrome to the distal short arm of the X chromosome. Hum Genet 86:54–58, 1990

11. Brooks SP, Ebenezer ND, Poopalasundaram S, et al: Identification of the gene for Nance-Horan syndrome (NHS). J Med Genet 41:768–771, 2004

12. Lewis RA, Nussbaum RL, Stambolian D: Mapping X-linked ophthalmic diseases. IV. Provisional assignment of the locus for X-linked congenital cataracts and microcornea (the Nance-Horan syndrome) to Xp22.2–p22.3. Ophthalmology 97:110–120, discussion 20–21, 1990

13. Amaya L, Taylor D, Russell-Eggitt I, et al: The morphology and natural history of childhood cataracts. Surv Ophthalmol 48:125–144, 2003

14. Francis PJ, Berry V, Hardcastle AJ, et al: A locus for isolated cataract on human Xp. J Med Genet 39:105–109, 2002

15. Dharmaraj S, Leroy BP, Sohocki MM, et al: The phenotype of Leber congenital amaurosis in patients with AIPL1 mutations. Arch Ophthalmol 122:1029–1037, 2004

16. Koenekoop RK: An overview of Leber congenital amaurosis: a model to understand human retinal development. Surv Ophthalmol 49:379–398, 2004

17. Acland GM, Aguirre GD, Ray J, et al: Gene therapy restores vision in a canine model of childhood blindness. Nat Genet 28:92–95, 2001

18. Cox DW, Moore SD: Copper transporting P-type ATPases and human disease. J Bioenerg Biomembr 34:333–338, 2002

19. Becker M, Rohrschneider K: Ocular manifestations of Wilson disease. Ophthalmologe 94:865–870, 1997

20. Obara H, Ikoma N, Sasaki K, Tachi K: Usefulness of Scheimpflug photography to follow up Wilson's disease. Ophthalmic Res 27(Suppl 1):100–103, 1995

21. Girelli D, Olivieri O, De Franceschi L, et al: A linkage between hereditary hyperferritinaemia not related to iron overload and autosomal dominant congenital cataract. Br J Haematol 90:931–934, 1995

22. Bonneau D, Winter-Fuseau I, Loiseau M, et al: Bilateral cataract and high serum ferritin: a new dominant genetic disorder? J Med Genet 32:778–779, 1995

23. Beaumont C, Leneuve P, Devaux I, et al: Mutation in the iron responsive element of the L ferritin mRNA in a family with dominant hyperferritinaemia and cataract. Nat Genet 11:444–446, 1995

24. Lieuallen K, Christensen M, Brandriff B, et al: Assignment of the human lens fiber cell MP19 gene (LIM2) to chromosome 19q13.4 and adjacent to ETFB. Somat Cell Mol Genet 20:67–69, 1994

25. Craig J, Clark J, McLeod J, et al: Hereditary hyperferritinemia-cataract syndrome: Prevalence, lens morphology, spectrum of mutations, and clinical presentations. Arch Ophthalmol 121:1753–1761, 2003

26. Girelli D, Corrocher R, Bisceglia L, et al: Molecular basis for the recently described hereditary hyperferritinemia-cataract syndrome: a mutation in the iron-responsive element of ferritin L-subunit gene (the “Verona mutation”). Blood 86:4050–4053, 1995

27. Mumford A, Vulliamy T, Lindsay J, Watson A: Hereditary hyperferritinemia-cataract syndrome: Two novel mutations in the L-ferritin iron-responsive element. Blood 91:367–368, 1998

28. Brooks D, Manova-Todorova K, Farmer J, et al: Ferritin crystal cataracts in hereditary hyperferritinemia cataract syndrome. Invest Ophthalmol Vis Sci 43:1121–1126, 2002

29. Pitt DB, O'Day J: Phenylketonuria does not cause cataracts. Eur J Pediatr 150:661–664, 1991

30. Zwaan J: Eye findings in patients with phenylketonuria. Arch Ophthalmol 101:1236–1237, 1983

31. Parks MM, Schwilk NF: Bilateral lamellar cataracts in the case of phenylketonuria. Am J Ophthalmol 79:479, 1975

32. Liquori C, Ricker K, Moseley M, et al: Myotonic dystrophy type 2 caused by a CCTG expansion in intron 1 of ZNF9. Science 293:864–867, 2001

33. Ranum L, Day J: Dominantly inherited, non-coding microsatellite expansion disorders. Curr Opin Genet Dev 12:266–271, 2002

34. Shun-Shin G, Vrensen G, Brown N, et al: Morphologic characteristics and chemical composition of Christmas tree cataract. Invest Ophthalmol Vis Sci 34:3489–3496, 1993

35. Pepin B, Mikol J, Goldstein B, et al: Familial mitochondrial myopathy with cataract. J Neurol Sci 45:191–203, 1980

36. Kornfeld S, Sly WS: I-cell disease and pseudo-Hurler polydystrophy: disorders of lysosomal enzyme phosphorylation and localisation. In: Scriver CR, Beaudet AL, Sly WS, Valle D (eds). Metabolic and molecular bases of inherited disease. New York: McGraw-Hill, 2001

37. Seyrantepe V, Poupetova H, Froissart R, et al: Molecular pathology of NEU1 gene in sialidosis. Hum Mutat 22:343–352, 2003

38. Bunge S, Clements P, Byers S, et al: Genotype-phenotype correlations in mucopolysaccharidosis type I using enzyme kinetics, immunoquantification and in vitro turnover studies. Biochim Biophys Acta 1407:249–256, 1998

39. Peters C, Shapiro E, Anderson J, et al: Hurler syndrome: II. Outcome of HLA-genotypically identical sibling and HLA-haploidentical related donor bone marrow transplantation in fifty-four children. The Storage Disease Collaborative Study Group. Blood 91:2601–2608, 1998

40. Gullingsrud E, Krivit W, Summers C: Ocular abnormalities in the mucopolysaccharidoses after bone marrow transplantation. Longer follow-up. Ophthalmology 105:1099–1105, 1998

41. Brooks D: Alpha-L-iduronidase and enzyme replacement therapy for mucopolysaccharidosis I. Expert Opin Biol Ther 2:967–976, 2002

42. Gosele S, Dithmar S, Holz F, Volcker H: Late diagnosis of Morquio syndrome. Clinical histopathological findings in a rare mucopolysaccharidosis. Klin Monatsbl Augenheilkd 217:114–117, 2000

43. Cahane M, Treister G, Abraham F, Melamed S: Glaucoma in siblings with Morquio syndrome. Br J Ophthalmol 74:382–383, 1990

44. Olsen H, Baggesen K, Sjolie A: Cataracts in Morquio syndrome (mucopolysaccharidosis IV A). Ophthalmic Paediatr Genet 14:87–89, 1993

45. Kasmann-Kellner B, Weindler J, Pfau B, Ruprecht K: Ocular changes in mucopolysaccharidosis IV A (Morquio A syndrome) and long-term results of perforating keratoplasty. Ophthalmologica 213:200–205, 1999

46. Galanos J, Nicholls K, Grigg L, et al: Clinical features of Fabry's disease in Australian patients. Intern Med J 32:575–584, 2002

47. Orssaud C, Dufier J, Germain D: Ocular manifestations in Fabry disease: a survey of 32 hemizygous male patients. Ophthalmic Genet 23:129–139, 2003

48. Thomas PK, Abrams JD, Swallow D, Stewart G: Sialidosis type 1: Cherry red spot-myoclonus syndrome with sialidase deficiency and altered electrophoretic mobilities of some enzymes known to be glycoproteins. I. Clinical findings. J Neurol Neurosurg Psychiatry 42:873–880, 1979

49. Beccari T, Stinchi S, Orlacchio A: Lysosomal alpha-D-mannosidase. Biosci Rep 19:157–162, 1999

50. Letson RD, Desnick RJ: Punctate lenticular opacities in type II mannosidosis. Am J Ophthalmol 85:218–224, 1978

51. Maumenee IH: Classification of hereditary cataracts by linkage analysis. Ophthalmology 86:1554–1558, 1979

52. Dagher H, Buzza M, Colville D, et al: A comparison of the clinical, histopathologic, and ultrastructural phenotypes in carriers of X-linked and autosomal recessive Alport's syndrome. Am J Kidney Dis 38:1217–1228, 2001

53. Zhou W, Hirsch M, Junk AK, et al: Evaluation of lenticonus in Alport's syndrome: Quantitative Scheimpflug analysis. Ophthalmologica 217:189–193, 2003

54. Junk AK, Stefani F, Ludwig K: Bilateral anterior lenticonus: Scheimpflug documentation and ultrastructural confirmation of Alport syndrome in the lens capsule. Arch Ophthalmol 118:895–897, 2000

55. Streeten B, Robinson M, Wallace R, Jones D: Lens capsule abnormalities in Alport's syndrome. Arch Ophthalmol 105:1693–1697, 1987

56. Pajari H, Setaelae K, Heiskari N, et al: Ocular findings in 34 patients with Alport syndorme: correlation of the findings to mutations in COL4A5 gene. Acta Ophthalmol Scand 77:214–217, 1999

57. Olitsky SE, Waz WR, Wilson ME: Rupture of the anterior lens capsule in Alport syndrome. J AAPOS 3:381–382, 1999

58. Colville D, Savige J: Alport syndrome. A review of the ocular manifestations. Ophthalmic Genet 18:161–173, 1997

59. Deutsch S, Rideau A, Bochaton-Piallat M, et al: Asp1424Asn MYH9 mutation results in an unstable protein responsible for the phenotypes in May-Hegglin anomaly/Fechtner syndrome. Blood 102:529–534, 2003

60. Seri M, Pecci A, Di Bari F, et al: MYH9-related disease: May-Hegglin anomaly, Sebastian syndrome, Fechtner syndrome, and Epstein syndrome are not distinct entities but represent a variable expression of a single illness. Medicine (Baltimore) 82:203–215, 2003

61. Bleik JH, Traboulsi EI, Maumenee IH: Familial posterior lenticonus and microcornea. Arch Ophthalmol 110:1208, 1992

62. Cenedella R: Cholesterol and cataracts. Surv Ophthalmol 40:320–337, 1996

63. Opitz J, Gilbert-Barness E, Ackerman J, Lowichik A: Cholesterol and development: The RSH (“Smith-Lemli-Opitz”) syndrome and related conditions. Pediatr Pathol Mol Med 21:153–181, 2002

64. Loeffler J, Utermann G, Witsch-Baumgartner M: Molecular prenatal diagnosis of Smith-Lemli-Opitz syndrome is reliable and efficient. Prenat Diagn 22:827–830, 2002

65. Atchaneeyasakul L-O, Linck L, Connor W, et al: Eye findings in 8 children and a spontaneously aborted fetus with RSH/Smith-Lemli-Opitz syndrome. Am J Med Genet 80:501–505, 1998

66. Moghadasian M, Salen G, Frohlich J, Scudamore C: Cerebrotendinous xanthomatosis. Arch Neurol 59:527–529, 2002

67. van Heijst A, Verrips A, Wevers R, et al: Treatment and follow-up of children with cerebrotendinous xanthomatosis. Eur J Pediatr 157:313–316, 1998

68. Cruysberg J, Wevers R, van Engelen B, et al: Ocular and systemic manifestations of cerebrotendinous xanthomatosis. Am J Ophthalmol 120:597–604, 1995

69. Dotti M, Rufa A, Federico A: Cerebrotendinous xanthomatosis: Heterogeneity of clinical phenotype with evidence of previously undescribed ophthalmological findings. J Inherit Metab Dis 24:696–706, 2001

70. Milunsky JM, Maher TA, Metzenberg AB: Molecular, biochemical, and phenotypic analysis of a hemizygous male with a severe atypical phenotype for X-linked dominant Conradi-Hunermann-Happle syndrome and a mutation in EBP. Am J Med Genet 166A:249–254, 2003

71. Has C, Bruckner-Tuderman L, Muller D, et al: The Conradi-Hunermann-Happle syndrome (CDPX2) and emopamil binding protein: novel mutations, and somatic and gonadal mosaicism. Hum Mol Genet 9:1951–1955, 2000

72. Cenedella R, Sexton P: Probing cataractogenesis associated with mevalonic aciduria. Curr Eye Res 17:153–158, 1998

73. Dollfus H, Porto F, Caussade P, et al: Ocular manifestations in the inherited DNA repair disorders. Surv Ophthalmol 48:107–122, 2003

74. Cockayne EA: Dwarfism with retinal atrophy and deafness. Arch Dis Child 11:1–8, 1936

75. Traboulsi EI, De Becker I, Maumenee IH: Ocular findings in Cockayne syndrome. Am J Ophthalmol 114:579–583, 1992

76. Lehmann AR, Francis AJ, Giannelli F: Prenatal diagnosis of Cockayne's syndrome. Lancet 1:486–488, 1985

77. Itin PH, Pittelkow MR: Trichothiodystrophy: Review of sulfur-deficient brittle hair syndromes and association with the ectodermal dysplasias. J Am Acad Dermatol 22:705–717, 1990

78. Vermeulen W, Bergmann E, Auriol J, et al: Sublimiting concentration of TFIIH transcription/DNA repair factor causes TTD-A trichothiodystrophy disorder. Nat Genet 26:257–258, 2000

79. Botta E, Nardo T, Broughton BC, et al: Analysis of mutations in the XPD gene in Italian patients with trichothiodystrophy: site of mutation correlates with repair deficiency, but gene dosage appears to determine clinical severity. Am J Hum Genet 63:1036–1048, 1998

80. Taylor EM, Broughton BC, Botta E, et al: Xeroderma pigmentosum and trichothiodystrophy are associated with different mutations in the XPD (ERCC2) repair/transcription gene. Proc Natl Acad Sci U S A 94:8658–8663, 1997

81. Broughton BC, Berneburg M, Fawcett H, et al: Two individuals with features of both xeroderma pigmentosum and trichothiodystrophy highlight the complexity of the clinical outcomes of mutations in the XPD gene. Hum Mol Genet 10:2539–2547, 2001

82. Berg E, Chuang TY, Cripps D: Rothmund-Thomson syndrome. A case report, phototesting, and literature review. J Am Acad Dermatol 17:332–338, 1989

83. Wang LL, Levy ML, Lewis RA, et al: Clinical manifestations in a cohort of 41 Rothmund-Thomson syndrome patients. Am J Med Genet 102:11–17, 2001

84. Vennos EM, Collins M, James WD: Rothmund-Thomson syndrome: Review of the world literature. J Am Acad Dermatol 27:750–762, 1992

85. Bachrati CZ, Hickson ID: RecQ helicases: Suppressors of tumorigenesis and premature aging. Biochem J 374:577–606, 2003

86. Goto M: Werners syndrome: from clinics to genetics. Clin Exp Rheumatol 18:760–766, 2000

87. Jonas JB, Rupprecht KW, Schmitz-Valckenberg P, et al: Ophthalmic surgical complications in Werner's syndrome: Report on 18 eyes of nine patients. Ophthalmic Surg 18:760–764, 1987

88. Gray MD, Shen JC, Kamath-Loeb AS, et al: The Werner syndrome protein is a DNA helicase. Nat Genet 17:100–103, 1997

89. Marcus DM, Shore JW, Albert DM: Anophthalmia in the focal dermal hypoplasia syndrome. Arch Ophthalmol 108:96–100, 1990

90. Philippe J, Cherifi M, Fournier D, et al: Anhydrotic ectodermal dysplasia. Apropos of a case with severe ocular complications. J Fr Ophtalmol 11:287–292, 1988

91. Smahi A, Courtois G, Rabia SH, et al: The NF-kappaB signalling pathway in human diseases: From incontinentia pigmenti to ectodermal dysplasias and immune-deficiency syndromes. Hum Mol Genet 11:2371–2375, 2002

92. Puel A, Picard C, Ku CL, et al: Inherited disorders of NF-kappaB-mediated immunity in man. Curr Opin Immunol 16:34–41, 2004

93. Chen CC, Huang JL, Yang KD, Chen HJ: Atopic cataracts in a child with atopic dermatitis: A case report and review of the literature. Asian Pac J Allergy Immunol 18:69–71, 2000

94. Mullner-Eidenbock A, Moser E, Klebermass N, et al: Ocular features of the congenital cataracts facial dysmorphism neuropathy syndrome. Ophthalmology 111:1415–1423, 2004

95. Lagier-Tourenne C, Tranebaerg L, Chaigne D, et al: Homozygosity mapping of Marinesco-Sjogren syndrome to 5q31. Eur J Hum Genet 11:770–778, 2003

96. Williams T, Buchhalter JR, Sussman MD: Cerebellar dysplasia and unilateral cataract in Marinesco-Sjogren syndrome. Pediatr Neurol 14:158–161, 1996

97. Shimizu T, Matsuishi T, Yamashita Y, et al: Marinesco-Sjogren syndrome: Can the diagnosis be made prior to cataract formation? Muscle Nerve 20:909–910, 1997

98. Hallermann W: Vogelgesicht und Cataracta Congenita. Klin Monatsbl Augenheilkd 113:315–318, 1948

99. Streiff EB: Mandibulofacial dysmorphia with ocular abnormalities. Ophthalmologica 120:79–83, 1950

100. Rohrbach JM, Djelebova T, Schwering MJ, Schlote T: [Hallermann-Streiff syndrome: should spontaneous resorption of the lens opacity be awaited?]. Klin Monatsbl Augenheilkd 216:172–176, 2000

101. Pizzuti A, Flex E, Mingarelli R, et al: A homozygous GJA1 gene mutation causes a Hallermann-Streiff/ODDD spectrum phenotype. Hum Mutat 23:286, 2004

102. Muller U, Steinberger D, Kunze S: Molecular genetics of craniosynostotic syndromes. Graefes Arch Clin Exp Ophthalmol 235:545–550, 1997

103. Rochels R, Schmitt EJ: The development of eye symptoms in dysostosis craniofacialis crouzon—A contribution to pathogenesis. Klin Padiatr 193:17–19, 1981

104. Passos-Bueno MR, Armelin LM, Alonso LG, et al: Craniosynostosis associated with ocular and distal limb defects is very likely caused by mutations in a gene different from FGFR, TWIST, and MSX2. Am J Med Genet 113:200–206, 2002

105. Caputo AR, Wagner RS, Reynolds DR, et al: Down syndrome. Clinical review of ocular features. Clin Pediatr (Phil) 28:355–358, 1989

106. Plotz FB, van Essen AJ, Bosschaart AN, Bos AP: Cerebro-costo-mandibular syndrome. Am J Med Genet 62:286–292, 1996

107. Rogers NK, Strachan IM: Pierre Robin anomalad, maculopathy, and autolytic cataract. J Pediatr Ophthalmol Strabismus 32:391–392, 1995

108. Webb AC, Markus AF: The diagnosis and consequences of Stickler syndrome. Br J Oral Maxillofac Surg 40:49–51, 2002

109. Schlote T, Volker M, Knorr M, Thiel HJ: Lens coloboma and lens dislocation in Stickler (Marshall) syndrome. Klin Monatsbl Augenheilkd 210:227–228, 1997

110. Vu CD, Brown JJ, Korkko J, et al: Posterior chorioretinal atrophy and vitreous phenotype in a family with Stickler syndrome from a mutation in the COL2A1 gene. Ophthalmology 110:70–77, 2003

111. Cantani A, Gagliesi D: Rubinstein-Taybi syndrome. Review of 732 cases and analysis of the typical traits. Eur Rev Med Pharmacol Sci 2:81–87, 1998

112. van Genderen MM, Kinds GF, Riemslag FC, Hennekam RC: Ocular features in Rubinstein-Taybi syndrome: investigation of 24 patients and review of the literature. Br J Ophthalmol 84:1177–1184, 2000

113. Derbent M, Agras PI, Gedik S, et al: Congenital cataract, microphthalmia, hypoplasia of corpus callosum and hypogenitalism: report and review of Micro syndrome. Am J Med Genet 128A:232–234, 2004

114. Jonas JB MU, Budde WM: Ocular findings in cerebro-oculo-facial-skeletal syndrome (Pena-Shokeir-II syndrome). Eur J Ophthalmol 13:209–211, 2003

115. Hennekam RC, van de Meeberg AG, van Doorne JM, et al: Martsolf syndrome in a brother and sister: Clinical features and pattern of inheritance. Eur J Pediatr 147:539–543, 1988

116. Shapiro I, Borochowitz Z, Degani S, et al: Neu-Laxova syndrome: Prenatal ultrasonographic diagnosis, clinical and pathological studies, and new manifestations. Am J Med Genet 43:602–605, 1992

117. Urban MD, Schosser R, Spohn W, et al: New clinical aspects of hereditary mucoepithelial dysplasia. Am J Med Genet 39:338–341, 1991

118. da Cunha RP, Moreira JB: Ocular findings in Down's syndrome. Am J Ophthalmol 122:236–244, 1996

119. Sybert VP, McCauley E: Turner's syndrome. N Engl J Med 351:1227–1238, 2004

120. Koole FD, Velzeboer CM, van der Harten JJ: Ocular abnormalities in Patau syndrome (chromosome 13 trisomy syndrome). Ophthalmic Paediatr Genet 11:15–21, 1990

121. Smith AC, Dykens E, Greenberg F: Behavioral phenotype of Smith-Magenis syndrome (del 17p11.2). Am J Med Genet 81:179–185, 1998

122. Chen RM LJ, Greenberg F, Lewis RA: Ophthalmic manifestations of Smith-Magenis syndrome. Ophthalmology 103:1084, 1996

123. Rubin SE, Nelson LB, Pletcher BA: Anterior polar cataract in two sisters with an unbalanced 3;18 chromosomal translocation. Am J Ophthalmol 117:512–515, 1994

124. Johnson BL, Cheng KP: Congenital aphakia: A clinicopathologic report of three cases. J Pediatr Ophthalmol Strabismus 34:35–39, 1997

125. Rosias PR, Sijstermans JM, Theunissen PM, et al: Phenotypic variability of the cat eye syndrome. Case report and review of the literature. Genet Couns 12:273–282, 2001

126. Meins M, Burfeind P, Motsch S, et al: Partial trisomy of chromosome 22 resulting from an interstitial duplication of 22q11.2 in a child with typical cat eye syndrome. J Med Genet 40:E62, 2003

127. Funke B, Pandita RK, Morrow BE: Isolation and characterization of a novel gene containing WD40 repeats from the region deleted in velo-cardio-facial/DiGeorge syndrome on chromosome 22q11. Genomics 73:264–271, 2001

128. Nelson LB, Spaeth GL, Nowinski TS, et al: Aniridia. A review. Surv Ophthalmol 28:621–642, 1984

129. Wolf MT, Lorenz B, Winterpacht A, et al: Ten novel mutations found in Aniridia. Hum Mutat 12:304–313, 1998

130. Gupta SK, De Becker I, Tremblay F, et al: Genotype/phenotype correlations in aniridia. Am J Ophthalmol 126:203–210, 1998

131. Ricardi VM, Sujansky E, Smith AC, Franke U: Chromosomal imbalance in the aniridia-Wilms's tumor association: 11p interstitial deletion. Pediatrics 61:604–610, 1978

132. Wu-Chen WY, Christiansen SP, Berry SA, et al: Ophthalmic manifestations of Wolf-Hirschhorn syndrome. J AAPOS 8:345–348, 2004

133. Mayer UM, Bialasiewicz AA: Ocular findings in a 4 p-deletion syndrome (Wolf-Hirschhorn). Ophthalmic Paediatr Genet 10:69–72, 1989

134. Cornish K, Bramble D: Cri du chat syndrome: Genotype–phenotype correlations and recommendations for clinical management. Dev Med Child Neurol 44:494–497, 2002

135. Farrell JW, Morgan KS, Black S: Lensectomy in an infant with cri du chat syndrome and cataracts. J Pediatr Ophthalmol Strabismus 25:131–134, 1988

136. Kitsiou-Tzeli S, Dellagrammaticas HD, Papas CB, et al: Unusual ocular findings in an infant with cri-du-chat syndrome. J Med Genet 20:304–307, 1983

137. Grotsky H, Hsu LY, Hirschhorn K: A case of cri-du-chat associated with cataracts and transmitted from a mother with a 4–5 translocation. J Med Genet 8:369–371, 1971

138. Auffarth GU, Tetz MR, Krastel H, et al: Complicated cataracts in various forms of retinitis pigmentosa. Type and incidence. Ophthalmologe 94:642–646, 1997

139. Refsum S: Heredoataxia hemeralopica polyneuritiformis. Nordisk Med 28:2682–2685, 1945

140. Claridge KG, Gibberd FB, Sidey MC: Refsum disease: The presentation and ophthalmic aspects of Refsum disease in a series of 23 patients. Eye 6:371–375, 1992

141. Marcaud V, Defontaines B, Jung P, Degos CF: Refsum's disease: Evolution 35 years after diagnosis. Rev Neurol (Paris) 158:225–229, 2002

142. Espinos C, Perez-Garrigues H, Beneyto M, et al: Sydromic hereditary deafness. Usher's syndrome. Oto-neurologic and genetic factors. An Otorrinolaringol Ibero Am 26:83–95, 1999

143. Beales PL, Elcioglu N, Woolf AS, et al: New criteria for improved diagnosis of Bardet-Biedl syndrome: Results of a population survey. J Med Genet 36:437–446, 1999

144. Hallgren B: Retinitis pigmentosa in combination with congenital deafness and vestibulocerebellar with psychiatric abnormality in some cases: A clinical and genetic study. Acta Genet Stat Med, 1958;ZS8:97–104

145. Urquidi GA, Topaz AM: Hallgren's syndrome in one family: Retinitis pigmentosa, congenital deafness and ataxia. Acta Neurol Latinoam 25:75–79, 1979

146. Folz SJ, Trobe JD: The peroxisome and the eye. Surv Ophthalmol 35:353–368, 1991

147. Hittner HM, Kretzer FL, Mehta RS: Zellweger syndrome. Lenticular opacities indicating carrier status and lens abnormalities characteristic of homozygotes. Arch Ophthalmol 99:1977–1982, 1981

148. Cohen SM, Green WR, de la Cruz ZC, et al: Ocular histopathologic studies of neonatal and childhood adrenoleukodystrophy. Am J Ophthalmol 95:82–96, 1983

149. Yap S: Classical homocystinuria: vascular risk and its prevention. J Inherit Metab Dis 26:259–265, 2003

150. Sulochana KN, Amirthalakshmi S, Vasanthi SB, et al: Homocystinuria with congenital/developmental cataract. Indian J Pediatr 67:725–728, 2000

151. Ades LC, Holman KJ, Brett MS, et al: Ectopia lentis phenotypes and the FBN1 gene. Am J Med Genet 126A:284–289, 2004

152. Traboulsi EI, Whittum-Hudson JA, Mir SH, Maumenee IH: Microfibril abnormalities of the lens capsule in patients with Marfan syndrome and ectopia lentis. Ophthalmic Genet 21:9–15, 2000

153. Faivre L, Dollfus H, Lyonnet S, et al: Clinical homogeneity and genetic heterogeneity in Weill-Marchesani syndrome. Am J Med Genet 123A:204–207, 2003

154. Mao JR, Bristow J: The Ehlers-Danlos syndrome: On beyond collagens. J Clin Invest 107:1063–1069, 2001

155. Cikrit DF, Glover JR, Dalsing MC, Silver D: The Ehlers-Danlos specter revisited. Vasc Endovascular Surg 36:213–217, 2002

156. Al-Hussain H, Zeisberger SM, Huber PR, et al: Brittle cornea syndrome and its delineation from the kyphoscoliotic type of Ehlers-Danlos syndrome (EDS VI): Report on 23 patients and review of the literature. Am J Med Genet 124A:24–34, 2004

157. Borger PH, van Leeuwen R, Hulsman CA, et al: Is there a direct association between age-related eye diseases and mortality? The Rotterdam Study. Ophthalmology 110:1292–1296, 2003

158. Valero MP, Fletcher AE, De Stavola BL, et al: Vitamin C is associated with reduced risk of cataract in a Mediterranean population. J Nutr 132:1299–1306, 2002

159. Chung SS, Ho EC, Lam KS, Chung SK: Contribution of polyol pathway to diabetes-induced oxidative stress. J Am Soc Nephrol 14(8 suppl 3):s233–s236, 2003

160. Biswas S, Harris F, Singh J, Phoenix D: Role of calpains in diabetes mellitus-induced cataractogenesis: a mini review. Mol Cell Biochem 261:151–159, 2004

161. Worgul BV, Medvedovsky CM, Merriam GR: Cortical cataract development—The expression of primary damage to the lens epithelium. Lens Eye Toxicity Res 6:559–571, 1989

162. Merriam GR Jr, Worgul BV: Experimental radiation cataract—Its clinical relevance. Bull N Y Acad Med 59:372–392, 1983

163. Orts Vila P, Devesa Torregrosa P, Belmonte Martinez J: Juvenile ciabetic cataract. A rare finding which lead us to the diagnosis of this illness. Arch Soc Esp Oftalmol 78:389–391, 2003

164. Klein BE, Klein R, Moss SE: Prevalence of cataracts in a population-based study of persons with diabetes mellitus. Ophthalmology 92:1191–1196, 1985

165. Nitiyanant W, Tandhanand S, Mahtab H, et al: The Diabcare-Asia 1998 study—Outcomes on control and complications in type 1 and type 2 diabetic patients. Curr Med Res Opin 18:317–327, 2002

166. Hennis A, Wu SY, Li X, et al: Lens opacities and mortality: The Barbados Eye Studies. Ophthalmology 108:498–504, 2001

167. Merin S, Crawford JS: Hypoglycemia and infantile cataract. Arch Ophthalmol 86:495–498, 1971

168. Grunt JA, Howard RO: Eye findings in children with ketotic hypoglycemia. Can J Ophthalmol 7:151, 1972

169. Wets B, Milot JA, Polomeno RC, Letarte J: Cataracts and ketotic hypoglycemia. Ophthalmology 89:999–1002, 1982

170. Gable EM, Brandonisio TM: Ocular manifestations of Donohue's syndrome. Optom Vis Sci 80:339–343, 2003

171. Al-Till M, Jarrah NS, Ajlouni KM: Ophthalmologic findings in fifteen patients with Wolfram syndrome. Eur J Ophthalmol 12:84–88, 2002

172. Tyfield L, Reichardt J, Fridovich-Keil J, et al: Classical galactosemia and mutations at the galactose-1phosphate uridyl transferase (GALT) gene. Hum Mutat 13:417–430, 1999

173. Bosch A, Bakker H, van Gennip A, et al: Clinical features of galactokinase deficiency: A review of the literature. J Inherit Metab Dis 25:629–634, 2002

174. Reich S, Hennermann J, Vetter B, et al: An unexpectedly high frequency of hypergalactosemia in an immigrant Bosnian population revealed by newborn screening. Pediatr Res 51:598–601, 2002

175. Misumi H, Wada H, Kawakami M, et al: Detection of UDP-galactose-4-epimerase deficiency in a galactosemia screening program. Clin Chim Acta 116:101–105, 1981

176. Viestenz A, Gusek-Schneider GC, Junemann AG, et al: Early childhood cataract in hereditary UDP-galactose-4-epimerase deficiency—A case report. Klin Monatsbl Augenheilkd 218:121–124, 2001

177. Fujii H: Glucose-6-phosphate dehydrogenase. Nippon Rinsho 53:1221–1225, 1995

178. Assaf AA, Tabbara KF, el-Hazmi MA: Cataracts in glucose-6-phosphate dehydrogenase deficiency. Ophthalmic Paediatr Genet 14:81–86, 1993

179. Babalola OE, Danboyi P, Abiose AA: Hereditary congenital cataracts associated with sickle cell anaemia in a Nigerian family. Trop Doct 30:12–14, 2000

180. Faig J, Kalinyak J, Marcus R, Feldman D: Chronic atypical seizure disorder and cataracts due to delayed diagnosis of pseudohypoparathyroidism. West J Med 157:64–65, 1992

181. Schiekofer S, Heilmann P, Nawroth PP, Schilling T: The “needle man”: more than 40,000 injections in 40 y. Dtsch Med Wochenschr 127:2447–2448, 2002

182. Rajendram R, Deane JA, Barnes M, et al: Rapid onset childhood cataracts leading to the diagnosis of autoimmune polyendocrinopathy-candidiasis-ectodermal dystrophy. Am J Ophthalmol 136:951–952, 2003

183. Mornet E: Hypophosphatasia: The mutations in the tissue-nonspecific alkaline phosphatase gene. Hum Mutat 15:309–315, 2000

184. Roxburgh S: Atypical retinitis pigmentosa with hypophosphatasia. Trans Ophthalmol Soc UK 103:513–516, 1983

185. Minassian DC, Mehra V, Verrey JD: Dehydrational crisis: A major risk factor in blinding cataract. Br J Ophthalmol 73:100–105, 1989

186. Zodpey S, Ughade S, Khanolkar V, Shrikhande S: Dehydrational crisis from severe diarrhoea and risk of age-related cataract. J Indian Med Assoc 97:13–15, 24, 1999

187. Mahto RS: Ocular features of hypothyroidism. Br J Ophthalmol 56:546–550, 1972

188. Frohman LP: Systemic disease and neuro-ophthalmology: annual update 2000 (part II). J Neuroophthalmol 21:74–82, 2001

189. Kiyosawa M, Baba T: Ophthalmological findings in patients with Takayasu disease. Int J Cardiol 66(Suppl 1):141–147, discussion 9, 1998

190. Klein BE, Klein R, Lee KE, Meuer SM: Socioeconomic and lifestyle factors in the 10-year incidence of age related cataracts. Am J Ophthalmol 136:506–512, 2003

191. Hiratsuka Y, Li G: Alcohol and eye diseases: A review of epidemiologic studies. J Stud Alcohol 62:397–402, 2001

192. Miller D: A case of anorexia nervosa in a young woman with development of cataracts. Trans Ophthalmol Soc UK 78:217, 1958

193. Abraham SF, Banks CN, Beaumont PJ: Eye signs in patients with anorexia nervosa. Aust J Ophthalmol 8:55–57, 1980

194. Weintraub JM, Willett WC, Rosner B, et al: A prospective study of the relationship between body mass index and cataract extraction among US women and men. Int J Obes Relat Metab Disord 26:1588–1595, 2002

195. McGhee CN, Dean S, Danesh-Meyer H: Locally administered ocular corticosteroids: Benefits and risks. Drug Saf 25:33–55, 2002

196. Gillies MC, Simpson JM, Billson FA, et al: Safety of an intravitreal injection of triamcinolone: Results from a randomized clinical trial. Arch Ophthalmol 122:336–340, 2004

197. Zonana-Nacach A, Barr SG, Magder LS, Petri M: Damage in systemic lupus erythematosus and its association with corticosteroids. Arthritis Rheum 43:1801–1808, 2000

198. Smeeth L, Boulis M, Hubbard R, Fletcher AE: A population based case-control study of cataract and inhaled corticosteroids. Br J Ophthalmol 87:1247–1251, 2003

199. Leung AT, Cheng AC, Chan WM, Lam DS: Chlorpromazine-induced refractile corneal deposits and cataract. Arch Ophthalmol 117:1662–1663, 1999

200. Kaufman PL EK, Neider MW: Echothiophate iodide cataracts in monkeys. Occurrence despite loss of accommodation induced by retrodisplacement of ciliary muscle. Arch Ophthalmol 101:125–128, 1983

201. Kaida T, Ogawa T, Amemiya T: Cataract induced by short-term administration of large doses of busulfan: A case report. Ophthalmologica 213:397–399, 1999

202. Odrich S, Worgul BV, Merriam GR, et al: Mutagen induced micronucleation in the lens epithelium. Invest Ophthalmol Vis Sci 276, 1986

203. Herman DC, Dyer JA: Anterior subcapsular cataracts as a possible adverse ocular reaction to isotretinoin. Am J Ophthalmol 103:236–237, 1987

204. Heuberger A, Buchi ER: Irreversible cataract as a possible side effect of isoretinoin. Klin Monatsbl Augenheilkd 204:465–467, 1994

205. Fraunfelder FT, LaBraico JM, Meyer SM: Adverse ocular reactions possibly associated with isotretinoin. Am J Ophthalmol 100:534–537, 1985

206. Garbe E, Suissa S, LeLorier J: Exposure to allopurinol and the risk of cataract extraction in elderly patients. Arch Ophthalmol 116:1652–1656, 1998

207. Goldberg DE, Wang H, Azen SP, Freeman WR: Long term visual outcome of patients with cytomegalovirus retinitis treated with highly active antiretroviral therapy. Br J Ophthalmol 87:853–855, 2003

208. Merriam GR Jr, Focht EF: A clinical study of radiation cataracts and the relationship to dose. AJR Am J Roentgenol 77:759–785, 1957

209. Klein BEK, Klein R, Linton KLP, Franke T: Diagnostic X-ray exposure and lens opacities: The Beaver Dam eye study. Am J Public Health 83:588–590, 1993

210. Otake M, Finch S, Chosi K, et al: Radiation related ophthalmological changes and aging among Hiroshima and Nagasaki A-bomb survivors: A reanalysis. Radiat Res 131:315–324, 1992

211. Worgul BV, Kundiyev YI, Sergiyenko NM, et al: Low-dose radiation causes cataracts—A follow-up study of Chernobyl clean-up workers and its implications regarding permissible eye exposures. Radiat Res (submitted)

212. Ferreiro I, Melendez J, Regalado J, et al: Factors influencing the sequelae of high tension electrical injuries. Burns 24:649–653, 1998

213. Portellos M, Orlin SE, Kozart DM: Electric cataracts. Arch Ophthalmol 114:1022–1023, 1996

214. Gilbert C, Foster A: Childhood blindness in the context of VISION 2020—The right to sight. Bull World Health Organ 79:227–232, 2001

215. Stegmann BJ, Carey JC: TORCH infections. Toxoplasmosis, other (syphilis, varicella-zoster, parvovirus B19), rubella, cytomegalovirus (CMV), and herpes infections. Curr Womens Health Rep 2:253–258, 2002

216. Vutova K, Peicheva Z, Popova A, et al: Congenital toxoplasmosis: eye manifestations in infants and children. Ann Trop Paediatr 22:213–218, 2002

217. Malathi J, Therese KL, Madhavan HN: The association of rubella virus in congenital cataract—A hospital-based study in India. J Clin Virol 23:25–29, 2001

218. Cushnir VN, Slepova OS, Cruglova TB, et al: The role of HBV-infection in development of cataracts in children and adults. Oftalmologia 41:318–322, 1997

219. Siegel M: Congenital malformations following chickenpox, measles, mumps, and hepatitis. Results of a cohort study. JAMA 226:1521–1524, 1973

220. Lambert SR, Taylor D, Kriss A, et al: Ocular manifestations of the congenital varicella syndrome. Arch Ophthalmol 107:52–56, 1989

221. Raghu H, Subhan S, Jose RJ, et al: Herpes simplex virus-1—Associated congenital cataract. Am J Ophthalmol 138:313–314, 2004

222. Lorenz B, Schroeder J, Reischl U: First evidence of an endogenous Spiroplasma sp. infection in humans manifesting as unilateral cataract associated with anterior uveitis in a premature baby. Graefes Arch Clin Exp Ophthalmol 240:348–353, 2002

223. O'Neill JF: The ocular manifestations of congenital infection: A study of the early effect and long-term outcome of maternally transmitted rubella and toxoplasmosis. Trans Am Ophthalmol Soc 96:813–879, 1998

224. Sauerbrei A, Wutzler P: The congenital varicella syndrome. J Perinatol 20(8 Pt 1):548–554, 2000

225. Singh-Parikshak R, Bothun ED, Superstein R, et al: Sequestration and late activation of lenticular candida abscess in premature infants. Arch Ophthalmol 122:1393–1395, 2004

226. Margo CE, Hamed LM: Ocular syphilis. Surv Ophthalmol 37:203–220, 1992

Back to Top