| Chapter 13 Systemic Hypertension and the Eye JOSEPH B. WALSH, RICHARD B. ROSEN and DANIEL M. BERINSTEIN Table Of Contents |
|
HYPERTENSIVE RETINOPATHY ARTERIOSCLEROTIC CHANGES HYPERTENSIVE CHOROIDOPATHY HYPERTENSIVE NEUROPATHY CLASSIFICATION OF HYPERTENSIVE RETINOPATHY REFERENCES |
| More than 50 million adults in the United States have arterial hypertension. The
third National Health and Nutrition Examination Survey (NHANES
III) estimates the current prevalence to be 31% of the adult American
population.1 The strong correlation linking arterial hypertension with heart disease, stroke, and
renal failure makes it a leading cause of morbidity and
mortality among adults in the United States. The most recent classification
categorizes blood pressure as normal, high-normal, or hypertension2 (Table 1). A systolic blood pressure greater than 130 mmHg or diastolic blood pressure
greater than 85 mmHg on two or more readings taken on two or more
visits is considered elevated, putting the patient at increased risk
for developing cardiovascular disease. Identified causes of hypertension
include renal-vascular diseases, primary aldosteronism, pheochromocytoma, Cushing's
disease, and coarctation of the aorta. In over 90% of
patients with hypertension, however, the cause remains unknown.
TABLE 13-1. Fifth Joint National Committee on Detection, Evaluation, and
Treatment of High Blood Pressure Classification of Blood Pressure for
Adults Aged 18 Years and Older
*When systolic and diastolic pressure fall into different categories, the higher category should be selected to classify the individual's blood pressure status. For instance, 160/92 mmHg should be classified as stage 2, and 180/120 mmHg should be classified as stage 4. Isolated systolic hypertension is defined as systolic blood pressure > 140 mmHg and diastolic blood pressure < 90 mmHg and staged appropriately (e.g., 170/85 mmHg is defined as stage 2 isolated systolic hypertension based on the average of two or more readings taken at each of two or more visits after an initial screening). †Joint National Committee on Detection, Evaluation and Treatment of High Blood Pressure: The fifth report of the Joint National Committee on detection, evaluation and treatment of high blood pressure. Arch Intern Med 153:154, 1993
The retinal vasculature is unique in its accessibility to the clinician for viewing noninvasively the arteries and veins of a patient. In addition, ancillary tests, such as fluorescein angiography and indocyanine green angiography, can assess capillary perfusion and integrity of the blood-retinal barrier and study the dynamics of the retinal, choroidal, and optic nerve head circulations. These techniques, along with the development of animal models,3–6 have led to the understanding that the retinal, choroidal, and optic nerve head circulations each possess distinct anatomic and physiologic properties that respond differently to blood pressure changes. The result is three distinct types of hypertensive disease visible in the fundus: hypertensive retinopathy, hypertensive choroidopathy, and hypertensive optic neuropathy. |
| HYPERTENSIVE RETINOPATHY |
| Retinal vascular response and other retinal changes seen in hypertension
are variable and depend on several factors. The most important factors
are the rate and degree of hypertension and the baseline condition
of the retinal vasculature.7 Concomitant diseases, such as diabetes or renal or connective tissue disorders
also play a role in the severity of findings. Clinical findings seen in the retinal vasculature in hypertensive retinopathy include the following:
One of the earliest and classic signs of hypertensive retinopathy is arteriolar narrowing (Fig. 1). An increase in vascular wall tone initiated acutely by autoregulatory mechanisms causes a decrease in caliber of the vessel, in what has been described as the vasoconstrictive phase.8,9 A more focal or diffuse vasoconstrictive state may be observed, depending on the initial condition of the retinal vasculature (Fig. 2). Vessels with areas of sclerosis lack muscle tone and tend to dilate secondary to elevated intraluminal pressure. Nonsclerotic vessels exhibit narrowing because of intact muscular walls and preserved autoregulatory response. Hayreh and colleagues,10,11 in comparing prehypertensive fluorescein fundus angiograms to those with hypertensive retinopathy, found no narrowing of arterioles.They concluded that the apparent narrowing was caused by an ophthalmoscopic artifact produced by retinal edema masking the arteriole walls from the sides along with the contrast of dilated venules, which made the arterioles appear more tapered. Clinical findings of the retina in hypertensive retinopathy are as follows12:
One common feature is hemorrhage (Fig. 3). Hemorrhages within the more superficial layers of the inner retina have a flame-shaped appearance because they track along axons in the nerve fiber layer. Deeper hemorrhages in the retina have a dot or blot appearance, which varies with the configuration of the neural elements of layer to which they are confined. Hayreh and associates11,13 concluded that retinal hemorrhages were only a minor feature of hypertensive retinopathy. They found that nerve fiber layer hemorrhages in the distribution of the radial peripapillary capillaries were more common than dot or blot hemorrhages or subhyaloid hemorrhages. This probably reflects the arteriolar character of the radial peripapillary capillary bed.14 Hard exudates, cotton-wool spots, and retinal edema are additional manifestations of the exudate phase of hypertensive retinopathy (Fig. 4) and indicate a more serious stage of the disease. Hard exudates—or, more appropriately, edema residues—are formed from extravasated plasma during the exudative phase. The residues are composed of lipids and cholesterol, giving them a characteristic waxy yellow or glistening appearance, and seem to settle in a bathtub ring-like configuration. They generally are found in the posterior pole and assume patterns that reflect the source of the leakage (i.e., circinate rings) and the neural elements of the layer in which they are found (i.e., macular star). The development of clinical edema of the retina and macula may stem from a variety of events at a cellular level and may have multiple causes. Loss of autoregulation, as in episodes of acute hypertension, may result in an increase in transmural pressure in the capillaries leading to transudation of plasma into surrounding retina-producing extracellular edema.3,15 Intracellular edema is the direct result of retinal ischemia.3,15 Breakdown of the retinal pigment epithelium (RPE) blood-retinal barrier secondary to hypertensive choroidopathy produces serous retinal detachments overlying regions of choroidal ischemia. Diffusion of subretinal fluid into the retina eventually may create tissue edema.11,16,17 Cotton-wool spots, or so-called soft exudates,18 are areas of acute inner retinal ischemia caused by occlusion of terminal arterioles. They have a fluffy white appearance, irregular borders, and most commonly are found in the posterior pole and along the distribution of the radial peripapillary capillary bed. They are localized within the nerve fiber layer, often involving the underlying ganglion cells and inner nuclear while sparing the deeper retinal layers.19 Fluorescein angiography demonstrates nonperfusion of the cotton-wool spots and adjacent capillaries. Typically, they resolve ophthalmoscopically in 4 to 6 weeks, leaving a corresponding nerve fiber layer defect. Cases of accelerated hypertension often are manifest by FIPTs.12 These appear as dull-white round, focal areas surrounding arterioles. The proposed mechanism of FIPT formation is the focal breakdown of the blood-retinal barrier, with the accumulation of plasmatic deposits in the retina following an accelerated hypertension event.12 |
| ARTERIOSCLEROTIC CHANGES | ||
Sclerotic changes are observed within the vessel walls as constriction
of the retinal vasculature persists (Fig. 5). The arteriole wall normally is invisible, appearing only as an erythrocyte
column with central light reflex by ophthalmoscopy (Fig. 6). As the wall thickens from continuous vasoconstriction, the light reflex
becomes more diffuse and partially obscures the blood column, giving
the once transparent arteriole a yellowed or copper wire appearance. Progression
of the thickening and sclerotic changes eventually obscures
the blood column completely, producing a silver wire appearance. Along
with reflective changes, the thickening produces arteriovenous crossing
changes. Retinal arterioles and venules share a common adventitial
sheath at their crossing points. As the arteriolar wall thickens, the
venule appears tapered if posterior to the arteriole or elevated if
over the arteriole (Fig. 7). Other characteristic changes common but not unique to arteriosclerosis
are increased tortuosity secondary to fibrous replacement of the vessel
wall and increased arteriolar branching angles, known as perpendicularization. Progression
of arteriosclerosis leads to endothelial damage
and necrosis of the muscular component of the vessel walls.3 This leads to a breakdown of the blood-retinal barrier, causing exudative
leakage into the retina. The formation of fibrin and thrombosis within
the vessel may cause closure of the lumen, resulting in ischemic
changes within the retina. This has been described as the exudative phase.8,9 Concomitant choroidopathy may contribute to further retinal changes seen
in this phase of hypertensive retinopathy.
Complications related to hypertensive retinopathy include the following:
Artery and vein occlusions and macroaneurysms are the most common results of arteriosclerotic changes found in this condition (Fig. 8). The development of neovascularization with or without vitreous hemorrhage is the result of subsequent retinal ischemia. Cystoid macular edema also may result from ischemia, as well as from the breakdown of the retinal vascular and RPE blood barrier. Epiretinal membranes may form in the cicatricial phase of any of these events. Consequent development of a full macular hole after severe hypertensive retinopathy with macular edema and vitreous hemorrhage also has been described.20 Other recent findings have shown abnormal electroretinogram and visually evoked potential studies 2 to 4 years after an accelerated hypertensive event likely related to retinal infarction and ischemic optic neuropathy, respectively.21 The overall rates of hypertensive retinopathy in the nondiabetic population ranges from 0.8% to 7.8%.22–24 The study of populations is difficult and highly variable because of different evaluation methods, grading classifications of retinopathy, selection bias groups, and the association of other systemic diseases. |
| HYPERTENSIVE CHOROIDOPATHY |
| The choroid is very sensitive to blood pressure changes that only indirectly
affect the overlying RPE and neurosensory retina. Its pathophysiologic
response to arterial blood pressure changes also is very different
than that of the retinal vasculature. The choroid receives sympathetic
innervation and is sensitive to circulating vasoconstrictive factors
such as angiotensin II, adrenaline, and vasopressin. These factors
and neural stimulation can initiate vasoconstriction of the choroid and
choriocapillaris, leading to focal ischemia. The overlying RPE and
the outer blood-retinal barrier may be compromised as a result.5,17 The clinical features of hypertensive choroidopathy include the following:
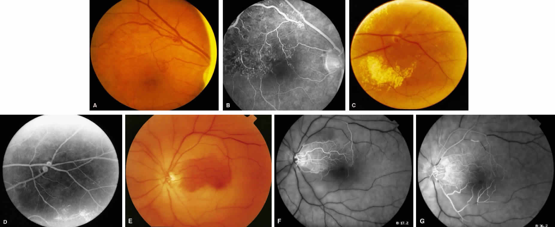
Clinically, direct changes to the choroidal vasculature are difficult to detect by ophthalmoscopy. Many findings seen as retinal changes are a result of choroidal vasculature response to blood pressure change. Elschnig's spots25 are ischemic infarcts of the RPE that coincide to hypoperfusion of the underlying choroid (Fig. 9). They appear as focal subretinal lesions with yellowish halo. In an experimental model,26 Elschnig's spots appeared within 24 hours of accelerated hypertension. Ischemic infarcts at the equator have a more linear appearance and are referred to as Siegrist's streaks. The presence of Siegrist's streaks may indicate a more advanced vascular sclerosis.27 As ischemic RPE becomes edematous, the blood-retinal barrier becomes disrupted, allowing leakage of fluid from the choroid into the subretinal space and forming serous detachments. Resolution of such detachments can follow rapidly the restoration of blood pressure control.28 Over time, the Elschnig's spots and areas of serous detachment develop central areas of pigmentation with surrounding atrophy. Sclerotic choroidal vessels become visible through areas of atrophic RPE.17,29 Pathologic correlation confirms the presence of hyalinization and necrosis of the vessels.5,30 Fluorescein angiographic studies demonstrate an irregular choroidal filling pattern with areas of hypofluorescence caused by hypoperfusion. Elschnig's spots typically display hyperfluorescence because of leakage at sites of blood-retinal barrier disruption. Hyperfluorescence may extend into the subretinal space if a serous detachment is present. Fluorescein angiography in chronic cases reveals a hyperfluorescent pattern corresponding to the RPE window defects. Indocyanine green videoangiography provides an enhanced view of the choroidal circulation, which in these cases appears sluggish.31 Kishi and colleagues5 provided the most comprehensive demonstration of the sequential progression of experimental hypertensive choroidopathy. Pathologic features were classified into three phases of development: acute ischemic phase, chronic occlusive phase, and chronic reparative phase. In the acute ischemic phase, choroidal arterioles constrict, narrowing the lumina. The adjacent choriocapillaris displays necrotic endothelial cells, hydropic degeneration of pericytes, and fibrinous deposits in Bruch's membrane. Overlying RPE exhibits intercellular edema and subretinal exudates. The acute ischemic phase lasts for the first 2 months. After 2 to 4 months, a chronic occlusive phase characterized by retinal detachments and subretinal exudates develops. Choroidal arteries remain narrowed or occluded with proliferation of intimal cells and fibrin deposition in the arterial walls. The choriocapillaris remains occluded by fibrin with its endothelium and pericyte layer denuded. Vessel walls undergo hyalinization, and the overlying RPE becomes necrotic. A chronic reparative phase was observed after 4 to 21 months. RPE depigmentation developed in areas of previous serous detachment and occluded choroidal arteries recanalized with smaller lumina lined by a new elastic laminae. Ghost choriocapillaris was seen in areas in which recanalization failed to occur, and new vessels appeared to be composed of nonfenestrated endothelial cells. |
| HYPERTENSIVE NEUROPATHY |
| In malignant hypertension, one of the earliest changes seen is optic nerve
head edema6,32: Clinical Findings in Neuropathy
The clinical appearance is indistinguishable from other causes of optic nerve head swelling, such as elevated intracranial pressure (Fig. 10). The mechanism of disc swelling remains controversial. In Tso and Jampol's study of baboons,8 the edema was believed to be the result of an accumulation of axoplasmic components. However, they could not determine whether this accumulation was related to ischemia or to some mechanical phenomena. Kishi and associates6 demonstrated axonal hydropic swelling that was secondary to ischemia. They later concluded that the ischemia produced was related to vasoconstriction of the peripapillary choroidal and optic nerve head vessels.11,32 The direct vasoconstrictive and occlusive properties seen in hypertensive choroidopathy lead to ischemic changes in the optic nerve head because it receives most of its blood supply from the peripapillary choroidal vessels.11,32,33 Further, vascular endothelial substances can diffuse easily into the optic nerve head from the surrounding choroidal bed and cause vasoconstriction of the optic nerve head vessels.11,32,33 Late findings seen in hypertensive neuropathy are optic nerve head pallor and atrophy resulting from chronic ischemia. The clinician must be careful to rule out other possible causes of these findings, including anterior ischemic optic neuropathy and temporal arteritis when evaluating patients for hypertensive optic neuropathy. |
| CLASSIFICATION OF HYPERTENSIVE RETINOPATHY | ||||||||||||||||||||||||||||||||||||||||||||||||||||||||||||||||||||||||||||||
| Since Marcus Gunn's description in 1898 of the changes in retinal
vessels in patients with arterial hypertension,34 various classification systems have been attempted to explain observed
changes and correlate them with the systemic disease. The first major
classification scheme, by Keith and colleagues,35 was designed to relate survival to retinal vascular changes in the hypertensive
population. Patients are classified according to the severity
of their fundus changes into four groups and morbidity is looked at
over a 5-year period (Table 2). They found that changes correlated directly with the degree of systemic
hypertension and, inversely, with the prognosis for survival. Later, Wagener
and coworkers36 developed more quantitative criteria for classifying hypertensive retinal
vascular changes. This system was based on the narrowing of arterioles
and graded focal arterial constriction (Table 3). In addition, they grouped vascular hypertension with associated retinal
changes within each group. Although more precise in design, reproducibility
of the system was poor, and it was soon replaced by a more complete
classification scheme described by Harold Scheie in 1953.37 He graded changes of hypertension and arteriolar sclerosis separately
in five stages (Table 4). He defined hypertensive changes as those related to arteriolar constriction
and vascular changes from long-standing hypertension as arteriolar
sclerosis.
TABLE 13-2. Keith-Wagener-Barker Classification
TABLE 13-3. Wagener-Clay-Gipner Modification of Generalized Arteriolar
Narrowing
TABLE 13-4. Scheie Classification
One of the problems that complicates all classification systems is the ophthalmoscopic variation in the extent of the acute hypertensive changes and those of the duration-related sclerotic changes observed in the same patient (Fig. 11). In 1957, Leishmann7 presented a seven-part classification that took into account the development of arteriolar sclerosis as part of the natural aging process and emphasized the modified ability of retinal arterioles with involutional sclerosis to respond to hypertension. Subsequent to these discussions, clinicians have become sensitive to the need to account for the presence or absence of arteriolar sclerosis in interpreting the fundi of hypertensive patients. In 1966, the original study by Keith and associates35 was updated and modified to include the grading of generalized and focal arteriolar narrowing and arteriolar sclerosis38 (Table 5). This modified system served as a helpful prognosticator of hypertensive disease. Arteriolar narrowing and focal constrictions in the absence of retinal hemorrhages or disc edema seem to be the most sensitive indicators employed by the system. It currently remains the most commonly used classification for grouping hypertensive patients ophthalmoscopically and enjoys worldwide acceptance.
TABLE 13-5. Modified Keith-Wagener-Barker Classification
0–4 depends on amount or extent of vascular change. + Present. - Absent. (Walsh JB: Hypertensive retinopathy: Description, classification, and prognosis. Ophthalmology 89:1127, 1982)
The manifestations of hypertension in the eye have been studied for more than 150 years. There have been many attempts at correlating ocular findings with the systemic disease, its prognosis, and success of blood pressure control. With the development of fluorescein angiography and animal models, the understanding of hypertensive changes has improved. Further studies looking at the function and role of vascular endothelial products may enhance further our understanding at a more molecular level. Currently, the retina remains the most accessible organ for the clinician to detect undiagnosed hypertension and to monitor blood pressure control. | ||||||||||||||||||||||||||||||||||||||||||||||||||||||||||||||||||||||||||||||