| Chapter 24 Computed Tomography of the Orbit JAMES A. GARRITY and JULIE R. GILBERTSON Table Of Contents |
| This chapter initially was written 10 years ago. With the opportunity for
an update, we assert that many of the stated beliefs about computed
tomography (CT) scanning being an effective, cost-efficient clinical
tool remain true and many of the potential applications for CT have become
routine. In the interim, helical CT scanning with slip-ring technology
and rapid contrast injection followed by CT imaging has evolved
and is readily available on most state-of-the-art CT scanners. This technology
has permitted shorter scan times, facilitating rapid scanning
of unstable trauma patients and pediatric patients with reduced need
for anesthesia. Additionally, the contrast dose is reduced and radiation
dose is also decreased. There has been considerable improvement in
multiplanar reformations with this technology as well as three-dimensional (3D) reconstruction
capabilities providing exquisite anatomic detail. These
factors permit CT to remain a screening examination of choice
for the orbit for many disease processes, particularly for trauma, proptosis, and
childhood leukocoria.1 CT revolutionized the fields of neuro-ophthalmology and orbital diseases by its ability to show many of the lesions responsible for various clinical symptoms and signs. Magnetic resonance imaging (MRI) has surpassed CT in terms of clinical utility in most neuro-ophthalmic applications such as the evaluation of cranial nerve palsies and optic nerve lesions, especially if intracranial extension is suspected. CT remains a quick, clinically effective, and cost-effective method for evaluating most orbital problems. Most orbital lesions are adequately visualized, which is helpful with differential diagnosis or planning a surgical approach to minimize morbidity. The effects on adjacent bone are better appreciated with CT. The strength of being able to evaluate bone also is one of the weaknesses in that visualization of the orbital apex is compromised by the dense bone. Although one may be able to imply certain characteristics of tissue type with CT, MRI is better. Finally, there are certain instances in which CT and MRI are complementary such as with a patient with an ethmoid sinus tumor who also has an opacified frontal sinus. Bony changes around the ethmoid sinus are seen with the CT, but MRI is valuable in differentiating tumor from benign inflammatory sinus disease. CT traces its beginnings to research initiated by Hounsfield in Great Britain in 1969. Scanning was accomplished by inserting a patient's head intoa latex cap that projected into a plastic water-containing box. The head was scanned by a slitx-ray beam, and the emergent photons were detected by two crystal photomultiplier detectors that moved parallel to and in accurate alignment with the x-ray tube across the patient's head. Data were displayed on an 80 × 80-matrix cathode ray tube in which the brightness of each point was proportional to its absorption coefficient. Initial slices (axial only) were 13-mm thick, although 8-mm slices could be produced. Scanning times ranged from 5 to 10 minutes per slice. Iodinated contrast material was not used. CT of the head was introduced into clinical practice in the United States in June 1973. Two reports detailing early experience quickly followed.2,3 Orbital applications of this new technique were subsequently developed in 1974.4,5 The early CT scanners (EMI scanners) were specifically designed for scanning the head, and technical difficulties were encountered in obtaining tomographic slices low enough to visualize the entire orbit adequately. Evolutionary changes in technology now permit a 512 × 512 matrix, overlapping slices 1.5 to 3 mm thick, computer software that can reformat images in three dimensions and in other planes, a gantry that angulates, faster data acquisition, and intravenous contrast material. In addition, dynamic scans every 2 to 4 seconds can be taken while intravenous contrast material is being given to assess vascularity of a lesion while ultrafast scanning (five scans per second) permits detailed views of the globe and optic nerve in motion. Optimal visualization of the orbit requires imaging from at least two planes. Axial slices should be oriented parallel to the optic nerve (-10 degreesto the orbitomeatal line) and no thicker than 3 mm. Axial views, because of volume averaging, may miss lesions located along the floor or roof. Additional views, typically coronal, can be obtained by reformatting data obtained during axial imaging or by direct coronal scanning. Direct coronal views usually are preferable because of better resolution.6,7 They can be obtained by having patients lie either prone or supine, extending their neck, and angulating the gantry sufficiently to provide coronal imaging while avoiding artifacts from the teeth. Direct coronal scans also should be no thicker than 3 mm. Coronal views may need to be reformatted from axial scans if a patient has extensive dental fillings, is anesthetized, or cannot extend the neck sufficiently for direct coronal scanning. The resolution on these images can be improved if data are collected from 1.5-mm contiguous axial slides.6 Spiral CT has resulted in improved multiplanar reformation with thin section (1 to 1.5 mm) axial images. High-resolution images necessary for leukocoria or foreign body imaging are obtained with 1-mm axial slices at 1:1 pitch at 1-mm intervals. Ideally, most screening orbit studies are performed at 3-mm direct axial and direct coronal images. After the orbit has been visualized adequately, it also has been our practice to obtain 10-mm axial slices through the remaining portion of the head to complete the study. Intravenous contrast material usually is given, although the low-density orbital fat produces an inherent high level of contrast for most orbital CT studies. Intravenous administration of iodinated contrast medium is most helpful in detecting intracranial extension of an orbital process or identifying a pathologic process involving the optic nerve/sheath, most notably optic nerve sheath meningioma. Specific contraindications for contrast material include allergy or renal failure. If a patient with severe Graves' orbitopathy, in whom the diagnosis is not in question, requires orbital CT scanning, it generally is performed without intravenous contrast.8 The administered iodine load would interfere with therapy directed at the thyroid gland and generally is not necessary to evaluate muscle enlargement or other features of Graves' orbitopathy. For proper interpretation, it is not necessary to understand all of the technical aspects of CT scanning, just as it is not necessary to completely understand the inner workings of a personal computer to benefit from it. Familiarity with certain terms and concepts, however, facilitates a more fundamental appreciation for some of the limits of CT scanning. The CT image consists of a matrix (or grid) of small squares known as pixels. Resolution is increased by increasing the numbers of pixels that are used to create the image. Total pixel number is limited by image contrast necessary to differentiate the various tissue densities in the image. A higher numbered matrix is composed of smaller pixels. A voxel is the 3D counterpart that includes the added dimension of slice thickness. By altering window setting and level of attenuation on the console, subtle differences in tissuecomposition or bone changes can be appreciated.Window setting refers to the amount of the pixel sampling used by the computer to determine image contrast. Level refers to the scale of density used by the computer to create the image. Both the window setting and level of attenuation are extremely important, for example, when evaluating lesions in the fossa of the lacrimal gland, when the surrounding bone must be examined carefully for either pressure thinning or tumor erosion. The display console also has the ability to move a cursor to any area on the screen. The computer can then examine this area to determine its den-sity. By convention, these density units are calledHounsfield units. Air and fat have the lowest values, whereas bone has the highest. An appreciation for the various pathologic processes that affect the orbit is facilitated by an understanding of the normal orbital anatomy (Fig. 1). The orbit is a pyramid-shaped bony structure bounded inferiorly by the maxillary sinus, medially by the ethmoidal sinus, and superiorly by the frontal sinus. The sphenoidal sinus is situated posteriorly along the medial orbital wall and has a common wall with the optic canal. The lacrimal gland lies within its fossa located in the superior temporal aspect of the orbit and can be seen on both axial and coronal views. The extraocular muscles (EOMs), with the exception of the inferior oblique, originate from the anulus of Zinn in the orbital apex. The inferior oblique takes its origin from the frontal process of the maxilla and is seen occasionally on CT imaging. The superior oblique, after originating from the anulus, courses along the superior nasal orbital wall just above the medial rectus muscle before passing through the trochlea. The rectus muscles conveniently form a muscle cone, which is sometimes helpful in terms of differential diagnosis. Before thinner axial slices and multiplanar imaging were available, an enlarged inferior rectus muscle often was imaged as an apical mass, especially if dysthy-roid optic neuropathy was present. The importance of imaging from two different planes cannot be overemphasized in this situation. The superior ophthalmic vein (SOV) is an important vascular structure to recognize. It begins in the superior nasal quadrant near the trochlea before coursing posteriorly and laterally beneath the superior rectus muscle, exiting the orbit through the superior orbital fissure. Drainage is into the cavernous sinus. Asymmetric enlargement, especially in the presence of an ipsilateral cavernous sinus enlargement, suggests a vascular anomaly, which may require selective carotid angiography for further definition. Enlargement of one or multiple EOMs in this setting is likely. The SOV also may be enlarged as a result of any process impeding drainage from the orbital apex, such as dysthyroid orbitopathy or metastatic disease. The optic nerve occupies the central intraconal space. By necessity, the nerve has a certain amount of slack, which is necessary to permit movement of the globe. In the axial plane, the optic nerve has an undulating course and thus may appear thicker or thinner as a result of partial volume averaging as it passes in and out of the axial plane. It is imperative to recognize this normal pattern for proper interpretation of axial images. The optic nerve itself is invested by the same meningeal layers that cover the brain, and the intracranial space may extend along the course of the optic nerve to the back of the globe. Enlargement of this space may be recognized as pseudomeningoceles of the optic nerve sheath. It is sometimes possible to tell whether the nerve, the sheath, or both are enlarged by CT scanning, although MRI affords the better view. |
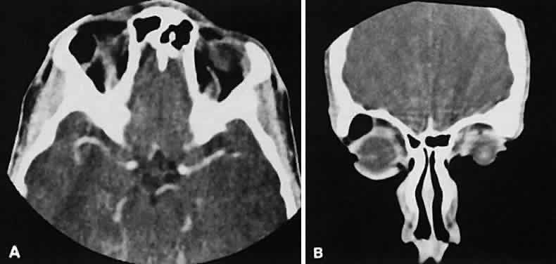
| VASCULAR LESIONS OF THE ORBIT | |
| The orbital manifestations of a vascular process are dependent on whether
the lesion is on the venous or the arterial circulation. Patients with
venous lesions (varix) characteristically report a history of intermittent
proptosis with either a Valsalva's-type maneuver or having
the head in a dependent position. Suspicion of a venous varix should
alert the radiologist to perform the scan before and after a Valsalva's
maneuver.9,10 Color flow doppler imaging showing reversal of flow during a Valsalva
maneuver also is a helpful finding. Phleboliths may or may not be present. Another
clue to the diagnosis of a varix is the location, many times
in the posterior, inferior lateral orbit, seemingly coming out of
the inferior orbital fissure near the apex. Lesions that appear to change
size or shape from the axial view to the coronal view also have turned
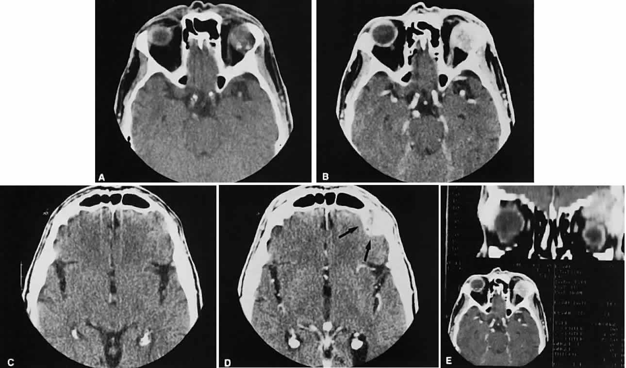
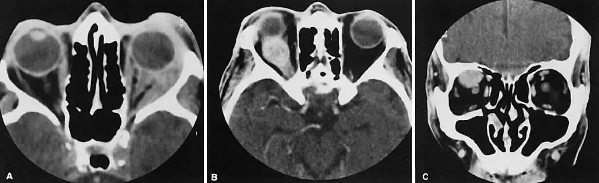
out to represent a varix based on our experience (Fig. 2). Arterial lesions may either have high or low flow. The high-flow lesions are carotid cavernous sinus fistulas and result from a direct communication between the carotid artery and the cavernous sinus. These arise spontaneously or as a result of trauma. The orbit is involved as an innocent bystander, because all signs and symptoms of orbital involvement follow from the retrograde transmission of increased venous pressure from the cavernous sinus. EOMs generally are enlarged, as is the SOV. The ipsilateral cavernous sinus also is enlarged. Intercommunication between the cavernous sinuses also may account for the occasional bilateral findings. Low-flow lesions result from increased blood flow through the cavernous sinus, but the intracavernous carotid artery itself is intact (Fig. 3). These typically are dural-cavernous sinus fistulas. A high index of suspicion may be required to diagnose these, but a fairly stereotyped presentation is a unilateral red-eyed glaucoma with proptosis. Abduction weakness also may be present. Enlargement of one or more EOMs along with an enlarged SOV are noted with CT scanning. A small lesion may escape detection with CT scanning and require high-resolution MRI or even selective internal and external carotid angiography for diagnosis if a high degree of clinical suspicion exists. In a patient with a known dural fistula, a sudden and dramatic deterioration in the clinical picture may be seen with a thrombosis of the SOV.11 The radiographic picture, at least regarding the CT appearance, probably will not change. MRI can nicely show the thrombosis in the SOV.
The finding of an enlarged SOV is most often associated with vascular lesions involving the orbit. The differential diagnosis of this finding is listed in Table 1.12
|
| INFLAMMATION OF THE ORBIT | ||
| In a qualitative way, CT scanning has redefined some of the concepts regarding
nonspecific orbital inflammations (orbital pseudotumor). We now
appreciate that any or all structures within the orbit or orbits may
be affected. Inflammation can be localized to an EOM (myositis), lacrimal
gland (dacryoadenitis), optic nerve sheath (perioptic neuritis), orbital
soft tissues (nonspecific inflammation), posterior scleritis, or
trochlea (trochleitis). There is no satisfactory explanation about
why or how this inflammation occurs and remains so localized, although
some types may be associated with various systemic diseases such as sarcoidosis, Wegener's
granulomatosis, or other vasculitic conditions. The CT characteristics of each subgroup are different and are considered separately. The nonspecific inflammation, if diffuse and acute, can affect the entire orbit with an amorphous infiltrate, which enhances with contrast (Fig. 4).13,14 The inflammation has been reported on occasion to spill over into the nasal15–18 and intracranial compartments.19–29 Chronic inflammation also may appear dense and relatively homogeneous. The margins may or may not be regular, and the lesions usually enhance with contrast. Changes in the adjacent bone, either sclerosis or hyperostosis or both, were seen on the CT in 30 (17%) of 176 patients with biopsy-proven pseudotumor.30
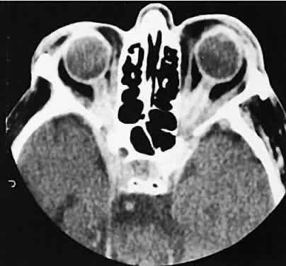
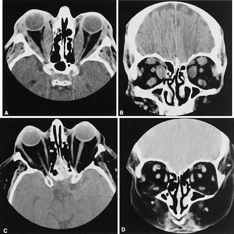
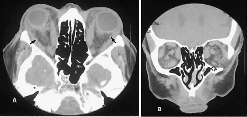
The CT evaluation of orbital myositis may show diffuse irregular enlargement of one or more EOMs; enlargement can be bilateral (Fig. 5). Incontradistinction to Graves' orbitopathy, involvement of the tendinous insertion and edema ofthe adjacent fat may be noted. Other conditions associated with EOM enlargement are listed in Table 2.31–33
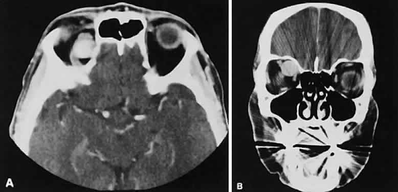
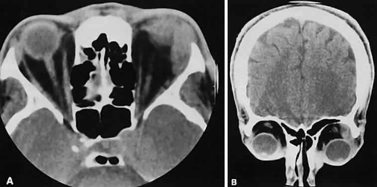
Nonspecific inflammatory dacryoadenitis shows enlargement of the lacrimal gland, which typically molds to the shape of the globe (Fig. 6). The adjacent bone is normal, and contrast enhancement of the gland usually is fairly homogeneous. Bilateral involvement may be apparent with certain conditions such as Sjogren's syndrome, sarcoidosis, lymphoma, or even Graves' orbitopathy, although enlarged EOM in the latter condition might make this a more obvious diagnosis.
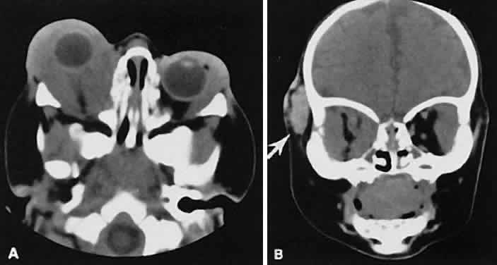
On most occasions, the inflammatory categories listed earlier are idiopathic and nonspecific. In-volvement of the adjacent paranasal sinuses should alert the clinician to the possibility of a systemic process such as Wegener's granulomatosis.34–38 Perioptic neuritis and trochleitis are the least common of the orbital inflammations. Clinically, perioptic neuritis shows signs of optic nerve dysfunction with pain and proptosis. The optic nerve may enhance, resembling acute optic neuritis39 or an optic nerve sheath meningioma.40 Inflammation of the trochlea presents with pain localized to the trochlea and can be associated with limitation of superior oblique muscle movement similar to a Brown's syndrome. Most patients are treated clinically without the benefit of CT scanning. One would expect an enhancing lesion centered on the trochlea. Calcification of the trochlea has been associated with advancing age; however, its presence, especially in those younger than 40 years of age, is strongly associated with diabetes.41 Graves' orbitopathy probably represents the most frequent cause of proptosis and EOM enlargement. The CT findings are fairly stereotyped and typically display various degrees of EOM enlargement (Fig. 7). The inferior rectus muscle usually is affected earliest, followed by the medial rectus, superior rectus, and finally the lateral rectus muscle. Rootman and colleagues13 noted more frequent involvement of the superior rectus/levator and medial rectus muscles than what had been reported previously with Graves' orbitopathy. These muscles can be affected in isolation, with the exception of the lateral rectus. To the best of our knowledge, isolated lateral rectus enlargement has not been reported in Graves' orbitopathy and in our experience usually is associated with a sphenoid wing meningioma. CT evidence of Graves' orbitopathy tends to be bilateral. Approximately 86% of patients with unilateral clinical findings have bilateral CT findings in our experience, which is consistent with the experience of others.42 Morphologically, the EOM belly is enlarged, with a gradual tapering toward and sparing of the tendinous portion of the muscle. Tendon involvement is a typical feature of orbital myositis. Tendon involvement helps to differentiate this lesion from Graves' orbitopathy, although Rootman and Nugent43 have noted a rare patient with Graves' orbitopathy with this finding. The muscle belly has a smooth contour with no edema of the adjacent orbital fat. We recently evaluated a patient with a referral diagnosis of Graves' orbitopathy. The patient was euthyroid but had severe orbital congestion typical of advanced Graves' orbitopathy. Imaging showed “dirty” orbital fat and lateral rectus muscle morphology that seemed atypical (Fig. 8). Biopsy specimen results showed a low-grade lymphoma. Hypertrophy of the medial rectus muscle can cause the medial wall to bow in toward the ethmoidal sinus from the chronic effects of pressure on the bone. The hypertrophied muscles also can give rise to a compressive optic neuropathy in the orbital apex as the enlarged muscles take their origin from the anulus of Zinn. Axial views of the apex show an apparent mass if the inferior rectus muscle is enlarged. It is imperative that additional views, sagittal or preferably coronal, be obtained to show the true nature of this apparent mass. Intracranial fat prolapse, seen by CT, may be another sign of optic neuropathy.44 An optic neuropathy also can be seen with relatively normal-sized EOM. An expanded fat compartment with optic nerve stretch has been associated with an optic neuropathy.45,46 Apical congestion/compression also may give rise to an enlarged SOV (see Table 1). If the veins appear asymmetric, the consideration of a carotid cavernous or dural sinus fistula should be entertained. Expansion of the orbital fat compartment also causes the orbital septum to bulge, an ancillary finding helpful in support of the radiographic picture of Graves' orbitopathy. We prefer CT scanning over MRI in the evaluation of patients with Graves' orbitopathy. Although there is no need to scan every patient, we do use imaging to corroborate the diagnosis of Graves' orbitopathy in instances of markedly asymmetric orbital involvement or any instance in which the diagnosis is in question. We also obtain a CT scan before orbital decompression to survey the paranasal sinus anatomy, to note the location of the infraorbital nerves giving an idea of how much floor is available for decompression, and, most important, to use the direct coronal views for inspection of the cribriform plate, which identifies patients at risk of having cerebrospinal fluid leaks.8 |
| INFECTIONS |
| The edema and inflammatory infiltrate that accompany infections are indistinguishable
from that associated with orbital inflammations. The presence
of sinus disease, however, is a more constant feature with infections, because
the sinus represents the infectious nidus in most cases (Fig. 9). In addition to the frequent appearance of sinus disease, the adjacent
EOM is invariably enlarged. Less often, orbital infections may be transmitted
through the blood, related to a retained foreign body, or spread
from the lids. Chandler and colleagues47 classified orbital infections into five groups. Group 1 (preseptal cellulitis) represents
inflammatory edema and reflects congestion of venous
outflow. Group 2 has actual orbital infiltration/edema with mass effects
and functional deficits. Group 3 includes patients with subperiosteal
abscesses. Most of these dome-shaped subperiosteal abscesses are
located along the medial wall. Group 4 includes patients with orbital
abscesses who may display a ring-enhancing lesion with mass effect. Group 5 represents
intracranial extension of the inflammation into the
cavernous sinus or sinuses, which appear engorged and opacified. Harris48 related the clinical course of patients with subperiosteal abscesses to their CT scans. The sub-periosteal material could not be predicted from the size or the relative radiodensity of the collections on the scan. Serial scans also showed enlargement of the abscess during the first few days of intravenous antibiotic therapy, regardless of the ultimate response to therapy. |
| TUMORS OF THE OPTIC NERVE | |||||
| Abnormal size of the optic nerve and sheath on the CT scan usually is pathologic. Rothfus
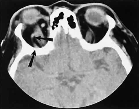
and colleagues49 suggested a differential approach based on high-resolution CT morphology. An enlarged optic nerve also is associated with an age-related differential diagnosis. Most gliomas are found in children, whereas optic nerve sheath meningiomas tend to afflict adults, primarily women. Nevertheless, there are exceptions for each. Optic nerve gliomas are associated with neurofibromatosis. A prospective study determined that a child with known neurofibromatosis has a 15% chance of having a glioma of the anterior visual pathway. Conversely, a child with an optic nerve glioma has a 25% chance of having neurofibromatosis.50 Although an optic nerve meningioma can occur in association with neurofibromatosis, particu-larly NF-2,51 the association is not as firmly established as with gliomas. It is uncommon but well-established that optic nerve meningiomas can occur during childhood. Not only can they create confusion regarding differentiation from optic nerve glioma, but, most important, they behave in a more aggressive fashion.52 The CT evaluation of optic nerve lesions is facilitated by the use of 1.5-mm axial slices and intravenous contrast.49 Gliomas usually appear as a fusiform enlargement with sharp delineation from the surrounding tissue due to circumscription by an intact dura (Fig. 10). Kinking and buckling of the optic nerve along with infarctive cysts are typical findings in an optic nerve glioma. Bilaterality and intracranial involvement of the anterior visual pathway also may be noted. The radiographic signature of an optic nerve meningioma is more variable (Fig. 11). The optic nerve shadow tends to be diffusely enlarged, with irregular expansion along the optic nerve. Jakobiec and colleagues53 found diffuse enlargement of the optic nerve with apical expansion to be the most frequent pattern. Calcification within the optic nerve shadow, which is unusual in optic nerve gliomas, is common with optic nerve meningioma. The irregular excrescent margins most likely signify extradural invasion into the adjacent orbital soft tissues. A central linear lucency extending the length of the optic nerve shadow also is a typical finding of an optic nerve meningioma.49 These two lesions represent the most frequent tumors affecting the optic nerve. Other reported tumors include hemangioblastoma, leukemic infiltration, and involvement by metastatic disease. Enlargement of the dural sheath around the optic nerve, an optic nerve meningocele, can be confused with a tumor.54 The radiographic procedure of choice for evaluating suspected optic nerve lesions is MRI with gadolinium and high-resolution, fat-suppression techniques. ORBITAL TUMORS In a patient with an orbital mass, CT can show not only the mass but also other valuable information such as shape, location, consistency, intralesional calcium, and effect on surrounding structures.55 Contrast enhancement offers some ideas about vascularity. VASCULAR TUMORS The vascular tumors under consideration are capillary hemangioma, cavernous hemangioma, lymphangioma, and hemangiopericytoma. Capillary hem-angiomas and lymphangiomas are benign infiltrativetumors seen in a pediatric population. Capillary hemangiomas have a homogeneous consistency, display intense uniform contrast enhancement, and do not usually displace any orbital structures (Fig. 12). Phleboliths are a characteristic finding in hemangiomas and, when present, are virtually pathognomonic of this diagnosis.56 Lymphangiomas have a cystic component, which, on occasion, may hemorrhage into itself, accounting for rapid onset of symptoms and clinical/radiographic evidence of mass effect (Fig. 13). In all likelihood, scans require sedation for an adequate study. Thin (1.5-mm) axial views with computer reformatting for coronal views along with contrast enhancement should provide an adequate study.
Both cavernous hemangiomas (Fig. 14) and hemangiopericytomas typically are seen in adults. Their radiographic appearance is similar and shows a well-demarcated, contrast-enhancing mass, although more intense enhancement may be seen with the hemangiopericytoma. The differential diagnosis of a well-demarcated, contrast-enhancing lesion is listed in Table 3.
NEUROGENIC TUMORS In addition to the schwannoma and the isolated neurofibroma mentioned in Table 3, the remaining neurogenic tumor of importance is the plexiform neurofibroma. It is the most common peripheral nerve sheath tumor and is a feature of neurofibromatosis. It diffusely infiltrates all the orbital structures and can be associated with an ipsilateral absence of the greater wing of the sphenoid, glaucoma, and enlarged EOMs. Although CT cannot allow unequivocal presurgical diagnosis, it is certainly suggestive and can facilitate biopsy.57 MESENCHYMAL TUMORS The prototypical mesenchymal tumor is the rhabdomyosarcoma. Clinical evaluation of a child with acute or subacute proptosis includes a CT scan, which shows a homogeneous isodense infiltrative process with little or no contrast enhancement (Fig. 15). Bone destruction and invasion of extraorbital compartments also may be seen.58,59 Other disease processes also must be considered, such as nonspecific inflammation, retained foreign bodies, cellulitis, inflammation associated with a ruptured der-moid, neuroblastoma, chloroma, or lymphangioma.60Most entities on this list can be ruled out using radiography, but a tissue diagnosis is ultimately required.
LACRIMAL FOSSA LESIONS Lacrimal fossa lesions deserve separate consideration and do not fit any other convenient classification scheme. The lacrimal gland is a substrate for various tumors both benign and malignant. Benign lesions are typified by the pleomorphic adenoma (benign mixed tumor). The clinical profile of painless progressive proptosis is matched with a CT picture that shows an enlarged, sometimes nodular, well-delineated lacrimal gland (Fig. 16). Bone windows may show pressure expansion and thinning of the bone in the lacrimal fossa. Intralesional calcium61 or intralesional hemorrhage62 also may be present. Malignant lesions of the lacrimal gland, conversely, often appear invasive, with bone destruction evident on the CT scan (Fig. 17). Intralesional calcium may be present.63,64 The use of contrast material facilitates detection of lesions that extend beyond the confines of the orbit. Lymphomatous involvement of the lacrimal gland resembles inflammatory dacryoadenitis radiographically. The enlarged lacrimal gland conforms to the shape of the globe, and the adjacent bone is normal (Fig. 18). We are aware of three high-grade lymphomas that affected the orbit and lacrimal gland and indented the globe, but this is distinctly unusual. Non-Hodgkin's B-cell lymphomas represent the most common type of lymphoma to affect the orbit. Literally any structure in the orbit can be subject to lymphomatous involvement; therefore, a lymphoma should be suspected in the presence of any amorphous isointense infiltrative process.
Other lesions in the lacrimal fossa include eosinophilic granuloma, seen especially in children with complaints of local pain and swelling. Radiographically, a soft-tissue mass with adjacent bone destruction may be evident.65 Hematic cysts (cholesterol granuloma), a residual of remote trauma, also can be associated with bone destruction in the lacrimal fossa. Evidence of mass effect also is invariably present. MRI may prove more efficacious in detecting old blood and evaluating these lesions.66 Dermoid cysts are located most frequently in the superior temporal quadrant of the orbit. They may be located anywhere within the orbital confines. Lesions in the lacrimal fossa or along the posterior lateral wall may communicate intracranially or into the temporalis fossa. Radiographically, the cysts are well-delineated and have lucent interiors with CT attenuation densities in the fat range (Fig. 19). Calcification along the rim of the cyst may be present. The bony changes have irregular, notched borders rather than the moth-eaten appearance associated with malignancy. The range of CT appearances can be quite wide.67
|
| SECONDARY ORBITAL TUMORS |
| The orbit, by virtue of its location, is subject to invasion by extension
from the lid, the globe, the paranasal sinus, or intracranial tumors. The
radiographic appearance of each is dependent on the primary tumor. Orbital extension of basal cell, squamous cell, or sebaceous cell carcinoma accounts for most cases of secondary orbital tumors. A soft-tissue mass often is apparent in the lids, with an infiltrating mass present behind the orbital septum. The paranasal sinuses play host to various processes that can extend into the orbit. For purposes of this discussion, mucoceles have been included in this classification. An expanded sinus cavity with loss of normal internal septa generally can be discerned. The expanded sinuses are associated with thinning, sometimes to the point of absence rather than destruction of the sinus wall. The orbital portion usually is well-delineated and smooth. The sinus portion usually is homogeneous, and predisposing conditions such as old trauma may be apparent. Neoplastic disease originating in a sinus cavity must transgress a bony barrier to enter the orbit. A universal feature in this setting is the presence of actual bone destruction, although inflammation (pseudotumor) affecting the sinus also can be associated with bone destruction and cause diagnostic confusion.17 A squamous cell carcinoma of either the maxillary or the ethmoidal sinus is the most frequent offender. Perhaps the most common intracranial tumor to extend into the orbit is the meningioma. Those located along the spheroid wing tend to be associated with hyperostosis and tumor infiltration of the posterior lateral wall and roof of the orbit (Fig. 20). In our experience, isolated enlargement of the lateral rectus muscle is never caused by Graves' orbitopathy but rather is secondary to infiltration by spheroid wing meningiomas. Another secondary orbital tumor that is much less frequent than meningioma is esthesioneuro-blastoma. One may find a mass with bony destruction in the region of the cribriform plate. Extension into the superior nasal orbit and the ethmoidal sinus is likely.68 |
| METASTATIC TUMORS TO THE ORBIT |
| Metastatic disease accounts for 2% to 10% of all orbital tumors.69,70 As a generalization, childhood metastases are from undifferentiated sarcomas, whereas
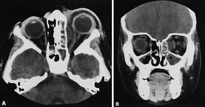
adult metastases are from postembryonal carcinomas. Radiographic evaluation can show either infiltrative or circumscribed masses. Some tumors display a predilection for metastasizing to certain structures, such as prostate carcinoma to bone and cutaneous melanoma to EOMs (Fig. 21). Evidence of bilateral disease at presentation ranges from 7% to 9%, with the prime example being neuroblastoma.71 |
| ORBITAL TRAUMA | |
| CT scanning is a valuable tool in the management of orbital trauma. Appropriate
windows allow optimal visualization of bone (fractures) and soft
tissue (foreign bodies, emphysema, hematomas, entrapment). There is
no “standard set” of films to obtain for trauma, and communication
with a radiologist beforehand is essential for the best study. The
recent introduction of spiral (helical) CT has facilitated the
evaluation of trauma patients.72–74 Scanning times with this new scanning technique have markedly decreased, an
important consideration with a combative or uncooperative patient. There
also is less radiation exposure. Direct coronal views (3-mm) by themselves, without contrast, probably give the most information about the orbit in a trauma evaluation. Subtle nondisplaced fractures can be seen, and soft-tissueentrapment also may be appreciated (Fig. 22).Blowout fractures of the floor and medial wall are straightforward in their radiologic assessment. Rounding of the inferior rectus muscle can be a helpful radiologic clue to the presence of a floor fracture if the fracture itself is not seen on the scan.75 “Blow-in” fractures of the roof need to be scrutinized carefully for frontal sinus fractures and pneumocephalus, which, if untreated, could lead to a cerebral abscess.76,77
The last trauma consideration here is traumatic optic neuropathy associated with an optic canal fracture. Trauma directed at the brow is a common precursor to this type of lesion. Detailed evaluation of the optic canal is not routine, and a high index of suspicion is required on the part of the clinician and the radiologist to adequately evaluate this area radiographically. |
| LESIONS OF THE GLOBE |
| As the sensitivity and resolution of CT scanning has increased, its utility in the evaluation of the globe itself has increased.1 Children with leukocoria and in whom the diagnosis of retinoblastoma is suspected can be scanned, looking for the characteristic intraocular focal appearance of calcification.78 Incidental asymptomatic calcification was evaluated in a series of 100 patients.79 Bilateral drusen of the optic nerve were seen in 2%, calcified scleral plaques located anterior to the lateral and medial rectus insertions were seen in 3%, and bilateral ossification of the trochlea were seen in 3%. Trauma evaluations, specifically looking for evidence of a ruptured globe or foreign bodies, are now quick and reliable.72,74 |
| SUMMARY |
| It must be recalled and emphasized that an orbital CT study differs technically
from a head CT study. Head CT simply is inadequate for thorough
evaluation of suspected orbital pathology. If the reader is not familiar
with CT scanning and how to order the best study, then discussion
with an interested neuroradiologist before ordering the scan is the
most efficient approach. Orbital CT represents the current imaging standard for most conditions that affect the orbit. The ability to visualize most normal and abnormal structures is facilitated by the orbital fat, which serves as inherent contrast material. Supplemental intravenous contrast is a helpful addition, particularly in trying to assess vascularity of a lesion or evaluating extraorbital extension. The use of thin sections (minimum 3 mm) and views from two planes (axial and coronal) permits the most thorough evaluation. Shorter data acquisition times make CT more acceptable, although neck extension for direct coronal views may not be well-tolerated. CT techniques are safe, with an estimated radiation exposure of 2 to 4 cGy to the head but little or no measurable radiation to the rest of the body. CT probably is less effective than MRI for evaluating optic nerve lesions because MRI affords superior spatial resolution. Intracranial optic nerve lesions and orbital apex lesions also are seen more clearly with MRI because of less interference from surrounding bone. Orbital CT scanning remains the most effective and cost-efficient tool for noninvasive orbital examination. |