Chapter 15
The Pupils and Accommodation
Thomas L. Slamovits, Joel S. Glaser and Joyce N. Mbekeani
Main Menu   Table Of Contents

Search

ANATOMIC CONSIDERATIONS
THE PATIENT WITH ABNORMAL PUPILS
DISORDERS OF ACCOMMODATION
REFERENCES

Back to Top

He sustained them in a desert land,

In an empty howling wasteland.

He encompassed them and raised them up,

Protecting them like the pupil* of His eye.

Deuteronomy 32:10

The pupil is a kinetic indicator of both ocular motor function and the the retina, the special sensory apparatus that it serves. The neural mechanisms that control pupil size and reactivity are highly complex, yet they may be sampled and evaluated by simple clinical procedures. Irene Loewenfeld's scholarly text, The Pupil: Anatomy, Physiology and Clinical Applications, is recommended reading for encyclopedic information about the pupil.1

Pupillary function depends on the integrity of the structures along the course of the pupillomotor pathway (Fig. 1). These include: (1) retinal receptors; (2) ganglion cell axons in the optic nerve, optic chiasm, and optic tract (but not the lateral geniculate body); (3) brachium of the superior colliculus; (4) pretectal area of the mesencephalon and the interconnecting neurons to pupilloconstrictor motor cells in the oculomotor nuclear complex; (5) the efferent parasympathetic outflow to the pupillary sphincter and ciliary muscle; and (6) the efferent sympathetic pathway from the hypothalamus to the pupillary dilator muscle. The ocular sympathetics may influence pupillary size directly by dilator muscle innervation or indirectly by central inhibition of the oculomotor parasympathetics (Edinger-Westphal nucleus).2 In addition, the size of the pupils is influenced by the intensity of retinal illumination, the near-effort reflex, the state of retinal light adaptation, and supranuclear influences from the frontal and occipital cortex above the pretectal area and from the reticular formation of the brain stem below. Iris color, on the other hand, may affect constriction amplitude and velocity but not pupillary size.3

Fig. 1 Pupillary light reflex. Light in left eye (dotted arrow) stimulates retina (RET), whose afferent axons (fine dashed lines) ascend optic nerve (ON), decussate at chiasm (CHI), and terminate in pretectal nuclear complex (PTN). Lateral geniculate nucleus (LGN) is bypassed by these pupillomotor fibers. The PTN is connected by crossed and uncrossed intercalated neurons to both Edinger–Westphal parasympathetic motor nuclei (E–W), which comprise the dorsal aspect of the oculomotor nuclear complex.3 Preganglionic parasympathetic fibers (heavy dashed lines) leave ventral aspect of midbrain in the substance of the third cranial nerves. After synapsing in the ciliary ganglia (CG), the postganglionic fibers innervate the pupillary sphincter muscles. Note that uniocular light stimulus evokes bilateral and symmetric pupillary constriction. Brain stem diagram represents section through level rostral to superior colliculi (SC).

At a given moment, any or all of the aforementioned factors may variably influence pupillary size and reactivity. It should be no wonder, then, that in the awake state, the pupil is rather constantly moving, a condition of physiologic unrest termed hippus. This incessant change in pupil size has no pathologic significance,4 although it is described in diverse conditions ranging from encephalitis to schizophrenia and from cataracts to hemorrhoids. Age affects both pupillary size and reactivity.5,6 The pupil of the neonate is miotic but increases in size during the first decade of life; from the second decade on, the pupil steadily becomes smaller (Fig. 2). Pupillary reactivity, at least to “long” (3-second) light flashes, also seems related to age; the range of amplitude of the light reflex declines with increasing age (Fig. 3). Decreased central sympathetic inhibition to the Edinger-Westphal nucleus has been implicated as the mechanism for age-related diminished pupil size in dim illumination.2

Fig. 2 Pupillary size in darkness of 1263 subjects chosen at random; average pupil size was used ([R + L]/2). Abscissa shows horizontal diameters in millimeters, ordinate shows subjects' age in years. Note the wide scatter but obvious age trend. See also Figure 3 (top curve). (Reprinted with permission from Loewenfeld IE: Pupillary changes related to age. In: Thompson HS, Daroff RB, Frisen L, et al (eds): Topics in Neuro-Ophthalmology. Baltimore: Williams & Wilkins, 1979:129)

Fig. 3 Normal ranges of light reflex amplitude for long and for short flashes. Shaded area (left bracket) is normal range for 3-second flashes; stippled area is normal range for 0.8-second flashes. The numbers above the abscissa indicate the number of subjects per age group. Note early peak, followed by decline with age for reactions to long light flashes. In contrast, reflexes elicited by short flashes show relatively flat age curve. (Reprinted with permission from Loewenfeld IE: Pupillary changes related to age. In: Thompson HS, Daroff RB, Frisen L, et al (eds): Topics in Neuro-Ophthalmology. Baltimore: Williams & Wilkins, 1979:137)

The pupil may be considered to have three major optic functions:

  • to regulate the amount of light reaching the retina;
  • to diminish the chromatic and spherical aberrations produced by the peripheral imperfections of the optical system of the cornea and lens; and
  • to increase depth of field (analogous to the f-stop setting of a camera).

As pupillary size increases, so does chromatic and spherical aberration. As pupillary size decreases, light diffraction at the pupil edge becomes a more significant factor in reducing image quality; this generally outweighs any benefit of miosis-induced increase in focal depth. In their experiments of optical line-spread function, Campbell and Gubisch7 found the optimal pupil diameter to be 2.4 mm; scatter and focusing defects have an increasing effect with larger pupils.

Back to Top
ANATOMIC CONSIDERATIONS

Mechanically, the diameter of the pupil is determined by the antagonistic actions of the iris sphincter and dilator muscles, with the radially arranged dilator fibers playing the minor role. The dilator muscle inserts at the iris root and extends from there to an area about 2 mm from the pupillary margin. The sphincter muscle has circumferential fibers, is more superficial in the iris stroma, and occupies an area about 2 to 4 mm from the pupillary margin. The sphincter can be seen in light or atrophic irides. Rather than retracting toward one quadrant when severed or ruptured, the sphincter continues to function except in the altered segment. Therefore, with prudence, the pupillary reactions may be evaluated even in the presence of iris atrophy, traumatic rupture of the sphincter, and congenital or surgical coloboma.

LIGHT REFLEX PATHWAY

The pupillary light reflex pathway may be functionally considered a three-neuron arc (see Fig. 1): the afferent neurons from retinal ganglion cells to the pretectal area; an intercalated neuron from the pretectal complex to the parasympathetic motor pool (Edinger–Westphal nucleus) of the oculomotor nuclear complex and the efferent parasympathetic outflow with the oculomotor nerve to the ciliary ganglion; and from there to the pupillary sphincter.

Considerable evidence exists that the visual cells of the retina (i.e., the rods and cones) also serve as light receptors, controlling pupillomotor activity. For example, pupillomotor light thresholds follow the same shifts in spectral sensitivity as visual thresholds, depending on the state of light adaptation of the retina (Purkinje shift). Pupillomotor sensitivity of the retina also parallels visual form sensitivity, which is highest at the fovea and lowest in the periphery. In our present state of knowledge, it seems that the same afferent axons in the optic nerve transmit pupillomotor information to the pretectal area and visual information to the lateral geniculate nuclei. It is suspected, but unproved, that this dual function is accomplished by axonal bifurcation in the optic tract in humans.8 Therefore, we may consider two intimately related systems: retinogeniculate for visual perception and retinomesencephalic for pupillomotor control and foveation.

At the optic chiasm, slightly more than one half of the afferent axons in the optic nerve cross to the opposite optic tract, where they are mixed with noncrossing axons from the contralateral optic nerve. The ratio of crossed to uncrossed fibers is approximately 53:47.9 From the chiasmal level posteriorly, afferent visual and pupillomotor information from either eye is divided into crossed fibers (from nasal retinal receptors of the contralateral eye) and uncrossed fibers (from temporal retinal receptors of the ipsilateral eye). In the posterior aspect of the optic tract (pregeniculate), the pupillomotor branches of the afferent axons gain the pretectal nuclear area by transversing the brachium of the superior colliculus into the rostral midbrain. Intercalated neurons interconnect from the preolivary nucleus of the pos-terior commissure and lentiform nucleus10 to the Edinger–Westphal nuclei by crossing dorsal to the aqueduct in the posterior commissure and by coursing ventrally in the periaqueductal gray matter. This simplistic anatomic approach belies the true complexity of the neurophysiology and neuroanatomy of the pretectal nuclear complex. The reader is referred to articles by Smith et al.,10 Carpenter and Pierson,12 Benevento et al.,13 Burde,14 and Irene Loewenfeld's1 textbook.

The organization of the oculomotor nuclear complex in the mesencephalon (midbrain) depicted by Warwick15 in 1953 and Jampel and Mindel16 in 1967 was modified by Burde and Loewy17 and Burde,14 recognizing the anterior median nucleus rostrally and accessory cell columns caudally. The anteromedian nucleus is the source of special visceral efferent motor axons to the iris sphincter and ciliary musculature. This dorsal cell mass may be subdivided into a rostral portion associated with accommodation, a caudal portion—the stimulation of which produces pupil constriction, and a midportion associated with both accommodation and constriction. Direct input to the iris sphincter and ciliary body may also be provided by the nucleus of Perlia.10,17 The pretectal olivary nuclei receive direct retinal input and, in turn, provide direct input to the Edinger–Westphal nucleus. The exact location of the Edinger–Westphal nucleus in humans is not known. Kourouyan and Horton18 injected tritiated H-proline into macaque monkey eyes and found the primary pretectal retinal projections terminating in the olivary nuclei, ipsilaterally and contralaterally. The label for the Edinger–Westphal nucleus was found bilaterally in the midbrain, ventral to the cerebral aqueduct, in the central gray matter, in well-defined columns, corresponding to an area termed the lateral visceral column in the classic literature (Fig. 4). Using multiple markers, including wheat germ agglutin, May and Fratkin19 have further isolated the Edinger-Westphal nucleus in the macaque monkey and deduced that it is comprised of a solitary column of cells. Whether this is the case in humans remains to be determined.

Fig. 4 A. (Left) Transneuronal autoradiographic label in the Edinger–Westphal nuclei, seems bilaterally adjacent to the midline, ventral to the cerebral aqueduct. B. (Right) The label seen in A corresponds on each side to the fairly distinct cell group (thin arrows), the lateral visceral cell column of the Edinger–Westphal nucleus, shown in a Nissl-counterstained section. The somatic subnuclei of the oculomotor complex (thick arrows) contain larger nuclei. Fascicles from the oculomotor complex are seen streaming inferiorly toward the interpeduncular fossa. Scale bar = 1 mm. (Reprinted with permission from Kourouvan HD, Horton JC: Transneuronal retinal input to the primate Edinger–Westphal nucleus. J Comp Neurol 381:68, 1997)

According to the degeneration studies by Warwick,20 the ciliary ganglion contains more cells for innervation of the ciliary muscles than for innervation of the iris sphincter (about 30:1). Presumably, that same ratio occurs in the Edinger–Westphal nucleus, although the presence of diffuse projections may argue against it.

From the parasympathetic nucleus, the pupillomotor and ciliary fibers join the outflow of the oculomotor nuclei and exit from the substance of the midbrain with the oculomotor nerves as multiple rootlets in the interpeduncular space. According to Kerr and Hollowell,21 the pupillomotor fibers are located superficially in the nerve, lying just internal to the epineurium. It is believed that this superficial position makes the pupillomotor fibers especially vulnerable to compression. In a more rostral part of its projections and in more anterior segments (e.g., the cavernous sinus), however, pupillomotor fibers may be spared preferentially even in the presence of total oculomotor palsy. It is likely that involvement or “sparing” of the pupil sphincter reflects the nature and acuteness of the injury rather than merely the portion of the third nerve that is compromised.22

At about the level of the superior orbital fissure, the oculomotor nerve divides into superior and inferior divisions, with parasympathetic fibers traveling in the latter to the ciliary ganglion via the branch to the inferior oblique muscle. Although the ciliary ganglion contains afferent sensory fibers (nasociliary nerve) and sympathetic fibers to the vessels of the globe and dilator of the iris, only the parasympathetic fibers synapse here. The parasympathetic postganglionic fibers then pass to the globe via the short ciliary nerves.

The weight of anatomic evidence supports the view that the parasympathetic pupillomotor fibers synapse in the ciliary ganglion.20,23 Some experimental studies in monkeys using horseradish peroxidase techniques suggest the presence of a nonsynapsing pathway between the midbrain and the eye24,25 but subsequent work by the same authors26 ascribed their initial findings to transsynaptic passage of horseradish peroxidase. Parasympathetic denervation hypersensitivity does not occur solely with postsynaptic lesions. Preciliary ganglionic hypersensitivity to low-concentration methacholine and pilocarpine has been reported, with complete27,28,29 and (inferior) divisional oculomotor palsies.30 Warwick's23 proposed synapsing pathways remain accepted generally.

The pretectal pupilloregulator mechanism is subject to a variety of supranuclear influences, which may be summarized as follows:

  1. excitatory, retinomesencephalic (light stimulus) and occipitomesencephalic (near reflex) and
  2. inhibitory, corticomesencephalic and hypothalamomesencephalic pathways and the ascending reticulomesencephalic system.

During sleep and obtunded states, these supranuclear inhibitory influences are diminished, with resultant miotic but reactive pupils. Arousal results in pupil dilatation because of the return of supranuclear inhibition. Sympathectomy does not eliminate this dilatation.

OCULOSYMPATHETIC PATHWAYS

Sympathetic outflow to the iris dilator muscles begins in the posterolateral area of the hypothalamus and descends uncrossed through the tegmentum of the midbrain and pons (Fig. 5). At the level of the medulla, the sympathetics lie laterally, where they may be affected in lateral medullary plate infarction (i.e., Wallenberg's syndrome). The descending fibers, considered first-order preganglionic neurons, terminate in the intermediolateral cell column at the C8 to T2 cord level (the ciliospinal center of Budge). Second-order preganglionic fibers exit the cord primarily with the first ventral thoracic root (T1), but some pupillomotor sympathetics egress with C8 or T2. Via the white rami communicantes, the fibers enter the paravertebral sympathetic chain, which is closely related to the pleura of the lung apex. At this location, the sympathetics may be affected by neoplasms, (i.e., the Pancoast's syndrome; see discussion of Horner's syndrome).

Fig. 5 Ocular sympathetic pathways. Hypothalamic sympathetic fibers comprise a polysynaptic system as they descend to the ciliospinal center. This intra-axial tract is functionally considered the “first-order neuron.” The second-order neuron takes a circuitous course through the posterosuperior aspect of the chest and ascends in the neck in relationship to the carotid system. Third-order neurons originate in the superior cervical ganglion and are distributed to the face with branches of the external carotid artery and to the orbit via the ophthalmic artery and ophthalmic division1 of the trigeminal nerve.

The fibers detour with the ansa subclavia around the subclavian arteries, ascend without synapsing through the inferior and middle cervical ganglia, and terminate in the superior cervical ganglion at the base of the skull. Third-order postganglionic oculosympathetic fibers ascend the internal carotid to enter the skull, whereas fibers for sweat and piloerection of the face follow the external carotid and its branches.

The intracranial sympathetics to the eye follow a circuitous course that includes:

  1. fibers to the tympanic plexus of the middle ear and petrous bone,
  2. fibers temporarily joining the path of the intracavernous abducens nerve before anastomosing with the first division of the trigeminal nerve,
  3. anastomoses with the ophthalmic-trigeminal nerve (the primary pupillomotor pathway via the nasociliary nerve), and
  4. fibers surrounding the ophthalmic artery and ocular motor nerves at the level of the cavernous sinus.

Postganglionic sympathetics include fibers to:

  1. orbital vasomotor,
  2. pupillary dilators,
  3. smooth muscles of the upper and lower lids (Müller's muscle),
  4. the lacrimal gland, and
  5. trophic fibers to uveal melanophores.

Vasomotor sympathetics to the globe pass without synapse through the ciliary ganglion and short posterior ciliary nerves.

NEAR REFLEX AND ACCOMMODATION

The near reflex shares the same efferent pathway to the light reflex and is conveyed through the oculomotor nerve, synapsing in the ciliary ganglion. The afferent segment, however, is different. With accommodative effort, caused either by a blurred retinal image or conscious visual fixation on a near object of regard, a “near synkinesis” is evoked that includes: (1) increased accommodation of the lens, (2) convergence of the visual axes of the eyes, and (3) pupillary constriction. The neural mechanisms of this motor triad are not understood as well as the pathways for pupillary light reactions or the saccadic and pursuit ocular motor systems (see Chapter 2:9 Eye Movement Characteristics and recording techniques.). Awareness of decreased object distance probably evokes accommodative effort originating in frontal centers; blurred retinal images are sensed in the occipital cortex and corrected via occipitotectal tracts. Jampel31 obtained increased bilateral accommodation, convergence, and usually miosis by unilateral stimulation of the peristriate cortex (area 19) in primates. A group of midbrain cells subserving convergence has been identified in the monkey.32 The anteromedian nucleus in the midbrain rostrally and the Edinger–Westphal nucleus caudally have been mapped stereotactically,16 with the rostral portion concerned with accommodation, the caudal portion with pupillary constriction, and the middle segment with accommodation and constriction.

The final pathway for pupil constriction, whether evoked by light or accommodative effort, consists of the oculomotor nerve, ciliary ganglion, and short posterior ciliary nerves. The ratio of ciliary ganglion cells innervating ciliary muscle to cells innervating the iris sphincter is about 30:1.

Pupillary constriction evoked by the near reflex is not evaluated as easily as the light reaction. Accommodative vergence is under voluntary control, and the success of this maneuver is very much dependent on the patient's cooperation and capacity to converge. In the elderly, convergence is diminished and the near reflex is especially difficult to test. An accommodative target is helpful, including the use of the patient's own fingertips. Vision itself is not a requisite for the near response, which can be tested in the blind by proprioceptive “fixation” of the patient's fingertips. Indeed, accommodation and convergence may be held in abeyance by substituting plus lenses and base-out prisms, without eliminating pupillary constriction.

If pupillary reactions are brisk to light stimulus, the near reactions need not be examined. However, the student must learn this examination technique and become acquainted with the limits of normality. The light and near efforts are additive; that is, even with the eye brightly illuminated, further pupillary constriction is observed when gaze is shifted from distance to near. Therefore, when testing the light reflex, gaze (accommodation) should be controlled steadily by fixation on a distant target. If the pupil fails to react to light, the eye may be illuminated fully while the near reflex is examined.

Back to Top
THE PATIENT WITH ABNORMAL PUPILS

In office practice, patients present with relatively few isolated “pupil” problems, including, pharmacologic accidents, sympathetic paresis (Horner's syndrome), pupillary light-near dissociation, and essential anisocoria (Table 1). It is extremely unlikely that a patient with oculomotor paresis resulting from a posterior communicating aneurysm or other basal tumor will present solely with an abnormal pupil and no ocular motor or sensory disturbances. The reader is referred to the section on oculomotor nerve palsies to locate a more detailed discussion of pupillary findings with posterior communicating artery aneurysms. Direct trauma to the anterior ocular segment or surgery, local disease of the iris (e.g., cyst, melanoma, rubeosis, sphincter rupture, iritis), and angle-closure glaucoma are slit-lamp diagnoses that need not be discussed here, other than to point out that such local iris lesions have been misinterpreted as neurologic deficits.

 

TABLE 1. Characteristics of Pupils Encountered in Neuro-ophthalmology


  General Characteristics Responses to Light and Near Stimuli Room Condition in Which Anisocoria Is Greater Response to Mydriatics Response to Miotics Response to Pharmacologic Agents
Essential anisocoriaRound, regularBoth briskNo changeDilatesConstrictsNormal and rarely needed
Horner's syndromeSmall, round, unilateralBoth briskDarknessDilatesConstrictsCocaine 4%, poor dilation
      Paredrine 1%, no dilation if third-order neuron damage
Tonic pupil syndrome (Holmes-Adie syndrome)Usually larger* in bright light; sector pupil palsy, vermiform movementAbsent to light, tonic to near; tonic redilationLightDilatesConstrictsPilocarpine 0.1% or 0.125% constricts; mecholy 2.5% constricts
 Unilateral or, less often, bilateral     
Argyll-Robertson pupilsSmall, irregular, bilateralPoor to light, better to nearNo changePoorConstricts 
Midbrain pupilsMid-dilated; may be oval; bilateralPoor to light, better to near (or fixed to both)No changeDilatesConstricts 
Pharmacologically dilated pupilsVery large, round, unilateralFixedLight NoPilocarpine 1% will not constrict
Oculomotor palsy (nonvascular)Mid-dilated (6 mm–7 mm), unilateral (rarely bilateral)FixedLightDilatesConstricts 

*Tonic pupil may appear smaller after prolonged near-effort or in dim illumination; affected pupil is initially large but with passing time gradually becomes smaller.
†Atropinized pupils have diameters of 8–9 mm. No tonic, midbrain, or oculomotor palsy pupil ever is this large.
‡Pupils may be weakly reactive, depending on interim after instillation.

 

RELATIVE AFFERENT PUPILLARY DEFECT

When there is a significant unilateral or asymmetric visual deficit caused by optic nerve or widespread retinal disease, the pupils show a subnormal response to light stimulation of the eye with the greater field or (generally) acuity loss. The pupils have a more extensive constriction response with light stimulation of the normal or less involved eye. It is this combination of subnormal direct pupillary light response and a normal indirect (consensual) response when the opposite eye is illuminated that constitutes the relative afferent pupillary defect (RAPD).

The RAPD can be demonstrated clinically by the alternate cover test, also known as the Marcus Gunn pupillary test, as described by Kestenbaum33 or by the swinging flashlight test of Levatin34 (Fig. 6). The swinging flashlight test compares pupillary responses to brief bursts of light stimulation and is more sensitive than the Marcus Gunn test, which detects pupillary dilatation after prolonged light exposure.35,36

Fig. 6 Swinging flashlight test for afferent pupil defect. The patient is a 72-year-old man with right visual loss due to ischemic optic neuropathy. A. Pupils are equal in dim light. B. Illumination of right eye results in modest bilateral constriction. C. When the light swings to the left, there is more extensive constriction in both pupils. D. When the light swings back to the right, both pupils dilate.

The swinging flashlight test is best performed in a dimly lit room, using a bright light, such as a muscle light or penlight. During the test, the patient must look at a distant fixation target to avoid accommodative miosis.

The test light is shone directly into the visual axis to first illuminate one pupil and then the other. The alternating or swinging light should pause 3 to 5 seconds in each eye, and this maneuver should be repeated several times. As a rule, the pupils are round and practically equal in diameter (see section on Essential Anisocoria) and briskly and symmetrically reactive to light stimuli. After an initial, prompt pupil constriction, a slight “release” dilation generally occurs. For example, in the presence of a right afferent defect (see Fig. 6), the following is observed with the swinging flashlight test: the pupillary diameters are equal and slightly larger bilaterally when the right eye is stimulated and bilaterally smaller when the normal left eye is illuminated. If only the illuminated pupil is observed—the other pupil being hidden in darkness—the following is seen: the normal left pupil constricts promptly on illumination; as the light is moved rapidly to the right, the right pupil is seen to dilate or “escape.” As the light moves again to the left, the left pupil again constricts briskly.

Afferent pupillary defects may be quantified conveniently by the use of neutral-density filters placed before the normal eye. While performing the swinging light test, the neutral density filter is increased until the pupil responses are “balanced.” The neutral density value at which a positive (asymmetric) swinging light test is neutralized is read in log units.37 Previously used to assess the depth of amblyopia, the Sbisa bar (Bagolini filter bar) has also been found to be of comparable use in quantifying RAPD.38 Whether a dim, bright, or brilliant light is best suited for pupil light-reaction testing is somewhat controversial,39 but an indirect ophthalmoscope light set at 6 volts may be used as a handy “standardized” light source. Thompson and Jiang40 stress the importance of avoiding asymmetric retinal bleach, by maintaining a rhythmic “equal time” alternation of the light from one eye to the other and by not swinging the light too many times between the eyes. Thompson et al.37,41 provide detailed guidelines for proper performance of the pupillary examination and assessment of the RAPD.

Computerized infrared pupillography may allow the most reliable standardization of the swinging flashlight test.35 Personal computer based infrared video pupillography has been developed for clinical use when detection and specific quantification is required. Proposed advantages to the swinging light test include the capacity to perform binocular tests, compensating for natural differences in midbrain decussation of the interneurons, asymmetric supranuclear influences on the Edinger-Westphal nucleus, and differences in efferent innervation of the pupils. Furthermore, the RAPD may be recorded at different light intensities independent of motion, pattern and color, and free of observer bias.42 Pupillography also measures response latency and cycling time, which can be delayed in diseases of the afferent and efferent visual pathway and amblyopia.43

Quantification of RAPD may be used to gauge the degree to which the anterior visual pathway disruption has occurred or as a prognostic indicator for final visual recovery. In a small series, Alford et al.44 found that patients with traumatic optic neuropathy and an initial RAPD of log 2.1 or greater showed minimal visual recovery even after megadose intravenous steroid therapy. Those with RAPD measurements less then log 2.1 recovered to visions of 20/30 or better.

An afferent pupillary defect may be assessed even if one of the pupils is unreactive because of mydriatics, miotics, oculomotor palsy, trauma (Fig. 7), or synechia formation. In such cases, when performing the swinging flashlight test, the direct and consensual responses of the single reactive pupil must be compared. The reactive pupil's direct light response reflects the afferent function of the ipsilateral eye; its consensual response reflects the afferent function of the contralateral eye.

Fig. 7 Swinging flashlight test in two patients with mydriasis on side of orbital trauma. Pupils in bright (A) and dim (B) room lighting reveal normal responses on the uninjured side and minimal, if any response on the affected side. As the flashlight is swung from right (C) to left (D) and again to right (E), one can observe the normally reactive pupil. The patient on the left has no afferent pupillary defect, whereas the patient on the right has a left relative afferent pupillary defect.

Even severe unilateral visual loss due to retinal or optic nerve diseases associated with an afferent pupillary defect is not of itself a cause of anisocoria, despite past statements to the contrary (see later text: Behr's sign). If a patient with an RAPD also shows anisocoria, the pupillary inequality must be treated as a separate finding. The RAPD most typically provides objective evidence of optic nerve disease that is either unilateral or asymmetric, with more profound visual involvement on the side of the RAPD. In such cases, the RAPD is not specific and may reflect optic neuropathy due to demyelination, ischemia, compression, or asymmetric glaucoma.

Because slightly more fibers cross than remain uncrossed at the level of the chiasm, RAPDs may also be seen with optic tract lesions, where greater visual field loss occurs in one eye. An obvious example would be an optic tract lesion with a complete homonymous hemianopia. In such a case, a relative afferent pupillary defect would be expected in the eye with the temporal visual field loss (i.e., the eye contralateral to the side of the optic tract lesion).45 Theoretically, the same kind of RAPD could be present without any associated visual field defect if there is a contralateral lesion affecting the pupillomotor fibers between the optic tract and pretectal region. The eye with the RAPD should have normal visual acuity, color vision, and visual field, and no other (occult) cause for the pupillary defect (i.e., no amblyopia, glaucoma, past optic neuritis). Ellis46 has reported an afferent pupillary defect contralateral to a pineal region tumor, suggesting that this was due to involvement of afferent pupillary fibers between the optic tract and pretectal nucleus. Johnson and Bell47 have also documented an RAPD in a pretectal lesion due to a pineal gland mixed-cell tumor.

Previous descriptions of an RAPD associated with anisocoria, with the larger pupil opposite the side of the optic tract lesion (Behr's sign of optic tract disease), has not been supported by subsequent reports. Loewenfeld1 has argued that reports of this phenomenon resulted from observation errors or misinterpretation. Because all afferent optic fibers synapse in intercalated interneurons that project to either side of the Edinger-Westphal nucleus, pupillary innervation and, thus, responses are more or less symmetrical.1 Therefore, unless another cause for anisocoria exists, anisocoria does not usually result from lesions causing RAPD.

RAPD most typically is an indicator of optic nerve disease. Retinopathy, maculopathy, or amblyopia can also lead to RAPD. However, even with very poor acuity and field depression, the latter diseases usually cause much less obvious RAPD than that found with optic neuropathy. An extensive retinal detachment, such as two detached quadrants, should cause an obvious RAPD, as do arterial occlusions. With unilateral or markedly asymmetric retinitis pigmentosa, one should see an RAPD; however, usually the disease process is quite symmetric, and thus an RAPD is typically not present.48 RAPD in general is proportional to the extent of visual field loss, and the size of the visual field defect is more closely correlated with the extent of the RAPD than is visual acuity loss.49,50 As a rule, strictly macular disease leads to a much less profound afferent pupillary defect than the bulk of diseases affecting the optic nerve.51 Patients with central choroidopathy, for example, show either a small or no RAPD.52 Furthermore, the RAPD is much more likely to persist with resolved optic neuritis than resolved central serous choroidopathy.53 Patients have also been reported to have an RAPD54 with central retinal vein occlusion, the RAPD being more obvious (generally greater than 1 log unit) in the ischemic than in the nonischemic variety, where most cases measure less than 0.3 log units. Thus, the RAPD may be helpful in distinguishing between ischemic and nonischemic central retinal vein occlusions.

RAPD may be observed in strabismic or refractive amblyopia,55,56 but these are small, measuring 0.3 log units or less and do not correlate with visual acuity.55 If a very obvious RAPD is seen in cases of amblyopia, advanced cataracts, retinopathy, or maculopathy, additional tests are recommended to rule out the possibility of a superimposed occult optic neuropathy that would better explain the pupillary findings. Occasionally, a small RAPD of neutral density filter of 0.3 log unit or less is detected in patients with other ocular pathology. These findings may be assumed to be benign if there are no etiologic clues from the history or clinical examination.57,58 Follow-up with lack of progressive visual changes on subsequent examinations should provide further corroboration that the small isolated RAPD is indeed “benign.” Interesting but rarely encountered in the usual clinical setting are RAPDs induced by contralateral monocular occlusion or resulting from dense contralateral cataracts.59,60,61

ESSENTIAL ANISOCORIA

All pupils are not created equal. In fact, benign pupillary inequality exists in practically all individuals, but not necessarily all of the time. Using photographic techniques, Lam et al.62 determined pupil size in 128 healthy individuals, measuring greatest pupil diameter twice each day for 5 consecutive days. Forty-one percent showed anisocoria of 0.4 mm or greater at one time or another and 80% showed anisocoria of 0.2 mm or greater at some time. A majority of the subjects, therefore, had anisocoria of some degree at one time or another (Fig. 8). Anisocoria is as common in men as in women, in the morning as in the afternoon, in dark as in light irides, and in the young as in the aged (although Loewenfeld63 suggested that anisocoria is more common in the elderly). In a study of healthy neonates, anisocoria of 0.5 mm or more was found in about 20% of infants, but none had anisocoria greater than 1 mm.64 The physician can detect regularly a pupil difference of as little as 0.2 mm in diameter, given that clinical judgment of inequality is based more on impressions of pupil area than on measured diameter. Because the percentage difference in area is greater for smaller than for larger pupils, for any given diameter difference, anisocoria is detected more easily in smaller pupil pairs. The prevalence of anisocoria decreases in bright conditions when measured as a difference in pupil diameter but not when it is assessed as a ratio of pupil areas.65

Fig. 8 Prevalence of simple anisocoria. (From Thompson HS: The pupil. In: Lessell S, van Dalen JTW (eds): Current Neuro-Ophthalmology. Chicago: Year Book Medical Publishers, 1989:214)

Essential or “central” anisocoria should be identified easily because the pupillary light and near reactions are normal, eyelid positions are normal, and eye movements are full. The relative difference between pupil diameters is constant under various levels of illumination. With sympathetic disruption or Horner's syndrome, the anisocoria is enhanced in dim lighting. Conversely, in parasympathetic disruption, the anisocoria is enhanced in bright illumination. Incidental ptosis due to traumatic or senile levator aponeurosis dehiscence and weakening, when ipsilateral to the smaller pupil of essential anisocoria, may be confused with a true Horner's syndrome.66 When the distinction between true and pseudo-Horner's syndrome is difficult by simple inspection alone, pharmacologic testing usually resolves the dilemma. With essential anisocoria, pupillary responses to pharmacologic agents, including topical cocaine, are normal bilaterally.

The evaluation of anisocoria is facilitated by the presence of the following associated signs (see Table 1): mild upper ptosis as well as lower lid elevation on the side of a relatively miotic pupil (Horner's syndrome), a dilated pupil fixed to light but with very slow constriction on prolonged near fixation (tonic pupil), and small irregular pupils that react better to near than to light (A-R pupil).

Some individuals with long-standing anisocoria may suddenly discover the condition while shaving or applying makeup or may have it called to their attention over the breakfast table. In such situations, inspection of previous photographs is an invaluable aid in determining the nature and duration of pupil anomalies. A hand magnifying glass, a trial frame lens, an indirect ophthalmoscope lens, or even the high magnification of the slit-lamp beam67 may prove useful for examining pupil details in snapshot or portrait-quality photographs (Fig. 9).

Fig. 9 A. Anisocoria noted at age 14 months in otherwise healthy infant. B. Photograph at age 6 months confirms chronicity and benign nature of finding. There was no iris heterochromia.

LIGHT-NEAR DISSOCIATION

With exception of errors in testing techniques or poor patient cooperation, there is no pathologic situation in which pupillary light reflex is normal while the near response is defective. Therefore, if the pupils respond briskly to light, the near response need not be examined. Lack of direct and near responses, in the absence of ocular motility disturbances, should raise the question of bilateral pharmacologic pupillary dilation or local ocular disease, such as sphincter trauma or synechiae. Rarely such findings represent congenital mydriasis.68 Paradoxical pupillary responses (pupillary constriction induced by darkness) have been reported in association with concomitant stationary night blindness and congenital achromatopsia and subsequently with other retinopathies and optic neuropathies.69

Dissociation of the light-near response, when certain other criteria are met (Table 2), is diagnostic of neurosyphilis (see section on Argyll Robertson Syndrome). Other distinctive clinical syndromes demonstrating pupillary light-near dissociation include the Holmes-Adie tonic pupil syndrome and Parinaud's dorsal midbrain syndrome. The tonic pupil is characterized by light-near dissociation and supersensitivity to dilute parasympathomimetic agents. It is distinguished from the A-R pupil by certain characteristic features, including a larger pupil (see section on Tonic Pupil Syndrome). The dorsal midbrain syndrome produces light-near dissociation in association with moderate mydriasis and a constellation of signs, including vertical ocular motility deficits and accommodative defects (see section on Dorsal Midbrain Syndrome). Other causes of light-near dissociation include significant visual loss, diabetes mellitus, and aberrant oculomotor nerve regeneration.

 

TABLE 2. Characteristics of Tonic Pupil (Holmes–Adie) Syndrome


Relative mydriasis in bright illumination
Poor to absent light reaction
Slow contraction to prolonged near effort
Slow redilation after near effort
Iris sphincter sector palsy
Segmental vermiform movements of iris border
Defective accommodation
Pupil constricts with methacholine 2.5%, pilocarpine 0.125%
Associated with diminished deep tendon reflexes

 

Any eye with a severe visual deficit due to retinal or optic nerve disease, with significant field loss, has a diminished ipsilateral pupillary response to light (RAPD) but an intact near reflex. For example, an eye blind from glaucoma demonstrates a light-near dissociation. Patients with profound bilateral visual loss caused by anterior visual pathway disease have bilaterally poor pupillary light responses but intact accommodative responses. Therefore, patients with bilateral end-stage glaucoma, total retinal detachments, or blindness resulting from optic nerve/chiasmal injuries should not be misconstrued as having dorsal midbrain disease on the basis of mid-dilated pupils and light-near dissociation alone because these findings may result solely from bilateral blindness. On occasion, patients with long-standing type I diabetes demonstrate moderate symmetric mydriasis with light-near dissociation that is clearly disproportionate to any concurrent retinopathy. Indeed some type I and type II diabetics may exhibit findings consistent with tonic pupils resulting from widespread autonomic dysfunction70 or local nerve damage from diode laser photocoagulation.71 Diabetic patients may also have typical A-R pupils, including miosis.72,73

When aberrant regeneration follows oculomotor nerve palsies, fibers originally associated especially with the medial rectus (although other oculomotor fibers are occasionally responsible) may anomalously innervate the pupillary sphincter as well. Frequently, aberrant regeneration results from chronic oculomotor nerve compression, typically from meningiomas and aneurysms,74 as opposed to acute ischemic insults. In such cases, the light-paretic pupil can constrict when the medial rectus muscle acts, either in convergence or with conjugate lateral gaze. Therefore, a light-near dissociation (actually, a gaze-evoked) pupillary dissociation is observed. Unlike the A-R pupil, the aberrant-regeneration pupil is large rather than miotic and is accompanied by other signs of third-nerve palsy, some paretic and some with “misdirection” features.75

Infrared videographic transillumination readily demonstrates denervated and aberrantly reinnervated sphincter segments.76 Pupillary changes seen on a slit lamp examination may provide the early evidence of aberrant oculomotor regeneration; segmental pupillary sphincter contractions may be seen with attempted eye movements in the field of action of oculomotor innervated muscles.77 In more obvious cases, the pupillary constriction may be grossly visualized with attempted efforts by any of the muscles normally innervated by the oculomotor nerve.75 Ohno and Mukuno78 report anomalous pupillary innervation by the oculomotor nerve in 6 of 10 patients with aberrant oculomotor regeneration; pupillary constriction was seen most commonly with downgaze or adduction and less frequently with upgaze. In two patients, pupillary dilation was noted on abduction. Spiegel and Kardon79 evaluated 24 patients with aberrant oculomotor regeneration. Clinically, involvement of the eyelid and pupil was evident more commonly than that of ocular motility. Pupil signs of aberrant behavior, such as gaze-evoked anisocoria, were most noticeable in dim illumination.

TONIC PUPIL (HOLMES-ADIE) SYNDROME

One of the commonest causes of isolated internal ophthalmoplegia is the tonic pupil. First described in 1931, in two separate reports, it was recognized to occur with other neurologic anomalies and subsequently named Holmes-Adie syndrome (after GM Holmes and WJ Adie). Holmes-Adie syndrome has an annual incidence of 4.7 per 100,000.80 Pupillotonia is usually unilateral, but bilateral cases do occur in which the eyes are involved either simultaneously or sequentially (Fig. 10). Unilateral cases become bilateral at a rate of 4% per year.81 Although all ages and both sexes are affected, there is an unexplained predilection for women in the third to fifth decades.

Fig. 10 A 52-year-old woman with right tonic pupil (left); 1 year later involvement of the left pupil developed as well (right). Pupils are shown in bright (A) and dim (B) room lighting after near-convergence attempt (C), and in dim room lighting after instillation of 0.125% pilocarpine in both eyes (D). Note that the right pupil is smaller 1 year later (A) (right) than when it was “fresh” (A) (left). With time, the right pupil has also become more responsive to near-accommodation effort (C) (left and right). Parasympathetic hypersensitivity is seen in the right pupil (D) (left) and 1 year later bilaterally (D) (right).

Typically, the involved pupil is larger than its fellow. Because both constriction and dilation are defective, however, the tonic pupil may appear smaller in dim illumination because the normal pupil is free to dilate widely. Thus the diameter of the normal pupil may be smaller (in bright illumination) or larger (in dim illumination) than the tonic pupil. With the passage of time, the anisocoria becomes less marked as the initially larger tonic pupil gradually becomes less dilated and eventually even miotic over the years76,82 (Fig. 10).

As a rule, the tonic pupil is grossly defective in its reaction to light stimulus but may show some minimal degree of contraction. On slit-lamp examination, however, irregular spontaneous low-amplitude movements may be observed. Segmental sector contractions may be seen in the portions of the sphincter that are still either not denervated or reinnervated. Also, areas of sector palsy of the iris sphincter are seen. The combination of segmental contractions and areas of sphincter palsy exhibit the characteristic worm-like vermiform movements. With prolonged accommodative effort, the pupil slowly constricts, usually not extensively. When near effort is relaxed, the dilation movement is also gradual, requiring minutes or hours for redilation. Therefore, with accommodative effort and before redilations are complete, the tonic pupil can be relatively miotic with respect to its normal opposite. These pupillary kinetics constitute the “tonic pupil,”and pharmacologic testing (Fig. 10) is additive rather than diagnostic. Disruption of the final postganglionic nerve supply to the iris sphincter accounts for denervation supersensitivity, with pupillary constriction produced by dilute parasympathomimetic agents and is the basis for pharmacologic testing for the tonic pupil.

Supersensitivity to the parasympathomimetic drug methacholine 2.5%, with pupillary constriction, is a good but not foolproof test. Thompson83 suggests the use of 0.125% pilocarpine as a substitute for methacholine. Actually, pilocarpine is, in some ways, the better drug because of its ready availability and stronger miotic action; supersensitivity is demonstrable in a greater proportion of patients with tonic pupils. Because it produces a more visible degree of anisocoria, a negative test is more valid with pilocarpine than with methacholine. Some authors have suggested the use of weaker solutions of pilocarpine, such as 0.0625% to 0.0313%.84,85 These lower concentrations insignificantly constrict normal pupils and more reliably distinguish normal pupils from tonic pupils with parasympathetic supersensitivity. Weak concentration arecoline, a pilocarpine-like drug, has also been used; its advantage, if any, may be that it brings about maximal miosis more quickly.86 Pupillary parasympathetic supersensitivity may occur with ganglionic lesions as well as with preciliary and postciliary ganglionic lesions.27–30,78

Accommodation, like pupillary constriction-redilation, is also tonic and changes slowly from far to near gaze and from near to far gaze. Vision is blurred momentarily until the ciliary muscle “catches up” either while attempting to accommodate or after prolonged near effort. If accommodation is measured, it will be found to be deficient.

The tonic pupil's light-near dissociation (i.e., slow constriction on near effort and very poor reaction to light stimulation) is explained on the basis of misdirected regeneration and collateral sprouting of nerve fibers after injury to the ciliary ganglion and its postganglionic fibers.87 Recall that some 97% of fibers from the ciliary ganglion innervate the ciliary muscle; the remaining 3% innervate the pupillary sphincter.20 Because the great excess of neurons are destined to innervate the ciliary body, regenerated fibers and collateral sprouts are also much more likely to subserve accommodative function. This results in pupillary sphincter reinnervation almost entirely by fibers initially intended for accommodation. Kardon et al.,76 using infrared transillumination, provide videographic demonstration of pupillary behavior in patients with Holmes-Adie's tonic pupil (Fig. 11). They also show that with time-extensive reinnervation and, therefore, a miotic (“little old Adie's”) pupil.

Fig. 11 Six infrared transillumination views of the same iris in a patient with acute Adie's affecting all but one of the segments. The middle and lower photographs on the fight are from the same eye 6 months later. The photographs on the left side show that there is only one segment (the dark area at the pupil border at the 7:00 position) that still contracts appropriately to light and near. This example was chosen because the rest of the iris sphincter-reacting segment can be discerned in the dark (captured during the latency period of the pupil light reflex), in light, and at near. In the acute-dark photograph (top left), the area at the 7:00 meridian cannot be seen but becomes dark in response to light (middle left, acute light) and in response to low concentration pilocarpine (top right). All the denervated segments show darkening to the 0.1% pilocarpine except for the one segment that normally is innervated, and therefore presumably not supersensitive, which appears colored at the 7:30 meridian (top right, acute 0.1% pilocarpine). This same patient was examined 6 months later (right side, middle and bottom) and shows a light-near dissociation with a darkening on near response. The pupil is slightly smaller in light than in the acute state because of some sustained firing of accommodative fibers that have started to reinnervate the sphincter areas. (Reprinted with permission from Kardon RH, Corbett JJ, Thompson HS: Segmental denervation and reinnervation of the iris sphincter as shown by infrared videographic transillumination. Ophthalmology 105:313, 1998)

The tonic pupil is a clinical entity with multiple causes and associations (Table 3). In the absence of other signs and symptoms, it is a benign condition that neither heralds a neurologic nor systemic state, nor does it suggest an etiology or pathogenesis. The common pathway is disruption of parasympathetic transmission from the ciliary ganglion or its presynaptic and postsynaptic fibers. The association with diminished deep tendon reflex is the well-known Holmes-Adie syndrome. In the few pathologically studied cases, ganglion cells of the orbital ciliary ganglion are absent or grossly diminished.88 Spinal cord dorsal column atrophy has also been documented.89 In most instances the cause is unknown. Although nonspecific viral illnesses have been incriminated as causing Holmes-Adie syndrome, histopathologic data have failed to provide evidence of inflammation and scarring commonly seen with infections.80

 

TABLE 3. Disorders Associated with Tonic Pupil


Local (Ciliary Ganglion) Systemic (Polyneuropathy)
Idiopathic 
Holmes-Adie syndromeRoss syndrome
 Riley-Day syndrome
Inflammation/InfectionForme fruste familial
Herpes viruses  dysautonomia
SarcoidosisCharcot-Marie-Tooth syndrome
 Dejerine-Sottas syndrome
 Paraneoplastic polyneuropathies
IschemiaGuillian-Barre syndrome
Giant cell arteritisMiller-Fisher syndrome
Polyarteritis nodosaSjogren's syndrome
MigraineSyphilis
  
Orbital Trauma and Surgery 

 

Temporal relations with Herpes virus infections90,91 have led some to suspect a causal relation between the infection and tonic pupil. Indeed, local ciliary ganglion inflammation has been implicated in tonic pupils associated with sarcoidosis.92 Orbital trauma, including surgery, is the most direct cause of pupillotonia. Optic nerve fenestration, especially when done by the temporal approach, can lead to ciliary ganglion injury and secondary tonic pupil. Orbital ciliary ganglion ischemia is the proposed mechanism for reported cases of tonic pupils associated with vasculitides, such as giant cell arteritis,93 polyarteritis nodosa,94 and status migrainosus.95 Orbital neural-glial hamartoma96 and congenital neuroblastoma97 have been associated with congenital tonic pupils, possibly resulting from direct compression or developmentally abnormal ciliary ganglia.

Bilateral pupillotonia may occur in association with primary or idiopathic dysautonomia, including orthostatic hypotension, progressive segmental hypohydrosis (Ross syndrome),98,99,100,101 chronic cough,102 forme fruste familial dysautonomia,103 and the typical Riley-Day syndrome.104 Hereditary demyelinating polyneuropathies, such as Charcot-Marie-Tooth and Dejerine-Sottas disease may also result in widespread dysautonomia and tonic pupils.105

Associations with secondary polyneuropathies, which are often variable combinations of autonomic and somatic neuropathies, have been described. Autonomic neuropathy and chronic relapsing polyneuropathy due to paraneoplastic disease have been reported to cause tonic pupils,106,107,108,109 as have acute ophthalmoplegic polyneuritis or Guillain-Barre syndrome91 and its variant, Miller-Fisher syndrome.110,111 The presumed mechanism of neuronal damage in these cases is autoimmune inflammation109 and demyelination.91 Likewise in the polyneuropathy of Sjogren's syndrome, tonic pupils are suspected to result from autoimmune ciliary ganglionitis.112 Bilateral pupillotonia, including denervation hypersensitivity to low concentration pilocarpine may be also caused by syphilis; if so, other manifestations of neurosyphilis, such as tabes dorsalis, typically should be present as well.113,114

Both pupillary sphincter and ciliary muscle dysfunction may cause symptoms in patients with tonic pupils. Although symptoms of unilateral defective accommodation may prompt an office visit, anisocoria is usually the more dramatic signal. Symptoms that are related to pupillary mydriasis rarely need treatment, although some patients prefer the cosmetic effect of symmetrical pupils brought about by low-concentration pilocarpine. The ciliary symptoms may at times be more troublesome and may manifest as unilateral accommodative paresis, induced astigmatism, and ciliary spasms. Pharmacologic treatment of ciliary symptoms is often ineffective, but on occasion, low-concentration anticholinesterase (physostigmine), low concentration cholinergic (pilocarpine), or anticholinergic (tropicamide, atropine) drops may help.115,116 In children with whom the tonic pupil may cause asymmetric accommodative efforts and amblyopia, correction of the refractive error and occlusion therapy have been recommended.90

DORSAL MIDBRAIN (PARINAUD'S) SYNDROME

Dorsal midbrain lesions to the pretectal nuclear complex with disruption of retinotectal fibers and preservation of more ventral supranuclear accommodative pathways produces light-near dissociation. Damage to the interstitial nucleus of Cajal and/or rostral MLF subserving vertical gaze results in supranuclear upgaze and occasionally downgaze palsies. The associated moderate mydriasis results from damage to the pretectal pupilloconstrictor nuclei (Fig. 12). These “midbrain” pupils and the associated gaze palsies comprise the dorsal midbrain syndrome (also known as periaqueductal syndrome, pretectal syndrome, and sylvian aqueduct syndrome). The eponym Parinaud's syndrome honors Henri Parinaud, the 19th century French ophthalmologist who originally described abnormal conjugate gaze and convergence insufficiency. Subsequent descriptions have recognized the full constellation of signs: supranuclear paralysis of upgaze, lid retraction (Collier's sign), defective convergence with convergence-nystagmus on attempted upgaze, retraction-nystagmus (also elicited on attempted rapid upgaze or as optokinetic targets are moved downward), and both accommodative paresis and accommodative “spasm” (failure of relaxation of accommodation following near effort). Skew deviations and horizontal gaze anomalies may also occur (Table 4).

Fig. 12 Midbrain pupils. Unlike the Argyll Robertson pupils, midbrain pupils are mid-dilated. Constriction on near effort is preserved until late stage, but the light reflex is defective early. This patient has a pinealoma for which he received radiation therapy.

 

TABLE 4. Features of Parinaud's Syndrome


Light-near dissociation
Mid-dilated “midbrain” pupils
Supranuclear upgaze palsy
Convergence–retraction nystagmus
Convergence insufficiency
Accommodative paresis or spasm
Lid retraction (Collier's sign)
Skew deviation

 

Parinaud's syndrome usually results from local midbrain insults, although various systemic etiologies have been implicated. Obstructive hydrocephalus with dilation and damage of the periaqueductal gray matter is a common cause in children. Symptoms and signs will often resolve following successful decompression.117 Pinealomas are the commonest tumors causing this syndrome and typically occur in younger male patients. Although rare, local midbrain abscesses, including neurocysticercosis, tuberculoma, and toxoplasma, may produce Parinaud's syndrome and usually suggest widespread neurologic disease and in some cases immunosuppression.118 Other causes of the dorsal midbrain syndrome include cerebrovascular accidents, arteriovenous malformations, aneurysms, glioma, trauma, demyelination (multiple sclerosis and Miller-Fisher syndrome), and Wernicke's encephalopathy.119

Although signs of Parinaud's syndrome may be incidental findings, some patients present with symptoms of diplopia and blurred vision at near and difficulty with upgaze. Treatment results in partial or complete resolution of symptoms and signs. Residual convergence/accommodative deficiencies are usually minor and may be managed with plus lenses and prisms with reasonable effect.

ARGYLL ROBERTSON PUPILS

In 1869, Douglas Argyll Robertson described abnormal pupils characterized by miosis, unresponsive to light stimulus, and contraction on near effort in eyes with intact visual function. Since that time, the Argyll Robertson (A-R) pupil has been recognized as the hallmark of late central nervous system syphilis.

Although an absolute defect of light reaction was described initially, it is clear that the critical point in the light-near dissociation is simply a more extensive reaction to near than to light; some degree of light reaction may be observed (Fig. 13). In fact, A-R pupils with impaired, rather than absent, light reaction are by far more common. It is tempting to consider that the incomplete A-R pupil with impaired light reaction represents an incipient form of the light-fixed pupil, however, currently there is no documentation of such progression.

Fig. 13 The Argyll-Robertson pupil. A. The pupils are small and irregular with no reaction to light. B. Pupils promptly constrict (partially hidden by light reflexes) on near effort.

The Argyll Robertson syndrome must include miosis to exclude nonsyphilitic causes of light-near dissociation (e.g., blindness, tonic pupil, amaurotic pupils, and midbrain pupils). When viewed in darkness, the pupils neither constrict well to light stimulus nor, as a rule, do they dilate in darkness. The characteristics of this syndrome are listed in Table 5.

 

TABLE 5. Characteristics of Argyll-Robertson Syndrome


Visual function grossly intact
Decreased pupillary light reaction
Intact near response
Miosis
Pupils irregular
Bilateral, symmetrical
Poor dilatation
Iris atrophy variable

 

In most cases, the A-R syndrome is bilateral, although not invariably so, and the pupils also tend to be irregular in shape. If the criteria listed in Table 5 are met, the diagnosis of neurosyphilis may be made. Serologic screening tests—Venereal Disease Research Laboratory (VDRL) or rapid plasma reagin (RPR) tests in conjunction with specific confirmatory tests: fluorescent treponemal antibody absorption (FTA-abs) or microhemagglutination treponema pallidum (MHA-TP)—should be obtained. Patients with late or tertiary syphilis often will have negative screening tests and positive confirmatory tests.

Numerous causes of A-R-like pupils have been proposed with similarly miotic pupils and some degree of light-near dissociation, including Charcot-Marie-Tooth syndrome,120 diabetes mellitus,121 and neurosarcoidosis.122 Syphilis is also capable of producing large pupils that are fixed and unresponsive to both light stimulus and near effort (Fig. 14). These abnormalities occur typically in taboparesis. In addition, bilaterally tonic pupils may occur in patients with neurosyphilis. Fletcher and Sharpe114 have recommended that serologic test for syphilis be performed on all patients with bilaterally tonic pupils, to rule out this potentially treatable disease. Of their five luetic patients with bilaterally tonic pupils, two had tabes dorsalis and another two had manifestations of neurosyphilis.

Fig. 14 Taboparetic pupil. A. Pupils show bilateral mydriasis (5 mm and 7 mm) that is fixed to near effort (B) and to the bright focal beam of the slit lamp (C). When evaluating the pupillary reflex, testing errors can be introduced by using an insufficiently bright light source, using an inadequate accommodative target, or by failing to ensure the patient is exerting maximal accommodative effort. A wrist watch face provides a pragmatic stimulus for near effort.

OCULOSYMPATHETIC DEFECTS (HORNER'S SYNDROME)

The complicated course of the oculosympathetic pathways has been outlined previously. In essence, the ocular sympathetic chain may be interrupted partially or totally in any location, from the hypothalamus down through the brain stem to the cervical cord, in the apex of the chest, in relation to the carotid sheaths, or in the cavernous sinus or orbit. The resulting collection of signs was first recognized in humans by a Swiss ophthalmologist, Johann Friedrich Horner (1831–1886), from whom the syndrome derives the eponym, Horner's syndrome.123 The clinical manifestations of this syndrome are summarized in Table 6.

 

TABLE 6. Characteristics of Horner's Syndrome


Miosis
Partial ptosis
Apparent enophthalmos
Diminished sweat, drier skin
Transient dilated conjunctival and facial vessels; facial flush; ocular hypotony; increased accommodation
Heterochromia: if congenital; rarely acquired adult cases

 

Horner's syndrome consists of mild to moderate ptosis of the upper lid due to paresis of Muller's muscle, pupillary miosis, apparent enophthalmos, and ipsilateral anhydrosis. The lid fold is lost (Fig. 15) and is a subtle confirmatory sign. The lower lid may be somewhat elevated because of paresis of smooth muscle attached to the inferior tarsal plate. This can be evaluated by noting the relationship of the lower lid margin to the corneoscleral junction (inferior limbus). Ptosis of the upper lid and elevation of the lower lid narrow the interpalpebral fissure. Thus, the eye may be described as looking “smaller” or seeming to be enophthalmic. This enophthalmos is more apparent than real.124,125

Fig. 15 Oculosympathetic paresis. A. Congenital Horner's syndrome. Note partial ptosis, miosis, and lighter iris. B. Positive cocaine test in 45-year-old patient with right side headaches and oculosympathetic paresis (Raeder's syndrome). Note that cocaine 4% dilates normal left pupil only. C. High cervical (“Hangman's”) fracture with quadriplegia and right Horner's syndrome. Note spontaneous sweating of left side of face only. In (B) and (C), lid fold (arrow) is diminished.

The pupil is variably miotic, depending on the location, completeness, and chronicity of the defect. The pupillary diameter is usually reduced by 0.5 to 1 mm. Although it reacts normally to light and near stimulation, the Horner's pupil demonstrates delayed redilatation in the pupillary light reflex.126 Anisocoria due to Horner's syndrome is more marked in dim illumination (evoking dilation) than in bright light. Furthermore, other stimuli that usually increase sympathetic tone, such as pain and sudden loud noises also increase the anisocoria.

Heterochromia with Horner's syndrome (the lighter iris in the same eye) is usually considered a sign that the sympathoparesis is congenital or acquired in infancy. However, progressive heterochromia has been reported following acquired Horner's syndrome in adults.127,128 It must be stressed that heterochromia occurs in a multitude of ophthalmic conditions, some of which are outlined in Table 7.

 

TABLE 7. Differential Diagnosis of Heterochromia


Congenital Horner's syndrome
Fuchs iridocyclitis
Diffuse iris melanoma
Leukemia
Waardenberg syndrome
Sturge-Weber syndrome
Latanoprost therapy
Juvenile xanthogranuloma
Asymmetric pigment dispersion syndrome
Siderosis bulbi
Oculoderma melanocytosis

 

With the complete syndrome, the ipsilateral face is anhidrotic, warm, and hyperemic because of denervation of sweat and vasoconstrictor fibers that are distributed to the face through branches of the external carotid artery. These defects are for the most part transient, being rapidly overcome by denervation supersensitivity to circulating adrenergic substances. Ocular hypotony and defective accommodation have been described with sympathetic denervation, but these are, at best, transient and inconstant signs and are of little help in diagnosis. The pupillary reaction to light or near stimulus is normal, but slowed redilation can be documented photographically or pupillographically.

Although the pattern of facial sweating may be helpful in localizing Horner's lesions, it is by pharmacologic means that the site of involvement is most often ascertained. Numerous pharmacologic tests have been used for the diagnosis or confirmation of oculosympathetic paresis. Cocaine 4% is the most widely used agent, although dilute solutions of epinephrine (0.001%) and hydroxyamphetamine 1% (Paredrine) are also useful.129 Thompson believes that the use of dilute epinephrine is a poor test with inconclusive results, but that the use of phenylepherine 1% dramatically demonstrates supersensitivity in postganglionic Horner's syndrome. Ramsay84 reported catecholaminergic hypersensitivity to 1% phenylepherine in 71% of tested patients with Horner's syndrome.

Cocaine blocks the reuptake of norepinephrine released at the myoneural junction and therefore induces mydriasis when instilled in patients with intact oculosympathetic pathways. In Horner's syndrome, cocaine instillation results in poor or no dilation, regardless of the site of the lesion. The cocaine test therefore corroborates the diagnosis of Horner's syndrome but does not allow distinction between a central (brain stem or cervical cord), preganglionic (chest or neck), or postganglionic (above superior cervical ganglion) cause of sympathetic denervation. A cocaine test that induces 1 mm or more of anisocoria is strongly supportive (>95% probability) of the diagnosis of Horner's syndrome.130,131 Patients should be informed that their urine may be positive for the cocaine metabolite, benzoylecgonine, up to 48 hours after topical instillation of cocaine.132

Hydroxyamphetamine (Paredrine) causes release of norepinephrine stored in the presynaptic terminals of pupils with intact third-order (postganglionic) neurons and causes pupillary dilation normally in first-order (central) and second-order (preganglionic)—but not third-order (postganglionic)—oculosympathetic lesions.133,134 Therefore, the Paredrine test is useful in identifying patients whose Horner's syndrome is postganglionic.135 A Paredrine test that induces 1 mm or more of anisocoria identifies postganglionic Horner's syndrome with high probability (90% or more).134 Although a false-negative response to Paredrine can occur in congenital136,137 and acute Horner's syndrome (of less than 2 weeks' duration)138,139 the test is generally very useful and reliable clinically. Paredrine is no longer available commercially but hydroxyamphetamine hydrobromide 1% can be “special-ordered” from a number of pharmacies. Pholedrine, an n-methyl derivative of hydroxyamphetamine (methamphetamine), has been used by some as a substitute for pharmacologic test for distinction between central (first-order) and preganglionic (second-order)140,141 oculosympathetic lesions.

In all pharmacologic tests for sympathetic denervation, drops should be instilled in both eyes so that the reaction of the normal pupil serves as a control. Tonometry, testing of corneal sensitivity, or any procedures that may mechanically or chemically disturb corneal epithelium, should not be performed before these drops are instilled. If cocaine is used, the hydroxyamphetamine reaction should not be tested before 48 hours have elapsed. Differences in observed pharmacologic reaction between the two pupils are more common than absolute dilation failure: the eye with the partial sympathetic denervation may dilate less extensively than the normal pupil, rather than demonstrating no dilation at all. Bilateral cases of Horner's syndrome, such as may occur with diabetic autonomic neuropathy,126,142 amyloidosis and familial dysautonomia may be difficult to diagnose without the benefit of a normal eye for comparison. Smith and Smith126 have recommended utilizing delayed pupillary redilatation. They reported an abnormally prolonged redilatation (time taken to reach three-quarter recovery) in the light reflex. They reported a 70% sensitivity and a 95% specificity for detecting Horner's syndrome.

The topical diagnosis of Horner's syndrome is very much dependent on accompanying signs and symptoms. Causative lesions may be the result of cerebrovascular disease, cervical trauma (Fig. 15), chest tumors, intracavernous lesions, or even a form of vascular headaches. Horner's syndrome arising from a brain stem lesion is unlikely to be isolated. The sympathoparesis may accompany the lateral medullary or Wallenberg's syndrome that results from posterior inferior cerebellar artery occlusion or insufficiency. The signs include dysphagia (laryngeal and pharyngeal paralysis), analgesia in ipsilateral face and contralateral trunk and extremities (spinal tract and nucleus of trigeminal nerve and ascending lateral spinothalamic tracts) and ipsilateral cerebellar ataxia, and rotatory nystagmus. Skew deviation may occur, with vertical diplopia. A central Horner's syndrome has been reported in association with cerebral and hypothalamic infarction caused by internal carotid artery occlusion.143 The interruption of the hypothalamospinal tract leads to ipsilateral hemianhidrosis, ptosis, and miosis associated with contralateral hemiplegia and variably homonymous hemianopsia and aphasia. This constellation of findings has been termed telodiencephalic ischemic syndrome by Schiffter.144,145 Other causes of central Horner's syndrome include cervical cord lesions, including trauma (Fig. 15), syringomyelia, tumors, and, rarely, demyelinating disease.

In the chest apex and superior mediastinum, destructive lesions may interfere with sympathetic fiber as they pass in close proximity to the apical pleura and great vessels. Pancoast superior sulcus syndrome is usually caused by bronchogenic carcinoma and, rarely, breast cancer, lymphoma, sarcoma, or metastases. Oculosympathetic paresis may be the first sign of disease. Such lesions typically cause pain in the shoulder and arm from brachial plexus infiltration. Thus, patients with an acquired, nontraumatic, preganglionic oculosympathetic paresis and arm or shoulder pain require appropriate radiologic studies of the pulmonary apex, chest, and cervical spine.

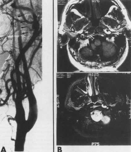
In the neck, as the sympathetic fibers ascend in relationship with the carotid sheath, oculosympathetic paresis may ba caused by enlarged lymph nodes, tumors, abscess, trauma146,147,148 and acute carotid thrombosis.149 Horner's syndrome with associated ipsilateral neck, facial, or orbital pain150 and, less frequently, amaurosis fugax, disagreeable taste (dysgeusia),151 or facial numbness and dysesthesia,152 strongly suggests spontaneous internal carotid artery dissection. Bougousslavsky et al.153 reported the presence of Horner's syndrome in 20% of their patients with spontaneous carotid dissection. Biousse et al.154 studied 146 consecutive patients with extracranial internal carotid dissection and found 52% had ophthalmic findings that were initial manifestations of dissection. Fourty-five percent of patients had painful Horner's syndrome, and this remained an isolated finding in 50% of these cases. Hydroxyamphetamine 1% provides rapid corroboration of a postganglionic (third-order neuron) level lesion, and cerebral angiography or—less invasively and perhaps preferably—cervical magnetic resonance imaging is diagnostic156,157 (Fig. 16).

Fig. 16 Arteriogram and magnetic resonance imaging (MRI) scan of two patients with left spontaneous carotid artery dissections. A. Arteriogram (lateral view, left common carotid injection) shows a tapered narrowing (black arrows) of the left internal carotid artery with slow flow. The abnormal artery segment extends from the C2 level to the base of the skull. (The patient, a 52-year-old woman, initially noted left amaurosis fugax and left upper lid ptosis as well as left eye injection. On examination, she also had facial and tongue weakness). B. (Top) T1-weighted MRI scan TR = 600, TE = 20. A bright signal, denoting blood (white arrow) surrounds a dark signal indicative of flow in the left internal carotid artery. The normal right internal carotid artery is also shown as a flow void (arrowhead). The bright signal anterior to the right carotid denotes fat, which on the T2-weighted images will be much less echo-intense. (Bottom) T2-weighted MRI scan (TR = 2500, TE = 75) shows persistence of the bright signal generated by blood (white arrow) surrounding the left internal carotid artery. The fat density anterior to the right carotid artery, which was bright on the T1-weighted image, has practically disappeared on the T2-weighted scan. (The patient, a 53-year-old man, noted an acute onset, left-sided headache followed by speech and swallowing difficulties. Examination also revealed multiple left cranial neuropathies). Arteriogram and MRI scan courtesy of Richard Latchaw, MD.

At the level of the brachial plexus, the sympathetic fibers may be damaged by birth trauma, and Horner's syndrome may accompany Klumpke's paralysis of the ipsilateral arm. Perinatal neck trauma is the proposed mechanism of a congenital postganglionic oculosympathetic lesion with associated carotid artery fibromuscular dysplasia.157 It is possible that most congenital Horner's syndromes originate from trauma sustained during labor or delivery (Fig. 15). Rarer causes, such as congenital varicella syndrome, and neuroblastoma158 and internal carotid agenesis,159 have also been described. Neoplastic infiltration or disruption of the cervical sympathetics also may result in Horner's syndrome. These tumors include schwannoma,160,161 neuroblastoma,162,163 paraganglionoma164,165 and chordoma,166 benign and malignant thyroid tumors, and lymphomas.

Iatrogenic causes of Horner's syndrome occur typically within the neck and account for 10% to 18.5% of all cases. Eighty-four percent of these cases involve the second-order neuron.167 Iatrogenic injuries include internal carotid stenting,168 internal jugular catheterization,169 carotid endarterectomy,170 radical neck dissection, cervical sympathectomy, and thyroidectomy.171

When Horner's syndrome is caused by lesions of the base of the skull or cavernous sinus, the accompanying cranial neuropathies frequently make localization possible. The coexistence of a postganglionic Horner's syndrome and ipsilateral abducens palsy should suggest a cavernous sinus lesion (Fig. 17). Parkinson172 has provided an illustration of the theoretic location for such a lesion, where the intracavernous oculosympathetic temporarily run with the abducens nerve before joining the first division of the trigeminal division. Parkinson's syndrome—a Horner's and abducens nerve palsy in the absence of other cranial neuropathies—is clinically uncommon but has been documented with trauma, intracavernous carotid aneurysm, and metastasis.173,174

Fig. 17 Right Horner's syndrome and partial sixth nerve palsy due to cavernous sinus lesion. In addition, this patient had involvement of the right trigeminal divisions and therefore did not have a “pure” Parkinson's syndrome. (Reprinted with permission from Slamovits TL, Cahill KV, Sibony PA, et al: Orbital fine-needle aspiration biopsy in patients with cavernous sinus syndrome. J Neurosurg 59:1037, 1983)

In an adult outpatient ophthalmology setting, isolated postganglionic oculosympathetic defects are most frequently the result of third-order neuron lesions, including status postendarterectomy, other neck surgery or trauma, or in the context of vascular headaches of the “cluster” type. Although the cause is inconclusive, undetected carotid disease is presumed. In cadaver studies, superior cervical ganglion compression has been demonstrated, caused by tortuous atherosclerotic internal carotid artery that, at times, produced actual indentation of the ganglion (Fig. 18); perhaps this mechanism accounts for a benign postganglionic Horner's syndrome in elderly patients. Another autopsy study175 disclosed that some internal carotid arteries give off small-caliber branches in their extracranial segments within 3 cm from base of the skull. Typically, these branches were associated intimately with the sympathetic carotid plexus, and the authors suggested that isolated Horner's syndrome may result from interruption of small caliber arterial branches arising from the carotid, supplying the sympathetic plexus. Postganglionic oculosympathetic lesions do not include anhidrosis but only ptosis and miosis. Unilateral recurrent cranial or facial pain in the trigeminal distribution, in combination with a third-order Horner's syndrome, constitutes a common enough variant of vascular-mediated headaches, the Raeder's syndrome. When not accompanied by para-sellar cranial nerve deficits, this headache syndrome is likely to follow a benign course, with resolution within a few months.176

Fig. 18 Cadaver neck dissection (left), with the cervical carotid artery retracted away from the superior cervical ganglion. Note the groove (arrow) created by the carotid artery. Enlarged anterior-posterior view of the superior cervical ganglion (right) with obvious carotid indentation mark. (Courtesy of Dr. Yochanan Goldhammer; Goldhammer Y, Nathan H, Luchansky E: Compression of the superior cervical sympathetic ganglion by the internal carotid artery demonstrated by anatomic studies: A possible etiology of the Horner's syndrome in the elderly. Presented at the Fourth International Neuro-Ophthalmology Society Meeting, Hamilton, Bermuda, June, 1982)

Whether first, second, or third-order sympathetic lesions are encountered most frequently is a function of whether outpatient ophthalmologic or inpatient neurologic data are assayed. Several authors have reported on their series.177,178,179,180,181 Giles and Henderson's178 retrospective review of 216 patients from the University of Michigan Hospital suggests that most frequently Horner's syndrome is due to tumors. In this study tumors occurred in about one-third of all patients and in more than half of patients with a known cause for Horner's syndrome. Of all tumors, about three-fourths were malignant and most were due to lesions in the neck, involving either the preganglionic or extracranial postganglionic sympathetic chain; about 10% of the cases were localized to the first-order neuron. In contradistinction, Keane's180 neurologic series of 100 hospitalized patients, most (approximately two-thirds) Horner's syndromes were first-order neuron lesions, mostly stroke related. About one-fourth of the cases were preganglionic and an eighth were postganglionic; of all cases with a known cause, approximately one-fourth were due to tumors, about two-thirds of which were preganglionic and one-third postganglionic. Grimson and Thompson's179 120 cases were rarely due to a central lesion; of all cases with a known etiology, close to one half were preganglionic. More than one-third were postganglionic, and only a minority were of central origin. In this series, about half of all preganglionic lesions were due to neoplasia, whereas postganglionic lesions were mostly caused by vascular headache or head trauma.

The subject population of Maloney et al.181 consists of both inpatients and outpatients. Forty percent of the 450 patients studied had no known cause for the oculosympathetic defect. Of 270 patients with known cause of Horner's syndrome, Maloney found a minority to be central (13%) and about an equal number to be preganglionic (43%) and postganglionic (44%). Whereas 13% of the 450 patients had tumors, 3% had occult malignancies. This suggests that it is rare for Horner's syndrome to be the presenting sign of an occult malignancy.

In the pediatric population, the implications of Horner's syndrome may be more ominous because Horner's syndrome can be an important ocular sign of neuroblastoma182 and is often associated with a severe underlying disease, such as tumor metastasis, leukemia, lymphoma, or aneurysm.183 Some authors have suggested that routine diagnostic imaging is unneccesary in isolated Horner's syndrome.163 However, localization using facial flushing (Harlequin sign) and pharmacologic testing may yield conflicting results in congenital cases.136 Therefore, unless an obvious and plausible precipitant precedes the occurrence of Horner's syndrome, such as chest surgery, we recommend vigorous investigation. These should include neuro-imaging and 24-hour urinary catecholamine measurement to look for possible neuroblastoma.184

Thus, in the evaluation of patients with Horner's syndrome, the most important clues to diagnosis are the clinical history and the accompanying neurologic signs and symptoms. When combined with cranial nerve palsies or other localized signs and symptoms, sympathoparesis is often caused by tumor, trauma, or vascular disease. If any doubt exists about whether a patient has a false or true Horner's syndrome,60 the cocaine test should be performed. If the clinical assessment shows a Horner's syndrome to be an isolated finding, 1% hydroxyamphetamine is instilled in both eyes to pharmacologically distinguish a postganglionic lesion from a preganglionic or central one. In neonates and in the pediatric population, an isolated Horner's syndrome not considered congenital requires further assessment to search for neuroblastoma or other underlying malignancy. In adults, truly isolated postganglionic lesions often remain unexplained: these are presumed to be of vascular origin and are compatible with a benign course. Isolated preganglionic Horner's lesions in adults require further investigation, with special attention to the pulmonary apex and chest. Appropriate consultations and radiologic studies (lordotic X-ray views of the chest, mediastinal computed tomography cervical spine images) should be obtained. Several authors have provided guidelines for selective imaging of patients with oculosympathetic lesions.185,186

PHARMACOLOGIC ACCIDENTS: THE FIXED DILATED PUPIL

A mydriatic pupil, unresponsive to light or near reflex, occurring as an isolated sign unaccompanied by ptosis or any oculomotor dysfunction, is almost always caused by inadvertent or factitious application of a pharmacologic agent. Table 8 gives a list of common mydriatic agents and their duration of action. Intravenous lidocaine and accidental instillation of lidocaine with epinephrine have been observed to cause pupillary dilatation.187,188 Ipratropium bromide used as a metered aerosol, likewise, may cause mydriasis.189 Medical personnel, including nurses, physicians, and pharmacists, are especially liable to accidental instillation of mydriatic agents (Fig. 19), which more often than not also lead to cycloplegia, photophobia, and even a headache. These signs and symptoms should not be construed as an ominous warning of intracerebral disease.

 

TABLE 8. Common Mydriatic and Cycloplegic Agents: Times for Maximum Effect and Duration of Action


  Mydriasis Cycloplegia
DRUG Maximum Duration Maximum Duration
Atropine (1%)30–40 min7–12 d2 hr14 d
Cyclopentolate (1%)15–60 min24 hr15–60 min24 hr
Homatropine (2%)10–30 min6 hr–4 d30–90 min10–48 hr
Tropicamide (1%)20–40 min30 min20–30 min50 min–6 hr
Scopolamine (0.25%)15–30 min3–7 d30–45 min3–7 d
Phenylepherine (2.5%)15–60 min6–7 hr
Hydroxyamphetamine (1%)45–60 min6 hr
Cocaine (4%)40–60 min6 hr

From American Hospital Formulary Source (AHFS): American Society of Health Systems Pharmacies. Bethesda, MD: AHFS, 2003:2682–2694; and Bartlett J, James SD: Clinical Ocular Pharmacology, 4th ed. Boston: Butterworth Heinemann, 2001:135–148, 149–166

 

Fig. 19 Accidental atropinization. A. An 18-year-old student nurse presented with headache, blurred vision, and widely dilated, fixed left pupil. B. Pilocarpine 1% instilled in both eyes constricts right but not left pupil, corroborating pharmacologic origin of mydriasis.

Accidental instillation of the fluid of many plants that contain belladonna and atropine-like alkaloids, such as jimson weed and angel's trumpet,190 have parasympatholytic action and may cause mydriasis. Exposure to certain insecticides, especially in children, may result in mydriasis.191,192,193,194 Frequently, associated intercurrent signs, such as altered consciousness, seizures, shock, arrhythmias, and respiratory depression, may also occur.191,193,194 Mydriasis may be used as a sign of adequate response to atropine therapy following anticholinesterase insecticide intoxication.195 Since the introduction of retroauricular scopolamine patches for motion sickness, reports have appeared about associated unilateral mydriasis (196, 197, 198).196,197,198 This probably occurs as a result of finger contamination with scopolamine, followed by inadvertent eye contact. Perfumes and cosmetics may also contain agents capable of dilating the pupil.

On occasion, both young and elderly patients intentionally apply a mydriatic agent to the eye and subsequently deny such a maneuver. Thompson199 reviewed the problem of the fixed dilated pupil and pointed out the practicality of identifying pharmacologic mydriasis by the use of weak solutions of miotics. If pilocarpine (1%) is instilled in an eye with a dilated pupil because of parasympathetic denervation (e.g., oculomotor palsy, tonic pupil), prompt miosis occurs. However, pilocarpine miosis is diminished or absent in patients with pharmacologic mydriasis (see Fig. 19). Both eyes should be subjected to pilocarpine instillation, with the normal eye serving as a control.

Intraocular iron foreign bodies can lead to fixed dilated pupils, even before the development of heterochromia or visual loss. In a report of two such cases, the patients, both young boys, failed to report their past ocular injuries.202 A dilated, atonic pupil can rarely develop after uncomplicated penetrating keratoplasty or cataract extraction.203 Whether keratoplasty or cataract surgery, the history of onset after intraocular surgery and failure to constrict with pilocarpine (1%) should distinguish these pupils from typical tonic pupil syndrome.203 A rare clinical syndrome consisting of a fixed dilated pupil, iris atrophy, and glaucoma, known as Uretts-Zavalia syndrome, has been observed following penetrating keratoplasty and deep lamellar keratoplasty for keratoconus.204 In one small series excimer laser keratoplasty has also been associated with postoperative mydriasis.205 The degree of anisocoria did not correlate with laser energy, ablation depth, or refractive correction.

EPISODIC DYSFUNCTION OF THE PUPIL

Episodic unilateral mydriasis, lasting minutes to weeks and usually accompanied by blurred vision and headache, has been reported and reviewed by Hallett and Cogan.206 This periodic phenomenon remains controversial and, most of the time, is not entirely free of suspicion of pharmacologic misadventure. However, there remain “pure” cases that lend credence to this dramatic if unexplained pupillary phenomenon (i.e., the “springing pupil”). A clinical pattern may be defined as follows:

  1. brief, episodic, unilateral mydriasis occurring in young, otherwise healthy, females;
  2. peculiar sensations in and about the affected eye, often progressing to headache (but not typical migraine); and
  3. defective accommodation, but without any other signs of lid or extraocular muscle dysfunction.

Transient pupillary distortion with segmental iris dilator spasm has been reported by Thompson207 and termed tadpole pupil. The condition probably represents a subset of the larger group of patients who carry the less precise diagnosis of springing pupil. The clinical pattern and prognosis of patients with tadpole pupil appear to be similar to those described previously.

Periodic unilateral pupil dilation has been reported in association with migraine.207,208,209,210,211 Suggested causes for the periodic mydriasis include transient sympathetic hyperactivity207 or transient parasympatholytic activity209,210 or both,212 perhaps as a variant of ophthalmologic migraine. Oculosympathetic spasm has been observed several months after spinal cord injury,213 and, according to the authors, the pupillary dilation, brought on by elevation and stretch of the ipsilateral arm or leg, possibly represents a localized form of autonomic hyperreflexia.

Because a fixed dilated pupil in an unconscious patient is usually interpreted as a sign of temporal lobe herniation or aneurysmal compression, it should be noted that transient unilateral mydriasis on occasion may accompany convulsive disorders in children214,215 or in adults.216

Back to Top
DISORDERS OF ACCOMMODATION

As discussed previously, the neural pathways controlling the near reflex and accommodation are not defined precisely. As a rule, in those disorders that interrupt the parasympathetic supply to the pupil sphincter, accommodation is also defective because of denervation of the ciliary musculature. In certain situations, however, where the convergence–accommodation mechanism is faulty, pupillary reflexes are spared or minimally involved.

The accommodative power of the eye is difficult to assess because of the subjective nature of the end point and the great dependency on cooperation of the patient. A unilateral accommodative deficiency is easier to define because the uninvolved eye serves as a normal “control.” Accommodation is usually measured in terms of near point: the shortest distance from the naked eye at which an accommodative target can no longer be focused and appears blurred. Alternatively, the maximum power of minus lenses that the eye can overcome to see clearly with best-corrected distance acuity may be used.

The most common defect of accommodation is presbyopia and is related to aging. Currently, it is thought to result from progressive thickening and stiffness of the lens, which changes its refractive power with age. However, the degree to which the aging lens and other factors, such as changes in the ciliary muscle and declining accommodative convergence, contribute to presbyopia has yet to be determined. In the presbyopic eye, accommodation is difficult to assess and unilateral defects are rare. Unilateral or asymmetric lens opacities or brunescence, however, may present with “accommodative” symptoms, but slit-lamp examination quickly resolves this diagnostic dilemma.

Occasionally, rapid changes in the refractive power of the eyes take place during poorly controlled diabetes mellitus, with resulting increase in the refractive index of the lenses. In this case, the patient becomes more myopic and reports blurring of distant vision; however, presbyopic patients may suddenly be able to read without the aid of bifocals. This situation should immediately suggest a state of hyperglycemia.

Defective accommodation almost always accompanies pupillotonic syndromes and also peripheral oculomotor nerve palsies, in which instance blurred vision is the least dramatic aspect and may go unnoticed by both the patient and the physician. Local ocular disease, traumatic, inflammatory, or otherwise, need not be discussed.

Many individuals complain of rather vague problems of “focusing” the eyes, and, as a rule, nothing is found. Fortunately, these patients are usually well equipped with other aches, pains, and ill-defined asthenopic symptoms. In some instances, however, symptoms of accommodative and convergence insufficiency appear to be valid residue of cerebral concussion or cervicocranial hyperextension injury (“whiplash”). These symptoms may extend from weeks to years in duration and are, at times, miraculously relieved by litigation settlements. Here the physician is at the mercy of variations in patient cooperation and strictly subjective end points. It may be impossible to separate the patient with true posttraumatic accommodative–convergence insufficiency from the dissembler, unless objective signs are present or a positive response to therapy excludes the latter possibility.

Paralysis of accommodation classically occurs in children with diphtheria, a disorder encountered rarely in the United States. Postdiphtheritic paralysis is attributed to a demyelinating toxin with a special predilection for cranial nerves. Contamination of food with Clostridium botulinum is responsible for a serious form of food poisoning (i.e., botulism). Typically, botulism is caused by ingestion of toxin that has been produced in contaminated foods. In infants and rarely in adults, botulism can also be caused by in vivo toxin production after colonization of the gastrointestinal tract by C. botulinum organisms.217 The elaborated exotoxin interferes with cholinergic transmission, resulting in the clinical picture, similar to insecticide poisoning, of an alert patient with dilated nonreactive pupils, accommodative paralysis, dry mouth, and respiratory distress. Tyler218 has pointed out that only one-third of patients experience an acute gastrointestinal episode (nausea, vomiting, and diarrhea). Dizziness, headache, blurred vision, diplopia, and swallowing difficulties should alert the physician to the possibility of botulism.219

The pupillary and ciliary musculature may be paretic in the ophthalmoplegic form of acute idiopathic polyneuritis. Clinical involvement of the internal ocular muscles in myasthenia probably does not occur, although this is a controversial subject. The presence of internal ophthalmoplegia, as a rule, makes a diagnosis of ocular myasthenia untenable (unless the patient has another cause of the internal ophthalmoplegia).

Rostral–dorsal midbrain lesions may result in a state of spastic–paretic accommodation, usually accompanied by moderately dilated, light-near dissociated pupils, upgaze palsy, and retraction nystagmus (the periaqueductal syndrome). When shifting gaze from distance to near, accommodation is paretic; on attempted upward gaze, accommodative spasms occur such that distant vision is blurred because of momentary myopia (see previous discussion of periaqueductal syndrome).

Spasm of the near reflex may be associated with organic disease.220,221,222 However, even then there may be an element of functional disturbance superimposed on the organic process. In most instances, spasms of accommodation are of functional origin. Some degree of convergence excess is common, such that an esotropic deviation may mimic a unilateral or bilateral abduction deficiency (Fig. 20). Pupils that become constricted on lateral gaze attempts should be the clue to such hysterical “spasm of the near reflex.” Atropinization, nonspecific “eye exercises,” time, and litigation settlements may all have salutary effects.

Fig. 20 Spasm of near reflex of volitional origin. A. Gaze forward in a young woman after an automobile accident. Note 4-mm pupils. B. Gaze right attempt shows abduction defect on right but constricted pupils. C. Another patient shows bilateral abduction “palsies” when asked to follow near target to either side. Note extreme pupillary miosis. While reading an acuity chart at 6 m, eyes were straight and full abduction was present with face turned to either side.

Systemic agents may enhance or retard accommodation. Transient myopia (and thus enhanced accommodation) may occur as a toxic reaction to sulfa-derived drugs (including sulfonamides and acetazolamide), tetracycline, prochlorperazine (Compazine), promethazine (Phenergan), autonomic blocking agents used to treat hypertension,223 diuretics, isoretinon,201 and isosorbide dinitrate (Isordil), an organic nitrate used to treat angina.224 Accommodative insufficiency may result from administration of systemic drugs, such as anticholinergics (atropine and scopolamine) antihistamines, chloroquine, tricyclic antidepressants, and phenothiazines (especially when used with benztropine). Because the lacrimal gland receives parasympathetic innervation, drugs with intrinsic anticholinergic activity may further induce blurred vision by way of corneal desiccation.201

Back to Top
REFERENCES

1. Loewenfeld IE: The Pupil: Anatomy, Physiology and Clinical Applications. Boston: Butterworth Heinemann, 1999

2. Wilhelm J, Wilhelm H, Moro S, Barbur JL: Pupil response components: Studies in patients with Parinaud's syndrome. Brain 125(10):2296, 2002

3. Bergamin O, Schoetzau A, Sugimoto K, Zulauf M: The influence of iris color on the pupillary light reflex. Graefes Arch Clin Exp Ophthalmol 236(8):567–570, 1998

4. Thompson HS, Franceschetti AT, Thompson PM: Hippus, semantic and historic considerations of the word. Am J Ophthalmol 71:1116, 1971

5. Loewenfeld IE: Pupillary changes related to age. In Thompson HS (ed): Topics in Neuro-ophthalmology. Baltimore: Williams & Wilkins, 1979:124–150

6. Bourne PR, Smith SA, Smith SE: Dynamics of the light reflex and the influence of age on the human pupil measured by television pupillometry. J Physiol 293:1P, 1979

7. Campbell FW, Gubisch RW: Optical quality of the human eye. J Physiol 186:558, 1966

8. Bowling DB, Michael CR: Projection patterns of simple physiologically characterized optic tract fibers in the cat. Nature 286:899, 1980

9. Kupfer C, Chumbley L, Downer J: Quantitative histology of optic nerve, optic tract and lateral geniculate nucleus of man. J Anat 101:393, 1967

10. Breen L, Burde RM, Loewy AD: Brainstem connections to the Edinger–Westphal nucleus of the cat, a retrograde tracer study. Br Res 261:303, 1983

11. Smith JD, Masek GA, Ichinose LY, et al: Single neuron activity in the pupillary system. Brain Res 24:219, 1970

12. Carpenter MB, Pierson RJ: Protectal region and the pupillary light reflex. J Comp Neurol 149:271, 1973

13. Benevento LA, Rezak M, Santos-Anderson RM: An autoradiographic study of the projections of the pretectum in the rhesus monkey (Macaca mulatta): Evidence for sensorimotor links to the thalamus and oculomotor nuclei. Brain Res 127:197, 1977

14. Burde RM: The visceral nuclei of the oculomotor complex. Trans Am Ophthalmol Soc 81:532, 1983

15. Warwick R: Representation of the extra-ocular muscles in the oculomotor complex. J Comp Neurol 98:449, 1953

16. Jampel RS, Mindel J: The nucleus for accommodation in the midbrain of the macaque. Invest Ophthalmol 6:40, 1967

17. Burde RM, Loewy AD: Central origin of the oculomotor parasympathetic neurons in the monkey. Br Res 198:434, 1980

18. Kourouyan HD, Horton JC: Transneuronal retinal input to the primate Edinger–Westphal nucleus. J Comp Neurol 381:68, 1997

19. Warwick R: The ocular parasympathetic nerve supply and its mesencephalic sources. J Anat 88:71, 1954

20. May PJ, Fratkin JD: Identification of the Edinger–Westphal nucleus in primates by means of multiple markers: ARVO abstr #1488/B498, May 6, 2002

21. Kerr FWL, Hollowell OW: Location of pupillomotor and accommodation fibers in the oculomotor nerve: Experimental observations on paralytic mydriasis. J Neurol Neurosurg Psychiatry 27:473, 1964

22. Nadeau SE, Trobe JD: Pupil sparing in oculomotor palsy: A brief review. Ann Neurol 13:143, 1983

23. Ruskell GL: Accommodation and the nerve pathway to the ciliary muscle: A review. Ophthalmic Physiol Opt 10:239, 1990

24. Jaeger RJ, Benevento LA: Innervation of eye internal structures. Invest Ophthalmol Vis Sci 19:575, 1980

25. Parelman JJ, Fay MT, Burde RM: Confirmatory evidence for a direct parasympathetic pathway to internal eye structures. Trans Am Ophthalmol Soc 84:371, 1985

26. Burde RM: Direct parasympathetic pathways to the eye: Revisited. Brain Res 463:158, 1988

27. Ponsford JR, Bannister R, Paul EA: Methacholine pupillary responses in third nerve palsy and Adie's syndrome. Brain 105:583, 1982

28. Slamovits TL, Miller RN, Burde RM: Intracranial oculomotor nerve paresis with anisocoria and pupillary parasympathetic hypersensitivity. Am J Ophthalmol 104:401, 1987

29. Jacobson DM: Pupillary responses to dilute pilocarpine in preganglionic 3rd nerve disorders. Neurology 40:804, 1990

30. Franklin AI, Cruz-Flores S, Chung S, et al: Cholinergic supersensitivity associated with inferior division oculomotor nerve palsies. Abstract presented at the 23rd Annual North American Neuro-Ophthalmology Society Meeting, Keystone, CO, February 1997

31. Jampel RS: Representation of the near-response on the cerebral cortex of the Macaque. Am J Ophthalmol 48:573, 1959

32. Mays LE: Neurophysiological correlates of vergence eye movements. In: Schor CM, Ciuffreda KJ (eds): Vergence Eye Movements: Basic and Clinical Aspects. Woburn, MA: Butterworth Publishers, 1983:649–670

33. Kestenbaum A: Clinical Methods of Neuro-Ophthalmologic Examination. New York: Grune & Stratton, 1961:344–357

34. Levatin P: Pupillary escape in disease of the retina or optic nerve. Arch Ophthalmol 62:768, 1959

35. Kawasaki A, Moore P, Kardon RH: Variability of the relative afferent pupillary defect. Am J Ophthalmol 120:622, 1995

36. Enyedi LB, Dev S, Cox TA: A comparison of the Marcus Gunn and alternating light tests for afferent pupillary defects. Ophthalmology 105(5):871–873, 1998

37. Finberg E, Thompson HS: Quantitation of the afferent pupillary defect. In Smith JL (ed): Neuro-Ophthalmology Focus 1980. New York: Masson, 1979:25–29

38. McCormick A, Bhola R, Brown L, et al: Quantifying relative afferent pupillary defects using Sbisa bar. Br J Ophthalmol 86(9):985, 2002

39. Browning DJ, Tiedeman JS: The test light affects quantitation of the afferent pupillary defect. Ophthalmology 94:53, 1987

40. Thompson HS, Jiang MQ: Letter to the editor. Ophthalmology 94:1360, 1987

41. Thompson JS, Corbett JJ, Cox TA: How to measure the relative afferent pupillary defect. Surv Ophthalmol 26:39, 1981

42. Wilhelm H, Wilhelm B: Clinical applications of pupillography. J Neuro-Ophthalmol 23(1):42, 2003

43. Bergamin O, Kardon RH: Latency of the pupil light reflex: Sample rate, stimulus intensity, and variation in normal subjects. Invest Ophthalmol Vis Sci 44:1546, 2003

44. Alford MA, Nerad JA, Carter KD: Predictive value of the initial quantified relative afferent pupillary defect in 19 consecutive patients with traumatic optic neuropathy. Ophthal Plast Reconstr Surg 17(5):323–327, 2001

45. Newman SA, Miller NR: Optic tract syndrome: Neuro-ophthalmologic considerations. Arch Ophthalmol 101:1241, 1983

46. Ellis CJK: Afferent pupillary defect in pineal region tumour. J Neurol Neurosurg Psychiatry 47:739, 1984

47. Johnson RE, Bell RA: Relative afferent pupillary defect in a lesion of the pretectal afferent pupillary pathway. Can J Ophthalmol 22:282, 1987

48. Jiang MQ, Thompson HS: Pupillary defects in retinitis pigmentosa. Am J Ophthalmol 99:607, 1985

49. Thompson HS, Montague P, Cox TA, et al: The relationship between visual acuity, pupillary defect and visual loss. Am J Ophthalmol 93:681, 1982

50. Johnson LN, Hill RA, Bartholomew MJ: Correlation of afferent pupillary defect with visual field loss on automated perimetry. Ophthalmology 95:1649, 1988

51. Thompson HS, Watsky RC, Weinstein JM: Pupillary dysfunction and macular disease. Trans Am Ophthalmol Soc 78:311, 1980

52. Folk JC, Thompson HS, Han DP, et al: Visual function abnormalities and central serous retinopathy. Arch Ophthalmol 102:1299, 1984

53. Han DP, Thompson HS, Folk JC: Differentiation between recently resolved optic neuritis and central serous retinopathy. Arch Ophthalmol 103:394, 1985

54. Servais EG, Thompson HS, Hayreh SS: Relative afferent pupillary defect in central retinal vein occlusion. Ophthalmology 93:301, 1986

55. Portnoy JZ, Thompson HS, Lennarson L, Corbett JJ: Pupillary defects in amblyopia. Am J Ophthalmol 96:609, 1983

56. Greenwald MJ, Folk ER: Afferent pupillary defects in amblyopia. J Pediatr Ophthalmol Strabismus 20:63, 1983

57. Kawasaki A, Moore P, Kardon RH: Long-term fluctuation of relative afferent pupillary defect in subjects with normal visual function. Am J Ophthalmol 22:875, 1996

58. Girkin CA, Perry JD, Miller NR: A relative afferent pupillary defect without any visual sensory defect. Arch Ophthalmol 116(11):1544, 1998

59. Lam BL, Thompson HS: Relative afferent pupillary defect induced by patching. Am J Ophthalmol 107:305, 1989

60. DuBois LG, Sadun AA: Occlusion-induced contralateral afferent pupillary defect. Am J Ophthalmol 107:306, 1989

61. Lam BL, Thompson HS: A unilateral cataract produces a relative afferent pupillary defect in the contralateral eye. Ophthalmology 97:334, 1990

62. Lam BL, Thompson HS, Corbett JJ: The prevalence of simple anisocoria. Am J Ophthalmol 104:69, 1987

63. Loewenfeld IE: “Simple central” anisocoria: A common condition seldom recognized. Trans Am Acad Ophthalmol/Otolaryngol 83:832, 1977

64. Roarty JD, Keltner JL: Normal pupil size and anisocoria in newborn infants. Arch Ophthalmol 108:94, 1996

65. Lam BL, Thompson HS, Walls RC: Effect of light on the prevalence of simple anisocoria. Ophthalmology 103:790, 1996

66. Thompson BM, Corbett JJ, Kline LB, et al: Pseudo-Horner's syndrome. Arch Neurol 39:108, 1982

67. Safran AB, Roth A: Using a slit lamp for the neuroophthalmologic evaluation of old photographs. Am J Ophthalmol 95:558, 1983

68. Caccamise WC, Townes PL: Congenital mydriasis. Am J Ophthalmol 81:515, 1976

69. Seybold ME, Yoss RE, Hollenhorst RW, et al: Pupillary abnormalities associated with tumors of the pineal region. Neurology 21:232, 1971

70. Cahill M, Eustace P, de Jesus V: Pupillary autonomic denervation with increasing duration of diabetes mellitus. Br J Ophthalmol 85(10):1225, 2002

71. Patel JI, Jenkins L, Benjamin L, Webber S: Dilated pupils and loss of accommodation following diode panretinal photocoagulation with sub-tenons local aneasthetic in four cases. Eye 16(5):628, 2002

72. Said G, Goulon-Goeau C, Slama G, Tchobroutsky G: Severe early-onset polyneuropathy in insulin-dependent diabetes mellitus: A clinical and pathological study. N Engl J Med 326(19):1257, 1992

73. Loewenfeld IE: The Argyll Robertson pupil, 1869–1969: A critical survey of the literature. Surv Ophthalmol 14:199, 1969

74. Carrasco JR, Bilyk JR: Primary aberrant oculomotor nerve regeneration from a posterior communicating artery aneurysm. Arch Ophthalmol 120:663, 2002

75. Olsen T, Jakobsen J: Abnormal pupillary function in third nerve regeneration (the pseudo Argyll Robertson pupil): A case report. Acta Ophthalmol 62:163, 1984

76. Kardon RH, Corbett JJ, Thompson HS: Segmental denervation and re-innervation of the iris sphincter as shown by infrared videographic transillumination. Ophthalmology 105:313, 1998

77. Cox TA: Czarnecki's sign as the initial finding in acquired oculomotor synkinesis. Am J Ophthalmol 102:543, 1986

78. Ohno S, Mukumo K: Studies on synkinetic pupillary phenomena resulting from aberrant regeneration of the third nerve. Jpn J Clin Ophthalmol 27:229, 1973

79. Spiegel P, Kardon RH: Features of eye, eyelid and pupil movement critical to the recognition of aberrant regeneration of the oculomotor nerve revealed by infrared and color videography. Abstract presented at the 23rd Annual North American Neuro-Ophthalmology Society Meeting, Keystone, CO, 1997

80. Martinelli P: Holmes-Adie syndrome. Lancet 356:1760, 2000

81. Thompson HS: Adie's syndrome: Some new observations. Trans Am Ophthalmol Soc 75:587, 1977

82. Thompson HS, Bell RA, Bougon P: The natural history of Adie's syndrome. In: Thompson HS, Daroff RB, Frisen L, et al (eds): Topics in Neuro-Ophthalmology. Baltimore: Williams & Wilkins, 1979:96–99

83. Pilley SFJ, Thompson HS: Cholinergic supersensitivity in Adie's syndrome: Pilocarpine vs. mecholyl. Am J Ophthalmol 80:955, 1975

84. Ramsay DA: Dilute solutions of phenylephrine and pilocarpine in the diagnosis of disordered autonomic innervation of the iris. J Neurol Sci 73:125, 1986

85. Leavitt JA, Wyman LL, Hodge DO, Brubaker RF: Pupillary response to four concentrations of pilocarpine in normal subjects: Application to testing for Adie tonic pupil. Am J Ophthalmol 135(3):333, 2002

86. Babikian PV, Thompson HS: Arecoline miosis. Am J Ophthalmol 98:514, 1984

87. Loewenfeld IE, Thompson HS: The tonic pupil: A reevaluation. Am J Ophthalmol 63:46, 1967

88. Harriman DGF, Garland H: The pathology of Adie's syndrome. Brain 91:401, 1968

89. Selhorst JB, Madge G, Ghatak M: The neuropathology of the Holmes-Adie syndrome. Ann Neurol 16:138, 1984

90. Firth AY: Adie syndrome: Evidence for refractive error and accommodative asymmetry as the cause of amblyopia. Am J Ophthalmol 128(1):118, 1999

91. Anzai T, Uematsu D, Takahashi K, Katayama T: Guillian-Barre syndrome with bilateral tonic pupil. Intern Med 33(4):248, 1994

92. Bowie EM, Givre SJ: Tonic pupil and sarcodosis. Am J Ophthalmol 135(3):417, 2003

93. Currie J, Lessell S: Tonic pupil with giant cell arteritis. Br J Ophthalmol 68:135, 1984

94. Bennett JL, Pelak VA, Mourelatos Z, et al: Acute sensorimotor polyneuropathy with tonic pupil and an abduction deficit: An unusual presentation of polyarteritis nodosa. Surv Ophthalmol 43(4):341, 1999

95. Jacome DE: Status migrainosus and Adie's syndrome. Headache 42(8):793, 2002

96. Goldstein SM, Liu GT, Edmond JC, et al: Orbital neural-glial hamartoma associated with a congenital tonic pupil. JAAPOS 6(1):54, 2002

97. Lambert SR, Yang LL, Stone C: Tonic pupil associated with congenital neuroblastoma, Hirschsprung disease, and central hypoventilation syndrome. Am J Ophthalmol 130(2):238, 2000

98. Lucy DD, Van Allen MW, Thompson HS: Holmes-Adie syndrome with segmental hypohidrosis. Neurology 17:763, 1967

99. Spector RH, Bachman DL: Bilateral Adie's tonic pupil with anhidrosis and hyperthermia. Arch Neurol 41:342, 1984

100. Shin RK, Galetta SL, Ting TY, et al: Ross syndrome plus: Beyond Horner, Holmes-Adie, and Harlequin. Neurol 55:1861, 2000

101. Perretti A, Nolano M, De Joanna G, et al: Is Ross syndrome a dysautonomic disorder only? An electrophysiologic and histologic study. Clin Neurophysiol 114(1):7, 2003

102. Kimber J, Mitchell D, Mathias CJ: Chronic cough in the Holmes-Adie syndrome: Association in five cases with autonomic dysfunction. J Neurol Neurosurg Psychiatry 65:583, 1998

103. Esterly NB, Cantolino SJ, Alter BP, et al: Pupillotonia, hyporeflexia, and segmental hypohidrosis: Autonomic dysfunction in a child. J Pediatr 73:852, 1968

104. Goldberg MF, Payne JW, Brunt PW: Ophthalmologic studies of familial dysautonomia: The Riley-Day syndrome. Arch Ophthalmol 80:732, 1968

105. Thompson HS: Pupillary light near dissociation: A new classification. Surv Ophthalmol 19:290, 1975

106. Maitland GC, Scherokman BJ, Schiffman J, et al: Paraneoplastic tonic pupils. J Clin Neuro-Ophthalmol 5:99, 1985

107. Van Lieshout JJ, Wieling W, Van Montfrans GA, et al: Acute dysautonomia associated with Hodgkin's disease. J Neurol Neurosurg Psychiatry 49:830, 1986

108. Bell TAG: Adie's tonic pupil in a patient with carcinomatous neuromyopathy. Arch Ophthalmol 104:331, 1986

109. Bruno MK, Winterkorn JM, Edgar MA, et al: Unilateral Adie pupil as sole ophthalmic sign of anti-Hu paraneoplastic syndrome. J Neuro-Ophthalmol 20(4):248, 2000

110. Keanen JR: Tonic pupils with acute ophthalmoplegic polyneuritis. Ann Neurol 2:393, 1977

111. Igarashi Y, Takeda M, Maekawa H, et al: Fisher's syndrome without total ophthalmoplegia. Ophthalmologica 205(3):163, 1992

112. Bachmeyer C, Zuber M, Dupont S, et al: Adie syndrome as the initial sign of primary Sjogren syndrome. Am J Ophthalmol 123(5):691, 1997

113. Sundaram MBM: Pupillary abnormalities in congenital neurosyphilis. Can J Neurol Sci 12:134, 1985

114. Fletcher WA, Sharpe JA: Tonic pupils in neurosyphilis. Neurology 36:188, 1986

115. Wirtschafter JD, Horman WK: Low concentration eserine therapy for the tonic pupil (Adie) syndrome. Ophthalmology 87:1037, 1980

116. Thompson HS: Discussion of Wirtschafter JD, Herman WK: Low concentration eserine therapy for the tonic pupil. Ophthalmology 87:1043, 1980

117. Chou SY, Digre KB: Neuro-ophthalmic complications of raised intracranial pressure, hydrocephalus, and shunt malfunction. Neurosurg Clin N Am 10(4):587, 1999

118. Kitthaweesin K: Upgaze paralysis as the initial manifestation of HIV-infected patient: A case report. J Med Assoc Thai 85(6):728, 2002

119. Deramo VA, Jayamanne GR, Auerbach DB, Danes-Meyer H: Acute bilateral ophthalmoplegia in a young woman. Surv Ophthalmol 44(6):513, 2000

120. Salisachs P, Lapresle J: Argyll-Robertson pupils in the neural type of Charcot-Marie-Tooth disease. Eur Neurol 16(1–6):172, 1977

121. Said G, Goulon-Goeau C, Slama G, Tchbioutsky G: Severe early-onset polyneuropathy in insulin dependent diabetes mellitus: A clinical and pathological study. N Engl J Med 326(19):1257, 1992

122. Kirkham TH, Kline LB: Monocular elevator paresis, Argyll–Robertson pupils and sarcoidosis. Can J Ophthalmol 11(4):330, 1976

123. Van der Wiel H: Johann Friedrich Horner (1831–1886). J Neurol 249:636, 2002

124. Lapore FE: Enophthalmos and Horner's syndrome. Arch Neurol 40:460, 1983

125. Van der Wiel HL, Van Gijn J: Letter to the editor: No enophthalmos in Horner's syndrome. J Neurol Neurosurg Psychiatry 50:498, 1987

126. Smith SA, Smith SE: Bilateral Horner's syndrome: Detection and occurrence. J Neurol Neurosurg Psychiatry 66:48, 1999

127. Makley MA, Abbott K: Neurogenic heterochromia: A report of an interesting case. Am J Ophthalmol 59:927, 1965

128. Diesenhouse MC, Palay DA, Newman NJ, et al: Acquired heterochromia with Horner's syndrome in two adults. Ophthalmology 99:1815, 1992

129. Thompson HS, Mensher JM: Adrenergic mydriasis of Horner's syndrome: Hydroxyamphetamine test for diagnosis of postganglionic defects. Am J Ophthalmol 72:472, 1971

130. Kardon RH, Dennison CE, Brown CK, et al: Critical evaluation of the cocaine test in the diagnosis of Horner's syndrome. Arch Ophthalmol 108:384, 1990

131. Wilhelm H, Ochsner H, Kopycziok E, et al: Horner's syndrome: A retrospective analysis of 90 cases and recommendation for clinical handling. J Ophthalmol 1:76, 1992

132. Jacobson DM, Berg R, Grinstead GF, Kruse JR: Duration of positive urine for cocaine metabolite after ophthalmic administration: Implications for testing patients with suspected Horner syndrome using ophthalmic cocaine. Am J Ophthalmol 13(6):742, 2001

133. Cremer SA, Thompson HS, Digre KB, Kardon RH: Hydroxyamphetamine mydriasis in normal subjects. Am J Ophthalmol 110(1):66, 1990

134. Cremer SA, Thompson HS, Digre KB, et al: Hydroxyamphetamine mydriasis in Horner's syndrome. Am J Ophthalmol 110(1):71, 1990

135. Grimson BS, Thompson HS: Drug testing in Horner's syndrome. In Glaser JS, Smith JL (eds): Neuro-Ophthalmology Symposium,vol 8. St. Louis: CV Mosby, 1975:265–270

136. Morrison DA, Biddy K, Woodruff G: The “harlequin” sign and congenital Horner's syndrome. J Neurol Neurosurg Psychiatry 62(6):626, 1997

137. Weinstein JM, Zweifel TJ, Thompson HS: Congenital Horner's syndrome. Arch Ophthalmol 98:1074, 1980

138. Donahue SP, Lavin PJ, Digre K: False-negative hydroxyamphetamine (Paredrine) test in acute Horner's syndrome. Am J Ophthalmol 122:900, 1996

139. Moster ML, Galiani D, Garfinkle W: False negative hydroxyamphetamine test in Horner syndrome caused by acute internal carotid artery dissection. J Neuro-Ophthalmol 23(1):22, 2003

140. Wilhelm H, Schaffer E: Pholedrine for determining the site of Horner's syndrome. Klin Monatsbl Augenheilk 204:169, 1994

141. Bates AT, Chamberlain SY, Champion M, et al: Pholedrine: A substitute for hydroxyamphetamine as a diagnostic eyedrop test in Horner's syndrome. J Neurol Neurosurg Psychiatry 58:215, 1995

142. Smith SA, Smith SE: Reduced pupillary light reflexes in diabetic autonomic neuropathy. Diabetica 24(5):330, 1983

143. Stone WM, de Toledo J, Romanul FCA: Horner's syndrome due to hypothalamic infarction: Clinical radiologic and pathologic correlation. Arch Neurol 43:199, 1986

144. Schiffter R: Letter to the editor: Telodiencephalic ischemic syndrome. Arch Neurol 44:1218, 1987

145. Schiffter R, Reinhart K: The telodiencephalic ischemic syndrome. J Neurol 222:265, 1980

146. Kori SH, Foley KM, Posner JB: Brachial plexus lesions in patients with cancer: 100 cases. Neurology 31:45, 1981

147. Yang PT, Seeger JF, Carmody RF, et al: Horner's syndrome secondary to traumatic pseudoaneurysms. Am J Neuroradiol 7:913, 1986

148. Teich SA, Halprin SL, Tay S: Horner's syndrome secondary to Swan-Ganz catheterization. Am J Med 78:168, 1985

149. O'Doherty DS, Green JB: Diagnostic value of Horner's syndrome in thrombosis of the carotid artery. Neurology 111:842, 1958

150. Mokri B, Sundt TMJr , Houser OW: Spontaneous internal carotid dissection, hemicrania, and Horner's syndrome. Arch Neurol 36:877, 1979

151. Kline LB, Vitek JJ, Raymon BC: Painful Horner's syndrome due to spontaneous carotid artery dissection. Ophthalmology 94:226, 1987

152. Francis KR, Williams DP, Troost BT: Facial numbness and dyesthesia: New features of carotid artery dissection. Arch Neurol 44:345, 1987

153. Bougousslavsky J, Deepland PA, Regli F: Spontaneous carotid dissection with acute stroke. Arch Neurol 44:137, 1987

154. Biousse V, Touboul P-J, D'Anglejan-Chatillon J, et al: Ophthalmoplegic manifestations of internal carotid artery dissection. Am J Ophthalmol 126(4):565, 1998

155. Goldberg HI, Grossman RI, Gomori JM, et al: Cervical internal carotid artery dissecting hemorrhage: Diagnosis using MR. Radiology 158:157, 1986

156. Assaf M, Sweeney PJ, Kosmorsky G, et al: Horner's syndrome secondary to angiogram negative, subadventitial carotid artery dissection. Can J Neurol Sci 20:62, 1993

157. Reader ALIII , Massey EW: Fibromuscular dysplasia of the carotid artery: A cause of congenital Horner's syndrome? Ann Ophthalmol 12:326, 1980

158. Jeffrey AR, Ellis FJ, Repka MX, Buncic JR: Pediatric Horner syndrome. J AAPOS 2(3):129, 1998

159. Ryan FH, Kline LB, Gomez C: Congenital Horner's syndrome resulting from agenesis of the internal carotid artery. Ophthalmol 107(1):185, 2000

160. Muira J, Doita M, Miyata K, et al: Horner's syndrome caused by a thoracic dumbbell-shaped schwannoma: Sympathetic chain reconstruction after a one-stage removal of the tumor. Spine 28(2):E33, 2003

161. Gilmer-Hill HS, Kline DG: Neurogenic tumors of the cervical vagus nerve: Report of four cases and review of the literature. Neurosurgery 46(6):1498, 2000

162. Moukheiber AK, Nicollas R, Roman S, et al: Primary pediatric neuroblastic tumors of the neck. J Pediatr Otorhinolaryngol 60(2):155, 2001

163. George ND, Gonzalez G, Hoyt CS: Does Horner's syndrome in infancy require investigation. Br J Ophthalmol 82(1):51, 1998

164. Birchler MT, Landau K, Went PT, Stoeckli SJ: Paraganglioma of the cervical sympathetic trunk. Ann Otol Rhinol Laryngol 111(12 Pt 1):1087, 2002

165. Moyer JS, Bradford CR: Sympathetic paraganglioma as an unusual cause of Horner's syndrome. Head Neck 23(4):338, 2001

166. Leone A, Cerase A, Tarquini E, Mule A: Chordoma of the low cervical spine presenting with Horner's syndrome. Eur Radiol Suppl 4:S43, 2002

167. Bell RL, Atweh N, Ivy ME, Possenti PA-C: Traumatic and iatrogenic Horner syndrome: Case reports and review of literature. J Trauma 51(2):400, 2001

168. Ringer AJ, Fessler RD, Qureshi AI, et al: Horner's syndrome after carotid artery stenting: Case report. Surg Neurol 54(6):439, 2000

169. Taskapan H, Oymak O, Dogukan A, Utas C: Horner's syndrome secondary to internal jugular catheterization. Clin Nephrol 56(1):78, 2001

170. Perry C, James D, Wixon C, et al: Horner's syndrome after carotid endarterectomy: A case report. Vasc Surg 35(4):325, 2001

171. Kerrison JB, Biousse V, Newman NJ: Isolated Horner's syndrome and syringomyelia. J Neurol Neurosurg Psychiatry 69(1):131, 2000

172. Parkinson D: Bernard Mitchell, Horner's syndrome and others? Surg Neurol 11:221, 1979

173. Abad JM, Alvarez F, Munoz J, et al: Un sindrome neurologico no reconocido: Paralisis del sexto par y sindrome de Bernard Horner's debido a lesiones traumaticas intracavernosas. Rev Clin Esp 165:135, 1982

174. Gutman I, Levartovski S, Goldhammer Y, et al: Sixth nerve palsy and unilateral Horner's syndrome. Ophthalmology 93:913, 1986

175. Havelius ULF, Hindfelt B: Minor vessels leaving the extracranial internal carotid artery: Possible clinical implications. Neuro-Ophthalmology 5:51, 1985

176. Grimson BS, Thompson HS: Raeder's syndrome: A clinical review. Surg Ophthalmol 24:199, 1980

177. Grimson BS, Thompson HS: Drug testing in Horner's syndrome. In: Glaser JS, Smith JL (eds): Neuro-Ophthalmology Symposium, vol 8. St Louis: CV Mosby, 1975:265–270

178. Giles CL, Henderson JW: Horner's syndrome: An analysis of 216 cases. Am J Ophthalmol 46:289, 1958

179. Grimson BS, Thompson HS: Horner's syndrome: Overall view of 120 cases. In: Thompson HS, Daroff RB, Frisen L, et al (eds): Topics in Neuro-Ophthalmology. Baltimore: Williams & Wilkins, 1979:151–156

180. Keane JR: Oculosympathetic paresis: Analysis of 100 hospitalized patients. Arch Neurol 36:13, 1979

181. Maloney WF, Younge BR, Moyer NJ: Evaluation of the causes and accuracy of pharmacologic localization in Horner's syndrome. Am J Ophthalmol 90:394, 1980

182. Musarella MA, Chan HS, deBoer G, et al: Ocular involvement—Neuroblastoma: Prognostic implications. Ophthalmology 91:936, 1984

183. Sauer T, Levinsohn M: Horner's syndrome in childhood. Neurology 26:216, 1976

184. Woodruff G, Buncic JR, Morin JD: Horner's syndrome. J Pediatr Ophthalmol Strabismus 25:40, 1988

185. Digre KB, Smoker WRK, Johnston P, et al: Selective MR imaging approach for evaluation of patients with Horner's syndrome. Am J Neuroradiol 13:223, 1992

186. Lee AG, Hayman LA, Tang RA, et al: An imaging guide for Horner's syndrome. Int J Neuroradiol 2:196, 1996

187. Rayatt S, Khanna A: Unilateral mydriasis during blepharoplasty (Letter). Br J Plastic Surg 54(7):648, 2001

188. Berger I, Steinberger A, Schlesinger Y, et al: Neonatal mydriasis: Intravenous lidocaine adverse reaction. J Child Neurol 17(5):400, 2002

189. Bond DW, Vyas H, Venning HE: Mydriasis due to self-administered inhaled ipratopium bromide. Eur J Pediatr 161(3):178, 2002

190. Havelius U, Asman P: Accidental mydriasis from exposure to Angel's trumpet (Datura suaveolens). Acta Ophthalmol Scand 80(3):332, 2002

191. Atabek ME, Aydin K, Erkul I: Different clinical features of amitraz poisoning in children. Hum Exper Toxicol 21:13, 2002

192. Burns JD, Muller LT, Jenkins PF, Gunderson CA: Unilateral mydriasis associated with exposure to flea spray. Arch Ophthalmol 120(5):665, 2002

193. Ulukaya S, Demirag K, Moral AR: Acute amitraz intoxication in human. Intensive Care Med 27:930, 2001

194. Yilmaz HL, Yildizdas DR: Amitraz poisoning, an emerging problem: Epidemiology, clinical features, management, and preventive strategies. Arch Dis Child 88(2):130, 2003

195. Velhurst L, Waggie Z, Hatherill M, et al: Presentation and outcome of severe anticholinesterase insecticide poisoning. Arch Dis Child 86(5):352, 2002

196. Lepore FE: Letter to the editor: More on cycloplegia from transdermal scopolamine. N Engl J Med 307:284, 1982

197. Verdier D, Kennerdell J: Letter to the editor: Fixed dilated pupil resulting from transdermal scopolamine. Am J Ophthalmol 93:803, 1982

198. Johnson SF, Moore RJ: Transderm pupil and confusion in a 10 year old. Ann Neurol 13:583, 1983

199. Thompson HS, Newsome DA, Loewenfeld IE: The fixed dilated pupil: Sudden iridoplegia or mydriatic drops? A simple diagnostic test. Arch Ophthalmol 86:21, 1971

200. American Hospital Formulary Source (AHFS), American Society of Health Systems Pharmacies. Bethesda, MD: AHFS, 2003:2682–2694

201. Bartlett J, James SD: Clinical Ocular Pharmacology, 4th ed. Boston: Butterworth Heinemann, 2001:135–148, 149–166

202. Monteiro ML, Ulrich RF, Imes RK, et al: Iron mydriasis. Am J Ophthalmol 97:794, 1984

203. Lam S, Beck RW, Hall D, et al: Atonic pupil after cataract surgery. Ophthalmology 96:589, 1989

204. Minasian M, Ayliffe W: Fixed dilated pupil following deep lamellar keratoplasty (Urrets–Zavalia syndrome). Br J Ophthalmol 86(1):115, 2002

205. Geerling G, Neppert B, Wirbelauer C, Laqua H: Relative mydriasis after photorefractive keratotomy. J Refract Surg 16(1):69, 2000

206. Hallett M, Cogan DG: Episodic unilateral mydriasis in otherwise normal patients. Arch Ophthalmol 84:130, 1970

207. Thompson HS, Zackon DH, Czarnecki JSC: Tadpole-shaped pupils caused by segmental spasm of the iris dilator muscle. Am J Ophthalmol 96:467, 1983

208. Edelson RN, Levy DE: Transient benign unilateral pupillary dilation in young adults. Arch Neurol 31:12, 1974

209. Woods D, O'Connor PS, Fleming R: Episodic unilateral mydriasis and migraine. Am J Ophthalmol 98:229, 1984

210. Purvin VA: Adie's tonic pupil secondary to migraine. J Neuro-Ophthalmol 15:43, 1995

211. Miller NR: Intermittent pupillary dilation in a young woman: Comments by Keltner JL, Gittinger JW Jr , Burde RM. Surv Ophthalmol 31:65, 1986

212. Jacobson DM: Benign episodic unilateral mydriasis-clinical characteristics. Ophthalmology 102:1623, 1995

213. Kline LB, McCluer SM, Bonikowski FP: Oculosympathetic spasm with cervical spinal cord injury. Arch Neurol 41:61, 1984

214. Pant SS, Benton JW, Dodge PR: Unilateral pupillary dilatation during and immediately following seizures. Neurology 16:337, 1966

215. Gadoth N, Margalith D, Bechar M: Unilateral pupillary dilatation during focal seizures. J Neurol 225:227, 1981

216. Zee DS, Griffin J, Price DL: Unilateral pupillary dilatation during adversive seizures. Arch Neurol 30:403, 1974

217. Chia JK, Clark JB, Ryan GA, et al: Botulism in an adult associated with food-borne intestinal infection with clostridium botulinum. N Engl J Med 315:239, 1986

218. Tyler HR: Botulism. Arch Neurol 9:652, 1963

219. Cherington M: Botulism: Ten-year experience. Arch Neurol 30:432, 1974

220. Dagi LR, Chrousos GA, Cogan DC: Spasm of the near reflex associated with organic disease. Am J Ophthalmol 103:582, 1987

221. Tijssen CC, Goor C, Van Woerkom TCAM: Spasm of the near reflex: Functional or organic disorder? Neuro-Ophthalmology 3:59, 1983

222. Safran AB, Roth A, Gauthier G: Le syndrome des spasmes de convergence “plus.” Klin Monatsbl Augenheilkd 108:471, 1982

223. Maddalena MA: Transient myopia associated with acute glaucoma and retinal edema. Arch Ophthalmol 80:186, 1968

224. Dangel ME, Weber PA, Leier CB: Transient myopia following isosorbide dinitrate. Ann Ophthalmol 15:1156, 1983

Back to Top