最新公告:

  没有公告

您现在的位置: 心灵之窗-眼科医生网 >> 眼科知识 >> 眼科医生 >> 病例探讨 >> 正文
专题栏目
更多内容
相关文章
更多内容
协和病例:Crouzon综合征         ★★★
协和病例:Crouzon综合征
作者:睢瑞芳 文章来源:协和眼科 点击数:8073 更新时间:2004/4/4 20:51:25

母子二人特殊的面部特征

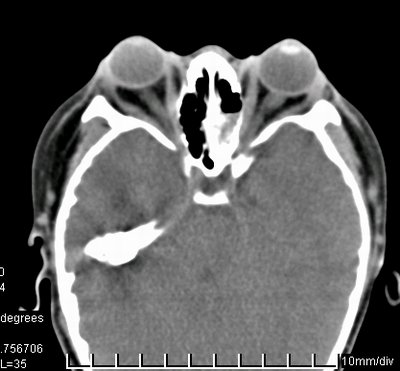
儿子的CT扫描

Crouzon综合征,有名颅面骨发育不全(Craniofacial dysostosis),1912年由法国医生Crouzon首次报道,是颅骨骨缝早闭所致。外国文献报道,患病率1/3000。
临床表现:突眼、眼眶浅、“鹦鹉鼻”、反咬颌、鼻咽狭窄、视神经孔窄、头颅畸形。可同时伴视神经萎缩、青光眼、白内障。
分子遗传学:成纤维细胞生长因子受体基因突变,常染色体显性遗传,可由新发突变导致。
我院眼科拟行分子遗传学研究(欢迎外院病人加入)。脑外、整形、口腔、眼科讨论手术方案。

欢迎联系。睢大夫Email:hrfsui@yahoo.com

眼科资讯录入:毛进    责任编辑:毛进 
  • 上一篇眼科资讯:

  • 下一篇眼科资讯:
  • 【字体: 】【发表评论】【加入收藏】【告诉好友】【打印此文】【关闭窗口
      网友评论:(只显示最新10条。评论内容只代表网友观点,与本站立场无关!)

    | 设为首页 | 加入收藏 | 联系站长 | 友情链接 | 版权申明 |
    眼科医生网 眼科医生网版权所有 @ 1998-2012
    部分文章和资源来源于网络,如果侵犯了您的版权,请指出! 站长:毛进
    信息产业部备案
    *京ICP备18030162号