最新公告:

  没有公告

您现在的位置: 心灵之窗-眼科医生网 >> 眼科知识 >> 眼科医生 >> 病例探讨 >> 正文
专题栏目
更多内容
相关文章
更多内容
[组图]斑点状内层脉络膜炎一例         
斑点状内层脉络膜炎一例
作者:王立平  … 文章来源:本站论坛 点击数:6680 更新时间:2005/2/22 22:39:10

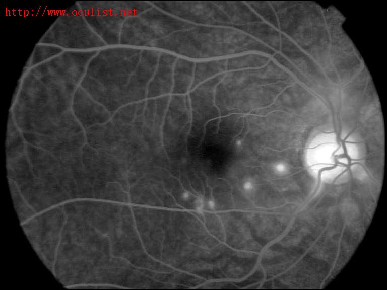
    斑点状内层脉络膜炎主要累及有近视的年轻女性(年龄从18至37岁)平均屈光度数- 6.50D,该症累及单或双眼,无前房及玻璃体内的炎症表现,病变局限于内层脉络膜,大小直径约100—300um,通常病灶数多达2—50个,分布于后极部,典型病灶的FA显示早期低荧光,后期荧染,临床病程常在4至6周,视网膜下积液会自行吸收,并遗留下RPE改变,罕见CNV、纤维化或斑痕化。

  一般资料

   一位女患者,28岁,高度近视(双眼- 7.0D),2003年5月份发病,主诉右眼前黑影,伴视力下降,到同仁医院就诊,诊断为APMPPE,治疗经过不详,一月后视力逐渐恢复,9月份旧病复发来我院就诊。

  检查及病程

    患者双眼视力VD0.04, VS0.08, 眼底检查可见黄斑区数个黄色圆点状视网膜色素上皮 (RPE)病变,(图1)2003年9月17日用日本拓普康数字化处理系统造影机做眼底血管造影,FA显示右眼黄斑鼻侧及下侧早期可见数个颗粒状低荧光,随时间延长,荧光增强,晚期呈强荧光,但并无荧光渗漏,未见 (CNV),经改善微循环,营养视网膜治疗,2月后患者逐渐恢复,双眼视力一直保持稳定,视力VD0.06, VS0.08,矫正视力VD0.8, VS0.8。

   讨论

  对这位患者的鉴别诊断包括:多发病灶性脉络炎(MFC), 近视性视网膜变性,急性多发性后极部鳞状色素上皮病变(APMPPE),结合该患者的视力,眼底表现(病灶大小和深度),玻璃体内无细胞,患者的年龄与性别以及疾病发展过程和FA表现等各方面因素来看,均支持斑点状内层脉络膜炎。在疾病的治疗方面目前尚无定论,可选择对患者观察、随访,口服或局部应用激素和营养药物,斑点状内层脉络炎愈后通常较好,因为疾病往往有自限性,病程发展4至6周后有自愈倾向,但可反复发作。

按此在新窗口浏览图片



按此在新窗口浏览图片


按此在新窗口浏览图片

眼科资讯录入:毛进    责任编辑:毛进 
  • 上一篇眼科资讯:

  • 下一篇眼科资讯:
  • 【字体: 】【发表评论】【加入收藏】【告诉好友】【打印此文】【关闭窗口
      网友评论:(只显示最新10条。评论内容只代表网友观点,与本站立场无关!)

    | 设为首页 | 加入收藏 | 联系站长 | 友情链接 | 版权申明 |
    眼科医生网 眼科医生网版权所有 @ 1998-2012
    部分文章和资源来源于网络,如果侵犯了您的版权,请指出! 站长:毛进
    信息产业部备案
    *京ICP备18030162号