最新公告:

  没有公告

您现在的位置: 心灵之窗-眼科医生网 >> 眼科知识 >> 眼科医生 >> 病例探讨 >> 正文
专题栏目
更多内容
相关文章
更多内容
[组图]边缘性角膜变性——诊断和治疗       ★★★
边缘性角膜变性——诊断和治疗
作者:罗岩 文章来源:本站原创 点击数:9520 更新时间:2004/10/20 23:27:32

[讨论]边缘性角膜变性——诊断和治疗

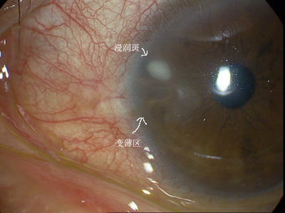
左眼裂隙灯下所见,病变集中在鼻侧。



此主题相关图片如下:
按此在新窗口浏览图片

加荧光素后蓝光下照片


此主题相关图片如下:
按此在新窗口浏览图片

右眼照片,鼻侧有陈旧病变痕迹。


此主题相关图片如下:
按此在新窗口浏览图片

病史:

男性,60岁

双眼反复红,畏光,流泪十余年

每次发病时主要感觉眼红,畏光,流泪,视力尚无影响。一般是反复,双眼交替发作。有时感觉诱因是感冒,有时诱因不明显。最初未治疗,戴墨镜,休息几天后自行好转。今年发作程度重,频繁(2个月就发作一次),持续时间长。

查体:视力双眼0.8,眼压正常。左眼鼻侧球结膜充血,鼻侧角膜缘有新生血管长入,局部有2个条形角膜变薄区,其上方有一个灰白色浸润灶,变薄区和浸润灶表面均无荧光素染色。右眼结膜不充血,鼻侧角膜缘也有变薄区,无浸润灶。

请大家讨论:

1,疾病诊断

2,治疗方法

 

边缘性角膜炎——诊断和治疗

近期门诊遇到的一个病人

年轻女性,双眼近半年来反复红,畏光,流泪,加重2天。

查:视力双眼1.0,右眼下方球结膜充血,接近角膜缘处更明显,有新生血管向角膜缘内长入,周边角膜尚透明,有点状荧光素染色。


此主题相关图片如下:
按此在新窗口浏览图片

给与0.5%强的松龙滴眼液,右眼,4/日;贝复舒滴眼液,右眼,4/日。治疗4天后复查,右眼情况无好转,左眼又出现类似情况。

请大家讨论:

1,诊断

2,治疗

进一步详情请访问眼科医生专业论坛

http://www.oculist.net/bbs/dispbbs.asp?boardID=3&ID=18552&page=1

http://www.oculist.net/bbs/dispbbs.asp?boardID=3&ID=18556&page=1

眼科资讯录入:毛进    责任编辑:毛进 
  • 上一篇眼科资讯:

  • 下一篇眼科资讯:
  • 【字体: 】【发表评论】【加入收藏】【告诉好友】【打印此文】【关闭窗口
      网友评论:(只显示最新10条。评论内容只代表网友观点,与本站立场无关!)

    | 设为首页 | 加入收藏 | 联系站长 | 友情链接 | 版权申明 |
    眼科医生网 眼科医生网版权所有 @ 1998-2012
    部分文章和资源来源于网络,如果侵犯了您的版权,请指出! 站长:毛进
    信息产业部备案
    *京ICP备18030162号