最新公告:

  没有公告

您现在的位置: 心灵之窗-眼科医生网 >> 眼科知识 >> 眼科专业 >> 最新动态 >> 正文
专题栏目
更多内容
相关文章
更多内容
[组图]优秀眼底图片奖网上评选活动启动         ★★★
优秀眼底图片奖网上评选活动启动
作者:编辑部 文章来源:眼底病论坛http://www.coretina.com/ 点击数:8828 更新时间:2008/6/8 18:49:12

优秀眼底图片奖网上评选活动启动
  点击下载评比选票 
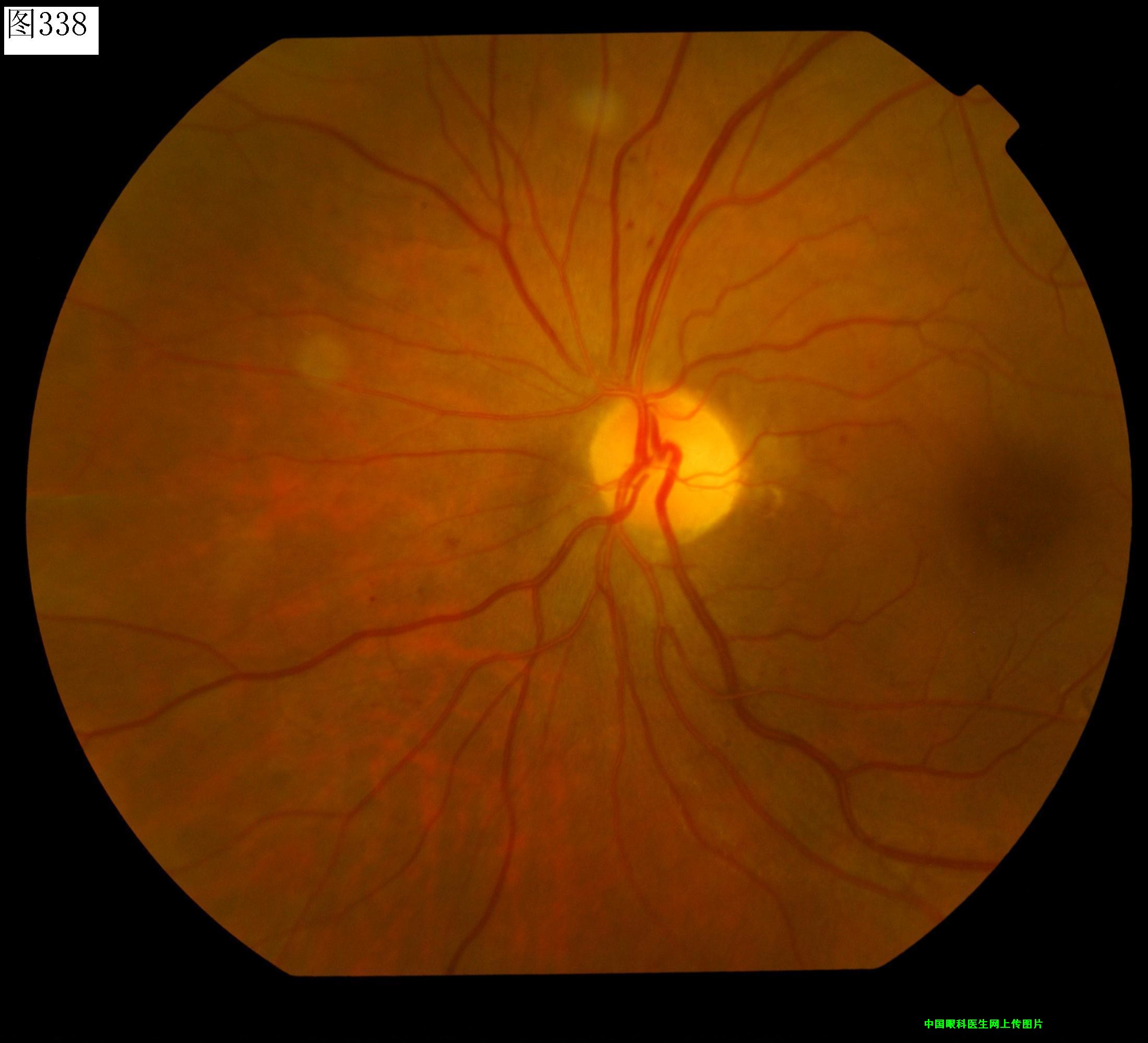
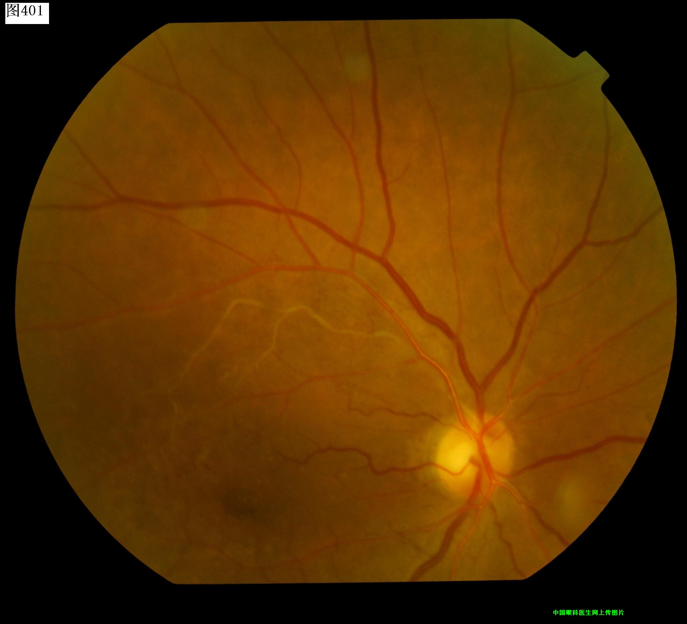
  优秀眼底图片奖应征作品展示  
1 2 3 4
5 6 7 8
9 10 11 12
13 14 15 16
17 18 19 20
21 22 23 24
25 26 27 28
29 30 31 32
33 34 35 36
37 38 39 40
41 42 43 44
45 46 47 48
49 50 51 52
53 54 55 56
57 58 59 60
61 62 63 64
65 66 67 68
69 70 71 72
73 74 75 76
77 78 79 80
81 82 83 84
85 86 87 88
89 90 91 92
93 94 95 96
97 98 99 100
101 102 103 104
105 106 107 108
109 110 111 112
113 114 115 116
117 118 119 120
121 122 123 124
125 126 127 128
129 130 131 132
133 134 135 136
137 138 139 140
141 142 143 144
145 146 147 148
149 150 151 152
153 154 155 156
157 158 159 160
161 162 163 164
165 166 167 168
169 170 171 172
173 174 175 176
177 178 179 180
181 182 183 184
185 186 187 188
189 190 191 192
193 194 195 196
197 198 199 200
201 202 203 204
205 206 207 208
209 210 211 212
213 214 215 216
217 218 219 220
221 222 223 224
225 226 227 228
229 230 231 232
233 234 235 236
237 238 239 240
241 242 243 244
245 246 247 248
249 250 251 252
253 254 255 256
257 258 259 260
261 262 263 264
265 266 267 268
269 270 271 272
273 274 275 276
277 278 279 280
281 282 283 284
285 286 287 288
289 290 291 292
293 294 295 296
297 298 299 300
301 302 303 304
305 306 307 308
309 310 311 312
313 314 315 316
317 318 319 320
321 322 323 324
325 326 327 328
329 330 331 332
333 334 335 336
337 338 339 340
341 342 343 344
345 346 347 348
349 350 351 352
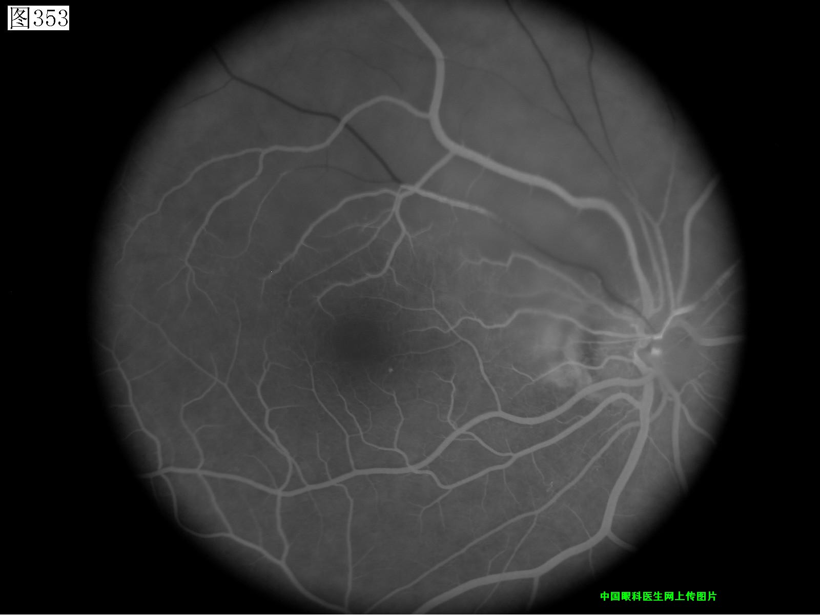
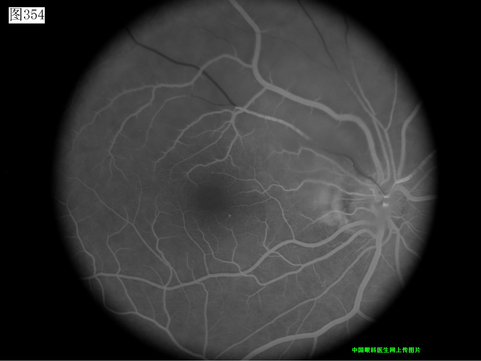
353 354 355 356
357 358 359 360
361 362 363 364
365 366 367 368
369 370 371 372
373 374 375 376
377 378 379 380
381 382 383 384
385 386 387 388
389 390 391 392
393 394 395 396
397 398 399 400
401 402 403 404
405 406 407 408
409 410 411 412
413 414 415 416
417 418 419 420
421 422 423 424
425 426 427 428
429 430 431 432
433

434

435 436
437 438 439 440
441 442 443 444
445 446 447 448
449 450 451 452
     
453      

眼科资讯录入:毛进    责任编辑:毛进 
  • 上一篇眼科资讯:

  • 下一篇眼科资讯:
  • 【字体: 】【发表评论】【加入收藏】【告诉好友】【打印此文】【关闭窗口
      网友评论:(只显示最新10条。评论内容只代表网友观点,与本站立场无关!)

    | 设为首页 | 加入收藏 | 联系站长 | 友情链接 | 版权申明 |
    眼科医生网 眼科医生网版权所有 @ 1998-2012
    部分文章和资源来源于网络,如果侵犯了您的版权,请指出! 站长:毛进
    信息产业部备案
    *京ICP备18030162号