|
|
 |
专题栏目 |
 |
 |
相关文章 |
 |
|
|
|
|
 |
[组图]角结膜上皮内肿瘤(Bowen病) |
热 ★★★ |
|
| 角结膜上皮内肿瘤(conjunctiva-cornea intraepithelial neoplasia,CCIN ), |
|
作者:gl6365医… 文章来源:丁香园 www.dxy.cn 点击数:11115 更新时间:2008/3/31 22:03:35
|
|
| 1.【角膜病讨论】看图识病----Bowen病 |
Copy to clipboard |
Posted by: gl6365 Posted on: 2008-02-05 09:12
老年男性,左眼略有不适来诊,否认外伤,以前也没有因此就医。 结膜除局部充血外,没有异常增生或隆起;角膜如图,表面没有着色,轻度隆起,KP(-)。病人有酒糟鼻。
 (缩略图,点击图片链接看原图) |
| 2.Re:【角膜病讨论】看(角膜)图识病? [Re: gl6365] |
Copy to clipboard |
Posted by: gl6365 Posted on: 2008-02-05 09:13
裂隙灯下所见
|
| 3.Re:【角膜病讨论】看(角膜)图识病? [Re: gl6365] |
Copy to clipboard |
Posted by: seven_daffodil Posted on: 2008-02-05 12:30
Terrien角膜变性。应当染一下色,Terrien的角膜上皮正常,不着色 |
| 4.Re:【角膜病讨论】看(角膜)图识病? [Re: gl6365] |
Copy to clipboard |
Posted by: nokia3220 Posted on: 2008-02-05 12:42
蚕食性角膜溃疡眼部刺激症状较重,如果没有其他严重的症状,我看还是考虑沙眼引起的角膜病变,或者存在角膜营养不良的诱因 |
| 5.Re:【角膜病讨论】看(角膜)图识病? [Re: gl6365] |
Copy to clipboard |
Posted by: 红泥煮酒 Posted on: 2008-02-05 17:52
是不是卡他性边缘性角膜溃疡(marginal catarrhal ulcers) ,也叫葡萄球菌性边缘性角膜炎,由Ⅲ型变态反应引起,由葡萄球菌细胞膜抗原或其外毒素和来自结膜血管的抗体结合而发生的边缘性角膜浅层浸润,常见于酒糟鼻,脂溢性皮炎,干眼症患者.
诊断要点: 1 多见于老年人,常伴睑缘炎,卡他性结膜炎. 2 角膜溃疡呈单个或多个灰白色浅层角膜基质浸润,逐渐形成溃疡.多位于下方. 3 溃疡的纵轴和角巩缘平行,和角巩缘有1-2毫米的正常角膜透明区间隔. 4.结膜囊细菌培养多阳性,除葡萄球菌外,或有肺炎双球菌,链球菌及大肠杆菌等. |
| 6.Re:【角膜病讨论】看(角膜)图识病? [Re: gl6365] |
Copy to clipboard |
Posted by: linder88 Posted on: 2008-02-05 19:42
有些书上也叫酒糟鼻性角膜炎,边缘性角膜溶解的一种,典型者见于中老年人下部角膜,可见浅层或深层血管,可扩展为基质浸润, 鼻部见肥大性酒糟鼻, 睑缘炎(如图上眼睑边缘扩张的毛细血管)和睑板腺囊肿. |
| 7.Re:【角膜病讨论】看(角膜)图识病? [Re: gl6365] |
Copy to clipboard |
Posted by: gl6365 Posted on: 2008-02-09 06:01
还请大家仔细看图,鼻侧角膜并没有溃疡,更没有局部变薄,而是轻度扁平隆起,再重申一下整个角膜没有染色。 |
| 8.Re:【角膜病讨论】看(角膜)图识病? [Re: gl6365] |
Copy to clipboard |
Posted by: rococulist Posted on: 2008-02-10 00:15
酒糟鼻伴发的睑板腺功能不良引起的角膜病变。 高教授的这一例较靠周边角膜,还好些。前几天见了个该病病例,在角膜偏中心,并有溃疡,在中国北方最大的眼科,诊断为“真菌性角膜炎”治了半年,越来越重。换医院确诊+治疗,一月便大有好转。 请看图中,睑板腺有问题:
|
| 9.Re:【角膜病讨论】看(角膜)图识病? [Re: gl6365] |
Copy to clipboard |
Posted by: gl6365 Posted on: 2008-02-11 17:26
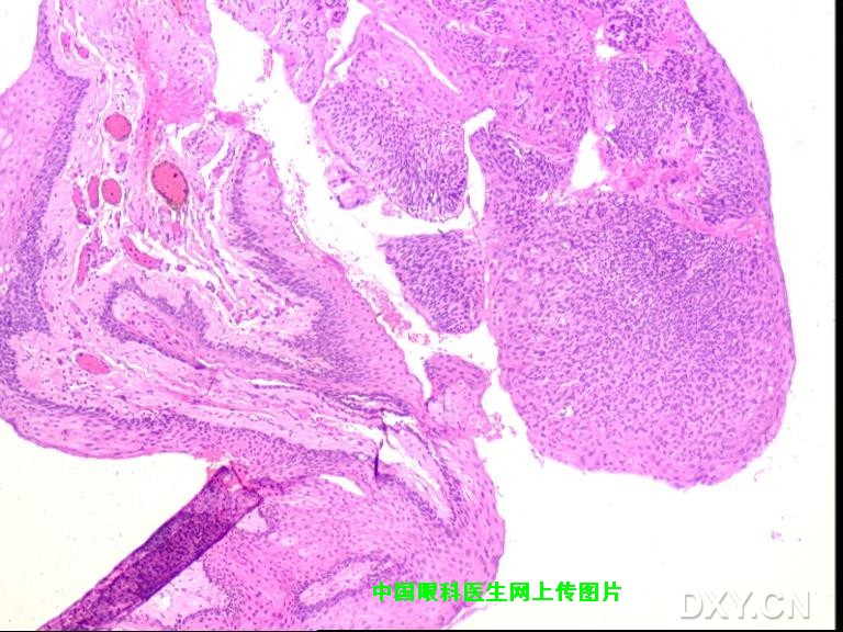
该病人的确存在睑板腺功能不良,并且除局部眼药外,也给与口服抗生素。给大家一个线索,查查文献是否为角结膜上皮内上皮癌,又名BOWEN病? |
| 10.Re:【角膜病讨论】看(角膜)图识病? [Re: gl6365] |
Copy to clipboard |
Posted by: gl6365 Posted on: 2008-03-10 20:55
以下为病人术后2周照片。 病理报告:鳞状上皮乳头样增生伴轻度不典型增生。
 (缩略图,点击图片链接看原图) |
| 11.Re:【角膜病讨论】看(角膜)图识病? [Re: gl6365] |
Copy to clipboard |
Posted by: qizhieye Posted on: 2008-03-11 13:22
请问做的什么手术啊?怎么做的?(手术步骤)? |
| 12.Re:【角膜病讨论】看(角膜)图识病? [Re: gl6365] |
Copy to clipboard |
Posted by: qizhieye Posted on: 2008-03-11 13:33
患者角膜上皮没有染色-----因此,没有溃疡。 患者没有明显症状-----因此,可以排除蚕蚀性角膜溃疡等有明显症状的疾病。 患者的情况比较象变性------在[眼科全书]第三版中有关于角膜变性与营养不良的概念的解释。 必须注意的是:在病变区可以看到有新生血管,且病变明显区有浅粉红色样改变。 我曾经接诊过角结膜鳞状细胞癌的病人,当时病人的病变为全角膜缘都有,宽约3mm,使眼睛呈“鱼眼”样外观(我回去找一找照片,如果还有,这两天发就到帖子上。)。所以综合考虑,我会认为是鳞状细胞癌。 |
| 13.Re:【角膜病讨论】看(角膜)图识病? [Re: gl6365] |
Copy to clipboard |
Posted by: qizhieye Posted on: 2008-03-11 23:23
这是我以前的患者图
|
| 14.Re:【角膜病讨论】看(角膜)图识病? [Re: gl6365] |
Copy to clipboard |
Posted by: 83655867 Posted on: 2008-03-13 20:46
受教受教 |
| 15.Re:【角膜病讨论】看(角膜)图识病? [Re: gl6365] |
Copy to clipboard |
Posted by: liujn08 Posted on: 2008-03-14 13:38
顶。谢谢!受益匪浅 |
| 16.Re:【角膜病讨论】看(角膜)图识病? [Re: gl6365] |
Copy to clipboard |
Posted by: 54lxd Posted on: 2008-03-14 20:06
该例让我记忆犹新哈 |
| 17.Re:【角膜病讨论】看(角膜)图识病? [Re: gl6365] |
Copy to clipboard |
Posted by: tjlizhiyong Posted on: 2008-03-14 20:55
该患者诊断为酒糟鼻性睑缘炎、边缘性角膜炎,治疗应在抗生素基础上加激素、并注意清洁睑缘。 |
| 18.Re:【角膜病讨论】看(角膜)图识病? [Re: qizhieye] |
Copy to clipboard |
Posted by: gl6365 Posted on: 2008-03-15 20:07
qizhieye wrote: 这是我以前的患者图
非常感谢您所提供的图片,从形态上看,的确与我所报道的病例极为相像,随之而来的是诊断上的困惑,我们诊断为Bowen病(角膜上皮内上皮癌)的主要依据如下: 1.睑裂区角膜缘病变,灰白色半透明隆起,发展缓慢且症状轻微; 2.手术当中非常容易剥离,说明病变没有突破基底膜; 3.当然最有发言权的应该是病理所见(金标准);我曾将病理图片发到丁香园病理讨论区,但回应者不多,看来还是得请咱们眼科特别是病理方面的同行来给大家解释一下该病例的病理图片。 另外如果可能也请您将您所报道病例的术后情况以及病理所见提供给大家。
 (缩略图,点击图片链接看原图) |
| 19.Re:【角膜病讨论】看(角膜)图识病? [Re: gl6365] |
Copy to clipboard |
Posted by: 玻璃美人 Posted on: 2008-03-15 20:17
受益非浅。多谢 |
| 20.Re:【角膜病讨论】看(角膜)图识病? [Re: gl6365] |
Copy to clipboard |
Posted by: guocf Posted on: 2008-03-16 14:01
应该是角膜内上皮癌。 边缘性角膜变性周边角膜变薄,上皮不隆起。 |
| 21.Re:【角膜病讨论】看图识病----Bowen病 [Re: gl6365] |
Copy to clipboard |
Posted by: gjc2008 Posted on: 2008-03-17 19:29
真好,有借鉴的价值 |
| 26.Re:【角膜病讨论】看图识病----Bowen病 [Re: gl6365] |
Copy to clipboard |
Posted by: gogoo Posted on: 2008-03-18 23:11
第一次见到此病,学习啦!! |
| 27.Re:【角膜病讨论】看图识病----Bowen病 [Re: gl6365] |
Copy to clipboard |
Posted by: lsggdmc Posted on: 2008-03-18 23:28
受益匪浅! |
| 28.Re:【角膜病讨论】看图识病----Bowen病 [Re: gl6365] |
Copy to clipboard |
Posted by: zbc0306 Posted on: 2008-03-20 07:39
请问各位专家:前几天我在门诊看到才1岁的男孩,他的下半个角膜缘云白色混浊也类似于这个病人(如楼主的图片,见上),他的母亲发现也有一个多月了,角膜缘轻度充血,小孩好象也没什么特别难受,总不能诊断为霉菌\病毒,更不样细菌性的,请教了我的上级医生,她也说不上来,只作了搞病毒疗法,到今天已有4-5天了,这是个外地人,现在还没来过. 今天看到了gl6365老师的图片,我破有感触,请问gl6365老师:1岁左右的小孩会得这种Bowen这种病吗? |
| 29.Re:【角膜病讨论】看图识病----Bowen病 [Re: gl6365] |
Copy to clipboard |
Posted by: lichanganjay Posted on: 2008-03-23 19:30
这种病例真的很少见啊,谢谢分享!!! |
| 30.Re:【角膜病讨论】看图识病----Bowen病 [Re: zbc0306] |
Copy to clipboard |
Posted by: gl6365 Posted on: 2008-03-23 20:38
zbc0306 wrote: 请问各位专家:前几天我在门诊看到才1岁的男孩,他的下半个角膜缘云白色混浊也类似于这个病人(如楼主的图片,见上),他的母亲发现也有一个多月了,角膜缘轻度充血,小孩好象也没什么特别难受,总不能诊断为霉菌\病毒,更不样细菌性的,请教了我的上级医生,她也说不上来,只作了搞病毒疗法,到今天已有4-5天了,这是个外地人,现在还没来过. 今天看到了gl6365老师的图片,我破有感触,请问gl6365老师:1岁左右的小孩会得这种Bowen这种病吗?
一起回答大家所关心的问题: 1.我们的手术方案仅仅为单纯切除,虽然肉眼看没有累及结膜,我们仍然相应切除大约2mm宽的结膜,原来曾经想过从对侧眼取结膜,但由于术眼结膜剪除后退缩,再考虑到结膜的伸展性和再生愈合能力非常强,因此仅仅将结膜缝合于巩膜表面。至于瘤体由于没有破坏基底层,因此非常容易剥离,且创面比较光滑。 2.该病据文献复习多见于老年人,由于缺少图片,不便作出诊断。 |
| 31.Re:【角膜病讨论】看图识病----Bowen病 [Re: chinarenspr] |
Copy to clipboard |
Posted by: gl6365 Posted on: 2008-03-23 20:47
chinarenspr wrote: 受教。
感谢提供的文献,看来我们的病理取材后的处理手法有待提高,切除的组织发生了卷曲。 |
| 32.Re:【角膜病讨论】看图识病----Bowen病 [Re: gl6365] |
Copy to clipboard |
Posted by: wangtao97 Posted on: 2008-03-24 19:01
第一次见到!谢谢 |
| 33.Re:【角膜病讨论】看图识病----Bowen病 [Re: gl6365] |
Copy to clipboard |
Posted by: lilongji454 Posted on: 2008-03-24 19:22
长了见识 谢谢 |
| 34.Re:【角膜病讨论】看图识病----Bowen病 [Re: gl6365] |
Copy to clipboard |
Posted by: 让风吹 Posted on: 2008-03-24 22:19
发张图片共享,该患者行局部傍层角膜移植,术后图片未找到,下次补上
 (缩略图,点击图片链接看原图) |
| 35.Re:【角膜病讨论】看图识病----Bowen病 [Re: gl6365] |
Copy to clipboard |
Posted by: yaohp Posted on: 2008-03-26 18:59
楼上的,你这个是啥病啊 |
| 36.Re:【角膜病讨论】看图识病----Bowen病 [Re: gl6365] |
Copy to clipboard |
Posted by: yaohp Posted on: 2008-03-26 18:59
楼上的,你这个是啥病啊 |
| 37.Re:【角膜病讨论】看图识病----Bowen病 [Re: gl6365] |
Copy to clipboard |
Posted by: zhw153 Posted on: 2008-03-26 22:20
让风吹君的图片是不是结膜乳头状瘤呀? |
| 38.Re:【角膜病讨论】看图识病----Bowen病 [Re: gl6365] |
Copy to clipboard |
Posted by: weihaixia2006 Posted on: 2008-03-27 09:42
第一次见,长见识了!谢谢分享!!! |
| 39.Re:【角膜病讨论】看图识病----Bowen病 [Re: gl6365] |
Copy to clipboard |
Posted by: gaoyingying Posted on: 2008-03-30 21:04
该例患者是角结膜上皮内肿瘤(conjunctiva-cornea intraepithelial neoplasia,CCIN ), 国内名称较多, 不统一,如:角结膜原位癌;Bowen病;角结膜上皮内上皮癌;结膜上皮内肿瘤等, 目前国际上已经普遍采用角结膜上皮内肿瘤(CCIN)来统一命名。 假如你进入pubmed查资料,用Bowen病是查不出的。我2004年在麦阿密眼表研究中心学习,那里有不少该病患者。我开始说这是Bowen disease,没有人明白什么病,后来查了资料,才知道国际上没有如此说法。 |
Welcome to DXY.CN Forum
|
|
|
| 眼科资讯录入:毛进 责任编辑:毛进 |
|
|
上一篇眼科资讯: 结膜恶性黑色素瘤-非洲裔病例报告 下一篇眼科资讯: 全身皮疹,皮肤角结膜糜烂 |
|
|
| 【字体:小 大】【发表评论】【加入收藏】【告诉好友】【打印此文】【关闭窗口】 |
|
网友评论:(只显示最新10条。评论内容只代表网友观点,与本站立场无关!) |
| |
|
|
|
|