| 网站首页 | 眼科中心 | 协和眼科 | 会议中心 | 医学资源 | 精美图片 | 眼科宝贝 | 论坛 | 会员中心 | 帮助中心 | 换眼科点 | 申请权限 | 全站搜索 | 博客 | 手术视频 | 
最新公告:

  没有公告

您现在的位置: 心灵之窗-眼科医生网 >> 眼科中心 >> 医生俱乐部 >> 学术交流 >> 正文
专题栏目
更多内容
相关文章
更多内容
[推荐]DR筛查和荧光素眼底血管造影的再认知           ★★★
DR筛查和荧光素眼底血管造影的再认知
作者:佚名 文章来源:网络分享 点击数: 更新时间:2013-5-23 17:19:48

 

 

  糖尿病性视网膜病变概况

  流行病学资料

  糖尿病性视网膜病变(DR)是糖尿病后期的严重并发症之一,半数以上患者会发生DR。糖尿病病程是引起DR的主要因素,病程越长,DR发病率越高。据美国一组流行病学调查资料显示,病程在10年以下者DR发生率为7%;10~14年者为26%;15年以上者63%。国内复旦大学上海医学院的资料亦有类似发现,病程5年以下者为28%;6~10年者36.4%;11~15年者58%;15年以上者72.7%。此外,DR与糖尿病的控制情况也密切相关,北京协和医院眼科一组经长期观察(10年)的病例资料显示,凡血糖控制良好者,DR发生率低,病变程度亦轻;控制不良者则相反。然而,患者性别、发病年龄和糖尿病类型则无太大影响。

  DR的严重程度与糖尿病患者的预后呈正相关,病程7年以上、眼底正常者死亡率为4%;仅有微血管瘤者为10%;有出血和渗出者为50%;有增生性改变者为68%。

  发病机制

  DR的发病机制复杂,总体上是视网膜微循环对新陈代谢、内分泌、血液学损害的反应,也是视网膜组织缺氧及随后发生微循环结构损害的结果。缺氧长期持续且日趋严重,使血液成分改变及视网膜微循环结构受损,从而出现各种眼底改变,如微血管瘤、出血斑、硬性渗出、棉绒斑、视网膜静脉改变、新生血管,视网膜前出血及玻璃体积血、视网膜水肿、糖尿病黄斑病变。

  分期

  DR在临床上呈慢性进行性过程,其发展速度不一,与全身情况密切相关。对DR进行分期,可反映眼底病变的状况和发展程度,有利于指导各阶段治疗。目前临床上有多种分期方法,常用为2种。

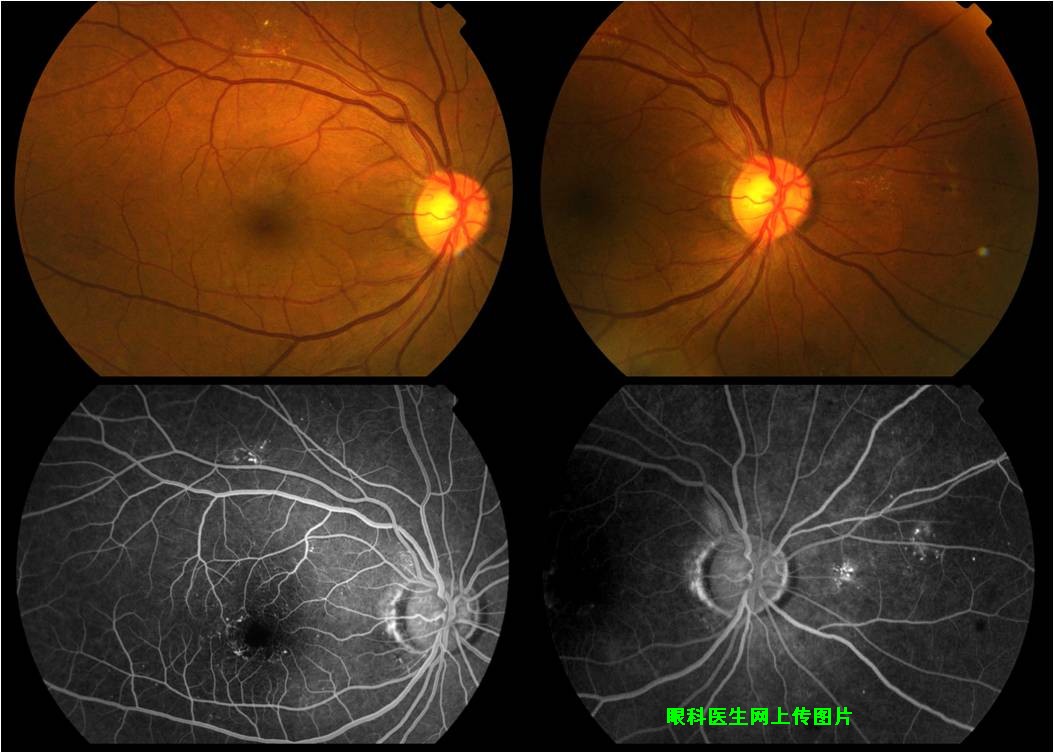
  我国现行的分期为1985年全国眼底病协作组制定的标准,分为六期:Ⅰ期为微血管瘤或合并小出血点;Ⅱ期为硬性渗出合并Ⅰ期病变;Ⅲ期为棉绒状斑合并Ⅰ或Ⅱ期病变;Ⅳ期为新生血管或玻璃体积血;Ⅴ期为纤维血管增殖膜;Ⅵ期为牵拉性视网膜脱离(图1~6)。前3期为非增殖期,亦称单纯性或背景型,后3期为增殖期。以上分期是以眼底镜下所见为指征,并不完全符合眼底荧光血管造影(FFA)所见,特别是Ⅱ和Ⅲ期,在这两期内FFA可以发现毛细血管无灌注区和新生血管,而眼底镜无法检出已消退的棉绒斑和早期新生血管,故建议DR分期应结合FFA检查。

 

  国际上将DR分为非增殖性糖尿病性视网膜病变(NPDR)和增殖性糖尿病性视网膜病变(PDR),分级标准为5级:1级为无异常;2级为轻度NPDR,眼底仅有微血管瘤;3级中度NPDR,有微血管瘤,轻于重度NPDR表现;4级为重度NPDR,出现下列任何一种表现,但无增殖性病变的体征,即4个象限每个都有20个以上的视网膜内出血,2个以上象限有静脉串珠样改变,1个以上象限有明显的视网膜微血管异常;5级为PDR,出现以下任一改变,即新生血管、玻璃体积血或视网膜前出血(图7~10)。前3级相对低危,后2级为高危,第4级有高度危险发展为PDR。国际分级标准能更准确反映DR的病变程度,为治疗提供更好的指导。

 

  治疗原则

  DR需要综合治疗,须掌握以下原则。

  • 全身病情控制:控制血糖、血压和血脂,并定期进行全身检查。
  • 药物治疗:抗氧化,减少活性氧所致微血管渗漏,保护血管。
  • 激光光凝:可有效改善视网膜缺氧状态和新陈代谢。
  • 玻璃体切割手术:当玻璃体积血经药物治疗不能吸收,或玻璃体内机化条索必然导致牵拉性视网膜脱离时,可行玻璃体切割术联合眼内激光光凝。

  筛查的应用价值及方法

  DR是一种严重影响糖尿病患者视力的疾病,若不及时治疗将会造成不可逆的永久性损害。尽早发现DR并进行有效的预防和治疗,使患者在失明前得到治疗,是减少糖尿病性失明的关键。从社会经济学观点来看,DR患者的治疗费用较已有糖尿病性失明者的花费低得多。

  DR筛查目前已成为糖尿病系统联合治疗不可或缺的部分。一旦确诊糖尿病,患者应常规进行眼科检查。包括视力检查,前节检查及眼底检查等。

  眼底检查的方法根据经济状况而定,经济基础较薄弱的地区由已训练的筛查人员应用直接眼底镜对DR患者进行散瞳眼底检查;经济较富裕的地区则可对首诊或进行筛查的糖尿病患者进行眼底彩色照相,送交阅片人员,该方法适用于我国大量糖尿病患者首诊于内科门诊的情况。若在筛查中发现为0~Ⅱ期DR患者,则以控制原发病,改善微循环为主,以后每6个月~1年复查1次;若发现Ⅲ期以上病变,则建议行FFA以明确视网膜有无早期新生血管和无灌注区,从而确定病变严重程度和黄斑状况,进而指导下一步的激光治疗。

[1] [2] 下一页

眼科资讯录入:liqiaolin    责任编辑:liqiaolin 
  • 上一篇眼科资讯:

  • 下一篇眼科资讯: 没有了
  • 【字体: 】【发表评论】【加入收藏】【告诉好友】【打印此文】【关闭窗口
      网友评论:(只显示最新10条。评论内容只代表网友观点,与本站立场无关!)

    | 设为首页 | 加入收藏 | 联系站长 | 友情链接 | 版权申明 |
    眼科医生网 眼科医生网版权所有 @ 1998-2012
    部分文章和资源来源于网络,如果侵犯了您的版权,请指出! 站长:毛进
    信息产业部备案
    *京ICP备12035550号